Эффективна ли чистка маточных труб народными средствами
Маточные трубы — один из самых основных органов, который участвует в процессе оплодотворения. Нарушения в них происходят довольно часто и по разным причинам. К сожалению. диагноз «непроходимость труб» не является редким явлением. Женщины, которые столкнулись с этим недугом, готовы отдать все, чтобы вылечиться и иметь возможность стать мамой.
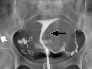
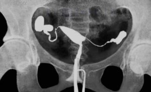
Непроходимостью фаллопиевых труб нарушает продвижения сперматозоидов к яйцеклетке. Она может быть функциональной, в данном случае никаких анатомических изменений не выявляется, но по определенным причинам нарушается функционирование маточных труб, и органической – когда в трубах происходит ряд различного рода изменений, мешающих их проходимости.
Чистка маточных труб народными средствами на ранних этапах заболевания
Различают частичную и полную непроходимость — гидросальпинкс. В случае частичной — непроходим лишь определенный участок трубы. В случае полной — труба непроходима полностью.
Причинами полной непроходимости являются:
- спаечный процесс;
- перевязка (стерилизация труб);
- трубная инфекция.
В большинстве случаев появление спаек обусловлено воспалительными процессами, которые появляются вследствие родовых осложнений, использования внутриматочной спирали и при абортах.
Заболевания инфекционной природы и те, которые передаются половым путем, — самые частые причины возникновения такой патологии. Не менее распространенными причинами являются миома матки и эндометриоз.
Симптоматика недуга
Как правило, эта болезнь может протекать бессимптомно. И так как на состоянии женщин она никак отражается, многие могут даже не подозревать о ее наличии. Выявить болезнь возможно только в случае появления признаков воспаления в матке.
Таковыми являются:
- болезненные ощущения в нижней части живота;
- высокая температура тела;
- обильные кровотечения.
Главным симптомом и осложнением этой патологии является невозможность забеременеть, бесплодие.
Как лечится непроходимость?
Консервативное лечение недуга заключается в приеме противовоспалительных медикаментозных препаратов. Помимо этого назначают физиотерапевтические процедуры. Но в случае наличия спаек, вышеперечисленные способы лечения являются малоэффективными.
Операция считается самым эффективным способом устранения непроходимости фаллопиевых труб. Результат будет зависеть от степени недуга. В том случае, если спайки распространились по всей трубе, то даже их удаление не поможет возобновить работу органа. Если трубы сильно изменились из-за воспаления, они растянулись, или наполнены большим количеством жидкости, то их удаляют.
Непроходимость маточных труб: народные средства
Конечно, о 100%ой эффективности народных средств говорить нельзя. Так как в данном случае все сугубо индивидуально, и лечение будет зависеть от степени недуга. Но все же, попробовать стоит, как говорится «на войне все методы хороши».
Главное, перед приемом того или иного средства проконсультироваться у специалиста.
Боровая матка – чудо-трава
Это целебное растение способно оказывать противовоспалительное, дезинфицирующее, рассасывающее и мочегонное воздействие.
В нем содержится большое количество фитогормонов, арбутина (способствует угнетению патогенных организмов), витамина С (способствует уменьшению воспалительного процесса и укреплению стенок сосудов), флавоноидов (способствуют укреплению иммунной системы, нормализации и улучшению обмена веществ). Помимо этого, в состав растения входит гидрохинон, который выступает в роли антиоксиданта.
Рецепт настойки. Возьмите пять ложек растения, залейте половиной литра водки и оставьте настаиваться на две недели. Во время настаивания периодически взбалтывайте смесь. Употреблять три раза в день за час до присеста за стол. Принимать по сорок капель.
Рецепт настоя. Для приготовления средства вам понадобится две ложки листьев боровой матки. Измельчите их и залейте двумя стаканами горячей кипяченой воды, накройте крышкой, укутайте и оставьте настаиваться на 20 минут. Затем процедите. Принимайте по полстакана четырежды в день, за полчаса до присеста за стол. Настой, также как и отвар, можно применять для спринцеваний.
Женский доктор — расторопша
Возьмите ложечку травы расторопши и залейте 200 мл кипяченой воды. Оставьте настаиваться на полчаса. Употреблять за час до завтрака и ужина, в теплом виде, маленькими глотками.Чтобы добиться максимального эффекта это средство рекомендуют принимать вместе с настоем или настойкой из боровой матки.
Чистка сабельником и зверобоем
Возьмите одну ложку сырья и залейте ее 300 мл водки. Оставьте настаиваться на три недели. Перед каждым приемом разводить в 50 мл воды. Употреблять по ложке разведенного средства трижды в день. Продолжительность курса — месяц.
Для приготовления средства вам понадобится одна ложка измельченного зверобоя. Залейте сырье стаканом кипяченой воды, поставьте на медленный огонь и кипятите на протяжении 20 минут. Употреблять по четверти стакана трижды в день.
Приготовление компресса из семян льна и настой трав
Это средство весьма эффективно для лечения спаек. Возьмите кусочек марли, поместите в нее пару ложек семян и опустите ее в кипящую воду. Кипятите в течение трех минут. Оставьте остывать в этой же воде.
Затем выжмите марлю (она должна быть теплой) и положите ее на нижнюю часть живота. После этого накройте целлофаном и укутайте полотенцем. С этим компрессом нежно лечь спать.
Для рассасывания спаек хватит восьми таких процедур.
Возьмите траву донника, мать-и-мачехи и золототысячника по одной ложке. Залейте ингредиенты горячей кипяченой водой. Оставьте настаиваться не менее чем на два часа. Употреблять по 1/4 стакана перед каждым присестом за стол. Продолжительность курса – месяц.
Профилактические меры
Можно ли предупредить непроходимость фаллопиевых труб? Безусловно, от возникновения данного недуга не застрахован абсолютно никто. Но, это не означает, что не нужно за собой следить. Просто старайтесь беречь себя и свой организм от переохлаждения и инфекций. Если вы не планируете беременность, предохраняйтесь. Так вам не придется делать абортов.
Чаще проходите медосмотры и консультируйтесь у специалиста. Только доктор сможет вовремя выявить недуг, подскажет, как его вылечить на ранней стадии, что сделать и быстрее, и проще, и эффективнее.
data-ad-format=»auto»>
Источник: https://NarodnymiSredstvami.ru/chistka-matochnyih-trub-narodnyimi-sredstvami-lechenie-neprohodimosti-trub-matki-narodnoy-meditsinoy/
Боровая матка при спайках, непроходимости труб, поликистозе. Рецепты
Народная медицина предлагает большой выбор различных натуральных трав, которые направлены на лечение гинекологических заболеваний. Однако лучшим вариантом среди них является Боровая матка.
Это растение применяется для лечения большого количества болезней, связанных с онкологией, многие из них развиваются в результате поражения органов инфекциями и плохим иммунитета. Главное использование травы – борьба с бесплодием.
Максимальный эффект растения проявляется на фоне нарушения гормонального фона, что ведет к бесплодию.
Использование травы при спайках
Образование спаек может привести к гормональным нарушениям и бесплодию. Они образовываются в результате:
- проведения операция на женских органах репродукции;
- инфекций и воспалений женской половой системы.
Подобный процесс невозможно устранить путем проведения операции, поскольку после нее могут снова образоваться спайки. Однако рецепты народной медицины могут дать довольно хороший результат. Устранять воспаления помогают определенные компоненты, которые содержатся в траве.
После проведения операций растение назначается благодаря его особенным вяжущим свойствам. Для борьбы со спаечными процессами рекомендуется применять капли или фиточай.
Необходимо отметить, что капли надо принимать трижды в день по тридцать капель, которые растворяются в пол литре кипяченой воды. Курс лечения составляет три недели.
Дополнительно вечером и утром можно использовать спринцевание.
Лечение непроходимости труб
На данный момент данное заболевание считается очень распространенным и ведет к бесплодию. Кроме того, такая патология вызывает формирование внематочной беременности. При непроходимости труб принимать препараты, в основе которых Боровая матка, категорически запрещено из-за возможного развития внематочной беременности.
Однако в определенных случаях и только после разращения лечащего врача можно принимать настойки из этой травы. Также можно пользоваться спринцеванием настоя. Дозировка обязательно рассчитывается индивидуально в каждом отдельном случае.
Боровая матка против поликистоза
Существует ряд причин, по которым развивается поликистоз:
- предрасположенность;
- стрессы, воспаления и аборты;
- большое количество мужских гормонов в женском организме;
- проблемы в функционировании эндокринной системы;
- болезни мочеполовой системы.
Боровая матка помогает решить ряд проблем:
- помогает эффективно успокаивать нервную систему;
- нормализуется содержание женских и мужских гормонов благодаря содержанию фитогормонов;
- повышает иммунитет;
- устраняются воспалительные процессы, которые возникают в результате заболевания мочеполовой системы;
- налаживается нормальное функционирование эндокринной системы, чему способствует лимонная кислота и витамин С, которые содержатся в траве.
При лечение поликистоза яичников необходимо применять отвар Боровой матки. Стоит отметить, что принимается он довольно длительное время – обязательно регулярно на протяжении шести-двенадцати месяцев. Принимается отвар ежедневно по одному раз в объеме одной столовой ложки. Сам курс занимает ровно 24 дня, после этого требуется сделать перерыв на четыре дня и снова начать принимать отвар.
Использование травы в лечении других заболеваний
Боровая матка может применяться и для борьбы с другими заболеваниями, среди которых большое количество является гинекологическими.
При этом большинство таких болезней развивается в результате поражения какого-то определенного органа инфекцией, а также из-за снижения иммунитета.
Но главным направлением использования этой травы считается борьба с мужским и женским бесплодием. Трава максимально эффективна в ряде случаев, когда причина бесплодия – нарушение гормонального фона.
Необходимо отметить, что трава также помогает мужчинам при некоторых болезнях, таких как:
- плохая активность сперматозоидов;
- цистит;
- воспаление мочевого пузыря и предстательной железы;
- пиелонефрит.
Каждый пациент, который планирует использовать в лечении траву Боровой матки обязательно предварительно надо тщательно и подробно проконсультироваться с врачом. Он проведет все необходимые анализы и назначит лечение. Помните – что необдуманное и неправильное самолечение практически всегда ведет к негативным последствиям. И в некоторых случаях они могут значительно усугубить ситуацию.
Источник: https://borovaya-matka-besplodie.ru/borovaya-matka-pri-spajkax-neproxodimosti-trub-polikistoze-reczeptyi.html
Боровая матка и красная щетка при бесплодии: правила совместного применения
Применение лекарственных трав при проблеме бесплодия является достаточно эффективным средством хотя бы потому, что не окажет отрицательного воздействия на организм женщины.
Кроме того, травы не такие дорогостоящие, как препараты с таким же эффектом, а шанс на наступление беременности и появление малыша на свет все-таки появляется.
Как воздействует боровая матка на бесплодие
Боровая матка или Ортилия однобокая обладает положительным эффектом при таких заболеваниях, как:
Важно!
Прежде, чем использовать боровую матку, необходимо проконсультироваться с акушером-гинекологом. Только врач подскажет Вам нужную дозировку и возможность совмещения с другими травами.
Применение Боровой Матки при эндометриозе
Боровая матка обладает
- Фитогормональным,
- Противовоспалительным,
- Дезинфицирущим,
- Мочегонным эффектом,
что позволяет ликвидировать последствия воспалительных заболеваний органов малого таза у женщин. Также отмечено, что она имеет противоопухолевое и рассасывающее действие, что хорошо помогает не только при спаечных процессах, полипах, эндометриозе, но и при опухолевых образованиях – фибромиоме, фиброаденоме, мастопатии.
При наступлении беременности боровая матка облегчает симптомы токсикоза на ранних сроках, активирует иммунитет для защиты плода и обеспечивает условия для его роста и развития.
Есть информация о лечении боровой маткой и заболеваний почечного генеза, например, пиелонефрит или цистит. Именно за счет диуретического эффекта в комбинации с противовоспалительным действием наблюдается положительный результат.
Лечение простатита Боровой маткой
Курс приема боровой матки составляет 21 день и начинается с 3-5 дня менструального цикла. Когда начинается менструация – делается перерыв. Обычно лечение продолжается на протяжении 3-5 циклов, после чего наступает длительный перерыв.
Способ приготовления не представляет сложностей: траву 10 гр разводят в 2 стаканах воды. Отвар приготавливается на водяной бане около 10-15 минут, потом оставляют еще на час настояться, после чего его процеживают и пьют равными порциями в 2- приема в течение дня в одно и то же время.
Противопоказания к применению боровой матки
- Непроходимость маточных труб (возможно развитие внематочной беременности);
- Не использовать отвары боровой матки совместно с приемом оральных контрацептивов (двойной эффект снижения эстрогенов вызовет сбой в гормональном фоне);
- Не использовать боровую матку совместно с шалфеем.
- Ортилию однобокую не принимают при одновременно использовании препаратов эстрогена!
При начале лечения возможны следующие изменения в организме: смещение менструального цикла – как укорочение, так и удлинение; активация очагов хронической инфекции, обильная менструация.
Запрет на употребления Боровой матки при непроходимости труб и применении оральных контрацептивов
Обратите внимание, что лечение травами не дает моментальный эффект, эффект достигается спустя несколько месяцев регулярного приема травы.
Как воздействует красная щетка на бесплодие
Красная щетка, родиола четырехраздельная или холодная сотнями лет применяется самых разных заболеваниях, список ее целебных свойств довольно обширен:
- Активация защитных сил иммунитета;
- Активация метаболических процессов и обмена веществ;
- Противовоспалительный эффект;
- Стимулирует мужское либидо;
- Спазмолитическое действие;
- Повышение уровня гемоглобина;
- Дезинтоксикация;
- Нормализация менструального цикла.
За счет большого количества химических элементов (красная щетка содержит марганец, серебро, цинк, белки, органические кислоты) родиола четырехраздельная используется при следующих заболеваниях:
- Воспалительные заболевания органов малого таза (цистит, вульвовагинит, кольпит, простатит);
- Дисбактериоз кишечника и влагалища;
- Опухолевые образования репродуктивной системы и молочных желез;
- Бесплодие;
- Инфекционные заболевания (уреаплазмоз);
- Кистозные образования в яичниках;
- Климактерический период;
- Гипотиреоз.
Красная щетка выступает в роли иммуномодулятора: адаптогенное свойство помогает активизировать иммунную систему организма при борьбе с вирусами и бактериями различной этиологии.
Лечение Красной щеткой цистита
Родиола холодная имеет кровоостанавливающим и тониирующим действием, способна снимать спазмы сосудов.
Также отмечен ее эффект при эндокринных нарушениях щитовидной железы (зоб различной этиологии), надпочечников, почек, лимфатической системы.
Противопоказания к приему красной щетки
Запрет на прием Красной щетки во время беременности и грудного вскармливания
- Грудное вскармливание;
- Беременность;
- Лихорадочное состояние;
- Менструация;
- Стрессы и возбуждение, а также депрессивные состояния;
- Аллергическая реакция на траву;
- Артериальная гипертензия.
Правила совместного приема
Боровую матку и красную щетку не рекомендовано принимать во время менструации, поэтому отвары начинают употреблять на 3-5 день менструального цикла.
Можно использовать эти травы и вместе, но, если Вы только начинаете лечение – лучше использовать их поочередно: один цикл – боровая матка, следующий цикл – красная щетка.
Совместный отвар Боровой матки и Красной щетки
С середины цикла можно добавлять и другие травы, типа спорыш, манжетка, девясил. Длительность приема – 14 дней.
Пошаговая инструкция
- Перед использованием тех или иных трав, необходимо посетить акушера-гинеколога и выяснить в каком состоянии находится гормональный баланс организма. Исходя из полученных результатов и поставленного диагноза, обсудите с гинекологом предстоящее лечение.
- Знать показатели всех гормонов – эстрадиол, прогестерон, пролактин, тестостерон, свободный тироксин, тиреотропный гормон. При отклонении каких-либо показателей меняется и дозировка трав.
- Точно убедитесь, что у Вас нет противопоказаний к применению конкретной лечебной травы.
- Точно убедитесь и обсудите это с врачом, что именно эта лечебная трава Вам подходит и поможет в коррекции конкретного заболевания.
- Эффект от настоек и отваров из целебных трав очень медленно развивается, не стоит ждать результатов через 2 недели лечения.
- Во время менструации делается перерыв при приеме любых лекарственных трав.
- Контроль уровня гормонов через каждый месяц!
- Цикл лечения всеми травами составляет не более 3 менструальных циклов, далее – длительный перерыв 1-2 месяца.
- Используйте водяную баню для приготовления отваров, не заваривайте травы кипятком, рекомендуемая температура 70-80 градусов.
- Не рекомендуется применять спиртовые настойки.
- В зависимости от эффекта трав во время их применения различное: если трава имеет эстрогеновый эффект – она применяется в 1 фазу с 3-5 дня по 14-16; если же трава с прогестагенным эффектом – во 2 фазу с 16 дня до начала менструации.
Заключение
Боровая матка и красная щетка довольно часто используются в практике акушеров-гинекологов и репродуктологов, они являются довольно эффективными и простыми в применении.
Но не стоит заниматься самолечением, обсудите прием лекарственных трав с лечащим врачом, и желанная беременность не заставит себя ждать!
Источник: https://detieco.ru/encyclopedia/narodnaya-medicina/borovaya-matka-i-krasnaya-shhetka-pri-besplodii/
Как лечить непроходимость маточных труб народными средствами
Фаллопиевы трубы – это важная часть репродуктивной системы? от функционирования которой во многом зависит возможность успешного зачатия ребенка. Если вам сообщили неутешительный вердикт — непроходимость маточных труб, лечение народными средствами может стать одним из методов терапии.
При такой патологии максимально увеличивается вероятность внематочной беременности, развития воспалительных процессов в органах половой системы. Заболевание обязательно нужно лечить комплексно, сочетая народную и традиционную медицину. Терапия в домашних условиях включает прием лекарственных отваров из целебных трав, а также спринцевание, использование специальных тампонов.
Лечение
Можно ли в домашних условиях вылечить непроходимость маточных труб? Ответ на этот вопрос беспокоит пациенток с таким диагнозом. Данная патология считается довольно опасной, так как несвоевременное или неправильное ее лечение в большинстве случаев приводит к бесплодию.
Вылечить непроходимость маточных труб в домашних условиях без консультации с гинекологом невозможно. Чтобы добиться желаемого эффекта, нужно правильно сочетать медикаментозную терапию и прием лечебных настоек собственного приготовления.
Рецепты
Рассмотрим несколько полезных рецептов приготовления лекарственных средств, которыми пользовались еще наши бабушки. Основой каждого отвара являются лекарственные травы, содержащие вещества, активизирующие процесс рассасывания спаек.
- Отвар барвинка. Вам понадобится 20 гр. сухой травы и 1 ст. водки. Смешиваем ингредиенты в сотейнике и варим на слабом огне 5-7 минут. Когда отвар остынет, процедите его, и принимайте перед едой по 15 капель.
- Отвар из колосков ржи. Колоски нужно тщательно измельчить, залить горячей водой, и оставить на 2-3 часа. Затем жидкость процеживается. Вы можете пить такой напиток в любых дозировках, никакого вреда он не принесет.
- Отвар из сушеных цветков белой акации. Цветы нужно предварительно измельчить, а затем запарить в 2 ст. кипятка. Емкость с жидкостью отправляем на плиту, и варим в течение 10 минут. Готовый отвар разделите на 4 части и выпейте в течение дня. Курс лечения – 1 месяц. Если вы не достигли желаемого результата, лечение можно повторить, сделав перерыв на неделю.
- Отвар из зверобоя. Для приготовления лекарственного средства в небольшую емкость насыпьте 1 ст.л. сушеного зверобоя, и залейте траву 200 мл. кипятка. Отправьте сотейник на огонь и проварите состав в течение 15 минут. Когда напиток остынет и как следует настоится, процедите его. Принимать отвар рекомендуется 3 раза в день по 100 мл.
- Отвар из корней яртышника. Основной ингредиент нужно тщательно измельчить. Вам понадобится 10 корешков. Добавьте 1 литр воды и проварите на очень слабом огне 15 минут. Принимайте лекарство по 100 мл. перед едой. Курс лечения – 20 дней.
Спринцевания
Вылечить непроходимость маточных труб без операции помогут целебные спринцевания. Такую терапию можно проводить самостоятельно в домашних условиях. Медики рекомендуют представительницам прекрасного пола делать спринцевания не только для лечения, но и для профилактики различных гинекологических заболеваний.
Чтобы процедура оказалась максимально эффективной, используйте кружку Эсмарха. Такое устройство можно купить в любой аптеке. Во время процедуры женщина удобно располагается на спине, наконечник вводится во влагалище, и раствор выпускается небольшими порциями. Чтобы не получилось сильного напора, не нужно прилагать усилия при надавливании на устройство.
Рассмотрим несколько вариантов лекарственных смесей для спринцевания при непроходимости маточных труб.
- В равных пропорциях смешиваем ромашку, семена льна и черную бузину. 2 ст.л. сбора заливаем 1 л. кипятка, даем остыть и настояться. Отвар использовать для спринцеваний перед сном. Предварительно жидкость нужно обязательно процедить.
- Второй вариант лекарственной смеси – 5 ст. л. птичьего горца, 3 ст. л. сушеной крапивы и 1 ст. л. ромашки. Для приготовления отвара вам нужно 2 ст. л. смеси залить 5 стаканами кипятка, и дать настояться в течение нескольких часов. Использовать лекарство два раза в день для утреннего и вечернего спринцевания.
- 1 ст.л. измельченных корней касатика заливаем 1 ст. кипящей воды. Накрываем емкость крышкой и даем настояться в течение 2-3 часов. Перед применение отвар процедить.
- Ромашка аптечная обладает отличными противовоспалительными свойствами. Используйте ее при приготовления настоя для спринцевания. На 1 ст. кипятка понадобится всего 2 ст.л. сухой травы.
Боровая матка
Боровая матка часто используется в народной медицине для лечения гинекологических заболеваний. Все дело в том, что такое растение содержит фитогормоны, аналогичные женским половым гормонам. Также в состав этой лекарственной травы входят дополнительные полезные вещества, а именно:
- Арбутин – способствует уничтожению патогенных микроорганизмов в половых органах;
- Витамин С – быстро снимает воспаление, ускоряет обмен веществ, делает стенки сосудов более прочными;
- Флавоноиды – укрепляют иммунитет;
- Гидрохинон – обладает отличными антиоксидантными свойствами.
Народные целители рекомендуют использовать настойки на боровой матке при непроходимости маточных труб для ускоренного рассасывания спаек и уменьшения воспаления. Боровая матка поможет избавиться от бесплодия и неприятных симптомов ПМС, облегчит период климакса.
Из этого растения можно готовить отвар для приема внутрь или настой для спринцевания. Чтобы приготовить лекарство, смешайте 5 ст. л. сухой травы с 500 мл. водки. Оставьте емкость с жидкостью в сухом прохладном месте на 2 недели. Принимать настойку нужно перед едой (за 40 минут) по 40 капель.
Если вы не переносите алкоголь, можете приготовить отвар из 2 ст. л . боровой матки и 2 ст. кипятка. Лекарство не нужно кипятить, просто дайте ему остыть и настояться. Перед приемом процедите и пейте по 100 мл. 4 раза в день перед приемом пищи. Этот же раствор можно использовать для спринцевания.
Некоторые медики утверждают, что боровую матку нужно принимать только после того, как проходимость маточных труб будет восстановлена. Все дело в том, что такое лекарство увеличивает шансы успешного оплодотворения, но если патологию не устранить, беременность окажется внематочной. Перед использованием отваров из боровой матки обязательно проконсультируйтесь с гинекологом.
Сок лопуха
Лечение непроходимости маточных труб соком лопуха достаточно эффективно. Это растение содержит множество полезных веществ и обладает рядом положительных свойств, а именно:
- Уменьшает воспалительные процессы в половых органах.
- Способствует уничтожению вредоносных микроорганизмов.
- Является профилактикой опухолевых процессов.
- Обладает мочегонным эффектом, способствует выведению желчи.
- Оказывает антиоксидантный эффект на весь организм.
- Снижает проявление аллергических реакций от приема сильнодействующих медикаментов.
Для приготовления лекарственного средства вам понадобятся листья молодого лопуха вместе с черешками. Специалисты рекомендуют собирать растение в начале лета, в местах максимально удаленных от проезжей части и производственных цехов.
Листья тщательно промываем, заливаем холодной водой, и оставляем на несколько часов. По истечении положенного времени основной ингредиент тщательно просушиваем и перемалываем в мясорубке. Кашицу из лопуха нужно тщательно отжать, используя марлю.
Для максимального лечебного эффекта сок лопуха рекомендуется принимать по определенной схеме.
- Первые 2 дня курса принимайте лекарство 2 раза в день по 1 чайной ложке.
- Следующие 2 дня периодичность приема лекарства увеличиваем до 3-х раз в день;
- С 5-го по 30-й день рекомендуется принимать сок по 1 ст.л.3 раза в день.
Когда курс лечения будет полностью завершен, сделайте перерыв на месяц. При необходимости лечение можно возобновить. В процессе такой терапии обязательно обращайте внимание на свое самочувствие.
Если появятся тревожные симптомы (тошнота, боль в животе), прекратите лечение или уменьшите дозировку.
Не рекомендуется использовать сок лопуха во время беременности, кормления грудью, а также при наличии аллергических реакций на основной компонент.
Бадан
Лекарственные средства на основе бадана используются для эффективного лечения не только непроходимости маточных труб, но и эрозии, воспаления придатков, спаечных процессов. Такое лекарство помогает устранить именно причину возникновения непроходимости. В состав этого растения входит арбутин — вещество с отличными антисептическими свойствами.
Для приготовления целебного отвара смешайте 15 гр. корня бадана и 1 ст. воды. Сотейник поставьте на паровую баню, и томите лекарство на медленном огне в течение 30 минут. Готовый отвар процедите и остудите. Принимать лекарство нужно по 2 ст. л, 2-3 раза в день, сразу после еды. Также средство, приготовленное по этому рецепту, используют для спринцевания.
Алоэ
О лечебных эффектах алоэ знают многие. Сок этого растения обладает отличными антибактериальными свойствами, улучшает обмен веществ, укрепляет иммунитет, способствует быстрому заживлению ран и устранению воспалительного процесса. Вы можете использовать алоэ для лечения спаек и непроходимости маточных труб.
Для приготовления лекарства на основе этого растения нужно смешать в небольшой емкости 1 ст. л. сока алоэ, 6 ст. л. масла и 6 ст. л. меда. Перед выдавливанием сока листья растения нужно ненадолго поместить в морозильник. Это будет способствовать активизации полезных веществ.
Готовое лекарство рекомендуется принимать по 1 ст.л. 2 раза в день. Можно разводить пасту в теплом молоке. Для усиления лечебного эффекта дополните терапию алоэ приемом отвара из семян льна и подорожника.
Профилактика
Любое гинекологическое заболевание намного проще вылечить на ранней стадии развития. Именно поэтому каждая женщина должна посещать гинеколога регулярно, проходить профилактический осмотр и диагностику. Спайки часто появляются после кесарева сечения. Если у вас нет противопоказаний к естественным родам, лучше выбирайте этот вариант.
При половом контакте с партнером не забывайте о методах контрацепции. Если не уверены в здоровье мужчины на 100%, лучше пользуйтесь презервативами. Такие средства уберегут вас от венерических заболеваний, которые нередко становятся причиной развития непроходимости маточных труб.
Частые аборты приводят к появлению спаек и воспалений в половых органах. Если вы не планируете рождение ребенка, не забывайте о контрацепции. Воспалительный процесс является противопоказанием к проведению хирургической операции. Если непроходимость фаллопиевых труб сопровождается спаечным процессом, без оперативного вмешательства вылечить такую патологию будет очень сложно.
Источник: https://uterus2.ru/disease/neprohodimost-matochnyh-trub-lechenie-narodnymi-sredstvami.html
Кому помогает боровая матка для зачатия — отзывы
Обновление: Ноябрь 2018
Сегодня проблема бесплодия молодых пар считается очень актуальной, по статистике в России 3 миллиона человек (5% репродуктивного населения страны) не могут по различным причинам иметь детей.
Однако диагноз бесплодия для женщины можно установить со 100% уверенностью, только в случае, если у нее отсутствует матка или придатки. В случае, если репродуктивные органы сохранены, можно говорить только о конкретных проблемах, затруднении в наступлении зачатия.
Многим женщинами ради счастья материнства приходится прибегать к различным методам лечения — традиционным и народным.
Причин проблем с зачатием достаточно много и зачастую медикаментозное лечение не всегда оказывается успешным, а старые проверенные веками средства народной медицины, такое например, как лечение боровой маткой для зачатия, приносит долгожданную беременность (см. подготовка к зачатию, беременности).
Почему не получается забеременеть и как помогает боровая матка при бесплодии?
Врачи определяют бесплодие супружеской пары по следующему факту — если в течение года при половых контактах 2-3 раза в неделю не наступает беременность — значит пара считается бесплодной.
Поскольку вероятность наступления беременности в первые 3 месяца равна 30%, в следующие 7 мес. — 60%, а к концу года всего 10%.
Медицина выделяет массу причин женского бесплодия, основные из которых следующие:
Гормональные нарушения
Это различные эндокринные нарушения. Прежде, чем начинать использовать боровую матку для зачатия, следует выяснить уровень гормонов в организме женщины.
- Одной из причиной бесплодия может быть нарушение функционирования яичников и чтобы проверить это, следует сдать анализ на эстрадиол. Когда созревает фолликул, уровень этого гормона резко возрастает, а после овуляции снижается. Поэтому анализ сдают в 1 фазе менструального цикла.
- Во второй фазе следует сдать анализ на прогестерон, недостаточная выработка которого также может быть причиной трудностей в зачатии. При недостатке этих гормонов у женщины значительно снижается вероятность беременности. А Боровая матка содержит в своем составе фитоэстроген и фитопрогестерон, что при умелом использовании может помочь женщине забеременеть.
Непроходимость маточных труб, спаечный процесс
Это является серьезной причиной отсутствия наступления беременности. Однако, использование боровой матки при непроходимости маточных труб очень опасно, возрастает риск развития внематочной беременности (симптомы).
Инфекционные заболевания женской репродуктивной системы
Это одна из самых распространенных причин бесплодия, особенно сальпингоофорит (аднексит) — воспаление придатков матки. Любые воспалительные процессы в гениталиях у женщины приводят к спаечному процессу, снижению функции яичников, сбою менструального цикла, гормональным нарушениям и пр.
- В этом случае следует пройти полное обследование на все скрытые инфекции (уреаплазмоз, микоплазмоз, гонорея, трихомоноз, хламидиоз), и пролечить имеющиеся заболевания.
- Также следует исключить туберкулез женских половых органов, который чаще всего протекает незаметно, бессимптомно, приводя к стойкому бесплодию, непроходимости маточных труб. При этом женщину только периодически беспокоит субфебрильная температура, слабость, периодические несильные боли. Чаще всего аднексит является основным проявлением туберкулезного процесса мочеполовой системы у женщины. Диагностика этой патологии на сегодняшний день весьма затруднена, поскольку гинекологи зачастую игнорируют туберкулезную причину бесплодия, так как этим должны заниматься противотуберкулезные диспансеры, а в них на сегодняшний день не хватает квалифицированных фтизиатров — гинекологов.
- Что касается Боровой матки при лечении любых воспалительных заболеваний у женщины, то она оказывает и антимикробное, и противовоспалительное, рассасывающее действие, повышает либидо и оказывает иммуностимулирующее действие. Подробнее читайте нашу статью — показания к применению Боровой матки и ее полезные свойства.
Эндометриоз
Также является серьезным препятствием для зачатия, однако, использовать Боровую матку при этом недуге следует с особой осторожностью. Возникновение эндометриоза врачи связывают с излишней выработкой эстрогенов в 1 фазе цикла и недостаточным уровнем прогестерона во 2 фазе.
Поэтому медикаментозное лечение эндометриоза включает гормональные лекарственные препараты, а их применение одновременно с Боровой маткой недопустимо. Применение Боровой матки для зачатия при эндометриозе должно быть по назначению и под его контролем.
Подробнее о лечении Боровой маткой при эндометриозе читайте в нашей статье.
Иммунологическая причина бесплодия
Это чаще всего происходит по причине образования в женском организме антител против спермы конкретного мужчины. Чтобы определить, есть ли у женщины подобная активность иммунной системы «против ее мужчины», следует сдать посткоитальный тест. Что касается лечения, то в этой причине бесплодия Боровая матка помочь не сможет.
Психологическая составляющая бесплодия
Иногда у особо тревожных, впечатлительных, мнительных женщин, склонных к переживаниям, существуют определенные страхи, основанные на трудности или невозможности ею выносить и родить ребенка, это может спровоцировать неосознанное внушение бесплодия на подсознательном уровне.
Чаще всего у женщины существует не одна, а сразу несколько причин невозможности зачатия — и гормональное нарушение, и воспалительные процессы и пр.
Боровая матка как лечебное средство для зачатия
Эту лечебную траву с давних времен использовали женщины для зачатия.
Но мы живем в век, когда человек владеет обилием информации о различных медицинских исследованиях, о химических процессах, происходящих в организме женщины.
Теперь можно с уверенностью говорить о том, кому это средство для зачатия противопоказано, кому необходимо, и в какое время ее лучше принимать для наступления долгожданной беременности.
Нельзя самостоятельно использовать Боровую матку для лечения бесплодия, следует обязательно проконсультироваться с лечащим врачом.
А также помнить, что траволечение никогда не дает сиюминутный эффект, чтобы добиться заметного улучшения, следует использовать Боровую матку длительное время, как минимум 1-3 месяца.
О полезных свойствах этой чудо травы написано очень много, она помогает женщинам при спаечных процессах, при кистах яичников, при эрозии шейки матки, полипов матки, нормализует менструальный цикл, снижает симптомы ПМС и т.д. Как принимать Боровую матку при бесплодии? Использовать ее надо умело, с осторожностью, только в нужных случаях, поэтому мы рассмотрим некоторые основные принципы в ее применении:
-
- Перед применением Боровой матки обязательно следует знать уровень гормонов — эстрадиола и прогестерона. И только вместе с врачом определить, что следует корректировать и как. Контроль за уровнем этих гормонов следует вести через 2-3 месяца после начала лечения, а также регулярно проводить УЗИ женских половых органов.
- Перед использованием Боровой матки изучите все противопоказания и побочные действия травы, поскольку есть случаи индивидуальной непереносимости этого растения.
- Особенно хорошо помогает Боровая матка тем женщинам, у которых повышенный уровень эстрогенов, то есть существует гиперплазия эндометрия.
- При нормальном уровне прогестерона во время 2 фазы можно пить Боровую матку, а при низком его уровне Дюфастон, Утрожестан.
- У женщин с пониженным уровнем эстрогенов, принимать Боровую матку в 1 фазе нельзя, поскольку она снижает его уровень, а вот во 2 фазе можно, но при регулярном контроле уровня гормонов.
- Прием Боровой матки не желательно совмещать с приемом лекарственных препаратов, содержащих гормоны. Эту траву рекомендуется принимать, когда существуют незначительные нарушения гормонального фона, при более грубых отклонения следует лечиться медикаментозно. Иногда врач может рекомендовать гормональные препараты с эстрогеном в 1 фазе цикла в течение нескольких циклов, а затем во 2 фазе в течение нескольких циклов — Боровую матку, одновременно их принимать нельзя.
- При медикаментозной терапии воспалительных заболеваний и использовании Боровой матки следует предохраняться от беременности.
- Нельзя использовать траву во время менструации, поскольку она провоцирует маточные кровотечения.
- При установленном диагнозе — непроходимость маточных труб, ее применение противопоказано, поскольку высок риск развития внематочной беременности.
- При низком уровне эстрогена, отсутствии овуляции, можно в 1 фазе цикла принимать шалфей, во 2 фазе — Боровую матку.
- Продолжительность приема боровой матки при бесплодии не должна превышать 3 менструальных циклов, затем один цикл перерыв и курс можно повторить, при условии хорошей переносимости растительного средства.
|
Ее можно приобрести в аптеке, либо сделать самой. При этом следует взять 50 грамм травы, залить ее 500 мл. спиртом 40%, поставить в темное место, периодически взбалтывая на 21 день, затем процедить. Прием осуществлять 3 р/день по 20-30 капель. |
|
Пакетированные готовые формы Боровой матки и Красной щетки также можно использовать, но это менее эффективный метод лечения, чем больше технологических стадий производственного процесса проходит растительный препарат, тем ниже его эффективность. Поэтому самый лучший вариант — делайте настойку или отвар самостоятельно из пачек сухой травы. Для приготовления отвара требуется 1 ст. ложка травы. Аптечная трава имеет разный помол, поэтому стоит заваривать строго по инструкции на пачке. |
|
Существует готовый препарат Боровой матки в таблетках — Гинеколь, в его состав входит и сама трава, и ее сухой экстракт, а также сухой экстракт тысячелистника. Это БАД, помогающий в устранении воспалительных гинекологических заболеваний, также ускоряет регенерацию тканей. |
- Иногда, при гастрите у женщин, при приеме натощак, могут возникать неприятные ощущения, поэтому лучше использовать и отвар, и настойку через полчаса после приема пищи. Эффект немного снизиться, но дозу увеличивать нельзя. Также иногда, после длительного курса приема Боровой матки возможно появление головной боли.
- В самом начале приема препарата у некоторых женщин может произойти сбой менструального цикла, это может быть задержка, либо наоборот раннее наступление месячных. Также трава влияет на обильность выделений при менструации, у кого-то может стать более обильной, у кого-то — скудные месячные.
- Очень часто при приеме Боровой матки для зачатия, особенно в комплексе с Красной щеткой могут обостриться имеющиеся заболевания женских половых органов. Это лучшее время для сдачи анализов на скрытые инфекции ИППП, которые часто протекают бессимптомно, а прием травы обостряет процесс и можно выявить возбудителя воспаления.
- Те женщины, которые регулярно измеряют базальную температуру, могут заметить ее неадекватные скачки, а также сдвиг в днях овуляции. Это считается нормальным и через 1-2 цикла это должно нормализоваться.
- Если на фоне приема Боровой матки наступила долгожданная беременность, а эту траву при беременности использовать не желательно, поэтому следует не резко бросать ее прием, а заканчивать постепенно, снижая дозу до полной отмены.
Отзывы женщин, принимающих боровую матку, таковы, что большинство наблюдают у себя следующие изменения: в начале приема рецидивы хронических заболеваний женских органов, уменьшение или увеличение дней менструального цикла, изменение количества выделений во время менструации, снижение симптомов ПМС, нормализацию графика базальной температуры, то есть наступление овуляции, и наступление беременности!!!
При использовании Боровой матки для зачатия отзывы женщин весьма разнообразны.
У каждой своя причина бесплодия, свои хронические заболевания и индивидуальные особенности организма, поэтому следует прислушиваться к себе, к своему организму, проходить регулярные обследования, доверять своему лечащему врачу и надеяться, что Бог даст вам радость материнства, ведь каждая женщина мечтает и достойна быть МАМОЙ.
Боровая матка при бесплодии — отзывы:
Если Вы принимали Боровую матку чтобы забеременеть, напишите, пожалуйста, свой отзыв об этой замечательной траве, тем более если у вас получилось!!!
Селезнева Валентина Анатольевна врач-терапевт
Источник: http://zdravotvet.ru/borovaya-matka-dlya-zachatiya-otzyvy-kak-prinimat/
Поделиться:




