Нет зубному налету! Профилактика и удаление в домашних условиях
Мягкие отложения на эмали образуются у всех вне зависимости от того, насколько тщательно соблюдаются правила гигиены полости рта. Что же представляет собой зубной налет, насколько он опасен и как его устранить в домашних условиях?
Оглавление
Зубной налет – это…
Это наслоение на эмали различных веществ: от остатков пищи до клеток слизистой и микробов. Именно такие скопления являются главной причиной нехорошего запаха и более серьезных последствий, о которых расскажем чуть позже.
А пока несколько интересных фактов о зубном налете:
- Он локализуется как на зубах, так и пломбах и ортопедических конструкциях (коронки, протезы).
- Его состав на верхних и нижних зубах отличается. На верхних концентрируются аэробные бактерии, которые чаще вызывают кариес.
- Если своевременно не почистить зубы, число бактерий возрастает в геометрической прогрессии. В течение первых 3-4 часов после гигиены рта содержание бактерий составляет несколько десятков тысяч на 1 грамм, а вот через несколько суток – уже сотни миллиардов.
В чем опасность зубного налета?
Отталкивающий запах и потемнение эмали на несколько тонов – лишь верхушка айсберга. Бактериальные скопления куда более опасны, чем может показаться.
Все воспалительные процессы во рту начинаются как раз с безобидных отложений. Их несвоевременное удаление может привести к поражению эмали и воспалению десен. Твердые отложения формируют зубной камень, который приводит к ряду серьезных проблем.
Патогенные микробы, содержащиеся в налете, начинают разрушать соединения между деснами и зубами, оседают в них, приводя к расшатыванию зубов. Некачественная гигиена ротовой полости – одна из причин заболеваний внутренних органов.
Продукты распада бактерий действуют как токсины, снижая иммунитет и приводя к хроническим заболеваниям.
Механизм появления
Образование нетвердого зубного налета – нормальный и беспрерывный процесс, проявляется он у всех: и детей, и взрослых. Это особенность микрофлоры рта, не всегда связанная именно с пережевыванием пищи. На слизистой всегда присутствуют микроорганизмы, и даже после интенсивной чистки или полоскания часть их остается.
Зубная эмаль покрыта пелликулой – особой мембраной толщиной до 1 мкм. Именно через нее зубы взаимодействуют со слюной и микрофлорой рта. В ее составе есть протеины, антитела, ферменты и другие вещества.
Бактерии, содержащиеся в слюне, выделяют особые соединения, с помощью которых прикрепляются к пелликуле. В итоге образуется мягкий налет, толщина которого увеличивается по мере скопления на нем частиц пищи, бактерий, лейкоцитов и других соединений.
Если вовремя не снять зубной налет, он становится твердым, и тогда речь уже пойдет о зубном камне.
3 этапа образования налета на зубах
1. Длится 3-4 часа после гигиены рта. Патогенные микроорганизмы, которые остались в ротовой полости, начинают размножаться и ко второй стадии их число достигает около 1 млн.
2. Длится 4-7 часов после чистки. Микробы начинают скапливаться на поверхности зубной эмали, образуя мягкий слой. В основном это лактобактерии и стрептококки. К концу периода их число возрастает в 10 раз.
3. Через 7 и более часов после гигиены рта налет можно увидеть на зубах. В нем преобладают анаэробные микробы (не нуждаются в кислороде), которые выделяют вещества, разрушительные для зубной эмали.
Значимость регулярной и качественной чистки зубов переоценить сложно. опасность налета – его быстрое перевоплощение в зубной камень, который в домашних условиях удалить почти невозможно.
Почему на зубах образуется налет?
Начнем с того, что его появление – процесс естественный. Если говорить о плотном зубном налете, который сложно устранить простой чисткой, или чрезмерном образовании отложений, причины сводятся к следующему:
- нерегулярная и некачественная гигиена рта, в том числе связанная с неправильным выбором щетки и пасты;
- вредные привычки;
- злоупотребление черным кофе и чаем;
- преобладание в рационе мягких и рафинированных продуктов;
- нарушение прикуса;
- периодонтит – воспаление десен у зубных корней;
- длительная антибактериальная терапия, нарушение микрофлоры;
- сбои в метаболизме, приводящие к изменению минерального состава слюны, которое способствует усиленной минерализации.
Желтый и белый
Самые безобидные и простые в удалении. Желтый зубной налет имеет мягкую структуру и образуется каждый день, в основном после еды. Основные места локализации: корни зубов. Достаточно почистить зубы хорошей пастой, чтобы временно от него избавиться. Опасности в желтых отложениях на эмали нет: главное своевременно их удалять.
Белый налет формируется во время сна. Поэтому так важно чистить зубы утром.
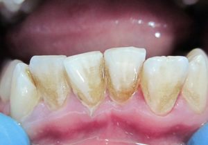
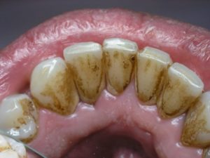
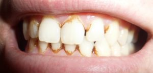
Коричневый
Так называемый «налет курильщика», для которого характерен темный оттенок. Причина образования – окрашивание светлого налета пигментами, содержащимися в никотине, кофе, черном чае.
В этих продуктах есть красящие частицы, которые «липнут» к естественному светлому налету и окрашивают его.
Профилактикой его появления является отказ от вредных привычек, а для удаления темного зубного налета эффективны отбеливающие пасты высокой абразивности и профессиональная чистка у стоматолога.
Черный
Такой зубной налет часто образуется у детей. Является тревожным признаком заболеваний пищеварения, грибковых инфекций ротовой полости, паразитов в кишечнике. С гигиеной он никак не связан: чтобы убрать налет, нужно устранить причину его появления.
Чернота на зубах у взрослых может появляться из-за наличия медных протезов, работы, связанной с вредным производством, вредных привычек, несоблюдения гигиены.
Профилактика
Лучшая профилактика – комплексная гигиена ротовой полости. Желательно не только регулярно чистить зубы, но и использовать другие средства, минимизирующие количество патогенных микробов во рту.
Хорошая зубная щетка
Она должна качественно очищать поверхность зубов (в том числе труднодоступные участки), при этом не повреждая эмаль. Важен индивидуальный подход при выборе щетки: учесть необходимо возраст, состояние зубной эмали, тип налета.
Все щетки R.O.C.S. разработаны при участии стоматологов. Оптимальная жесткость, качественное волокно и продуманная форма обеспечат эффективное очищение зубов от налета и сохранят здоровье эмали.
Бактериальные наслоения образуются не только на зубах, но и на брекетах и других конструкциях. Чтобы обеспечить их качественную чистку, используйте специальную щетку R.O.C.S. PRO Brackets & Ortho, которая прекрасно с этим справляется.
Зубные щетки R.O.C.S. для детей и подростков сгруппированы по возрастам. Каждая модель разработана с учетом анатомических особенностей зубов ребенка и обеспечит надежную профилактику образования зубного налета и связанных с ним негативных последствий.
Зубные пасты
Чтобы поддерживать здоровую белизну зубов, достаточно регулярно чистить зубы хорошей пастой, подобранной с учетом состояния зубной эмали.
Если эмаль чувствительная, отбеливающие пасты лучше не использовать, исключение – специально разработанные средства: например, R.O.C.S. PRO Fresh Mint с эффектом деликатного отбеливания или R.O.C.S. PRO Oxywhite Кислородное отбеливание, не содержащие абразивных частиц.
Флоссы
Зубная нить чистит те места, куда щетке сложно проникнуть – промежутки между зубами. Флоссы от R.O.C.S подходят людям с повышенной чувствительностью эмали. Использовать нить необходимо после каждого приема пищи. Обрабатывать нужно каждый промежуток.
Ополаскиватели для полости рта
Чистить зубы необходимо не больше двух раз в день. С утренней до вечерней чистки проходит по меньшей мере 14 часов. За это время бактерии успевают значительно размножиться.
Увеличивать количество чисток не вариант, есть риск повредить эмаль. Выручают ополаскиватели, которые убивают часть бактерий и позволяют избавиться от остатков пищи в ротовой полости. Особенностью ополаскивателей R.O.
C.S. является их натуральный состав, в котором отсутствует спирт, фториды, антисептики. Они не только убивают микробы и нейтрализуют неприятный запах, но и активно восстанавливают эмаль и безопасны при проглатывании.
Удаление зубного налета в домашних условиях
Речь пойдет об удалении отложений, с которыми не справляется обычная зубная паста и щетка. В отличие от зубного камня, налет в большинстве случаев можно удалить, не прибегая к стоматологическим процедурам. В редких случаях может потребовать профессиональная чистка.
Профессиональная зубная щетка
На начальных стадиях формирования отложений (налет уже не мягкий, но в камень пока не превратился) людям со здоровой эмалью можно попробовать электрическую или ультразвуковую зубную щетку. Их нельзя использовать при высокой подвижности зубов, воспалениях десен, стоматите.
При наличии противопоказаний или чувствительной эмали лучше отдать предпочтение обычной щетке с эффектом отбеливания. Полимерное покрытие волокон щетки R.O.C.S. обеспечивает отличную полировку эмали и устранение налета.
Зубные пасты с интенсивным воздействием
Темный зубной налет чаще всего беспокоит курильщиков, любителей красного вина, кофе и других красящих продуктов. Зубные пасты R.O.C.S. Антитабак и R.O.C.S. Кофе и табак специально разработаны для бережного отбеливания и подходят для регулярного применения.
Если налет стойкий и не очищается обычной пастой, на помощь приходят отбеливающие средства, например, паста R.O.C.S. «Белый стих», усиленная микрочастицами диоксида кремния.
Чтобы предотвратить повреждение зубов после использования отбеливающих паст, используйте гели R.O.C.S. Medical Minerals. Их эффект – реминерализация эмали и ее укрепление.
Вспомогательные средства
Для усиления эффекта есть смысл использовать средства, растворяющие налет и придающие блеск эмали. Отбеливающий ополаскиватель R.O.C.S. Black Edition в комплексе с высокоинтенсивными пастами поможет убрать темный налет там, где обычная чистка не помогает.
Действие средства направлено на подавление анаэробных бактерий, которые являются основной причиной затвердевания отложений и кариеса.
Подведем итоги
- Образование зубного налета – естественный процесс, характерный для каждого человека.
- Мягкий налет при своевременном очищении не опасен, но со временем он затвердевает, принимая структуру зубного камня.
- Желтый и белый налет не представляет опасности, а вот темный и черный не только нарушает эстетику, но и может свидетельствовать о внутренних заболеваниях.
- В зоне риска формирования стойкого налета: курильщики, любители кофе, черного чая и красного вина, люди с нарушением прикуса и обмена веществ.
- Лучшая профилактика зубных отложений – отказ от вредных привычек, нормализация питания и соблюдение гигиены полости рта. Следует не только чистить зубы 2 раза в день, но и использовать ополаскиватели и флоссы.
- Значение имеет качество пасты и зубной щетки.
- Чтобы очистить плотный и темный зубной налет в домашних условиях, необходимо использовать зубные пасты и щетки с отбеливающим эффектом.
Источник: https://rocs.ru/blog/zubnoy-nalet/
Налет на зубах как избавится: от чего появляется фото и видио
Проблема появления налета известна каждому из нас. Она встречается уже с младенчества и сопровождает нас до самой старости. Но наличие налета не говорит о том, бороться с ним бесполезно. Если вы будете соблюдать тщательную гигиену полости рта и посещать стоматологический кабинет хотя бы раз в год, то проблему можно решить.
Зубной налет
Зубной налет представляет из себя простые остатки пищи, микрочастицы слизистой оболочки и некоторые бактерии, помогающие пищеварению, которые не были своевременноу счищены с поверхности зуба.
Все эти компоненты образуют массу в виде налета.
Если сразу не устранить незначительный налет, то спустя какое-то время может произойти его укрепление и минерализация, что чревато таким недугом как зубной камень, смыть, удалить который можно только в кабинете у стоматолога.
Зубной налет бывает двух типов. Первый тип — мягкий, второй — твердый. Также его классифицируют по цветовой гамме: белый, жёлтый, коричневый, черный и зеленоватый. Любой зубной налет, вне зависимости от цвета, содержит в своем составе 85 процентов воды, фторид кальция и неорганические виды фосфата.
Почему появляется зубной налет
Налет появляется не только у зрелых людей под воздействием употребления вредных продуктов и наличия вредных привычек, но и у маленьких детей в любом возрасте — от младенчества до подросткового возраста.
Причины появления налета бывают разнообразными. Стоматологи выделяют наиболее частые среди них, такие как:
- Плохой уход за полостью рта либо полное пренебрежение им. Эта причина считается основной и самой популярной среди всевозможных источников появления налета. Запомните, что зубы необходимо чистить не реже двух раз в день. Продолжительность чистки — не менее пяти минут. Не забывайте уделять внимание каждой челюсти как с внешней, так и с внутренней стороны. Если вы удачно и правильно подберете чистящие средства, то это станет гарантом отсутствия налета.
- Задерживание частиц пищи в межзубных пространствах. Остатки пищи часто остаются на деснах и зубах. Для того чтобы обезопасить себя от их скопления, пользуйтесь зубными нитками, палочками, полощите чаще полость рта. В ином случае ситуация может обернуться появлением зубного кариеса и пародонтоза.
- Мягкая пища способствует появлению налета у маленьких детей, а жесткая и грубая — способствует устранению налета. Зубы самоочищаются.
- Если вы едите пищу только одной стороной челюсти, то сторона, которая находится в покое, не очищается, и на ней скапливается налет.
- Курение табака гарантирует вам появление пленки на зубах, которая не смывается. Она остается на слизистой оболочке и деснах. Эта пленка является некой клейкой лентой, на которой скапливаются остатки пищи и вредные бактерии.
- Наличие проблем в желудочно-кишечном тракте или эндокринной системе может стать источником образования излишнего налета.
- При аллергии, нарушениях обмена веществ — в солевом балансе или в балансе щелочности слюны процесс дезинфекции в полости рта нарушается, и налет скапливается активнее.
- Гормональный сбой в организме вызывает на зубах налет зеленого цвета. В большинстве случаев встречается у подростков и беременных женщин.
Причины образования налета
Причины и скорость образования налета на зубах зависят от разных факторов. Современный образ жизни достаточно своеобразен, у людей появились различные привычки, которые усиливают накопление зубного налета. Например, употребление продуктов и напитков, содержащих всевозможные красители.
Алкоголь и табакокурение, привычка выпивать по несколько чашек крепкого кофе или чая в день — всё это является огромной причиной для беспокойства с точки зрения стоматологии.
Зубы лишаются белого окраса, становятся хрупкими, болезненными, появляются кариес, воспаление, зубной камень.
Однако наличие нехороших привычек и неправильного рациона питания не являются единственными проблемами полости рта. Некоторые виды налета появляются в связи с наличием различных заболеваний в организме человека.
Иногда это обуславливается длительным приемом антибиотиков или работой на вредных предприятиях. Если у ребенка обнаружен дисбактериоз, то вы заметите, что его налет очень ярко выражен. В таких ситуациях избавиться от грибкового налета можно лишь вылечив кишечник.
Налет на зубах причины могут быть разными:
На появление налета и его распределение в полости рта влияют такие факторы, как:
- особенности рациона;
- анатомическое строение зубов;
- индивидуальные свойства слюны;
- количество углеводов, которые ферментируются;
- состояние здоровья десен и отсутствие процессов воспаления;
- уникальное строение языка, челюсти и формирования жевательных процессов.
Межзубный налет
Чтобы избежать возникновения кариеса, заболеваний десен и пародонтоза, важно соблюдать качественную гигиену полости рта, устраняя все образования в щелках между зубов. Наибольшее количество налета скапливается между зубиками.
Устранить такой налет самостоятельно можно при помощи зубной нитки, щетки с пастой или специальных тонких ершиков для чистки зубов. Регулярное использование ершика помогает избавиться от множества проблем, налет не будет скапливаться, и ваши зубы будут здоровыми.
Разнообразие ершиков позволит подобрать продукцию по вашему вкусу, исходя из состояния здоровья ваших зубов и физического строения. Допустим, ваши зубы очень плотно прилегают друг к другу, тогда вам поможет тонкий ершик. Если пространства между зубами достаточно просторные, то приобретите крупный ершик с густой щетиной.
ВАЖНО! Если под рукой не имеется зубной нити, то используйте простую спринцовку, она будет служить в качестве ирригатора, прочищая зубы струей воды под давлением.
Темноватый налет
Тёмный налет обусловлен наличием пигмента, который поступает в организм вместе с никотином и напитками, содержащими мощные красители.
В других ситуациях темный налет обусловлен наличием проблем с обменом веществ. Слюна является защитником, который очищает и дезинфицирует зубы.
Необильное выделение слюны может послужить мотиватором для развития патогенных бактерий, что служит провокацией для появления налета на зубах.
У некоторых детей часто встречается темный налет. Его оттенки колеблются от коричневого до светло-серого. В большинстве случаев причиной является дисбактериоз.
Устранить проблему можно только в условиях стоматологического кабинета. Только квалифицированный специалист сможет помочь вашему ребенку. Домашнее лечение не принесёт плодов.
Если вы будете использовать усиленную чистку зубов, то ситуация может даже усугубиться.
Налет черного цвета
Если вы обнаружили, что у вашего ребенка есть налет ярко выраженного черного цвета, то вы должны знать — его причина кроется в наличии проблем с функциями пищеварительной системы, дисбактериозе или даже в наличии гельминтов.
Если налет черного цвета диагностирован в зрелом возрасте, то речь идет о чрезмерном употреблении никотиновых продуктов, кофе и спиртных напитков. Кроме нехороших привычек, черный налет появляется из-за:
- долгого употребления антибиотиков и других сильных медикаментов;
- наличия заболеваний в сложной форме — проблемы с печенью или оттоком желчи, заболевания селезенки и разнообразные вирусные проблемы;
- вредной работы;
- лечения при помощи химиотерапии.
Как убрать налет с зубов? Устранение такого вида налета можно сделать, только если будет устранена первопричина его образования. При помощи простых паст и щеток убрать его не получится. Необходимо тщательное лечение стоматолога и терапевта, которые определят источник заболевания и направят вас к нужным специалистам.
Налет желтого цвета
Зубы желтого цвета являются врожденным параметром. Некоторые люди имеют желтую эмаль, которая достаточно крепкая. Поэтому ее невозможно очистить без разрушения структуры.
Если ваша эмаль имеет желтый цвет, то это говорит о том, что ваши зубы насыщены излишними минералами. Это может быть обусловлено рационом или наличием примесей в воде, которая характерна для вашего региона.
Белый налет на зубах
Такой налет считается самым популярным. Он имеет мягкую консистенцию и накапливается у каждого человека в течение дня и ночи. Он состоит из кусочков пищи и бактерий.
Не всегда его наличие чревато неприятностями. Однако если не устранить вовремя мягкий белый налет, то он начнет трансформацию в зубной камень. Кроме этого его наличие влияет на образование кариозных полостей.
Налет, образовавшийся в таком случае, не опасен.
Если вы плохо чистите собственные зубы, то налет материализуется. Первопричины светлого налета:
- авитаминоз;
- неправильный рацион;
- обилие мягкой пищи в рационе;
- плохая гигиена зубов.
Если вы не можете сами устранить белый налет на зубах, то обратитесь за стоматологической помощью. Врач поможет подобрать вам правильные средства гигиены или произведет профессиональную чистку полости.
Коричневый налет на зубах
Такой налет является «визитной карточкой» любителей табака и кофе. Красящие пигменты этих веществ образуют на зубах тонкую пленку, которая хорошо прикрепляет к себе различные частички. Удалить такой налет можно только у стоматолога. Самостоятельно сделать это невозможно – вы можете нарушить структуру эмали.
Кроме нехороших привычек, коричневый налет может образовываться из-за проблем с переработкой в организме железа, которое помогает слюноотделению.
При обращении к стоматологу важно узнать первопричину такого налета.
Налет после ампутации
Удаление зуба является очень сложной операцией, которая сопровождается травмированием мягких тканей десен. Заживление происходит не сразу, могут образоваться кровавые сгустки. Если вы замечаете обильный налет после удаления зуба, то это знак того, что врач повредил десны, и начался некроз. Это является нормальной реакцией на травмирование, и поводов для беспокойства нет.
Паниковать следует, только если наличие налета сопровождается болью и симптомами появления гноя. Это говорит о наличии воспалений травмированной полости. В такой ситуации обратитесь к врачу, который обработает проблемные места антисептическим раствором.
Налет на детских зубах
У детей очень часто может появиться налет. В первую очередь, потому что они не способны качественно осуществлять чистку зубов. Если у ребенка налет имеет желтый оттенок, то это говорит о наличии кариеса, который спровоцирован применением соски и употреблением сладких соков по ночам.
Налет других цветов говорит о том, что в организме происходят процессы, которые чреваты появлением грибковых инфекций. В таких случаях немедленно обратитесь к стоматологу.
Как избавиться от неприятного налета
Зубные врачи по всему свету стараются предостеречь пациентов от использования средств отбеливания в домашних условиях. Лучше использовать хорошую зубную пасту. Эффективность ее применения будет зависеть от характера налёта. Обычно выбор пасты происходит опытным путем.
Существует ряд советов для избавления от налета в домашних условиях:
- приобретите раствор для полоскания под названием «перидекс» либо «листерин»;
- сделайте собственную смесь для очистки зубов. Для этого соедините соду и перекись водорода;
- используйте настой лопуха и кожуры фасоли.
Также применяют золу баклажана в качестве добавки к зубной пасте.
Профессиональная чистка полости рта поможет вам справиться с налетом. Однако закрепление результата зависит только от вас.
Вы должны соблюдать регулярную и качественную гигиену полости рта и регулярно посещать врача. В налете нет ничего страшного, но если вы запустите ситуацию, то проблем не избежать.
Следите за своим здоровьем и контролируйте своих детей. Это поможет вам избежать любых проблем.
Источник: https://ZubPro.ru/uhod-za-zubami/nalet-na-zubax.html
Зубной налет
Зубной налет – клейкие наслоения на поверхности зубной эмали, основу которых составляют скопления микроорганизмов и продуктов их обмена.
Зубной налет образуется на коронке зуба (особенно, на контактных поверхностях, в фиссурах, углублениях, ямках, пришеечной области, межзубных промежутках), а также вдоль и ниже десневого края.
Зубной налет в стоматологии относится к неминерализированным зубным отложениям и может встречаться в любом возрасте. Его поверхность покрыта слизистой мукоидной пленкой, поэтому зубной налет не смывается слюной и водой, но может частично удаляться во время приема пищи.
Через несколько часов после полного удаления зубной налет появляется вновь. При существовании более 1-3 суток (в среднем 48 ч) зубной налет созревает и за счет огромной концентрации бактерий, выделяющих агрессивные ферменты, вещества, растворяющие кальций, и эндотоксины, он приобретает патогенный потенциал.
Причины образования зубного налета
Зубной налет возникает в период покоя жевательно-речевого аппарата при отсутствии или ненадлежащем качестве гигиенического ухода за зубами и полостью рта.
На скорость и степень образования зубного налета влияют правильность и тщательность соблюдения гигиены полости рта, анатомическое строение зубов (в т. ч.
, наличие пломб, протезов, ортодонтических аппаратов и конструкций), микробная обсемененность ротовой полости, уровень процессов самоочищения (количество, вязкость слюны, рН и защитные свойства ротовой жидкости), характер пищевого рациона и интенсивность жевания, состояние ЖКТ, курение.
Зубной налет образуется быстрее во время сна, при недостаточности акта жевания, гипосаливации, ксеростомии, при избыточном употреблении рафинированных углеводов (сахарозы, глюкозы, фруктозы, лактозы и крахмала), продуктов с высоким содержанием белков и низкой жирностью, мягкой по консистенции пищи, приеме препаратов железа.
В возникновении зубного налета основную роль играют микроорганизмы, обитающие в полости рта (стрептококки, вейлонеллы, нейссерии, дифтероиды, лактобактерии, стафилококки, лептотрихии, фузобактерии, актиномицеты, дрожжеподобные грибки и др.). Процесс образования зубного налета протекает в несколько этапов.
Поверхность зуба покрыта очень тонкой (толщиной до 1 мкм) бесструктурной пленкой – пелликулой, состоящей из электростатически связанных между собой кислых протеинов, гликопротеинов, энзимов, сывороточных белков и иммуноглобулинов слюны. Являясь полупроницаемой, пленка участвует в обменных процессах с ротовой жидкостью.
Благодаря пористому строению в него могут проникать мельчайшие остатки пищи, разрушенные клетки эпителия, лейкоциты, макрофаги. Аккумуляция микробных отложений осуществляется за счет деления и налипания новых колоний, накопления продуктов их жизнедеятельности.
Зрелый зубной налет (зубная бляшка) на 50-70% объема состоит из плотного слоя бактерий. Микробный состав зубного налета быстро меняется, изначально доминируют аэробные формы, затем начинают преобладать анаэробы.
В процессе анаэробного гликолиза из поступающих с пищей углеводов кариесогенными микроорганизмами продуцируется большое количество органических кислот (молочной, пировиноградной, муравьиной), которые, близко и длительно контактируя с эмалью зуба, деминерализуют твердые ткани. Из-за ограничения процесса диффузии в зрелом зубном налете нейтрализации этих кислот не происходит.
Сами микроорганизмы устойчивы к образованной кислоте. Со временем происходят качественные изменения зубного налета, он минерализуется с образованием зубного камня.
Классификация зубного налета
По локализации выделяют наддесневой (находящийся на открытой поверхности зуба) и поддесневой, расположенный ниже десневого края (в зубодесневой бороздке или десневом кармане) зубной налет.
В зависимости от анатомо-топографических участков прикрепления наддесневой зубной налет может быть зубодесневым (образующимся на гладких поверхностях зуба в области десневого края) и проксимальным (образующимся на контактных поверхностях); поддесневой — зубоприкрепленным (к поверхности зуба) и эпителиально-прикрепленный (к эпителию десны). В десневой бороздке также выделяют зону неприкрепленного поддесневого зубного налета.
Симптомы зубного налета
Зубной налет проявляется изменением цвета и потерей блеска зубной эмали, ощущением шершавости зуба, неприятным запахом изо рта (галитозом). Зубной налет может быть белого, зеленого и коричневого цвета.
Обычно наблюдается мягкий зубной налет в виде беловатой или слегка желтоватой вязкой массы, тонким слоем покрывающей поверхность зуба.
Чаще всего белый зубной налет накапливается в пришеечной области коронки, межзубных промежутках, фиссурах жевательных поверхностей, по десневому краю, вокруг пломб, на ортопедических и ортодонтических конструкциях.
Коричневый зубной налет у некурящих может возникать при большом количестве пломб из медной амальгамы, а также у работников, изготавливающих изделия из меди, латуни и бронзы. У детей коричневый зубной налет на временных зубах может появиться при соединении избытка невосстановленного железа, выделяемого слюной, и серы, образующейся в ротовой полости при распаде протеинов.
Зеленый зубной налет появляется при развитии в полости рта хлорофиллсодержащих микроорганизмов (например, грибка Lichen clentalis). Зеленый зубной налет наблюдается преимущественно на губной и щечной поверхностях фронтальной группы зубов верхней челюсти, встречается у лиц любого возраста, чаще у детей и молодых пациентов.
Длительно существующий зубной налет подвергается минерализации (кальцификации) и приводит к образованию твердых отложений (зубного камня), к глубоким изменениям в тканях зуба — развитию кариеса, пульпита.
По мере продвижения под десневой край зубной налет вызывает повреждение эпителия десневой бороздки, раздражение окружающих опорных тканей, развитие воспалительных заболеваний пародонта (гингивита и пародонтита) и потерю зуба.
Диагностировать зубной налет можно самостоятельно в домашних условиях, при помощи обычного зеркала или во время осмотра полости рта у стоматолога.
При наличии признаков зубных отложений важно определить их вид (мягкий зубной налет, зубной камень). Для визуализации зубного налета применяются специальные красители (фуксин, эритрозин, бисмарк коричневый) в виде растворов, ополаскивателей, таблеток, окрашивающих области, пораженные налетом, в яркий цвет.
Количественная и качественная оценка зубного налета проводится на основании гигиенического индекса Федорова–Володкиной, начисляемому в баллах по интенсивности окрашивания отложений йод-йодисто-калиевым раствором (жидкостью Шиллера-Писарева).
Лечение зубного налета
Своевременное удаление мягкого зубного налета способствует оздоровлению органов полости рта, предупреждению заболеваний зубов и пародонта. Наиболее простой и эффективный способ удаления мягкого зубного налета – механическая чистка зубов помощью зубной пасты, щетки и других средств гигиены.
Плотный зубной налет и налет курильщика можно удалить при обработке зубов жесткими щетками и специальными мелкодисперсными пастами.
При массивных скоплениях зубного налета, который невозможно снять дома самостоятельно, необходимо посетить стоматолога-гигиениста для проведения профессиональной гигиены полости рта, включающей этапы ультразвукового скейлинга, чистки с помощью аппарата Air-flow, полировки абразивной пастой и глубокого фторирования эмали зубов. Иногда для восстановления обычного цвета зубной эмали может потребоваться химическое или фотоотбеливание.
Прогноз и профилактика зубного налета
Зубной налет представляет не только эстетический недостаток, поскольку является потенциально опасным, приводит к образованию зубного камня, развитию кариеса, пульпита, гингивита, пародонтита, преждевременной потере зубов. Поэтому удаления зубного налета должно являться частью ежедневного гигиенического ухода за полостью рта.
Мерами предупреждения накопления зубного налета является тщательная и правильная чистка зубов зубной щеткой и пастой 2 раза в день, применение зубной нити (флосса) и специальных ершиков для межзубных промежутков, полоскание рта в течение 15-30 сек. после каждого приема пищи, прохождение регулярной профессиональной гигиены полости рта.
Профилактику зубного налета у детей начинают проводить с момента появления первого молочного зуба; для коррекции гигиенических мер необходимо посещение детского стоматолога после исполнения ребенку 1,5 лет. Важно исключение или ограничение потребления простых сахаров, курения.
Источник: https://www.krasotaimedicina.ru/diseases/zabolevanija_stomatology/dental-plaque
Зубной налет
Даже у тех людей, которые правильно ухаживают за полостью рта, периодически образуется зубной налет. При регулярной чистке от него можно избавиться, но накапливаясь, он постепенно затвердевает, и тогда удалить такие отложения можно только с помощью специальных процедур в кабинете стоматолога.
Причины образования зубного налета
Уже буквально через пару часов после чистки зубов начинает появляться налет на эмали, деснах и языке. Он состоит из частичек еды, эпителия, различных бактерий. Такое клейкое наслоение на поверхности эмали встречается у людей в любом возрасте. Зубной налет не удаляется водой и не смывается во время приема пищи, его сложно полностью очистить даже щеткой.
Вначале налет представляет собой липкую пленку, но если ее не удалять, она за пару дней превращается в зубной камень. Это может привести к появлению неприятного запаха изо рта(халитоз), развитию гингивита или стоматита, разрушению эмали зубов.
Особенно часто такое бывает у тех людей, у кого есть пломбы, съемные зубные протезы, брекеты.
Зависит скорость образования такой пленки также от особенностей строения зубов, от скорости обменных процессов в организме, состояния желудочно-кишечного тракта.
Зубной налет образуется на всех поверхностях полости рта, даже на языке и деснах. При правильной гигиене полости рта основные поверхности очищаются, поэтому на них липкие отложения не могут превратиться в зубной камень.
У большинства людей они накапливаются в основном в межзубных промежутках и других труднодоступных местах.
При жевании пищи большая часть поверхностей полости рта очищается естественным путем, но если регулярно жевать только с одной стороны, на другой будет накапливаться налет.
Получается, что главная причина его образования – накопление частичек пищи из-за их нерегулярного удаления. Но такие отложения могут появиться и у тех, кто правильно ухаживает за полостью рта. Что же может вызвать образование налета на зубах:
- избыток мягкой пищи и рафинированных углеводов, которые накапливаются в естественных углублениях в полости рта;
- у курильщиков образуется коричневый налет, который можно удалить только с помощью профессиональной чистки;
- из-за нарушения обменных процессов может измениться кислотно-щелочной баланс слюны, и она вместо защиты начинает разрушать зубную эмаль, вызывая размножение бактерий и появление липкой пленки;
- зубной налет у ребенка может приобретать зеленоватый цвет из-за гормональных сбоев в организме или развития грибковых заболеваний;
- некоторые болезни полости рта, например флюороз, могут вызвать избыточное образование зубного налета.
Виды налета на зубах
Липкие отложения на зубах могут быть разным. Иногда это просто тонкая пленка, но бывает, что она приобретает вид белой вязкой массы. В некоторых случаях налет может окрашивать эмаль в желтый или даже черный цвет.
В тех местах, где он не удаляется длительное время, он твердеет, превращаясь в камень.
Чаще всего такие отложения не заметны внешне, но когда начинают размножаться бактерии, кроме изменения цвета эмали может появиться неприятный запах изо рта.
Налет на зубах может иметь разный цвет в зависимости от причины его появления.
- Чаще всего встречается белый налет. Он есть у всех людей, образуясь уже через пару часов после чистки. Такой налет выполняет даже защитные функции, предохраняя эмаль от разрушения. Но если его периодически не удалять, он начинает накапливаться, вызывая появление неприятного запаха. В труднодоступных местах он твердеет и приводит к появлению зубного камня.
- Если обычный белый налет вовремя не очищать, он может окрашиваться при приеме пищи. Так как он имеет пористую структуру, в него проникают частички еды, особенно при употреблении мягких углеводов и сладостей. Именно таким путем образуется желтый налет. Особенно часто он бывает у любителей кофе или чая, у курильщиков.
- Серый налет может появляться не только у взрослого человека, но и у ребенка. Связано это с гипоплазией эмали. Такая проблема устраняется только у стоматолога, очистить или отбелить серые зубы самостоятельно без устранения причины почти невозможно.
- Коричневый налет чаще всего свидетельствует о том, что его обладатель – заядлый курильщик. Именно никотин и смолы из сигарет вызывают появление липкой смолистой пленки коричневатого цвета. Зубная щетка ее удалить не в состоянии. Иногда коричневый налет возникает из-за нарушенного обмена веществ, когда через слюну выделяются соли железа. Зубные протезы или коронки, содержащие медь, также могут окрасить налет в коричневый цвет.
- Зеленый налет появляется чаще всего у ребенка до 4 лет из-за разрушения защитной пленки на поверхности эмали. Он может возникнуть также в периоды гормональных сбоев. Удалить самостоятельно такой налет невозможно.
- Черный налет возникает из-за паразитарных или грибковых заболеваний, а также из-за нарушения работы желчевыводящих путей. Только после устранения причины его появления он может исчезнуть. Обычными способами такой налет можно только замаскировать.
- Зубной камень возникает в результате минерализации обычного налета, если его вовремя не удалять. Всего через 10 дней из тонкой пленки образуется зубной камень. Появляется он чаще всего на внутренних поверхностях зубов и может вызвать развитие кариеса и других заболеваний.
По месту локализации налет может быть наддесневым – когда он расположен на открытых поверхностях зубов, и поддесневым. В этом случае он появляется в десневом кармане и может вызвать воспалительный процесс. Обнаружить такое твердое наслоение на шейке зуба можно только при стоматологическом осмотре.
Как убрать налет
Наличие зубного налета можно выявить при обычном осмотре у стоматолога или самостоятельно перед зеркалом.
Его признаками является потемнение эмали или изменение ее цвета, ощущение шершавости зубов, появление неприятного запаха изо рта. При появлении таких симптомов необходимо посетить стоматолога.
Если врач обнаружил наличие зубного налета, очень важно избавиться от него как можно быстрее.
Используем ирригаторы
Ирригатор — самое эффективное устройство для профилактики и чистки зубов в домашних условиях. Принцип работы подобных устройств прост.
Под высоким давлением, пульсирующая тонкая струя воды или чистящего раствора удаляет остатки пищи между зубами и снимает мягкий зубной налет.
Ирригаторы бывают двух основных видов: стационарный и портативный. Давайте рассмотрим лучшие по соотношению ценакачество модели.
Стационарный ирригатор ACleon TF600
Модель TF600 — современное, мощное (давление струи до 900 кПа частота пульсации до 1700 импульсов/мин) и надежное устройство.
Отличительной особенностью этой модели является наличие встроенной ультрафиолетовой лампы, которая обеззараживает насадки после каждого использования. Менее 1% ирригаторов обладают такой важной и необходимой для качественной гигиены функцией.
TF600 также имеет режим массажа десен, который призван улучшить кровоснабжение и избавить от воспалений в полости рта.
Еще одним немаловажным преимуществом станет наличие сразу 7-ми насадок в комплекте. Устройством сможет пользоваться вся семья, а дополнительные насадки для чистки языка, брекетов, зубных коронок и труднодоступных мест, делает его многофункциональным.
Ирригатор работает от сети 220В, имеет 17 режимов (можно настроить устройство под любые нужды) и большую емкость резервуара (600 мл).
Более подробную информацию об ирригаторах ACleon можно посмотреть на их официальном сайте: http://acleon.ru.
Портативный ирригатор ACleon TF200
Преимуществом портативных ирригаторов является возможность их брать с собой в поездки и, при помощи встроенной аккумуляторной батареи, долгое время использовать без розетки.
Многие приобретают эти устройства, и вполне успешно используют их как в поездках, так и домашних условиях.
В комплекте с устройством идет удобный чехол, который позволит брать с собой TF200 не беспокоясь о сохранности и гигиене.
Ирригатор оснащен компактным (200мл) резервуаром для воды, двумя насадками и тремя режимами работы. При этом, весит TF200 всего 250 грамм.
В стоматологии
Только врач может посоветовать, как убрать налет быстро и безопасно. В современной стоматологии существует много разных способов профессиональной очистки зубов.
Распространенные раньше механические приемы удаления мягких и твердых отложений уже не употребляются. Редко используются также химические методы, так как они могут быть небезопасны для эмали и слизистой.
Сейчас налет удаляют более щадящими способами.
- Эффективнее всего очистить зубы можно с помощью ультразвука. Он проникает в самые труднодоступные места и удаляет не только мягкий налет, но и твердые отложения. А ткани зуба при этом не повреждаются. Стоит процедура ультразвуковой чистки всего 2500-3000 рублей.
- Можно очистить зубы также с помощью лазера. Такое отбеливание эффективно при налете курильщика. Лазер удаляет любые камни и даже сильно почерневший налет. При лазерном отбеливании каждый зуб обрабатывается отдельно, поэтому это будет стоить дорого, не менее 10 000 рублей. Но зато в течение года можно радоваться чистым белым зубам.
- Самый дешевый способ удаления зубного налета – это чистка с помощью воздушного потока. При этом особая смесь воды и воздуха подается в полость рта под давлением и очищает мягкие и твердые отложения с открытых поверхностей и труднодоступных мест. Стоит такая процедура около 1000 рублей, поэтому доступна каждому.
После процедуры очистки зубов стоматолог может предложить также полировку с помощью абразивной пасты, фотоотбеливание и глубокое фторирование эмали. Все это помогает не только удалить налет, но и предотвратить образование зубного камня, защитить зубы от кариеса и пародонтита, отбелить эмаль и оздоровить полость рта.
Удаление в домашних условиях
Стоматологические процедуры – это самый эффективный способ очистки зубов. Но удаление налета в домашних условиях тоже возможно. Правда, для этого необходим комплексный подход.
Прежде всего, нужно отказаться от курения, снизить употребление кофе, чая и других напитков с красителями.
В рацион включать больше свежих овощей и фруктов, которые очистят зубы естественным путем, самые эффективные для этих целей – яблоки, морковь и кукуруза.
А для механического удаления мягких отложений можно воспользоваться любым способом:
- при выборе зубной пасты нужно отдавать предпочтение пародонтологическим пастам или тем, которые содержат фтор;
- 1-2 раза в неделю чистить зубы специальной пастой с абразивными частицами, зубным порошком или же содой;
- для очистки и отбеливания зубов в домашних условиях можно использовать 3% раствор перекиси водорода: можно полоскать им полость рта или прикладывать ватку, смоченную раствором, к проблемным местам;
- в народной медицине есть необычный, но очень эффективный способ избавиться от мягких отложений на зубах – чистить зубы пеплом от высушенного и сожженного баклажана.
Но к таким народным методам нужно относиться осторожно. Кроме того, что они могут оказаться неэффективными, некоторые из них могут повредить эмаль. Такие способы, как чистка содой или другими абразивными веществами, не рекомендуются при повышенной чувствительности зубов. Поэтому лучше все-таки посетить стоматолога и выбрать любой профессиональный метод глубокой очистки зубов.
Профилактика появления налета на зубах
Только тщательная гигиена полости рта может помочь избавиться от налета на зубах. Он будет все равно появляться, но регулярная очистка зубов не даст ему изменить цвет или превратиться в зубной камень.
Кроме того, это поможет предотвратить развитие кариеса, гингивита, пульпита, пародонтита и других заболеваний полости рта, вызываемых бактериями, которые размножаются в зубном налете. Также, рекомендуем ознакомиться с чисткой зубов ультразвуком.
Эта процедура тщательно очистит налет, и позволит подольше сохранить здоровье зубов.
Для его удаления самое главное – это чистить зубы с помощью щетки не менее 2 раз в день. После еды рекомендуется хорошо прополоскать рот, а после употребления сладостей, лучше всего еще раз почистить зубы. Дополнительно нужно использовать другие приспособления для гигиены полости рта:
- флосс эффективно вычищает остатки пищи из промежутков между зубами;
- если межзубные промежутки широкие, для их очистки более подойдут специальные ершики;
- ирригатор для очистки струей воды межзубных промежутков, коронок, протезов и других труднодоступных мест;
- чтобы удалить остатки пищи, после еды нужно пользоваться ополаскивателями;
- жесткие зубные щетки или мелкодисперсные пасты помогут более глубоко очистить зубы 1-2 раза в неделю.
Регулярное удаление мягких отложений на зубах предотвратит развитие воспалительных заболеваний полости рта, повреждение зубной эмали и появление неприятного запаха. Но ни один, даже самый эффективный домашний способ очистки не может удалить весь налет. Поэтому рекомендуется проводить профессиональную чистку полости рта 1-2 раза в год.
Полезная статья? Добавьте к себе в закладки!
Источник: http://infozub.ru/gigiena/zubnoj-nalet.htm
Поделиться:


