Фиброз поджелудочной железы и печени
В сентябре мне поставили диагноз: фиброз печени и поджелудочной железы. Принимала эссенциале форте, мезим, но состояние почти не улучшилось, ноющие боли остаются. Покажите мое письмо доктору З.Г. Гусейновой, может, она что-то посоветует. Малахова Н.В. Московская обл
— Фиброз #8212; это следствие хронической патологии печени и поджелудочной железы, — рассказывает заместитель главного врача московской клиники «Медси», кандидат медицинских наук Зульфия Гусейновна ГУСЕЙНОВА.
В плане лечения вам, Нина Васильевна, больше подойдут препараты, нормализующие функцию печени, #8212; урсосан, урсофальк, урсосал. Названий много, но все это препараты одного ряда, урсодезоксихолевой кислоты, которые являются основным строительным материалом печеночных клеток, нормализуют структуру и состав печени.
Учитывая явления фиброза, лекарства придется принимать непрерывно длительное время #8212; от 3 до 9 месяцев. Расчет препаратов зависит от массы вашего тела: 10 мг #8212; на 10 кг веса.
В лечении печени хорошо помогают семена расторопши. разжевывайте 1 ч. ложку семян, запивая водой, за полчаса до еды 3 раза в день в течение 1-2 месяцев.
Проблемы с поджелудочной железой, а также боли снимайте, принимая дюспаталин. 1 таблетка 1-2 раза в день. Курс #8212; 7-14 дней в зависимости от болевого синдрома.
Это лечение дополните приемом панзинорма или креона. которые улучшают функцию поджелудочной железы.
Заболевания печени и поджелудочной железы, к сожалению, отражаются на работе кишечника: может возникнуть склонность к запорам или поносу, газообразованию, спазмам#8230; В этом случае рекомендуются аптечные желчегонные сборы. Или в течение месяца пейте натощак каждое утро по 1 ст. ложке тыквенного масла .
Я назвала достаточно много лекарств, но все- таки, Нина Васильевна, не переусердствуйте с ними и по возможности заменяйте их травами, так как любой препарат, проходя через печеночную ткань, увеличивает нагрузку на печень.
Причем это касается не только лекарств, но и продуктов. Поэтому соблюдайте диету. Блюда должны быть в отварном виде или приготовленные на пару. Жареные, копченые и маринованные продукты, острые приправы, лук, орехи, шоколад запрещены.
Ешьте овощные и крупяные супы, макаронные изделия, курицу без шкурки, нежирную говядину, нежирные сорта рыбы, молоко и молочные продукты. Ограничьте сыр, вареную колбасу, яйца (не более 2 яиц в неделю в виде омлета).
Фиброзные изменения в поджелудочной железе
Воспаление в поджелудочной железе может быть как острым, так и хроническим. При этом отмечаются определенные изменения в самом органе, в зависимости от которых выделяют несколько разновидностей хронического панкреатита по клинико-морфологическим признакам. Одним из таких видов является фиброзный хронический панкреатит. В чем же он проявляется?
Фиброз поджелудочной железы носит диффузный характер и может выражаться в потере значительной части клеток органа.
Паренхима железы в этом случае замещается фиброзными клетками. Клинически такие изменения в железе выражаются проявлениями внутри- и внешнесекреторной недостаточности (в обоих случаях требуется лечение). Нередко они становятся последствием перенесенных других форм хронического воспаления. Фиброзные изменения могут затрагивать различные отделы органа: тело железы, ее хвост или головку.
Причины
Среди причин, приводящих к развитию фиброза в поджелудочной железе, можно выделить следующие:
- Перенесенное воспаление этого органа. Данные изменения могут отмечаться как после окончания острого процесса (если лечение было неэффективным или недостаточным), так и вследствие хронического воспаления в железе.
- Заболевания, связанные с обменом веществ. В данную группу можно отнести сахарный диабет, сидерофилию, муковисцидоз.
- Ранее проведенные хирургические вмешательства на органе, возрастные и атрофические изменения.
Признаки и симптомы
Клинические проявления фиброза во многом будут определяться причиной, его вызывавшей, т.е. зависеть от основного заболевания.
Если это обострение воспаления, то из основных симптомов можно отметить следующие:
- Боль в левом подреберье (или опоясывающая), отдающая в левую половину тела, которая по своей интенсивности может быть как резкой, приступообразной, так и ноющей, постоянной;
- Рвота, наблюдающаяся чаще всего после употребления жирной пищи;
- Изменения стула со склонностью к диарее, в кале могут присутствовать непереваренные кусочки пищи.
Если протекает хронический процесс, то все проявления фиброза могут быть стертыми. Иногда могут отмечаться некоторые симптомы:
- общие признаки нарушенного пищеварения (ухудшение аппетита, тяжесть в желудке, непостоянство стула);
- изредка появляющаяся ноющая боль в области левого подреберья;
- метеоризм;
- похудение.
Диагностика
Выявить фиброзные изменения в поджелудочной железе можно с помощью различных диагностических методов. Что же использует врач для постановки такого диагноза:
- клинические данные;
- лабораторные исследования, а также функциональные тесты;
- ультразвуковое исследование;
- инструментальные методы.
При этом следует отметить, что на начальных стадиях фиброза каких-либо выраженных клинических проявлений и не отмечается. Поставить диагноз и назначить соответствующее лечение в этом случае помогают другие методы.
Лабораторные анализы могут выявить снижение выработки некоторых ферментов – например, лактазы, липазы и амилазы.
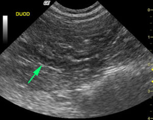
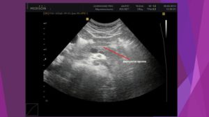
Но более информативным методом диагностики является ультразвуковое исследование. Одним из важных диагностических признаков в этом случае являются диффузные изменения железы. Контуры органа при этом могут быть неровными, а ее размеры, как правило, находятся в пределах нормы.
Лечение
Лечение фиброза во многом зависит от причины, вызвавшей данные изменения. Если это воспалительный процесс, то лечение проводят в зависимости от остроты процесса.
В этом случае могут быть назначены противовоспалительные препараты, спазмолитики, антибиотики, ферментные препараты. Обязательным является и соблюдение определенной диеты с исключением некоторых продуктов.
В частности, нужно полностью отказаться от жирной пищи и алкоголя.
Если фиброз выявлен на фоне хронического воспаления, то на первый план выходит соблюдение пищевого режима.
Если изначальной причиной стало другое заболевание (например, сахарный диабет), то требуется лечение основного заболевания.
В наиболее тяжелых случаях может потребоваться хирургическое лечение с последующим восстановлением и использованием санаторно-курортного лечения.
Прогноз заболевания зависит от степени поражения органа и имеющихся осложнений.
Автор. Марина Нагорная, специально для сайта Moizhivot.ru
Фиброз и фибролипоматоз поджелудочной железы
Фиброз поджелудочной железы не является самостоятельным заболеванием. Этим термином обозначают патологические изменения органа, которые обычно являются признаком хронического панкреатита. Фиброз определяется на УЗИ. Как правило, он не сопровождается симптомами, поэтому становится случайной находкой врачей при плановом обследовании пациента.
Причины фиброза
При фиброзе поджелудочной железы паренхима органа постепенно замещается соединительной тканью. Это происходит вследствие ее повреждения патологическим процессом. Обычно причиной является хронический или острый панкреатит.
Наличие очага воспаления в поджелудочной железе вызывает омертвение участков органа. Поврежденные участки постепенно замещаются фиброзной тканью.
Факторы, повышающие вероятность развития данного патологического процесса:
- болезни желчевыводящих путей;
- ожирение;
- регулярное употребление больших доз алкоголя;
- курение;
- инфекции;
- отравления;
- стресс;
- возраст после 60 лет;
- длительное применение медикаментозных средств.
Фиброз может быть:
- диффузным – фиброзная ткань равномерно распространена по всей паренхиме органа;
- очаговым – фиброзная ткань образует островки.
Если вся соединительная ткань растет в одном месте, врачи диагностируют фиброму. Это доброкачественная опухоль поджелудочной железы. Растет она очень медленно, метастазов не дает.
В большинстве случаев она не мешает больному жить, если только не разрастается до таких размеров, что оказывает давление на внутренние органы, нервы, кровеносные сосуды.
Иногда поврежденные участки органа замещаются не только фиброзной тканью, но и жировой. В таком случае врачи диагностируют фибролипоматоз поджелудочной железы.
Симптомы фиброза
Клинических признаков фиброз не имеет. Его можно увидеть на УЗИ. Замещение паренхимы соединительной тканью видит патологоанатом при вскрытии больного. А вот определить фиброз по симптомам нельзя.
Поэтому для фиброза характерны те же симптомы, что и для воспаления поджелудочной железы:
- тошнота;
- отрыжка;
- вздутие живота;
- икота;
- сухость во рту;
- диарея;
- повышенная температура тела;
- боль в животе без четкой локализации.
Эти симптомы больной ощущает не всегда, а только в периоды обострения заболевания. Во время ремиссии он либо ведет привычный образ жизни, либо компенсирует свое состояние при помощи правильно подобранного питания и медикаментозных средств.
Лечение фиброза
Фиброз не требует специфического лечения. Да оно и невозможно. Врачи пока что не изобрели таблеток, которые могли бы превратить соединительную ткань в паренхиму поджелудочной железы. Поэтому терапия фиброза направлена лишь на временное улучшение состояние пациента.
Первое, что необходимо сделать – сесть на диету. При хроническом панкреатите функция поджелудочной железы обычно нарушена. Пищеварение затруднено. При нарушении диеты у больного проявляются такие симптомы, как тошнота, боль в животе, метеоризм, отрыжка.
Пациенту необходимо изменить свое питание следующим образом:
- исключить жирную пищу;
- исключить продукты, возбуждающие секрецию пищеварительных соков – маринады, соленья, острые приправы, мясные бульоны, жареная и копченая пища;
- ввести режим дробного питания.
Таким способом достигается снижение нагрузки на поджелудочную железу. При фиброзе можно принимать препараты следующих фармакологических групп:
- спазмолитики (дротаверин);
- противорвотные (метоклопрамид);
- нестероидные противовоспалительные средства (диклофенак);
- пищеварительные ферменты (Пангрол, Креон).
Хирургического лечения данная патология обычно не требует. Исключение – это случаи, когда фиброзная ткань превращается в опухоль. Тогда за больным ведется наблюдение. Если опухоль начинает расти слишком быстро или она начинает сдавливать окружающие ткани, ее удаляют.
Профилактика фиброза
Чтобы избежать фиброза, необходимо следить за состоянием своей поджелудочной железы. Вот три фактора, которые вызывают гибель ее клеток:
- злоупотребление жирной пищей;
- алкоголь;
- курение.
Есть и другие причины воспалительного процесса в поджелудочной железе, но они в меньшей степени поддаются контролю. Чтобы через несколько лет у вас не обнаружили панкреатит, вы должны отказаться от вредных привычек.
Необходимо также выявить погрешности в питании и устранить их как можно быстрее. Эти меры с большой долей вероятности помогут предупредить воспалительные процессы и разрастания соединительной ткани в поджелудочной железе.
Внимание! Статьи на нашем сайте носят исключительно информационный характер. Не прибегайте к самолечению, это опасно, особенно при заболеваниях поджелудочной. Обязательно проконсультируйтесь с врачом! Вы можете записаться онлайн на прием к врачу через наш сайт или подобрать врача в каталоге .
Источники: http://sovetnaroda.ru/lechenie-dopolnit-rastoropsha/, http://moizhivot.ru/podzheludochnaya/pankreatit/fibroz.html, http://pankreatitpro.ru/zheleza/fibroz-i-fibrolipomatoz.html
Комментариев пока нет!
Источник: http://www.izlechisebya.ru/podzheludochnaja-zheleza/fibroz-podzheludochnoj-zhelezy-i-pecheni.html
Как определить фиброз печени по УЗИ? Виден ли фиброз при ультразвуковом исследовании?
Фиброз печени – процесс, характеризующийся замещением печеночной ткани на соединительную. В результате заболевания происходит нарушение функционирования органа. На начальной стадии очень сложно распознать болезнь. Фиброз печени на УЗИ проявляется изменением структуры органа.
Причины фиброза
Процесс рубцевания ткани не возникает как отдельная болезнь. Для развития заболевания необходимы факторы, которые запустят механизм образования соединительной ткани. Первопричины болезни разделяют на следующие группы:
- болезнь Вильсона-Коновалова;
- Приобретенные заболевания:
Симптомы фиброза печени
Процесс замещения печеночной ткани на соединительную развивается очень медленно и человек при наличии незначительного фиброза не ощущает никакого дискомфорта.
Первые симптомы чаще всего возникают на поздних стадиях заболевания. Отсутствие специфических жалоб — это главная опасность болезни.
Врачи рекомендуют при появлении следующих признаков необходимо пройти комплексное обследование для уточнения диагноза:
- периодические боли в области правого подреберья;
- носовые и другие кровотечения;
- слабость, общее недомогание;
- отсутствие аппетита, тошнота, рвота;
- повышение температуры тела.
Совокупность вышеперечисленных симптомов может указывать на накопление вредных веществ, которое возникло в результате болезни печени или желчного пузыря.
Диагностика заболевания
Для постановки окончательного диагноза назначают дополнительные лабораторные и инструментальные методы исследования:
- Клинический анализ крови. Снижение уровня: лейкоцитов, тромбоцитов, гемоглобина. Увеличивается показатель СОЭ. Иногда повышается уровень лейкоцитов.
- Общий анализ мочи. В моче появляется: белок, билирубин, цилиндры.
- Биохимический анализ крови. Нарушение электролитного равновесия и изменение уровней: холестерина, белка, билирубина, мочевины, протромбина, фибриногена и других компонентов крови.
- Иммунологические исследования. Необходимы для исследования иммунитета и выявления первичного заболевания, которое могут вызывать: вирусы, бактерии или паразиты.
- Фибротест, фибромакс. Позволяет оценить степень рубцовых изменений органа.
- Биопсия. Относится к золотому стандарту в диагностике фиброзирования печени. Только по результатам биопсии можно поставить точный диагноз.
- Эластография. Представляет собой современную разновидность ультразвука. На специальном приборе патологические измененные гепатоцитов подсвечиваются синим цветом.
- КТ, МРТ, УЗИ брюшной полости. Эти инструментальные методы предназначены для детального изучения структуры пораженного органа. Полученных данных недостаточно для постановки окончательного диагноза.
Виден ли фиброз печени на УЗИ?
При проведении диагностики получить однозначный ответ на вопрос о том виден ли фиброз печени на УЗИ невозможно. Поскольку изменение эхогенности и структуры органа может происходить при других заболеваниях, его можно легко спутать с другой болезнью.
Как определить фиброз по УЗИ?
Зачем проводят ультразвуковую диагностику и как определить фиброз по УЗИ, спросите вы? Распознать патологический процесс в паренхиматозном органе можно только по косвенным признакам. У пациентов с дегенеративным заболеванием печени наблюдается: асцит, изменение кровотока в воротной вене и увеличение размеров самого органа.
Лечение заболевания
На данный в момент в мире не существует единого препарата с противофиброзным действием. Лечение болезни начинают с диеты. Терапия основывается на устранении причины болезни, снижении интенсивности воспалительных процессов и подавлении активности звездчатых клеток в паренхиматозном органе.
Этиотропную терапию необходимо начинать с правильного питания, нормализации массы тела, отказа от употребления гепатотоксичных веществ. Назначают стол №5 по Певзнеру. После обследования узнают о причине развития. В зависимости от первопричинных факторов назначают: антибиотики, тромболитики, детоксицирующие, иммуномодулирующие, антигельминтные, противопротозойные средства.
Предотвратить дальнейшее замещение нормальной ткани на фиброзную можно при помощи лекарств, которые снижают воспалительные процессы в печени: цитостатики, антиоксиданты, иммунодепрессанты, нестероидные противовоспалительные средства, гепатопротекторов.
Как правило, фиброз печени является обратимым процессом. При неэффективности медикаментозного лечения проводят оперативное вмешательство. При несвоевременно начатом или неправильно подобранном лечении может начаться цирроз.
Профилактика и прогноз
Специфической профилактики фиброза нет. Но здоровый образ жизни и правильное питание существенно снижают риск развития патологии. Избегайте чрезмерного употребления алкогольных напитков и стрессов.
Прогноз для жизни пациента зависит от: причины возникновения патологического процесса, возраста, наличия сопутствующих заболеваний, скорости распространения фибриновой ткани в печени и индивидуальных особенностей организма.
Источник: https://progepatity.ru/fibroz/fibroz-pecheni-po-uzi
Фиброз печени
Фиброз печени – это заболевание, при котором нормальная паренхиматозная ткань печени заменяется соединительной тканью, в результате чего печень теряет свои функции.
Болезнь длительное время развивается бессимптомно. Это затрудняет диагностику и лечение.
Рассмотрим более подробно, что такое фиброз и как с ним справиться?
Предрасполагающие факторы
Фиброз печени является необратимым процессом. Заболевание развивается очень медленно. Первые 5-7 лет процесс никак себя не проявляет, потому обнаружить болезнь очень сложно.
Причины возникновения фиброза печени:
- самая основная – алкоголизм, в результате повышенной нагрузки печень работает на износ;
- неправильное питание (чрезмерное употребление жирной и жареной пищи, фаст-фуда и пр.);
- длительное лечение сильнодействующими медицинскими препаратами;
- отравление химикатами;
- вирусный гепатит (особенно С);
- тяжелые системные заболевания (сахарный диабет, гипертиореоз, желчекаменная болезнь);
- снижение иммунитета.
Отдельно различают такое заболевание как врожденный фиброз печени. Это тяжелый, генетически обусловленный процесс, в результате которого страдает не только печеночная ткань, но и сосуды, и желчные протоки. Формируются аномалии в печени еще во время внутриутробного развития.
Общая информация о заболевании
Предшествует фиброзу хроническое воспаление органа.
Чтобы отграничить патогенный очаг, печень начинает вырабатывать соединительную фиброзную ткань. Она плотнее, чем паренхима печени, потому на органе формируются рубцы.
Соединительная ткань содержит в себе большое количество коллагена и межклеточного вещества. Фиброзная ткань нарушает способность печени выполнять свои функции, из-за чего страдает весь организм.
Различают три типа фиброза в зависимости от происхождения:
- первичный нецирротический – возникает на фоне хронических заболеваний сердца, эхинококкоза и бруцеллеза. Проявляется процесс нарушением проходимости печеночных сосудов, в результате чего страдает питание органа;
- перипортальный – вызван заражением органа гельминтами (шистосомоз);
- наследственный фиброз (описан выше).
В зависимости от расположения очагов фиброза выделяют:
- венулярный – очаги в центре печени;
- перицеллюлярный – поражается оболочка гепатоцита (структурная единица печени);
- зональный – большие очаги фиброза, нарушается структура всего органа, он состоит сплошь из соединительнотканных тяжей;
- перидуктальный – поражена ткань возле желчных протоков;
- смешанный фиброз.
Как проявляется болезнь?
Для фиброза печени нет специфической симптоматики. Чаще всего заболевание диагностируют случайно, во время обследования соседних органов.
При заболевании возможны следующие проявления:
- тяжесть и ноющая боль в правом подреберье;
- снижение аппетита;
- расстройства пищеварения (тошнота, рвота);
- нарушения стула;
- слабость и сонливость;
- раздражительность;
- головные боли.
Все эти симптомы появляются после 2-3 стадии фиброза. Они могут быть проявлениями другого заболевания, потому диагностика фиброза печени существенно затруднена.
В запущенных случаях (3-4 стадия) присоединяется желтуха, асцит (скопление жидкости в брюшной полости), зуд кожных покровов, изменение цвета мочи и кала, нарушения сознания (печеночная энцефалопатия).
Диагностика фиброза
При появлении патологических симптомов пациент обращается в поликлинику. Лечением и диагностикой данного заболевания занимает гастроэнтеролог либо врач-терапевт.
Для того чтобы поставить диагноз, доктор проводит осмотр. На начальных стадиях он будет не информативен. Но если у пациента фиброз 3 или 4 степени, то при пальпации будет заметно увеличение печени в размерах, а также ее более плотная структура. Пациент может пожаловаться на болезненность при надавливании.
Дополнительно для диагностики используют:
- общий анализ крови – снижение гемоглобина, эритроцитов, повышенное СОЭ;
- общий анализ мочи – наличие в нем белка, цилиндров, билирубина;
- биохимический анализ крови – повышение активности всех печеночных показателей (АЛТ, АСТ, билирубин, ЩФ и пр.);
- УЗИ печени – во время обследования можно выявить увеличение органа в размерах и изменение его структуры: тяжи соединительной ткани, очаги фиброза, паразитарные кисты, расширение желчных протоков и сосудов печени;
- непрямая эластометрия – выполняется с помощью фиброскана, позволяет оценить структуру печени без нарушения целостности кожных покровов. Аппарат оценивает эластичность тканей: фиброзная ткань более плотная, чем нормальная паренхима печени;
- МРТ, КТ – определяется количество и качество фиброзных очагов.
Но чтобы поставить диагноз «фиброз печени» обязательно нужно провести биопсию. Во время обследования с помощью толстой трепанационной иглы (под контролем УЗИ) берут кусочек пораженной печеночной ткани для анализа.
Для оценки стадий фиброза используют следующую шкалу:
Образование фиброзной ткани
- 0 степень – фиброза нет;
- фиброз 1 степени – нарушена функциональность печени. Портальные тракты имеют звездчатую форму. Если заболевание обнаружено вовремя и начато лечение, прогноз благоприятный;
- фиброз 2 степени – количество фиброзных очагов увеличивается. Появляются единичные перегородки в печеночных долях. С помощью лекарственных препаратов возможно нормальное функционирование печени;
- фиброз 3 степени – печень пронизана тяжами из соединительной ткани, ее размеры увеличены, желчные протоки расширены. Прогноз неблагоприятный. Лекарственная терапия дает незначительное облегчение.
- 4 степени – заболевание переходит в цирроз, который не поддается лечению. Единственная возможность выжить с таким диагнозом – трансплантация печени.
Если у пациента есть противопоказания к биопсии (сниженная свертываемость крови, паразитарные кисты, тяжелое состояние больного) диагноз «фиброз печени» можно поставить на основании эластометрии.
Терапия заболевания
Лечение фиброза печени затруднительно, т.к. до сих пор не существует препарата, который мог бы полностью предотвратить образование соединительной ткани.
В терапии выделяют несколько направлений:
- воздействие на причину заболевания (противовирусная, антигельминтная терапия);
- устранение воспаления;
- торможение роста фиброзной ткани.
Для снижения воспаления используют:
- гормональные противовоспалительные средства – Преднизолон, Метилпреднизолон;
- гепатопротекторы – способствуют восстановлению печеночной ткани: Эссенциале, Карсил, Урсосан, Урсофальк, Гептрал, Гептор, Урсолив, Ливодекса (применяются в течение месяца);
- антиоксиданты – блокируют окислительные процессы в клетках печени: витамины Е, С, А;
- иммуносупрессоры – лекарства, подавляющие патологическую активность иммунной системы: Азатиоприн;
- цитостатики –средства, блокирующие быстрое деление фиброзных клеток: Метотрексат, Методжект.
Для подавления роста фиброзной ткани назначают:
- иммуномодуляторы – Виферон, Эргоферон (длительность приема 10-14 дней);
- вещества, улучшающие микроциркуляцию – Пентоксифиллин;
- антипролефиративные средства – снижают продукцию соединительных клеток: Альтевир.
Большое значение имеет коррекция образа жизни. Пациенту нужно полностью отказаться от алкоголя, а также ограничить использование гепатотоксичных препаратов (НПВС, стероиды и пр.). Обязательно нужно привести свой вес к нормальным цифрам и скорректировать питание. В рационе должно быть достаточно свежих овощей и фруктов, а также нежирного мяса и рыбы.
Профилактика и прогноз
Данное заболевание легче предотвратить, чем вылечить. Для этого нужно правильно питаться, не злоупотреблять алкоголем и лекарственными препаратами. Избегайте стрессов и переутомлений. Чаще бывайте на свежем воздухе.
https://www.youtube.com/watch?v=Ln-Kc696ty8
Сколько живут люди при фиброзе печени? Если заболевание диагностировано на ранних стадиях, то вполне вероятно, что пациент доживет до старости. При поздней диагностике (3-4 стадия) продолжительность жизни – 5-12 лет.
Чтобы вовремя начать лечение заболевания, проходите профилактический осмотр у доктора хотя бы раз в год.
Источник: https://jkt-expert.com/liver/fibroz-pecheni.html
Фиброз поджелудочной железы
Фиброз поджелудочной железы – диффузное пери- и интралобулярное замещение здоровой функционирующей ткани поджелудочной железы соединительнотканными очагами. Основными симптомами являются выраженная экзокринная (нарушение пищеварения, снижение веса, диарея) и эндокринная недостаточность органа (нарушение углеводного обмена).
Диагностика включает проведение лабораторных исследований, УЗИ поджелудочной железы, КТ, биопсии. Лечение направлено на коррекцию внешнесекреторной недостаточности (ферментные препараты), гипергликемии. Прогноз неблагоприятный: полное излечение невозможно, при адекватной терапии достижима компенсация панкреатической недостаточности.
Фиброз поджелудочной железы – клинико-морфологическая форма хронического воспалительного процесса панкреас, являющаяся исходом, завершающим этапом течения основного заболевания.
Распространенность фиброза поджелудочной железы неуклонно растет в связи с увеличивающейся частотой острых и хронических панкреатитов; данная патология диагностируется более чем у 40% пациентов с заболеваниями панкреас.
При злоупотреблении спиртными напитками полное замещение паренхимы поджелудочной железы фиброзной тканью развивается в течение 15-20 лет, что приводит к инвалидизации и летальному исходу.
Росту заболеваемости способствует неэффективное лечение основной патологии, несоблюдение пациентами рекомендаций, зачастую – продолжение алкоголизации. Лечением фиброза поджелудочной железы занимаются специалисты в области гастроэнтерологии, терапии, хирургии.
Причины фиброза поджелудочной железы
Основной причиной развития фиброза поджелудочной железы является хронический панкреатит. Специалистами доказано, что очаги замещения функционирующих элементов соединительной тканью формируются в периоды обострения воспаления, и их распространенность зависит от стажа заболевания.
К рецидивированию основной патологии и прогрессированию фиброза поджелудочной железы чаще всего приводит употребление алкоголя, но способствуют и такие факторы, как обилие в рационе жирной пищи, недостаток витаминов и антиоксидантов, микроэлементов.
Важную роль в развитии фиброза играет табакокурение, которое нарушает секрецию бикарбонатов поджелудочной железой и предрасполагает к разрастанию соединительной ткани.
Фиброз поджелудочной железы также может развиваться при заболеваниях, сопровождающихся повышением давления в протоковой системе панкреас (при патологии желчевыводящих путей и желчного пузыря): панкреатическая гипертензия приводит к нарушению целостности протоков, повреждению паренхимы, воспалению. К редким причинам фиброза поджелудочной железы относят гиперлипидемию, муковисцидоз, воздействие токсических веществ (в том числе лекарственных препаратов: гипотиазида, ацетилсалициловой кислоты и других), травмы.
Независимо от провоцирующих факторов, фиброз поджелудочной железы является следствием аутолиза ее паренхимы при активации протеолитических ферментов, отека, некроза и инфильтрации.
Патогенез заболевания при воздействии алкоголя имеет особенности: в результате алкогольного повреждения снижается содержание в панкреатическом соке бикарбонатов и повышается уровень белка, вследствие чего белковые преципитаты в виде пробок обтурируют мелкие протоки, создавая условия для формирования фиброза поджелудочной железы.
Клиническая картина фиброза поджелудочной железы определяется внешнесекреторной недостаточностью (снижением секреции ферментов, бикарбонатов и уменьшением объема панкреатического сока) и нарушением углеводного обмена.
Объем продуцируемых ферментов снижается на 80-90% и более, поэтому симптомы экзокринной недостаточности при фиброзе поджелудочной железы выражены существенно: снижается масса тела, имеет место диарея до восьми раз в сутки (при приеме ферментных препаратов и соблюдении пациентом диеты данный признак может быть менее выраженным или даже отсутствовать), стеаторея.
Вследствие нарушения секреции бикарбонатов снижается интрадуоденальный уровень рН, что приводит к активации цАМФ клеток кишечной стенки и секреторной диарее: наблюдается водянистый стул. Снижение массы тела вызвано не только нарушением переваривания пищи и ее всасывания в кишечнике, но и ограничением ее объема при болевом синдроме.
У подавляющего большинства пациентов имеет место нарушение углеводного обмена, а у двух третей – признаки сахарного диабета (сухость во рту, жажда, общая слабость, кожный зуд, сонливость).
Поскольку фиброзные изменения затрагивают все клетки островкового аппарата железы, снижается секреция и инсулина, и глюкагона.
Диабет при фиброзе поджелудочной железы редко сопровождается гипогликемическими состояниями, кетоацидозом, ангиопатией.
Диагностика фиброза поджелудочной железы
Консультация гастроэнтеролога при фиброзе поджелудочной железы позволяет выявить некоторые объективные признаки патологии: дистрофические изменения (вплоть до кахексии), сухость кожи, языка, цианоз, покраснение лица, атрофию подкожной клетчатки в области проекции панкреас.
Поджелудочная железа пальпируется в виде плотного тяжа. В лабораторных анализах определяется выраженное уменьшение содержания белка крови, снижение альбумино-глобулинового коэффициента.
Активность панкреатических ферментов, в том числе амилазы, низкая (это неблагоприятный признак, свидетельствующий о тотальном поражении поджелудочной железы).
Важный метод диагностики фиброза поджелудочной железы – ультразвуковое исследование органов брюшной полости (УЗИ брюшной полости). Определяется диффузное повышение эхогенности органа, структура неоднородная, размеры уменьшены; возможно выявление расширения вирсунгова протока.
Более информативна эндоскопическая ультросонография, которая позволяет выявить линейные тяжистые включения разной протяженности и формы, бугристость контуров, гиперэхогенность паренхимы. При проведении ЭРХПГ выявляются изменения протокового аппарата, вызванные образованием рубцов.
Для подтверждения диагноза может проводиться КТ поджелудочной железы. Если данный метод диагностики не дает необходимой информации, выполняется биопсия поджелудочной железы, которая является «золотым стандартом» диагностики фиброза поджелудочной железы и позволяет получить достоверные данные о морфологических изменениях органа.
Лечение фиброза поджелудочной железы направлено на восполнение внешне- и внутрисекреторной недостаточности. Назначается диета № 5п, включающая стимулирующие секрецию ферментов блюда, продукты с высоким содержанием белка.
Этиотропное лечение заключается в устранении причин патологии (исключение употребления алкоголя, проведение холецистэктомии при желчнокаменной болезни, хирургическое лечение папиллостеноза и т. д.).
С целью замещения экзокринной недостаточности назначаются ферментные препараты: панкреатин, липаза и другие. При абсолютной недостаточности поджелудочной железы данные препараты применяются постоянно в максимальных дозировках.
Критериями эффективности заместительной терапии являются прекращение снижения массы тела, снижение диспепсических явлений, устранение диареи. Коррекция нарушений углеводного обмена проводится пероральными сахароснижающими препаратами; крайне редко требуется инсулинотерапия.
Вне эпизодов обострения основного заболевания показано санаторно-курортное лечение.
При выраженном болевом синдроме, неэффективности консервативной терапии, стремительном снижении веса, частых рецидивах панкреатита проводится хирургическое лечение фиброза (резекция поджелудочной железы в различных объемах).
Прогноз и профилактика фиброза поджелудочной железы
Прогноз при фиброзе поджелудочной железы определяется объемом функционирующей ткани, а также соблюдением пациентом рекомендованного лечения. При полном пожизненном отказе от алкоголя, правильном применении ферментных препаратов возможно длительное течение заболевания без существенного прогрессирования. Однако не существует методов, позволяющих устранить фиброз.
Профилактика патологии заключается в отказе от алкоголя, своевременном лечении заболеваний, которые могут стать причиной фиброза поджелудочной железы. Пациенты с диагностированным фиброзом подлежат диспансеризации. Дважды в год необходимо профилактическое обследование с оценкой наличия или отсутствия прогрессирования и проведением коррекции терапии (при необходимости).
Источник: https://www.krasotaimedicina.ru/diseases/zabolevanija_gastroenterologia/pancreatic-fibrosis
Первые признаки фиброза печени и способы его лечения
Фиброз печени – болезнь, которая угрожает здоровью и жизни человека. Данная патология встречается у взрослых пациентов и детей, проявляется постоянными болями в области живота, запорами, жаждой. Ранняя диагностика позволит вовремя выявить патологию, предотвратить развитие тяжелых осложнений. Именно поэтому важно знать, что такое фиброз печени, основные причины и признаки заболевания.
Описание болезни
При фиброзе печени отмечается патологическое разрастание соединительной ткани, которое не приводит к изменению структуры органа. Поэтому доли печени продолжают выполнять свои функции на протяжении длительного времени.
Однако разрастание фиброзных тканей постепенно вызывает деформацию печени что нарушает ее функциональность.
Как развивается патология?
Медики выделяют 4 стадии фиброза печени:
- Фиброз печени 1 степени. Характерно наличие незначительного количества расширенных портальных трактов. Заметны небольшие изменения во внешнем виде печени, появляется соединительная ткань. Если диагностировать заболевание на первой степени, то прогноз благоприятный.
- Фиброз печени 2 степени характеризуется серозными изменениями. Портальные тракты расширены, поэтому печень изменяет свой внешний вид. При отсутствии лечения этот этап развития может привести к развитию тяжелых осложнений.
- Фиброз печени 3 степени проявляется возникновением рубцовой ткани. Патология получила название мостовидный фиброз печени. На третьей стадии патология имеет благоприятный исход только при точном выполнении рекомендаций врача, положительной реакции организма на медикаментозную терапию.
- Фиброз печени 4 степени. Это финальная стадия патологии, при которой рубцовая ткань практически полностью покрывает пищеварительный орган. Как результат образуются ложные доли печени. Как лечить заболевание на данном этапе? Печени фиброз вылечить поможет только операция.
Излечим ли фиброз печени? Только трансплантация сможет спасти больного на 4 стадии, вернув его к нормальной жизни.
Классификация заболевания
Принята следующая градация фиброза в зависимости от локализации патологического процесса:
- перипортальный фиброз. Данная форма развивается на фоне шистосоматоза (заражения трематодами), который приводит к развитию повышенного давления воротной вены. Характерно образование соединительной ткани вокруг гепатоцитов и желчных ходов;
- перигепатоцеллюлярная форма. Характерно развитие изменений в гепатоцитах;
- портальный фиброз. Печеночный кровоток нарушен вследствие сужения внутрипеченочной, воротной и селезеночной вен;
- очаговый фиброз. Характерно появление мелких рубцов на месте узелков печени, что указывает на раннее повреждение.
Кардиальный фиброз печени развивается на фоне сердечной недостаточности и прочих тяжелых нарушений сердечно-сосудистой системы. Отдельно выделяют врожденную форму заболевания, для которой характерно развитие портального поражения печени, недоразвития некоторых сосудов органа, расширение желчных протоков.
Симптомы
Особенность заболевания — длительное бессимптомное течение, поэтому признаки фиброза печени обычно появляются спустя 4-5 лет. Это приводит к поздней диагностике патологии, осложняет лечение.
Выделяют такие симптомы фиброза печени:
- слабость, сниженная работоспособность;
- раздражительность;
- нарушение сна, рассеянность;
- анемия на фоне сниженного количества эритроцитов;
- склонность к образованию гематом и кровотечений;
- сниженный иммунитет.
Диагностика
При фиброзе печени проводят комплексную диагностику, которая предполагает осмотр пациента, лабораторную исследования, применение инструментальных методов.
Осмотр
На приеме лечащий врач должен узнать о времени появления болевого синдрома, наличии кровотечения, зуда, отечности. Собирают семейный анамнез – наличие у родственников заболеваний печени и болезней обмена веществ. Затем проводится осмотр пациента, пальпация области живота, оценка рефлексов и психологического состояния.
Особенности лабораторной диагностики
Исследование предполагает проведение следующих анализов:
- общий анализ крови. Определяет уровень гемоглобина, лейкоцитов, СОЭ, свертываемость крови;
- биохимическое исследование. Уровень микроэлементов, проверяют функции печени, поджелудочной железы;
- определяют маркер фиброза PGA-индекс;
- определение антимитохондриальных, антигладкомышечных и антинуклеарных антител, которые говорят о развитии аутоиммунного процесса;
- общий анализ мочи;
- исследование кала на глистную инвазию.
Инструментальные методики
Для подтверждения диагноза применяют следующие исследования:
- УЗИ печени. Позволяет определить видимые участки фиброзных тканей в органе. Также на УЗИ увидеть можно изменения в структуре желчных протоков и почек.
- Компьютерная томография. Позволяет определить видные опухолевые процессы, очаговые изменения в органе.
- Тонкоигольная биопсия. Процедуру проводят под контролем УЗИ, позволяет дифференцировать цирроз, рак и фиброз печени.
- Эластометрия. Процедура помогает наблюдать в динамике за развитие патологического процесса в печени.
Лечение
Лечение фиброза печени предполагает не только купирование симптоматики, но и устранение причин патологии. Общие принципы терапии основаны на следующей схеме:
- при алкогольном фиброзе необходимо устранить алкогольную зависимость. В некоторых случаях потребуется госпитализация пациента в наркологическую клинику;
- при вирусной этиологии назначают препараты Интерферона, которые обладают противовирусным и иммуномодулирующим действием;
- при воздействии токсических веществ необходимо ограничить их поступление, провести детоксикационное лечение;
- аутоиммунное происхождение патологии предполагает использование кортикостероидов для снижения воспаления и Азатиоприна для уменьшения активности иммуноглобулинов;
- при застойных явлениях применяют желчегонные средства, спазмолитики. Если присутствуют конкременты, то необходимо их удалить хирургическим путем;
- при портальной гипертензии показаны мочегонные препараты;
- восстановить поврежденные гепатоциты помогут гепатопротекторы (Урсохол, Эссенциале, Гептрал).
При фиброзе печени лечение применяется также симптоматическое для устранения сыпи, депрессии, головной боли, утомляемости.
Нетрадиционная медицина
Эффективно лечить фиброз печени помогает китайская медицина. Применение методик позволяет полностью вылечить заболевание на начальных стадиях, оздоровить пищеварительный орган. Медицина из Китая основана на использовании безопасных и действенных методов.
Лечение печени народными средствами малоэффективно, однако можно использовать один-два рецепта после консультации с медицинским персоналом в качестве вспомогательных мер.
Диетическое питание
В терапии заболеваний пищеварительного тракта важную роль играет диета. При фиброза показан стол №5. Диетическое питание предполагает соблюдение следующих правил:
- устранение из рациона животных жиров;
- употребление отварных, печеных продуктов;
- пища должна быть теплой;
- отказаться от употребления жирных сортов мяса;
- снизить потребление соли;
- дробное питание до 6 раз в день;
- исключение из питания бобовых, белокочанной капусты.
Профилактика
Профилактические мероприятия основаны на следующих действиях:
- снизить физические нагрузки;
- избегать переживаний и стрессовых ситуаций;
- отказаться от никотина и алкоголя;
- не использовать сильнодействующих медикаментов без назначения врача.
Советы и рекомендации
Соблюдение основных правил здорового образа жизни, умеренные нагрузки помогут снизить риск развития заболевания, улучшить самочувствие. Следует больше времени проводить на природе: в горах, лесу.
Если существуют патологии пищеварительного тракта, то необходимо регулярно проводить фиброгастроскопию. Ведь лечение заболеваний органов ЖКТ позволит снизить риск развития фиброза.
Фиброз печени не приговор. Своевременная диагностика и систематическое лечение позволяет облегчить состояние пациента.
Источник: https://GastroSapiens.ru/pechen/zabolevaniya-pech/fibroz.html
Поделиться:




