Секреторная азооспермия (отсутствие сперматозоидов): симптомы, причины, как лечить азооспермию — Клиника репродукции МАМА
Секреторная азооспермия, или отсутствие сперматозоидов: причины, симптомы, можно ли вылечить азооспермию, как она лечится, как забеременеть при азооспермии— отвечает главный врач Клиники МАМА — Виктория Викторовна Залетова.
Азооспермия — патология, при которой сперматозоиды в эякуляте мужчины отсутствуют вовсе.
Многие супруги изначально ставят на себе крест, понимая, что азооспермия — синоним бесплодия, то есть мужчина с подобным диагнозом не может быть отцом.
Является ли отсутствие сперматозоидов в сперме необратимым заболеванием, или его можно вылечить, возможна ли беременность при азооспермии, как забеременеть при азооспермии — узнаем прямо сейчас.
История болезни
Итак, для начала определяемся с формой азооспермии, их может быть две. Первая — нарушение в непосредственном образовании сперматозоидов, это — секреторная (необструктивная) азооспермия, и вторая — экскреторная (обструктивная) азооспермия, когда сперматозоиды образуются, но не могут выйти наружу из-за препятствия.
Причины могут быть следующие:
воспаление тканей яичка (орхит)воспаление семенных пузырьков (эпидимит)гормональные нарушенияинфекционные заболевания органов половой системытравмы половых органовоперации на внутренних и внешних половых органах, а также органах малого тазанаследственные патологии
Диагностика заболевания включает следующие этапы:
спермограмма расширеннаяультразвуковое исследование (УЗИ) органов малого таза, мошонки, с доплеровским исследованиеманализ на гормоны мазки, посевы, ПЦР-исследование на исключение заболеваний, передающихся половым путемисследование ткани яичкагенетическое исследование
На основании результатов проведенной диагностики, врач может с точностью сказать, о какой форме заболевания идет речь в нашем конкретном случае, можно ли вылечить, и как лечить азооспермию.
Стоит сразу отметить, какая бы форма заболевания ни была у мужчины, экстракорпоральное оплодотворение (ЭКО) при тяжелом мужском факторе — азооспермии — требует внимания специалистов, а именно — врачей-репродуктологов.
Это повод обеспечить мужу необходимую медицинскую помощь, ведь даже в тяжелых случаях беременность при азооспермии возможна при помощи ЭКО с биопсией яичек.
Беременность при азооспермии
Секреторная (необструктивная) азооспермия — нарушение процесса образования сперматозоидов в яичках мужчины. Секреторная азооспермия может быть врожденной — обусловленной патологиями развития яичек, и приобретенной в результате инфекционных и воспалительных заболеваний.
Как правило, выявляют следующие показатели:
отсутствие сперматозоидов в сперме или присутствие незрелых половых клеток в эякулятенарушения показателей тестостерона в кровиповышенный уровень фолликулостимулирующего гормона (ФСГ) в кровипатологию развития яичек и предстательной железы
Беременность при секреторной азооспермии может быть возможна с помощью ЭКО.
ЭКО при азооспермии может включать несколько этапов: если у мужчины найдены единичные жизнеспособные сперматозоиды, их извлекают из яичка с помощью микрохирургической операции (Micro-TESE), культивируют при помощи метода биологической активации (SMART), выбирают самый лучший, а затем проводят интрацитоплазматическую инъекцию сперматозоида в яйцеклетку (ICSI-MAQS). В случае получения множества жизнеспособных сперматозоидов, оставшиеся после успешного оплодотворения витрифицируют — замораживают.
Экскреторная (обструктивная) азооспермия — нарушение проходимости семявыносящих путей, которое не затрагивает процесс выработки сперматозоидов. Данный вид азооспермии также может быть врожденным — по причине патологий развития органов репродуктивной системы мужчины, и приобретенным — вследствие перенесенного воспалительного процесса или травмы внешних или внутренних половых органов.
Как узнать:
патологические изменения в размере и плотности яичекмаленький объем спермы при семяизвержениинарушения работы половой системы в результате травмы, операции, воспалительного процесса в организме
Беременность при азооспермии данного типа также может состояться при помощи ЭКО при проведении Micro-TESE — микрохирургического выделения сперматозоидов из ткани яичка — и дальнейшей интрацитоплазматической инъекции сперматозоида в яйцеклетку.
Восстановить проходимость и забеременеть самостоятельно женщине можно, если мужчина успешно пройдет хирургическую операцию по восстановлению семявыводящих протоков. Результативность данной операции не очень высока.
В заключение
Если беременность в паре не наступает в течение 12 месяцев при ведении регулярной половой жизни без применения средств контрацепции — речь идет о бесплодии у супругов.
Факторов бесплодия много: и женских, и мужских.
Какой фактор бесплодия в нашей паре — покажет только комплекс обследований, но каждому из нас стоит знать, что обязательно на 1 этапе нужно провести диагностику мужчины — ведь сдать спермограмму так просто.
Сделайте первый шаг — запишитесь на прием!
Источник: https://www.ma-ma.ru/encyclopedia/information-articles/azoospermiya-v-programme-eko-klinika-mama/
Азооспермия — есть ли шанс на рождение собственного ребенка?
Минус 23 КГ ЗА МЕСЯЦ!
Эти дешевые горькие таблетки удаляют по 18-23 кг жира за месяц! Всего 147 рублей!
Читать далее…
Раньше многие пациенты считали, что причиной отсутствия у пары детей является исключительно женская форма бесплодия.
Но с течением времени и развитием медицины многие врачи озвучивают неутешительную статистику прогрессирования мужского бесплодия, и азооспермия — одна из причин невозможности иметь детей.
Поддается ли лечению азооспермия у мужчин: отзывы пациентов и врачей, и причины возникновения проблемы.
- Что такое азооспермия
- Причины появления патологии
- Признаки
- Классификация заболевания
- Диагноз азооспермия: анализ, диагностика
- Лечится ли азооспермия и каковы шансы на продолжение рода
- Лечение народными средствами
- Отзывы врачей и пациентов о патологии
Что такое азооспермия
Азооспермия по своей сути являет патологию, при которой в составе спермы мужчины нет активных сперматозоидов, которые способны оплодотворить яйцеклетку в полости матки женщины.
Причины появления патологии
Врачи говорят о двух основных первопричинах азооспермии, которые и провоцируют наступление мужского типа бесплодия — это обструктивная, при которой семявыводящие каналы просто заблокированы и необструктивной — когда семенная жидкость просто не вырабатывается.
Спровоцировать и ту и другую причину могут следующие причины:
- Гормональный сбой в организме мужчины и наследственная у него патология в строении репродуктивной системы.
- Воспаление яичек, имевшее место быть в период полового созревания.
- Снижение иммунитета и опухоль, травма поражающая репродуктивную систему мужчины, как и головного мозга.
- Оперативное вмешательство, перенесенное ранее мужчиной на органах малого таза.
- Аномальная структура уретры и инфекционное поражение предстательной железы, яичек и семенных пузырей, протоков.
Признаки
Главными признаками течения азооспермии врачи помимо невозможности на протяжении долго времени зачать ребенка, называют:
- Припухлость в области мошонки и самих яичек, диагностирование у мужчины варикоцеле.
- Прозрачные и водянистые выделения из мужских половых органов.
- У мужчины могут развиваться маленькие и непропорциональные по своим размерам яички, которые невозможно прощупать.
- Чрезмерная волосатость.
Классификация заболевания
Врачи выделяют следующие формы азооспермии:
- Обструктивная. Чаще всего ее появление провоцирует закупорка семенного протока и как следствие — не происходит смешивание спермы и семенной жидкости.
- Необструктивная азооспермия — чаще всего возникает по причине отсутствия выработки в организме спермы и возникновение в организме мужчины гормонального дисбаланса.
- Секреторная азооспермия диагностируется при наличии несозревших в сперме половых клеток вследствие гормонального дисбаланса. Провоцирует гормональный сбой — высокий или низкий уровень тестостерона в составе крови.
Диагноз азооспермия: анализ, диагностика
Диагностика патологического процесса состоит в следующих мероприятиях и процедурах:
- УЗИ предстательной железы и органов мошонки, семенных протоков.
- Забор и исследование крови на уровень гормонов в ее составе — пролактина и тестостерона, эстродиола.
- Диагностика наличия/отсутствия в сперме половозрелых половых клеток — проводят для этого спермограмму.
- Проведение генетических исследований, а также определение уровня соотношений антител к сперматозоидам в составе спермы.
- Диагностика на предмет очагов инфицирования в организме, передаваемые половым путем — в этом случае прибегают к биохимическим и микробиологическим методикам исследования.
- При азооспермии проводится и биопсия яичка.
Лечится ли азооспермия и каковы шансы на продолжение рода
Как отмечают врачи — восстановить нормальную проходимость протоков в мочеполовой системе можно в половине патологических случаев. Как следствие мужчина может стать отцом в 1−5 случаях из 10.
Лечение же патологии — напрямую определено причиной, спровоцировавшей появление азооспермию. Как лечить азооспермию после выяснения причин:
- Если причина патологии воспалительный процесс, поражающий репродуктивную систему мужчины — назначают курс лечения с применением противовоспалительных препаратов.
- При закупорке семявыводящих протоков — проводится оперативное вмешательство. Например при варциконе — проводят перевязку вен яичек, при асимметрии мошонки — операция по опущению яичек в сами мешочки мошонки.
- Если причиной стал гормональный дисбаланс — назначают курс приема гормональных препаратов в зависимости от того, каких в организме мужчины больше, каких меньше, тем самым нормализуя содержание, их уровень в организме мужчины.
- Если причина патологии стала онкология — назначают сеансы химиотерапии, патологические последствия от которой сохраняются на протяжении нескольких лет после пройденного курса.
При этом восстановить репродуктивную функцию мужчины часто попросту не удается и потому предварительно показано провести забор сперматозоидов и проводить ЭКО — оплодотворение.
- Если причиной стали необструктивные в репродуктивной системе мужчины изменения — чаще всего врачи назначают курс приема гонадотропных гормонов.
- При диагностировании инфекционных процессов, болезней, протекающих в организме — назначают курс приема антибиотиков.
Узнайте также, что означает диагноз — нормозооспермия у мужчин, и почему при нем не получается забеременеть.
Для чего проводится амниоцентез плода, есть ли риски для матери и ребенка, здесь подробнее.
Применения Спермапланта для мужчин: http://budymamoi.ru/plan/pills/spermaplant.html.
При азооспермии народные рецепты хоть и применяются, но они идут как комплексное дополнение к основному лечению, отдельно они помочь не смогут.
- Достаточно часто народные целители применяют отвар спорыша — запаривают 1 ч. л. высушенного растения в стакане кипятка и, настояв несколько часов, принимают как чай. Заменить его можно и красным клевером.
- Положительные результаты показывает и прием соков — в частности показано пить морковный сок, когда на стакан добавляют полграмма мумие. Достаточно пить такой коктейль раз в сутки на протяжении месяца.
- Адамов корень и настойка, приготовленная с его добавлением — для приготовления лечебного настоя 1 рюмку высушенного корневища запаривают в стакане крутого кипятка, и дать настояться в тепле минимум 2 часа. Принимают 2−3 раза в сутки по 1 столовой ложке.
Отзывы врачей и пациентов о патологии
Что говорят об азооспермии на форумах:
Марина:
У моего супруга диагностировали данную патологию — 4 года не могли зачать малыша. Обследовались, и врач посоветовал провести ЭКО — причина азооспермии была опухоль, причем злокачественная, потому иные методы лечения и зачатия не дали бы положительного результата. Теперь мы уже как 3 года родители.
Ирина:
Врач диагностировал у мужа азооспермию — посоветовал перед тем, как прибегнуть к помощи таблеток просто изменить свой образ жизни. Отказ от вредных пристрастий и усиленное питание, спортзал, в частности велосипед и бассейн — уже через год мы стали родителями.
Николай, врач — уролог:
Азооспермия как заболевание — достаточно тяжелый диагноз. Вылечить его в большинстве своем можно — главное своевременно обследоваться и подобрать оптимальный метод терапии. Эффективно лечит ее оперативное вмешательство, как и курс гормональной терапии, тем не менее, все индивидуально и лечение подбирают после пройденного обследования и установления первопричины патологии.
-интервью с доктором, на тему азооспермия и методы ее лечения:
Источник: http://budymamoi.ru/plan/infertility/azoospermiya.html
Эко при азооспермии
Проблема бесплодия в настоящее время широко распространена, и примерно 50% бесплодных пар таковыми являются по вине мужчины. Различные воспалительные заболевания, неправильный образ жизни — это те причины, которые нарушают качество спермы и снижают вероятность естественного зачатия.
Если по результатам спермограммы у мужчины выявляют нарушения в эякуляте, то ему необходимо пройти лечение. В тех случаях, когда терапия не приносит желаемого результата, пациентам рекомендуют пройти экстракорпоральное оплодотворении. Рассмотрим, в чем особенность отклонения под названием азооспермия, и какова статистика ЭКО при такой патологии.
- 1 Азооспермия
- 2 ЭКО
- 3 Результат
Азооспермия
Под термином азооспермия подразумевают такое состояние, когда в эякуляте отсутствуют сперматозоиды. Заметить это нарушении невооруженным глазом невозможно, так как сперматозоиды составляют лишь малую часть эякулята, около 1% из всего объема семенной жидкости.
Обычно нарушение диагностируют когда пациент приходит в клинику с жалобами на отсутствие беременности. Мужчина сдает эякулят на анализ, по результатам спермограммы видно, что сперматозоиды в семенной жидкости отсутствуют.
В зависимости от причины возникновения азооспермии, ее разделяют на следующие виды:
- Обструктивная возникает на фоне непроходимости семявыводящих путей, это состояние является осложнением воспалительных заболеваний, операций, травм, также патология может быть связана с врожденными нарушениями. При обструктивной азооспермии сперматозоиды в яичках выделяются.
- Секреторная связана с нарушением образования сперматозоидов в яичках. Такое нарушение может быть связано с онкологией, крипторхизмом, воздействием радиации.
- Временная азооспермия может быть связана со стрессом, приемом некоторых препаратов, и даже слишком частыми половыми актами. В последнем случае эякуляции наступают так часто, что сперматозоиды не успевают образовываться.
При выявлении азооспермии мужчине обязательно назначается лечение. Терапия зависит от причины отсутствия сперматозоидов в эякуляте. Если нарушение связано с обструкцией семявыводящих путей, то лечение будет хирургическим. При нарушениях в эндокринной системе показана гормональная терапия. При воспалении будут назначены противовоспалительные и антибактериальные средства.
ЭКО
Экстракорпоральное оплодотворение рекомендуется проводить только тогда, когда будет устранена основная причина заболевания. Поэтому Эко при азооспермии проводят только после полноценного курса лечения.
Если после терапии сперматозоиды в эякуляте так и не появились, то их пробуют забрать прямо из яичке, для этого используются следующие вспомогательные методы:
- TESA — чрескожная аспирационная биопсия яичка. При таком методе под местной анестезией производят пункцию яичка в двух или трех местах.
- TESE — открытая биопсия яичка. Это хирургическая операция, которую осуществляют под наркозом. Ее назначают в том случае, если пункция не была эффективной. Врач делает небольшие надрезы, через которые извлекает сперматозоидов.
- MESA — микрохирургическая аспирация сперматозоидов. Такая процедура подразумевает изъятие сперматозоидов под микроскопическим оборудованием из придатка яичка. Это хирургическая операция, которая проводится под общим наркозом.
- PESA — чрескожная биопсия придатка. Операция проводится под анестезией, подразумевает изъятие сперматозоидов из придатка при помощи тонкой длинной иглы.
Если удалось получить качественные мужские клетки, то проводят обычное ЭКО в пробирке. Но чаще всего сперматозоиды малоподвижны, либо с нарушенной морфологией, поэтому есть необходимость провести ЭКО с ИКСИ. При такой процедуре опытный эмбриолог выбирает самых подвижных сперматозоидов, затем оплодотворяет ими яйцеклетки вручную. Врач тонкой иглой вводит сперматозоид прямо внутрь ооцита.
Результат
Многих пациентов беспокоит вопрос, оправданы ли такие траты и возможна ли беременность при азооспермии. Те, у кого получилось пройти удачное Эко при азооспермии, оставляют положительные отзывы и рекомендуют процедуру.
Но стоит понимать, что ЭКО даже с качественной спермой эффективно только в 50% случаев, а при азооспермии шансы значительно снижаются. На процесс влияет и состояние женщины, ее возраст и репродуктивное здоровье. Поэтому прогнозировать результат ЭКО в таких случаях очень трудно. Но если сперматозоиды присутствуют в яичках, то попробовать нужно.
Если при помощи биопсии яичка не удалось забрать достаточное количество сперматозоидов, либо они совсем непригодны для оплодотворения, то пройти ЭКО можно с донорскими клетками.
Источник: https://1ivf.info/ru/infertility/male-factor/eko-pri-azoospermii
Шансы зачатия ребенка при тератозооспермии, можно ли забеременеть, последствия патологии, пути и способы оплодотворения, ЭКО
Мужское бесплодие сегодня является довольно частой причиной отсутствия детей в браке. Причин для его возникновения много, определить точную можно только после полного диагностического обследования.
Наши читатели рекомендуют
Наш постоянный читатель избавился от проблем с потенцией действенным методом. Он проверил его на себе — результат 100% — полное избавление от проблем. Это натуральное средство на основе трав. Мы проверили метод и решили посоветовать его Вам. Результат быстрый.ДЕЙСТВЕННЫЙ МЕТОД.
Тератозооспермия и беременность напрямую связаны. Наличие нарушений в структуре сперматозоидов, воспалительные патологии, неправильный образ жизни губительно сказываются на репродуктивных способностях мужчины.
Деформационные изменения в строении сперматозоида чреваты нарушением в растворении блестящей оболочки. И также это отрицательно влияет на процессы формирования зиготы и слияния ДНК. В результате этого вероятность наступления беременности снижается, даже при успешном зачатии могут возникнуть дополнительные осложнения.
Чаще всего при таком диагнозе поражается хвостовая часть мужских половых клеток. Сперматозоиды, которые лишены нормальной двигательной активности, не способны выполнить свое предназначение.
Буферные свойства семенной жидкости существенно уменьшаются, астенозооспермия и тератозооспермия могут спровоцировать необратимую дисфункцию репродуктивных органов.
Многие мужчины начинают подозревать о проблемах интимного плана только после заключения брака и неудачных попыток зачать ребенка. Чтобы избежать патологических изменений, они должны своевременно проходить профилактические обследования.
Анализ семенной жидкости является способом для определения морфологии, концентрации и подвижности сперматозоидов.
При микроскопическом анализе необходимо учесть, что нормы у данных показателей следующие:
- Концентрация – более 20 млн сперматозоидов на 1 мл семенной жидкости.
- Морфология – не менее 30% здоровых сперматозоидов.
- Подвижность – не менее 50% сперматозоидов, способных быстро перемещаться.
Здоровая сперма должна отличаться щелочной реакцией, отсутствием агглютинации, эритроцитов и лейкоцитов.
Тератозооспермией называют заболевание, сопровождающееся появлением дефектов внешнего вида и морфологии спермиев. Бракованные сперматозоиды не скользят по прямой, как полагается, а перемещаются порывистыми движениями или остаются на месте. Можно сделать вывод, что беременность и данный диагноз – понятия, взаимоисключающие друг друга.
Разновидность заболевания зависит от степени деформации сперматозоидов, выделяют:
- легкую (слишком толстая или тонкая шейка);
- тяжелую (неправильно закручивающийся хвост, характеризующийся недостаточной или чрезмерной длиной).
Характер повреждений при тератозооспермии определяют исходя из числа нарушений, приходящихся на один патологический сперматозоид. К признакам аномалии причисляют наличие цитоплазматических капель на головке или шейке спермия. А также патология может быть вызвана следующими факторами:
- пагубные зависимости (алкоголизм, курение, наркомания);
- нарушения в работе желез внутренней секреции;
- употребление напитков, которые содержат компоненты, провоцирующие выброс энергии;
- генетическая предрасположенность, врожденные аномалии;
- инфекционные заболевания мочеполовой системы;
- температурный режим (перегрев внешних половых органов);
- чрезмерная физическая и моральная нагрузка;
- неправильное и несбалансированное питание (копчености, маринады, жирная, сладкая и слишком соленая пища);
- недостаточная физическая активность, вызывающая увеличение массы тела;
- внешнее неблагоприятное воздействие (загрязненность воздуха, повышенный радиационный фон);
- ношение слишком облегающего белья (чревато сбоями в кровообращении тестикул, недостаток кислорода в клетках).
Тератозооспермия часто появляется из-за недостаточности яичек. Она проявляется дегенеративными изменениями зародышевого эпителия и существенным уменьшением количества вырабатываемой семенной жидкостью. Иногда даже гормональный анализ не может помочь в диагностике заболевания. В этом случае единственным способом для выявления истинной причины нарушений является тестикулярная биопсия.
Вероятность беременности при тератозооспермии
Вопреки нарушению процесса оплодотворения беременность при тератозооспермии возможна. Слияние половых клеток может произойти естественным путем даже при наличии небольшого количества здоровых сперматозоидов.
Вероятность оплодотворения напрямую зависит от концентрации и состояния семенной жидкости.
Слишком много жизнеспособных сперматозоидов, добравшихся до яйцеклетки, мешают друг другу проникнуть через оболочку, сформированную из гликопротеиновых молекул.
Тератозооспермия – не приговор для мужчины. Супруги должны понимать, что риск возникновения неблагоприятной беременности зависит от мер, принимаемых для устранения неприятных симптомов, первоначального диагноза и личных особенностей пациента. Чем раньше будет выявлено заболевание, тем больше шансов на восстановление.
Почему не получается забеременеть при данном диагнозе
Тератозооспермию диагностируют, если при исследовании было выявлено поражение 50% имеющихся сперматозоидов. При нарушении функциональности 80% спермиев традиционное лечение бесполезно. В этом случае супруги могут зачать ребенка только с помощью альтернативных способов. Данная патология приводит к следующим последствиям:
- бесплодию;
- гибели эмбриона на ранних этапах развития;
- вынужденному или естественному прерыванию беременности.
К преимуществам методов альтернативного оплодотворения причисляют возможность отбора здоровых сперматозоидов. Отсутствие патологических спермиев увеличивает шансы на рождение здорового, крепкого малыша.
ЭКО предусматривает введение жизнеспособных эмбрионов в матку женщины, соединение женских яйцеклеток и мужских половых клеток проходит в условиях, приближенных к естественным.
Более эффективной процедурой является ИКСИ, так называют интрацитоплазматическую инъекцию сперматозоида в яйцеклетку.
ИКСИ делают при тяжелом мужском бесплодии, он более результативен, чем ЭКО, благодаря способу введения спермия. Иногда бездетность вызвана патологическими нарушениями в организме женщины.
Проблемы с перемещением сперматозоидов часто спровоцированы особенностями строения организма. В этом случае искусственная инсеминация также приносит свой эффект.
Тератозооспермия – это не синонимом бесплодия. Врач обязательно учитывает количество здоровых сперматозоидов, степень поражения пострадавших спермиев и психологическое состояние мужчины. Поэтому первое назначение доктора – это спермограмма.
Лечение тератозооспермии начинают с устранения провоцирующих факторов
Как устранить проблему
Лечение тератозооспермии начинают с устранения провоцирующих факторов. Заболевания репродуктивной системы, токсическое отравление, инфекционные заболевания, пагубные зависимости – для каждой из этих причин есть свое решение.
Результативность зависит от соблюдения рекомендаций доктора. В некоторых случаях проводят хирургическое лечение. На сегодняшний день специфической терапии против данного диагноза нет.
Эффективность принятых мер усиливают посредством янтарной кислоты, L-карнитина.
Лечение тератозооспермии обычно дополняют терапией первопричины. Если патологические изменения в строении сперматозоидов и неблагоприятные последствия вызваны воспалительным процессом, локализованным в области мочеполовых органов. Если причиной заболевания стало депрессивное расстройство или иные психические отклонения, мужчине придется пройти курс реабилитации у психотерапевта.
Терапевтическая схема, назначенная при данной патологии, часто включает в себя фолиевую кислоту, Трибестан, цинк, Верону, селен, Спермактин. Данные медикаментозные препараты и компоненты улучшают секрецию семенной жидкости. Этому недугу подвержены многие мужчины, аномальные сперматозоиды имеются в составе и у здоровых их представителей.
Качество семенной жидкости может быть снижено из-за заболеваний мочеполовой системы, сахарного диабета, очагов воспаления, находящихся в любой части тела. Обязательным этапом лечения является отказ от сигарет, наркотиков и алкоголя. В любом случае мужчина перед зачатием ребенка должен принять соответствующие меры безопасности, в частности, пройти диагностическое обследование.
Тератозооспермия – патология, мешающая супругам стать счастливыми родителями. Чтобы избежать снижения репродуктивных способностей, мужчине не следует зацикливаться на имеющихся проблемах.
Подобную тактику нужно совмещать с проведением эффективной терапии. В ее основе лежит процентное соотношение поврежденных и здоровых сперматозоидов, полученное после проведения спермограммы.
Иногда смена обстановки способствует более быстрому выявлению точной причины заболевания.
Большое значение имеет правильное питание, его должны составлять продукты, содержащие витамины из группы «В», аскорбиновую кислоту, селен, калий, цинк, кальций, фосфор, йодомарин, продукты пчеловодства.
Они входят в состав красного мяса, пшеницы, субпродуктов, овса, орехов, кукурузы, меда, гороха, кураги, риса, зелени, гречневой крупы, бананов и фиников.
Мужчинам, страдающим от тератозооспермии, желательно ограничить потребление сои, животного жира, сладостей, консервантов,алкоголя и других вредных продуктов. Они провоцируют появление нарушений в метаболическом обмене, лишних килограммов.
Эти факторы отрицательно воздействуют на качество спермы. В список профилактических мер входят регулярные физические нагрузки, частые сексуальные контакты.
Чтобы увеличить шансы на беременность и рождение здорового ребенка, мужчина и женщина должны заниматься сексом не только в дни овуляции.
Чтобы избавиться от тератозооспермии, больному придется заменить пассивный отдых (перед телевизором, компьютером) активным времяпрепровождением на свежем воздухе. Мужчине также следует избегать волнений, переживаний и чрезмерной психологической нагрузки.
Нервное перенапряжение нейтрализует действие назначенной медикаментозной терапии. Следует понимать, что препараты дают временный эффект, они не обеспечивают полного выздоровления. Прием любого медикаментозного средства и вспомогательного способа терапии должен быть согласован с доктором.
Несмотря на результаты спермограммы диагноз не следует воспринимать как приговор. Чтобы избавиться от данного заболевания, необходимо пройти оперативное лечение.
Вероятность необратимого бесплодия возрастает из-за механических травм и хронического атрофического орхита. Во всех остальных случаях отзывы о терапии против тератозооспермии положительны.
Чем раньше мужчина обратится в медицинское учреждение, тем быстрее он сможет стать счастливым родителем.
Источник: http://MpsDoc.com/potenciya/besplodie/teratozoospermiya-i-beremennost/
Азооспермия при мужском бесплодие
Азооспермия — это мужское заболевания, сперматозоиды не могут оплодотворить яйцеклетку. Данное заболевание характеризуется малым количеством подвижных сперматозоидов в эякуляте.
Эта патология может протекать бессимптомно, мужчина может и не догадываться о наличии заболевания в своем организме. Найти азооспермию можно, только сдав анализы на причины бесплодия.
Из-за этого заболевания 2% мужчин не могут иметь детей.
Азооспермия может быть двух видов:
- Обструктивной;
- Секреторной.
Кроме этих двух видов может встречаться временная азооспермия.
Азооспермия причины:
- Инфекционные заболевания, которые связанные с мужской репродуктивной системой;
- Гены бесплодия могут передаваться по наследству. Очень часто они влияют на качество и транспортировку спермы;
- Ранее перенесенные тяжелые травмы. Из-за любого оперативного вмешательства может нарушиться работа репродуктивной системы;
- Бывают случаи, кода семявыводящие протоки отсутствуют с рождения.
Азооспермия обструктивная
Данная форма заболевания характеризуется возникновением дееспособных сперматозоидов, которые не могут выйти на уровне придатка яичка. Непроходимость может быть врожденной или являться причиной воспалительных процессов в половой системе. Кроме этого обструктивная азооспермия может возникнуть как последствие неправильного хирургического вмешательства.
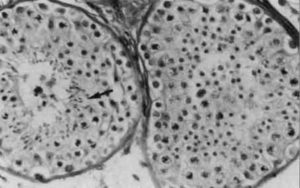
Благодаря спермограмме можно увидеть нормальный объем спермы щелочной среды, в ней присутствует фруктоза и отсутствуют предшественники сперматозоидов.
Именно благодаря присутствию незрелых сперматозоидов можно узнать, что спермовыводящие пути блокированы. Яички при визуальном осмотре имеют нормальную форму и размер.
Придаток заметно увеличен, из-за скопления в нем большого количества сперматозоидов.
Причины возникновения обструктивной азооспермии :
- Увеличенный придаток яичек;
- В сперме содержится большое количество антиспермальных тел;
- Наследственное нарушение;
- Ранее перенесенные инфекционные заболевания половых органов.
Эта форма заболевания также может называться необструктивной азооспермией. Характеризуется нарушением образования сперматозоидов в яичках. Симптомы ярко не выражаются. Яички при визуальном осмотре имеют правильную форму, но уменьшены в размере. Если мужчина имеет варикоцеле, возникает припухлость в области мошонки и перекручивания вен на ней.
Заметка
Функции яичек нарушаются из-за недостатка гонадотропных гормонов. При его недостатке в организме снижается уровень тестостерона, и отсутствуют вторичные половые признаки. У мужчин практически отсутствует волосяной покров на теле, а их яички мягкие на ощупь.
Функции яичек могут быть нарушены частично, именно поэтому будет вырабатываться нормальное количество сперматозоидов, но их будет недостаточно для полноценного семяизвержения. Если функции нарушены полностью, то формирования сперматозоидов не происходит совсем.
Причины возникновения секреторной азооспермии:
- Перенесенный сифилис и другие венерические заболевания;
- Влияние радиации и алкоголя;
- Нарушения на генетическом уровне;
- Регулярный прием стероидов;
- Воспалительные процессы в половых органах.
Временная азооспермия
Данная форма заболевания может возникнуть из-за тяжелого заболевания или из-за регулярных стрессов. На работу яичек влияет регулярное курение и употребления алкогольных и наркотических изделий.
Временная азооспермия может возникнуть из-за частых половых актов, сперматозоиды не успевают вырабатываться в яичках или они слишком молодые и недееспособные.
Именно поэтому врачи рекомендуют практиковать короткие воздержания.
Врач при осмотре может поставить форму патологии, руководствуясь следующим показателям:
- Излишнее оволосенение тела;
- Регулярные белые выделения;
- Припухлость и уплотнение мошонки;
- Придатки яичек значительно увеличены.
Азооспермию можно диагностировать, сдав анализы крови и спермы, а также при помощи УЗИ половой системы. Кроме этого, можно обнаружить сделав биопсию яичек. Чтобы определит состояния вен мошонки, необходимо сделать дуплексное сканирование яичек. При помощи магнитно-резонансной томографии можно определить гормональные причины возникновения заболевания.
Заметка
Самостоятельно обнаружить заболевание практически невозможно. Если при длительных половых актов без применения контрацептивов девушка не может забеременеть, мужчине необходимо обратится в больницу, для того чтобы провели обследование половой системы. Если у мужчины не выявлено никаких заболеваний, то обследование необходимо пройти женщине.
Лечение заболевания при помощи классической медицины
В 90% случаев, при своевременном обращении в больницу, заболевание можно излечить. Это вселяет веру во многих мужчин. Особенно это касается мужчин, которые мечтают иметь детей.
Лечение назначают, отталкиваясь от причины возникновения заболевания. Для начала необходимо пройти полное обследование. Во время процедуры врачи полностью проверят работу половой системы. Кроме этого, обязательно нужно сдать сперму на обследование. В некоторых случаях может понадобиться биопсия.
Если проблема будет связанна с непроходимостью в семенных протоках, врачами будет произведена операция по их расширению. Если причина заключается только в непроходимости, то от нее легко избавиться.
Если причина кроется в вирусных заболевания или в воспалительных процессах, то для начала необходимо излечится.
Если причиной заболевания являются психологические расстройства, то необходимо пройти курс лечения у психотерапевта. Только после полной нормализации психического состояния, азооспермия пройдет сама по себе.
Заметка
Бывают случаи, когда заболевание имеет временный характер. Это связано с регулярными стрессами или с физическими нагрузками, чтобы избавиться от недуга, необходимо оградить себя от вредных факторов.
Лечение народными средствами
На народную медицину не стоит возлагать большие надежды, так как любая серьезная проблема должна лечиться только при помощи классической медицины. Народные средства можно только применять параллельно с основным курсом лечения. Именно благодаря комплексному подходу к проблеме можно достигнуть наилучших результатов.
На деятельность сперматозоидов положительно влияет регулярное употребление гранатового сока. В ежедневный рацион необходимо включить один плод и один стакан гранатового сока. Сок граната не только влияет на качество сперматозоидов, но и на функции предстательной железы.
При азооспермии также рекомендуется употреблять плоды боярышника. Плоды необходимо залить крутым кипятком и дать им настоятся несколько часов, затем необходимо 3 раза в день употреблять эту настойку после еды. Эту настойку нельзя употреблять мужчинам, у которых пониженное артериальное давление.
Азооспермия и ЭКО
Раньше многие люди думали, что при азооспермии невозможно иметь детей. Однако технологии не стоят на месте, и родители смогут получить долгожданного ребенка.
Если бесплодием страдает только мужчина, можно выполнить процедуру ЭКО. Сперматозоиды для этого используют собственные, а добывают их при помощи биопсии яичка. Эту процедуру применяют только в тяжелых случаях, когда шансов на выздоровление нет никаких.
:Азооспермия и шансы на беременность
Заключение
Шансы получить сперматозоидов для оплодотворения яйцеклетки зависят от формы заболевания. При обструктивной азооспермии дается 100% положительный результат. При необструктивной форме, шансов только 50%. Шансов на удачное оплодотворения в обеих формах только 30%. Все зависит только от опыта врачей и оборудования, на котором проводится данная процедура.
Если отсутствуют сперматозоиды, в первую очередь необходимо обратиться в больницу, а уже потом приступать к лечению народными средствами. Для достижения наилучшего результата, необходимо комбинировать лечение.
Источник: https://detieco.ru/encyclopedia/besplodie-muzhskoe/azoospermiya-pri-muzhskom-besplodie/
Азооспермия – лечение, причины, беременность при азооспермии
Азооспермией называют патологию, при которой в эякулянте полностью отсутствуют сперматозоиды. При этом сексуальные функции полностью сохраняются. Азооспермия – одна из причин мужского бесплодия и патология, при которой паре может быть рекомендовано ЭКО.
1. Виды и причины азооспермии — Обструктивная азооспермия — Необструктивная азооспермия — Временная азооспермия 2. Симптомы и диагностика азооспермии 3. Способ лечения азооспермии 4. Возможность зачатия при азооспермии
Виды и причины азооспермии
Причиной патологии могут стать различные заболевания и нарушения врожденного или приобретенного характера. В зависимости от них, азооспермию делят на четыре вида:
- Обструктивная азооспермия.
- Необструктивная азооспермия.
- Временная или транзиторная.
- Смешанная.
Рассмотрим, какие причины могут стать причиной развития каждой из них.
Обструктивная азооспермия
Означает нарушение проходимости семявыводящих протоков. Это приводит к тому, что зрелые мужские половые клетки из яичек не попадают в эякулят.
Причинами патологии могут стать:
- травма или хирургическое вмешательство – после перевязки или частичного иссечения семявыводящих протоков, в результате осложнения после операции на мошонке, после удаления предстательной железы и т.д.;
- идиопатическая обструкция на уровне придатков яичек;
- воспаления придатка яичек;
- врожденная киста мюллеровых протоков предстательной железы;
- застойный или инфекционный везикулит – воспаление семенных пузырьков;
- анатомические дефекты и патологии органического типа;
- синдром Юнга.
Необструктивная азооспермия
Патология характеризуется отсутствием спермиев в результате нарушения их выработки и созревания в яичках. Патология может быть врожденной или приобретенной.
Заболевание может развиться вследствие:
- эндокринных заболеваний;
- идиопатической секреторной азооспермии;
- нарушения сперматогенеза передавшегося по наследству;
- онкологических заболеваний крови и опухолей гипофиза;
- травмы и перекрута яичек, злокачественной опухоли яичек;
- сахарного диабета;
- злоупотребления стероидными гормонами, проведения лучевой терапии и химиотерапии;
- ретроградного семяизвержения (когда сперма не выводится наружу через уретру, а попадает в мочевой пузырь);
- наличия варикоцеле и крипторхизма.
Временная азооспермия
При этом виде патологии наблюдается нарушение образования сперматозоидов и обструкция. Редкая форма, которая практически не поддается лечению.
Заболевание может быть вызвано:
- злоупотреблением алкоголем и курением, употреблением наркотиков;
- тяжелым течением заболеваний, в том числе инфекционных;
- корригируемой и временной дисфункцией гормональной системы;
- тяжелыми психологическими или физическими нагрузками;
- излишней половой активностью;
- острым или хроническим простатитом, орхоэпидидимитом;
- приемом стероидных и химиотерапевтических препаратов, антибиотиков;
- недостатком витаминов и микроэлементов.
Симптомы и диагностика азооспермии
Единственный симптом заболевания – невозможность зачать ребенка. При этом сексуальные функции сохраняются в полном объеме.
Важно! Симптомы патологии как таковые отсутствуют. Состояние сопровождается только клиническими признаками, которые характерны для основного заболевания.
Главный анализ для диагностики азооспермии – спермограмма. Именно с ее помощью можно определить количество спермиев в эякуляте, их жизнеспособность, особенности строения и подвижность. Если количество сперматозоидов снижено, либо они отсутствуют полностью, можно говорить о наличии азооспермии.
Кроме того, для определения обструктивного и необструктивного вида назначают дополнительные исследования.
Обструктивную форму диагностируют на основании:
- Физикального осмотра половых органов;
- Опроса пациента.
- Исследования эякулята.
- Анализа крови на уровень содержания тестостерона, ФСГ и ЛГ гормонов.
- УЗИ мошонки, чтобы исключить дисгинезию яичек и выявить причины обструкции.
- Биопсии яичка.
При диагностике необструктивной азооспермии назначают следующие исследования:
- Анализы на наличие инфекций.
- Опрос пациента о перенесенных ранее инфекционных или системных заболеваний, травмах мошонки или оперативных вмешательств на органах мочеполовой системы.
- Физикальный осмотр.
- Спермограмма.
- Генетическое тестирование.
- Исследования гормонального профиля.
- Биопсия яичек.
Общий осмотр включает в себя:
Способ лечения азооспермии
Как только поставлен диагноз, многие мужчины задаются вопросом: а можно ли вылечить азооспермию? Однозначного ответа на этот вопрос нет. Успех лечения зависит от факторов, которые стали причиной заболевания, ведь терапия, в первую очередь, направлена на ее устранение.
Современная медицина применяет два метода лечения азооспермии:
- Хирургическое вмешательство при обструктивной азооспермии для восстановления проходимости семявыводящих путей.
- Консервативное лечение применяют при обструктивной или секреторной форме. Проводится стимуляция сперматогенеза гормональными препаратами, либо устраняется инфекция антибактериальными средствами.
Азооспермию можно лечить с помощью народных средств. Большой популярностью пользуется фитотерапия, при которой репродуктивные функции повышают лекарственными травами.
Важно! Народные средства могут выступать только в качестве дополнительного лечения, а никак не его заменой. Применять лекарственные средства только после консультации с врачом.
Лечение народными средствами применяется только при необструктивной форме. Устранить закупорку семявыводящих каналов этим методом невозможно.
Эффективным народным средством является гранат и сок из него. Достаточно, ежедневно выпивать полстакана гранатового сока, либо съедать небольшой гранат.
Настой травы копытни и боярышника – народное средство, которое способно помочь, если в эякуляте присутствуют лишь единицы спермий. Для приготовления настоя берут по ложке плодов боярышника и сухой травы копытни. Заливают все стаканом кипятка и настаивают минут десять. Процеживают, делят на три части и выпивают за сутки.
Возможность зачатия при азооспермии
Даже если лечение не дало желаемых результатов, азооспермия – не приговор. Если все же зачатие не происходит, применяют метод аспирационной биопсии с последующей процедурой ИКСИ.
Биопсию делают под местным наркозом, пункционно, при помощи введения полой иглы, либо открытым способом через разрез.
В процессе процедуры происходит изъятие жизнеспособных сперматозоидов из яичек или придатков яичек.
При полном отсутствии сперматозоидов паре предлагают ЭКО с использованием донорской спермы.
Радевич Игорь Тадеушевич, врач сексопатолог-андролог 1 категории
4,326 4
(50 голос., 4,20 из 5) Загрузка…
Источник: https://okeydoc.ru/azoospermiya-prichiny-simptomy-metody-lecheniya-i-veroyatnost-zachatiya/
Поделиться:





