Фиброзный тяж в легких: что это такое, виды, диагностика и лечение
Фиброз — болезнь, которая проявляется ускоренным синтезом коллагена и появлением соединительной ткани. Чаще фиброз наблюдается в молочной железе, печени, легких, предстательной железе. Причиной фиброза является хронический воспалительный процесс, таким образом, организм пытается изолировать очаг.
Виды и причины фиброза легких
Вследствие замещения здоровых клеток соединительной тканью, наблюдается снижение их эластичности. Это препятствует поступлению кислорода в кровеносную систему и затрудняет работу легких и сосудов. Стенки легочных пузырьков на вдохе перестают растягиваться, а при выдохе спадать.
Фиброз легких характеризуется быстрой заменой здоровых клеток на рубцовую ткань. При распространении патология затрагивает бронхи, лимфатические и кровеносные сосуды, иногда прилегающие органы.
По области поражения фиброз делят на следующие виды:
- односторонний — затрагивает одну из сторон органа;
- двусторонний — локально формируется на двух легких;
- очаговый — локализован на отдельном участке;
- тотальный или диффузный — захватывает все легкое.
Локальный фиброз – следствие разрастания рубцовой ткани в результате дистрофии или воспаления. В таком случае поражена небольшая область. Легочная ткань плотнее, а объем легкого меньше. Изменения не отражаются на газообмене. Человек может и не замечать болезнь.
При диффузном фиброзе орган становится плотным и меньше в размерах. Газообменный процесс нарушается. В области поражения много коллагеновых волокон, появляются микроцисты.
В зависимости от того как разрастается соединительная ткань выделяют:
- Пневмофиброз. Тяжистый линейный фиброз характеризуется распространением соединительной ткани рядом со здоровой;
- Пневмосклероз. Ткань замещена на большом участке, происходит уплотнение органа;
- Легочный цирроз. Поражение обширно захватывает бронхи и сосуды.
Патологический процесс необратим, врачи могут только снизить проявление симптомов, улучшив тем самым качество жизни пациента.
Специалисты выделяют следующие причины появления фиброза:
- Длительный контакт с пылью органического и неорганического происхождения. Опасны диоксид кремния, мрамор, известняк, магнезит, асбест, угольная пыль, зерновая пыль, помет. К примеру, вдыхание пыли асбеста на производстве более 10 лет способно спровоцировать необратимые процессы в легочной ткани, которые могут проявиться спустя 20-30 лет.
- Осложнения после туберкулеза, пневмонии, системной красной волчанки, ревматоидного артрита, склеродермии, саркоидоза.
- Медикаментозное лечение. У некоторых пациентов, которые получали лучевую терапию при лечении опухоли, затем диагностировали фиброз. Лекарства, которые влияют на легочную ткань: химиотерапевтические (метотрексат, цеклафосфамид), кардиологические (амиодарон, кордарон, анаприлин), антибиотики (макробид). Болезнь развивается вследствие аллергической реакции на препарат или из-за его продолжительного приема.
Иногда врачи не могут установить точную причину заболевания. Тогда болезнь классифицируют как идиопатический фиброз. Считается, что он возникает после повреждения эпителия альвеол, вследствие курения, вирусных инфекций, хронической аспирации, наследственной предрасположенности.
к оглавлению ↑
Признаки и диагностика болезни
Диагностировать патологию на начальном этапе довольно сложно, поскольку болезнь в этот период не имеет специфических симптомов или они не вызывают беспокойство у больного.
Яркие проявления болезни наблюдаются только у 20% пациентов. К первым признакам фиброза относят кашель и одышку. Кашель сухой, постепенно переходит на влажный и учащается.
Одышка отмечается сначала только во время физической нагрузки, при прогрессировании болезни наблюдается в состоянии покоя.
Признаками легочного фиброза считаются:
- незначительная гипертермия;
- развитие болезней легких;
- симптомы сердечной недостаточности;
- дыхание учащенное и поверхностное;
- пальцы и слизистая рта приобретают синюшность.
Последний симптом возникает на поздних стадиях болезни. При тяжелом течении болезнь может распространяться и на другие органы, чаще всего сердце. Может происходить утолщение пальцев, становится выпуклой ногтевая пластина. Увеличиваются вены на шее, и наблюдается отечность конечностей.
При отсутствии адекватной терапии патология может способствовать появлению эмфиземы легкого, сердечной недостаточности, легочной гипертонии, рака.
При постановке диагноза врач принимает во внимание клинические, лабораторные, рентгенологические данные. Для того чтоб понять насколько нарушена деятельность легких проводятся тесты, которые замеряют силу выдоха, насыщенность крови кислородом, и деятельность легких во время физической нагрузки.
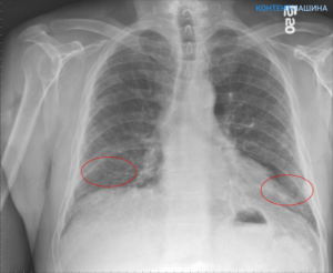
Для диагностики фиброза также используют рентгенологические методы:
- рентгенограмма необходима для визуализации легочного рисунка;
- компьютерная томография дает возможность увидеть очаговые, периферийные, субплевральные, сетевидные затемнения органа;
- эхокардиограмма нужна для подтверждения легочной гипертензии.
Может потребоваться биопсия органа, затронутого патологией. Бронхоскопия позволяет рассмотреть ткань легких, и определить процент поражения.
к оглавлению ↑
Лечение заболевания
Прежде всего, необходимо исключить провоцирующий фактор. Так, если причина заболевания – нахождение на вредном производстве, то необходимо сменить работу. При наличии воспалительных заболеваний дыхательной системы или патологическое разрастание рубцовой ткани во всем организме, проводится устранение первичной патологии.
Задача терапии – уменьшение симптомов болезни. Консервативное лечение дает результат только на первых этапах течения заболевания.
Назначается:
- прием медикаментов;
- кислородная терапия;
- дыхательная гимнастика;
- бессолевая диета.
При лекарственной терапии эффективны стероидные препараты, которые устраняют симптомы заболевания. Необходим курс бронхолитиков, муколитиков, глюкокортикостероидов.
Если к фиброзным тяжам в легких присоединился бронхит или пневмония, то требуется пропить курс антибиотиков. Для профилактики сердечной недостаточности пациент вынужден принимать сердечные гликозиды.
Для поддержания иммунитета назначается витаминотерапия.
Лекарственные препараты имеют побочные эффекты, поэтому должны назначаться врачом и приниматься строго в указанной дозировке.
Избавиться от симптомов кашля поможет массаж. Он укрепляет мышцы, усиливает поступление крови и лимфы, способствует улучшению дренажной функции. При тяжелой стадии массаж противопоказан. Кислородная терапия увеличивает количество кислорода в крови, помогает уменьшить одышку и улучшить состояние в целом. Терапия может проводиться в домашних условиях.
Дыхательная гимнастика улучшает кровообращение, нормализует легочную вентиляцию, предотвращает застой крови. Упражнения делают на брюшное, грудное и полное дыхание. Полезны умеренные физические нагрузки. Врачи рекомендуют анаэробные нагрузки на свежем воздухе, например, бег, велоспорт или спортивную ходьбу.
Профилактика фиброза легких состоит из таких моментов, как:
- отказ от курения;
- применение индивидуальных средств защиты при работе в запыленных помещениях;
- своевременное лечение респираторных заболеваний;
- при приеме медикаментов, которые могут привести к развитию заболевания проводить периодический контроль состояния легких.
Фиброзные тяжи в легких – это рубцовые изменения, которые могут появиться в результате простуды с признаками пневмонии. Если не обнаружено других патологий в легких и нет проблем с дыханием, то лечение не требуется.
Статья помогла вам?
Дайте нам об этом знать — поставьте оценку
Загрузка…
Источник: http://OPnevmonii.ru/bolezni/fibroz/tyazhistyj-fibroz-legkix.html
Фиброзная тяжистость
Посетители, находящиеся в группе Гости, не могут оставлять комментарии к данной публикации.
Источник: http://natural-medicine.ru/legkie/9748-o-chem-govoryat-rezultaty-flyuorografii.html
Клиническая симптоматика при фиброзно-кистозном заболевании
Мастопатия уже давно признана онкологами, как заболевание-предшественник неопластических процессов молочных желез (т.е. рака). Женщины, у которых есть симптомы любой формы мастопатии, имеют гораздо более высокие шансы получить онкологию груди – по данным разных авторов риск озлокачествления возрастает от 4 до 40 раз.
Особенно опасна в плане перерождения фиброзно-кистозная форма мастопатии с элементами атипического разрастания клеток тканей молочных желез.
Именно поэтому медики всего мира ставят в приоритетное направление раннее выявление и лечение фиброзно-кистозной болезни (одно из названий мастопатии).
Существуют различные классификации доброкачественной патологии молочных желез, но все они сведены к тому, что мастопатия бывает диффузная (патологические изменения в той ли иной мере захватывают большую часть молочных желез) и узловая (наличие одного или нескольких крупных узлов в груди).
К подвидам диффузной мастопатии относят разрастание фиброзной, железистой и кистозной тканей, а также их сочетание (отсюда и название фиброзно-кистозная болезнь).
Причинами появления фиброзно-кистозных изменений в молочных железах могут стать различные факторы и их комбинации:
- наличие перенесенных или сопутствующих генитальных заболеваний;
- болезни печени;
- патология щитовидной железы;
- длительные эмоциональные нарушения и психотравмы;
- неправильное репродуктивное поведение (аборты, отсутствие беременностей, отказ от лактации).
Читайте здесь больше об основных симптомах образования диффузной мастопатии в молочных желез, и к чему может привести игнорирования данного образования.
Формы и клинические проявления заболевания
В зависимости от преобладающей ткани в измененных молочных железах принято выделять несколько форм фиброзно-кистозной диффузной мастопатии:
Преобладание железистого компонента (аденоз) – чаще наблюдается у молодых женщин. Клинически проявляется как болезненность и набухание груди в предменструальный период.
После месячных эти симптомы проходят до следующего цикла. Эта форма имеет наилучшие результаты в лечении.
[/attention]
В тканях груди обнаруживаются множественные кисты, атрофия молочных долек, расширение протоков. При такой форме в молочных железах пальпируются эластичные уплотнения круглой или овальной формы, отграниченные от окружающей ткани.
Смешанный вариант – самая распространенная (более 40% случаев) форма, при которой есть и избыточное развитие железистых долек, и разрастание фиброзной ткани, и появление кист. К главным симптомам фиброзно-кистозной мастопатии относятся:
Болезненное набухание и отек молочных желез (или мастодиния). Болезненность и нагрубание груди может быть как постоянными в течение всего менструального цикла, так и периодическими – то исчезая, то появляясь и усиливаясь в предменструальный период.
Именно цикличность болей позволяет отличить доброкачественную мастопатию от рака. Боль в груди бывает различной интенсивности – от незначительных периодических неприятных ощущений до выраженных болей даже от соприкосновения с одеждой.
Выделения из соска, которые по окрасу могут варьировать от беловатого (при избытке пролактина) до насыщенно желтого цвета (при продукции жидкости в кистозных полостях). При появлении зеленоватого оттенка стоит подумать о присоединении гнойной инфекции и развитии центрального абсцесса молочной железы или гнойного мастита.
Многие наши читатели для лечения мастопатии и образований в груди активно применяют широко известную методику на основе натуральных ингредиентов, открытую Еленой Малышевой. Советуем обязательно ознакомиться.
Выделения при мастопатии являются чаще симптомами доброкачественной природы, но цитологическое исследование (т.е. изучение выделяемой жидкости под микроскопом) обязательно, чтобы не пропустить случаи перерождения в рак.
Выраженность симптомов мастопатии не всегда коррелирует с запущенностью процесса.
Возможно появление сильной боли и отека груди в начальных стадиях мастопатии, и в то же время бывают случаи тяжелых форм, когда болезненность минимальна.
Недавно я прочитала статью, в которой рассказывается о крем-воскe «Здоров» для лечения мастопатии. При помощи данного крема можно НАВСЕГДА вылечить мастопатию, нормализовать грудное вскармливание и улучшить форму груди в домашних условиях.
Я не привыкла доверять всякой информации, но решила проверить и заказала упаковку. Изменения я заметила уже через неделю: боли успокоились, а через 2 недели пропали совсем. Грудь стала мягче, уплотнения рассосались. Попробуйте и вы, а если кому интересно, то ниже ссылка на статью.
Медицинская помощь больным с этой формой заболевания
Лечение мастопатии должно начинаться с коррекции предполагаемого фонового заболевания, которое послужило причиной разрастания фиброзной или кистозной тканей – терапии дисфункции яичников или матки, болезней гипофиза и щитовидной железы, проблем печени и нервной системы.
Выделяются следующие основные направления в медикаментозном консервативном лечении фиброзно-кистозной формы мастопатии:
- Использование микродоз йодистого калия (для нормализации функции яичников). Также йод используют для местного лечения (йодовые сетки на грудь).
- Прием гепатопротекторов, в т.ч. растительного происхождения (препараты на основе расторопши, артишока). Это направление в лечении призвано нормализовать функцию печени – одного из главного органа, отвечающего за обмен всех гормонов.
- Мочегонные препараты мягкого действия (лучше растительного происхождения – чай с брусникой, клюквой, отвары толокнянки) при выраженном отеке молочных желез.
- Прием витаминов А, Е, С, группы В. Комплексное витаминное лечение выполняет сразу две функции – улучшает обмен веществ в самой молочной железе, и стабилизирует работу печени, которая принимает непосредственное участие в разрушении эстрогенов.
- Седативные препараты для уменьшения возбуждения нервной системы. С этой же целью применяют рефлексотерапию.
- Лечение средствами для повышения общей сопротивляемости организма (адаптогены). Среди лекарств этой группы для лечения фиброзно-кистозных форм мастопатии хорошо себя зарекомендовало алоэ в стандартных дозировках и ФИБС.
Гормоны системного действия – ингибиторы пролактина (бромокриптин) или гонадотропных гормонов (даназол), препараты с прогестероновой (прогестины как в таблетках, так и местно в виде мазей и гелей) и антиэстрогеновой (тамоксифен) активностью, андрогены (при климаксе, когда необходимо снизить уровень эстрогенов).
Препараты из этой группы подбираются исключительно врачом исходя из недостатка или избытка гормонов в организме женщины по результатам лабораторных анализов. Ни при каких обстоятельствах нельзя заниматься самостоятельным назначением или корректировкой дозы по принципу «а подруге это помогло».
В лечении всех форм мастопатии важное значение имеет своевременное обращение за медицинской помощью.
При раннем выявлении фиброзно-кистозной мастопатии и вовремя полученном комплексном лечении, риск онкологии молочной железы сводится к нулю.
Вот именно по этим причинам от женщин можно услышать вопрос, какие могут быть симптомы при мастопатии и что делать при их обнаружении, чтобы максимально эффективно провести лечение.
От 60% женщин страдают мастопатией. Самое страшное, что большинство женщин уверено, что мастопатия является нормой и не спешат к врачу. но риск образования на её месте РАКА ГРУДИ, очень высокий. Если вы за собой замечаете:
- ноющие или тянущие боли в области груди перед менструацией.
- ощущения набухания и отечности молочной желез. Как будто грудь увеличилась.
- напряжение, уплотнения и узелки. Ощущаются лимфоузлы под мышкой.
- выделения из сосков.
- изменение формы груди, кожа на сосках втянулась и появились трещины.
- изменение массы тела.
Источник: http://gkhstroyservis.ru/fibroznaja-tjazhistost/
Диффузно-фиброзная мастопатия молочных желез
У женщин старшего возраста всегда происходит инволютивная перестройка молочных желез. Диффузная мастопатия с преобладанием фиброзного компонента может быть вариантом возрастной нормы, если при обследовании не выявлены узлы и пролиферативные процессы. Врач-маммолог назначит симптоматические методы терапии и даст рекомендации по ежегодному наблюдению.
Причинные и способствующие факторы
Кроме гормонозависимых железистых структур, в молочных железах всегда имеются соединительная и жировая ткань, которых у каждой женщины с возрастом становится больше. Постепенные инволютивные изменения начинаются после 30 лет. Диффузная фиброзная мастопатия молочных желез возникает на фоне следующих причин:
- наследственная предрасположенность;
- гормональный дисбаланс;
- травматические повреждения груди;
- эндокринопатии (сахарный диабет, патология щитовидной железы).
Провоцирующими доброкачественное заболевание факторами являются:
- хронические стрессовые ситуации;
- вредные привычки (курение);
- отказ от кормления ребенка грудью;
- отсутствие беременностей;
- заболевания печени;
- загорание топлес.
С возрастом количество железистой ткани уменьшается, а жировой и соединительной – увеличивается, что проявляется признаками диффузной патологии молочных желез.
В большинстве случаев лечение не требуется, но решить это может только врач-маммолог после проведения полного обследования.
Симптомы заболевания
Во многом проявления доброкачественных изменений зависит от возраста и менструальной функции. Типичные жалобы и признаки фиброзной мастопатии выражаются следующими симптомами:
- умеренно выраженная болезненность в груди;
- обнаружение диффузной тяжистости;
- нагрубание молочных желез перед ожидаемыми месячными.
Минимальные проявления будут у женщин в менопаузе, особенно при диффузной форме патологии.
Если возникает очаговая мастопатия, то женщина при самообследовании может обнаружить незначительные двухсторонние узелки в груди.
Прогностически неблагоприятными симптомами при подозрении на любую форму ФКМ являются следующие проявления:
- выявление плотных узлов больших размеров;
- самопроизвольные выделения из сосков;
- наличие увеличенных подмышечных лимфоузлов.
При фиброзной форме мастопатии крайне редко бывают опасные осложнения, но полностью гарантировать женщине безопасный вариант болезни невозможно, поэтому в каждом конкретном случае только врач-маммолог может дать полноценное заключение о риске онкопатологии.
Диагностика патологии груди
Первый визит к доктору очень важен – зачастую обычный осмотр и пальпация являются наиболее оптимальным вариантом диагностики. При осмотре врач-маммолог всегда оценивает следующие визуально-пальпаторные признаки:
- цвет кожи;
- симметричность груди;
- изменения сосков;
- наличие узлов или очагов с четкими контурами;
- реакцию подмышечных лимфоузлов.
После первичного обследования по показаниям или с профилактической целью врач-маммолог назначит следующие исследования:
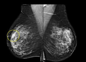
- маммография (после 35 лет при подозрении на фиброзную патологию проводить ультразвуковое исследование не информативно);
- анализ крови на онкомаркер CA-19-9/
При обнаружении узловой или кистозной формы ФКМ обязательным этапом обследования является проведение пункционной биопсии под контролем УЗИ, которое поможет исключить пролиферативные и предраковые процессы в груди.
УЗИ молочных желез можно проводить женщинам до 35 лет. При исследовании врач увидит следующие эхопризнаки фиброзных изменений:
- очаги уплотнения разного размера и без четких контуров;
- возможно наличие мелких кист.
Как показывают отзывы врачей, с помощью УЗИ можно диагностировать узловые и кистозные формы заболевания. Для выявления фиброза лучше использовать маммографию.
Лечебная тактика
При фиброзной мастопатии лечение подбирается индивидуально. У женщин в менопаузальном возрасте при отсутствии узлов врач назначит ежегодные визиты для проведения обследования и наблюдения за состоянием груди.
У менструирующих женщин необходимо проводить симптоматическое лечение, с помощью которого надо устранить боль и нагрубание молочных желез перед месячными. Минимальное воздействие – курсовой прием Мастодинона.
При необходимости и по показаниям врач назначит специальную мазь, которая устранит все неприятные симптомы. Хороший эффект даст витаминотерапия и прием успокаивающих препаратов.
При фиброзной мастопатии лечение народными средствами неэффективно: для структурных изменений с преобладанием фиброза и жировой ткани в молочных железах нет растительных средств и методик, обладающих положительным лечебным действием.
Хирургическая операция показана в следующих случаях:
- обнаружение узла или кистозной полости в груди, величиной более 1,5 см;
- выявление пролиферации в клетках по результатам пункции;
- высокий наследственный риск рака молочных желез;
- подозрение на злокачественное перерождение тканей груди.
Важными факторами успешной терапии являются профилактические мероприятия:
- соблюдение специальной диеты, рекомендованной врачом;
- отказ от курения;
- защита груди от солнца;
- коррекция общих и эндокринных хронических заболеваний.
Риск осложнений при фиброзном варианте ФКМ минимален, особенно если у женщины нет семейной предрасположенности к раку груди. При соблюдении профилактических рекомендаций маммолога и ежегодном контрольном обследовании можно не беспокоиться о возможности возникновения опасной патологии в молочных железах.
Источник: https://gynecologyhelp.ru/mastopatiya/fibroznaya.html
Фиброзная мастопатия молочных желез: основные симптомы
Мастопатия уже давно признана онкологами, как заболевание-предшественник неопластических процессов молочных желез (т.е. рака). Женщины, у которых есть симптомы любой формы мастопатии, имеют гораздо более высокие шансы получить онкологию груди – по данным разных авторов риск озлокачествления возрастает от 4 до 40 раз.
Особенно опасна в плане перерождения фиброзно-кистозная форма мастопатии с элементами атипического разрастания клеток тканей молочных желез.
Именно поэтому медики всего мира ставят в приоритетное направление раннее выявление и лечение фиброзно-кистозной болезни (одно из названий мастопатии).
Существуют различные классификации доброкачественной патологии молочных желез, но все они сведены к тому, что мастопатия бывает диффузная (патологические изменения в той ли иной мере захватывают большую часть молочных желез) и узловая (наличие одного или нескольких крупных узлов в груди).
К подвидам диффузной мастопатии относят разрастание фиброзной, железистой и кистозной тканей, а также их сочетание (отсюда и название фиброзно-кистозная болезнь).
Причинами появления фиброзно-кистозных изменений в молочных железах могут стать различные факторы и их комбинации:
- наличие перенесенных или сопутствующих генитальных заболеваний;
- болезни печени;
- патология щитовидной железы;
- длительные эмоциональные нарушения и психотравмы;
- неправильное репродуктивное поведение (аборты, отсутствие беременностей, отказ от лактации).
Читайте здесь больше об основных симптомах образования диффузной мастопатии в молочных желез, и к чему может привести игнорирования данного образования.
Формы и клинические проявления заболевания
В зависимости от преобладающей ткани в измененных молочных железах принято выделять несколько форм фиброзно-кистозной диффузной мастопатии:
Преобладание железистого компонента (аденоз) – чаще наблюдается у молодых женщин. Клинически проявляется как болезненность и набухание груди в предменструальный период.
После месячных эти симптомы проходят до следующего цикла. Эта форма имеет наилучшие результаты в лечении.
[/attention]
В тканях груди обнаруживаются множественные кисты, атрофия молочных долек, расширение протоков. При такой форме в молочных железах пальпируются эластичные уплотнения круглой или овальной формы, отграниченные от окружающей ткани.
Смешанный вариант – самая распространенная (более 40% случаев) форма, при которой есть и избыточное развитие железистых долек, и разрастание фиброзной ткани, и появление кист. К главным симптомам фиброзно-кистозной мастопатии относятся:
-
Болезненное набухание и отек молочных желез (или мастодиния). Болезненность и нагрубание груди может быть как постоянными в течение всего менструального цикла, так и периодическими – то исчезая, то появляясь и усиливаясь в предменструальный период.
Именно цикличность болей позволяет отличить доброкачественную мастопатию от рака. Боль в груди бывает различной интенсивности – от незначительных периодических неприятных ощущений до выраженных болей даже от соприкосновения с одеждой.
- При ощупывании молочных желез можно определить мелкую зернистость и тяжистость (фиброзный компонент воспаления) или грубую дольчатость (кистозный компонент). Эти симптомы, как правило, развиваются в обеих молочных железах, хотя иногда в одной груди возможны более выраженные проявления, нежели в другой. Уплотнения в груди при фиброзно-кистозной мастопатии не имеют четких границ.
-
Выделения из соска, которые по окрасу могут варьировать от беловатого (при избытке пролактина) до насыщенно желтого цвета (при продукции жидкости в кистозных полостях). При появлении зеленоватого оттенка стоит подумать о присоединении гнойной инфекции и развитии центрального абсцесса молочной железы или гнойного мастита.
Выделения при мастопатии являются чаще симптомами доброкачественной природы, но цитологическое исследование (т.е. изучение выделяемой жидкости под микроскопом) обязательно, чтобы не пропустить случаи перерождения в рак.
Выраженность симптомов мастопатии не всегда коррелирует с запущенностью процесса.
Возможно появление сильной боли и отека груди в начальных стадиях мастопатии, и в то же время бывают случаи тяжелых форм, когда болезненность минимальна.
Отзыв нашей читательницы — Виктории Мирновой
Недавно я прочитала статью, в которой рассказывается о крем-воскe «Здоров» для лечения мастопатии. При помощи данного крема можно НАВСЕГДА вылечить мастопатию, нормализовать грудное вскармливание и улучшить форму груди в домашних условиях.
Я не привыкла доверять всякой информации, но решила проверить и заказала упаковку. Изменения я заметила уже через неделю: боли успокоились, а через 2 недели пропали совсем. Грудь стала мягче, уплотнения рассосались. Попробуйте и вы, а если кому интересно, то ниже ссылка на статью.
Читать статью —>
Медицинская помощь больным с этой формой заболевания
Лечение мастопатии должно начинаться с коррекции предполагаемого фонового заболевания, которое послужило причиной разрастания фиброзной или кистозной тканей – терапии дисфункции яичников или матки, болезней гипофиза и щитовидной железы, проблем печени и нервной системы.
Выделяются следующие основные направления в медикаментозном консервативном лечении фиброзно-кистозной формы мастопатии:
- Использование микродоз йодистого калия (для нормализации функции яичников). Также йод используют для местного лечения (йодовые сетки на грудь).
- Прием гепатопротекторов, в т.ч. растительного происхождения (препараты на основе расторопши, артишока). Это направление в лечении призвано нормализовать функцию печени – одного из главного органа, отвечающего за обмен всех гормонов.
- Мочегонные препараты мягкого действия (лучше растительного происхождения – чай с брусникой, клюквой, отвары толокнянки) при выраженном отеке молочных желез.
- Прием витаминов А, Е, С, группы В. Комплексное витаминное лечение выполняет сразу две функции – улучшает обмен веществ в самой молочной железе, и стабилизирует работу печени, которая принимает непосредственное участие в разрушении эстрогенов.
- Седативные препараты для уменьшения возбуждения нервной системы. С этой же целью применяют рефлексотерапию.
- Лечение средствами для повышения общей сопротивляемости организма (адаптогены). Среди лекарств этой группы для лечения фиброзно-кистозных форм мастопатии хорошо себя зарекомендовало алоэ в стандартных дозировках и ФИБС.
-
Гормоны системного действия – ингибиторы пролактина (бромокриптин) или гонадотропных гормонов (даназол), препараты с прогестероновой (прогестины как в таблетках, так и местно в виде мазей и гелей) и антиэстрогеновой (тамоксифен) активностью, андрогены (при климаксе, когда необходимо снизить уровень эстрогенов).
Препараты из этой группы подбираются исключительно врачом исходя из недостатка или избытка гормонов в организме женщины по результатам лабораторных анализов. Ни при каких обстоятельствах нельзя заниматься самостоятельным назначением или корректировкой дозы по принципу «а подруге это помогло».
В лечении всех форм мастопатии важное значение имеет своевременное обращение за медицинской помощью.
При раннем выявлении фиброзно-кистозной мастопатии и вовремя полученном комплексном лечении, риск онкологии молочной железы сводится к нулю.
Вот именно по этим причинам от женщин можно услышать вопрос, какие могут быть симптомы при мастопатии и что делать при их обнаружении, чтобы максимально эффективно провести лечение.
Источник: http://OMastopatii.ru/simptomy-i-priznaki/klinicheskaya-simptomatika-pri-fibrozno-kistoznom-zabolevanii.html
Фиброз легких — это не рак, как лечить, народными средствами, дыхательная гимнастика, прогноз
Фиброз легких – это патология, которая характеризуется появлением в легочной ткани соединительнотканных очагов, замещающих здоровую ткань органа. При этом заболевании снижается количество альвеол, участвующих в процессе газообмена.
Вследствие этого организм пациента недостаточно обеспечивается кислородом, и у него развивается дыхательная недостаточность. Фиброзный тяж в легких приводит к значительному ухудшению качества жизни человека и сокращению ее продолжительности.
Классификация
Врачи выделяют несколько типов заболевания. В зависимости от распространенности процесса патология может быть:
- Очаговой фиброз – распространяется на небольшой участок легочной ткани;
- Распространенный, или диффузный, — патологические очаги разбросаны по всей поверхности легкого.
Можно выделить также односторонний процесс, если фиброзные тяжи в легких затрагивают только одно легкое, и двусторонний, если они распространяются на оба.
В зависимости от этого изменяется и выраженности симптомов болезни. Если у него локальный фиброз, то симптомы выражены довольно слабо, заболевание прогрессирует медленно. Если же у больного диффузный двусторонний фиброз, то клиническая картина заболевания опаснее, а значит, прогноз для жизни менее благоприятный.
Отдельно также выделяют фиброз корней легких, в котором изменения распространяются не только на альвеолы дыхательной поверхности, но и на крупные сосуды, располагающиеся в области корня. Вследствие этого симптомы болезни более выражены, чем при наличии очагового типа заболевания.
Прикорневой фиброз является одной из самых опасных форм. Наиболее часто он возникает при таком опасном заболевании, как туберкулез легких. Сначала повреждается корень и верхние части легких, затем процесс может распространяться по всей поверхности легочных полей. Опасность прикорневого туберкулеза в том, что он сразу приводит к развитию дыхательной недостаточности.
По механизму развития патологического процесса выделяют:
- Плевропневмофиброз – состояние, когда соединительная ткань разрастается постепенно, в виде тяжей. У пациента участки патологических изменений перемежаются фрагментами здоровой ткани.
- Пневмосклероз – это более тяжелая форма заболевания, для которой характерно замещение большого фрагмента органа фиброзным процессом и значительное уплотнение ткани;
- Цирроз – наиболее тяжелая форма, при которой фиброзным тяжам предстоит распространиться не только на саму паренхиму органа, но и на сосуды и бронхи.
Если рассматривать, что это такое – пневмофиброз, можно считать его первой стадией развития процесса деградации ткани легкого. При прогрессировании заболевания он переходит в пневмосклероз, а затем и в самую тяжелую форму — цирроз.
Причины развития
Часто пациенты не знают, что такое фиброз легких. Существует несколько заблуждений по этому поводу. Например, некоторые думают, что фиброз в легких – это признак рака. Это неверно, так как злокачественные новообразования не могут спровоцировать разрастание соединительной ткани в органе. При раке легкого фиброзу развиться не дает разрастание опухолевой ткани.
В легких фиброз может быть вызван рядом факторов, которые неблагоприятно влияют на состояние органа. В зависимости от причины, запускающей патологический процесс, выделяют следующие типы заболевания:
- Инфекционный легочный фиброз. Склеротические изменения в ткани органа могут развиваться в ответ на длительное течение легочных инфекций, которые способствуют замещению нормальной легочной паренхимы на соединительную ткань. Наиболее часто признаки возникают при длительном течении такого заболевания, как туберкулез легких, или после пневмонии.
- Пылевая форма. Данная форма относится к профессиональным заболеваниям, так как она возникает у людей, работающих на тяжелых производствах. В их легкие попадают частицы производственной пыли, что приводит к развитию склеротических процессов. Они характерны для таких патологий, как силикоз, асбестоз, карбокониоз и прочих болезней, которые входят в группу пневмокониозов.
- Лекарственный линейный фиброз легких. Некоторые лекарственные средства, особенно при длительном приеме, провоцируют разрастание соединительной ткани в легких.
- Аутоиммунная форма. У некоторых пациентов склеротические процессы в легких могут быть спровоцированы извращенной реакцией иммунитета на собственные ткани органа. Это характерно для таких болезней соединительной ткани, как, например, саркоидоз.
- Идиопатическая форма. В отдельную группу выделяются случаи фиброза легкого, причину появления которого установить не удалось. Если даже после исключения всех возможных факторов непонятно, почему возникает соединительнотканный тяж в легких, то врач диагностирует идиопатическую форму заболевания.
Кроме того, выделяют ряд факторов риска, воздействие которых вызывает фиброзные изменения в легких при пневмосклерозе. К ним относятся:
- Неблагоприятная экологическая обстановка;
- Генетическая предрасположенность к легочным заболеваниям;
- Курение, особенно многолетнее;
- Вдыхание токсичных веществ.
К факторам риска, провоцирующих тяжистый перибронхиальный фиброз, может стать также возраст пациента. Болезнь чаще возникает у людей старше 40-50 лет.
Симптоматика
Клиническая картина заболевания на ранних стадиях его развития практически не проявляется. Это связано с тем, что болезнь имеет довольно медленное течение. На начальных стадиях изменения в легких компенсируются с помощью резервных возможностей организма.
При прогрессировании склеротических процессов человек начинает замечать первые симптомы, но из-за их слабой выраженности просто игнорирует все неприятные проявления заболевания. Обычно пациенты с линейным фиброзом легких обращаются к врачу уже тогда, когда симптомы становятся ярко выраженными, и не обращать на них внимания уже невозможно.
Клиническая картина включает следующие симптомы фиброза легких:
- Сильная одышка на выдохе, которая сначала возникает при физических нагрузках, а затем сохраняется и в покое;
- Появление сухого кашля, не сопровождающегося отделением мокроты;
- Сильная боль в груди;
- Учащенное поверхностное дыхание;
- Быстрое снижение веса пациента, характерный «изможденный» внешний вид;
- Повышенная утомляемость, снижение работоспособности, постоянная слабость;
- Учащение сердцебиения, иногда появляются ощущения перебоев в работе сердца;
- Бледность кожных покровов, в некоторых случаях – синюшность рук и ног.
Фиброз легких неблагоприятно влияет на работу сердца, что приводит к появлению симптомов сердечной недостаточности. Внешне она может проявляться изменением формы фаланг пальцев в виде «барабанных палочек». Этому способствует и туберкулез легких, который может быть причиной развития патологического процесса.
Диагностика
Диагностика заболевания начинается с консультации терапевта. При обращении к врачу важно подробно описать все симптомы заболевания, рассказать, как они изменялись с течением времени, какие факторы провоцировали ухудшение симптомов.
После этого врач проводит осмотр, который дает возможность обнаружить характерные внешние симптомы (сильное похудение, бледность, изменение характера дыхания). Полученная информация дает возможность врачу связать проявления с характерными фиброзными изменениями и направить пациента к профильному врачу.
Лечением болезней легких занимается пульмонолог. Он назначает пациенту ряд исследований, необходимых для установления диагноза.
По локализации патологических изменений можно сделать предположение о том, какое заболевание привело к развитию заболевания. Так, при профессиональных болезнях (силикозе, асбестозе) очаги повреждений располагаются обычно в нижних долях, а туберкулез обычно располагается в верхних отделах органа (апикальный тип).
Подтвердить диагноз и более точно установить расположение очагов можно с помощью компьютерной или магнитно-резонансной томографии. Обе методики позволяют получить послойное изображение легочной ткани, что дает возможность подробно исследовать все патологические образования.
К дополнительным методикам исследования относятся:
- Общий и биохимический анализ крови;
- Оценка функциональной активности дыхания с помощью спирометрии;
- Бактериологический анализ мокроты и исследование на микобактерию, вызывающую туберкулез легких;
- При необходимости проводится бронхоскопия и биопсия пораженного очага.
Перечисленные анализы нужны для того, чтобы более точно установить причину развития фиброза.
Лечение
Как лечить фиброз легких, зависит от фактора, вызвавшего развитие болезни. При инфекционных заболеваниях (например, если у больного туберкулез легких) назначается комплексная терапия антибиотиками, при аутоиммунной форме заболевания назначаются глюкокортикостероиды. Если патология вызвана профессиональным фактором, то пациента нужно срочно изолировать от токсического вещества.
Кроме того, пациенту назначается симптоматическое лечение фиброза легких, направленное на борьбу с клиническими симптомами заболевания. В него входят:
- Бронхолитики – для снятия спазма в бронхах (Сальбутамол, Эуфиллин, Сальметерол);
- Муколитики – для разжижжения мокроты и стимуляции ее выведения (Амброксол, Мукалтин);
- Стероидные средства – для снижения выраженности местного воспалительного процесса (Преднизолон, Дексаметазон);
- Сердечные гликозиды – для снижения влияния на сердце и восстановления его нормальной функции (Метотрексат, Коргликон, Строфантин).
Перед тем, как лечить фиброз, пациенту назначается стероидное средство, так как оно может устранить симптомы заболевания и улучшить состояние пациента. Конкретный препарат, которым будут лечить фиброз легких, подбирает врач-пульмонолог индивидуально для каждого пациента.
Большое значение в ходе лечения фиброзно-склеротических процессов играет немедикаментозная терапия. В нее входят:
- Оксигенотерапия;
- Дыхательная гимнастика при фиброзе легких;
- Диета.
Оксигенотерапия – это назначение пациенту ингаляций кислородом. Воздух поступает через носовую канюлю, в особо тяжелых случаях пациент подключается к аппарату ИВЛ. Это позволяет компенсировать дыхательную недостаточность, неизбежно возникающую при наличии линейного фиброза.
Дыхательной гимнастикой заниматься нужно для того, чтобы улучшить функциональную активность органа. Лечебные упражнения необходимо выполнять ежедневно. Во время восстановительного периода большое значение играет и правильное питание. Сбалансированный рацион с достаточным содержанием белков и витаминов поможет укрепить здоровье пациента.
При фиброзе легких нельзя полагаться на лечение народными средствами. Эти методы могут снять симптомы, но не замедлят прогрессирование заболевания. Поэтому нельзя замещать квалифицированную врачебную терапию на лечение народными способами, их можно использовать только как общеукрепляющую терапию.
В некоторых случаях консервативное лечение заболевания неэффективно. Если фиброзная ткань охватывает большие участки, то пациенту может потребоваться операция – резекция всего легкого или его фрагмента. Это поможет устранить клиническую симптоматику заболевания.
Прогноз
То, сколько живут люди с фиброзом, зависит от того, лечится ли человек у врача. Если пациенту начали терапию на ранних стадиях, то прогноз для него будет довольно благоприятный – человек может прожить и несколько десятков лет при условии соблюдения всех врачебных рекомендаций. Жизнь пациента при этом будет полноценной, ему нужно будет лишь соблюдать ряд ограничении.
Очень опасно, если человек не проходит лечение у врача и практикует терапию фиброза легких народными средствами. Это может значительно сократить его продолжительность жизни. При продолжительном течении, даже при обращении к врачу, уже практически нельзя вылечить пациента.
Таким образом, фиброз – это тяжелый необратимый процесс, при котором в ткани органа образуются очаги соединительной ткани.
Поэтому при обнаружении первых симптомов патологии необходимо обратиться к врачу и пройти обследования, чтобы начать лечение на ранних стадиях и избежать возможных осложнений.
Если лечение врачей не помогает полностью избавиться от туберкулеза. Таблеток приходится пить все больше. К туберкулезу присоединились осложнения от антибиотиков, а результата нет. Узнайте, как наши читатели победили туберкулез… Читать статью >>
Поспелова Ирина
Источник: https://stoptubik.ru/klinicheskie-formy/fibroz-legkih/
Поделиться:




