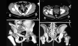
Мскт костей таза
Мскт костей таза – рентгенотомографическое исследование костного кольца таза с помощью компьютерных томографов последнего поколения, осуществляющих высокоскоростное многосрезовое сканирование объекта.
Современные МСКТ-томографы используют минимальные дозы рентгеновского излучения для получения снимков высокого разрешения.
Наличие в организме металлических имплантов (штифтов, пластин, эндопротезов, ЭКС, инсулиновых помп) не является противопоказанием к проведению рентгеновской томографии.
Мскт костей таза проводится с целью диагностики травм тазового кольца, опухолевых процессов, инородных тел в полости таза, патологии тазобедренных суставов, крестца и копчика. При необходимости тщательной оценки структур малого таза и мягких тканей рекомендуется использовать внутривенное контрастирование или прибегнуть к МРТ-исследованию.
Мскт костей таза – рентгенотомографическое исследование костного кольца таза с помощью компьютерных томографов последнего поколения, осуществляющих высокоскоростное многосрезовое сканирование объекта.
Современные МСКТ-томографы используют минимальные дозы рентгеновского излучения для получения снимков высокого разрешения.
Наличие в организме металлических имплантов (штифтов, пластин, эндопротезов, ЭКС, инсулиновых помп) не является противопоказанием к проведению рентгеновской томографии.
Мскт костей таза проводится с целью диагностики травм тазового кольца, опухолевых процессов, инородных тел в полости таза, патологии тазобедренных суставов, крестца и копчика. При необходимости тщательной оценки структур малого таза и мягких тканей рекомендуется использовать внутривенное контрастирование или прибегнуть к МРТ-исследованию.
Технология быстро совершенствовалась. Менее чем за полвека было создано четыре поколения компьютерных томографов. Аппарат для проведения Мскт костей таза является представителем последнего, четвертого поколения оборудования.
Он оснащен кольцом гентри с большим количеством детекторов, расположенных в несколько рядов. Вращающаяся рентгеновская трубка направляет объемный пучок лучей, улавливаемый многочисленными детекторами, при этом стол постоянно совершает поступательные движения.
Все перечисленное позволяет сократить время сканирования, уменьшить дозу облучения пациента и улучшить характеристики изображения.
Мскт костей таза успешно применяется в травматологии, ортопедии, онкологии и некоторых других областях медицины, но не входит в число наиболее популярных диагностических методик, поскольку для изучения твердых структур в большинстве случаев достаточно рентгенографии, а мягкие ткани лучше визуализируются в ходе МРТ.
Показания
Мскт костей таза является высокоинформативной методикой, используемой для уточнения диагноза, дифференцировки различных заболеваний и повреждений таза, определения тактики хирургических вмешательств и оценки эффективности проведенных лечебных мероприятий.
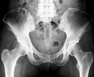
Мскт костей таза назначается при недостаточной информативности обзорного и прицельного рентгенографического исследования таза и тазобедренных суставов. Обычно осуществляется без контрастирования, исключением могут являться ситуации, в которых существует подозрение на наличие опухоли близлежащих мягких тканей.
В экстренном порядке чаще всего применяется в травматологии, в плановом – в онкологии.
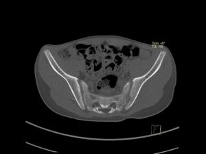
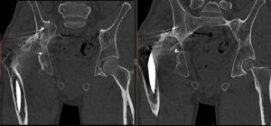
Позволяет обнаруживать очаги уплотнения и разрежения, оценивать размеры, форму, расположение и распространенность патологических участков, выполнять трехмерную реконструкцию исследуемой зоны. Мскт костей таза проводится для уточнения характера повреждений при травмах таза (переломах, инородных телах).
Процедура используется для диагностики (в том числе – определения степени прорастания окружающих тканей) доброкачественных, первичных злокачественных и метастатических неоплазий. В некоторых случаях методика показана при аномалиях развития и воспалительных процессах.
Кроме того, Мскт костей таза иногда применяется при заболеваниях, сопровождающихся разрушением костной ткани (миеломная болезнь, сепсис с образованием гнойных очагов в костях таза и пр.).
Противопоказания
Противопоказаниями к Мскт костей таза являются любые сроки беременности, возраст до 14 лет и предшествующие многократные рентгенологические исследования.
Мскт костей таза не проводят при превышении технических характеристик оборудования (грузоподъемности стола, диаметра апертуры), а также при наличии двигательного возбуждения, препятствующего сохранению неподвижности во время исследования. При использовании контрастного препарата в список противопоказаний дополнительно включают аллергию на йодсодержащие вещества и нарушение функций почек.
В период лактации Мскт костей таза не противопоказана, после использования контраста нужно на двое суток отказаться от кормления грудью. Наличие металлоконструкций также не считается противопоказанием к проведению процедуры.
Подготовка к МСКТ
Мскт костей таза не предполагает специальной подготовки. При использовании контраста (редко) требуется исследование функции почек и воздержание от приема пищи в течение нескольких часов перед процедурой.
Необходимо явиться к назначенному времени со всей медицинской документацией (рентгенограммами, описаниями снимков, заключениями специалистов), снять с себя металлические украшения и аксессуары, переодеться и пройти в комнату с аппаратом для проведения Мскт костей таза.
Деньги, кредитные карты и снятые украшения оставляют в соседнем помещении, поэтому с собой нужно брать только самое необходимое.
Методика проведения
Больной ложится на стол аппарата на спину, медперсонал покидает помещение и в дальнейшем общается с пациентом через систему двухсторонней связи, установленную на оборудовании. В некоторых центрах грудь и ноги больного закрывают свинцовым фартуком для снижения дозы рентгеновского облучения.
Во время обследования необходимо сохранять неподвижность. Бесконтрастная Мскт костей таза не доставляет какого-либо дискомфорта, при введении контраста пациенты могут отмечать ощущение жара во всем теле.
Продолжительность нативной МСКТ составляет несколько минут, при введении контраста длительность исследования увеличивается до получаса.
После завершения Мскт костей таза диагност изучает полученную информацию, составляет заключение и передает его больному вместе с распечаткой снимков. По желанию пациента возможна запись на цифровой носитель (диск, USB-накопитель, флеш-карту).
При этом врач, проводящий Мскт костей таза, не выставляет диагноз, он только констатирует выявленные патологические процессы и подготавливает их описание.
Для уточнения диагноза и назначения лечебных мероприятий необходимо обратиться к врачу, выдавшему направление на Мскт костей таза – травматологу, ортопеду, онкологу и т. д.
Стоимость Мскт костей таза в Москве
Цена исследования варьируется в зависимости от конкретной клиники, порядка проведения процедуры (экстренная, плановая), наличия дополнительного сервиса (запись на цифровой носитель) и некоторых других факторов.
Плановое исследование в государственной клинике обычно стоит дешевле аналогичной экстренной процедуры в частном центре. Стоимость МСКТ таза превышает цену обычной КТ данной анатомической области, что обусловлено использованием более современного оборудования.
Необходимость записи на цифровой носитель незначительно повышает цену на МСКТ.
Существенное изменение стоимости исследования отмечается при использовании контрастного препарата, но, поскольку контрастирование при диагностике патологических процессов в этой зоне применяется редко, для большинства больных этот фактор неактуален.
Источник
Источник: http://IllnessNews.ru/mskt-kostei-taza/
Кт костей таза
Рентгенологическое исследование костей таза с помощью томографа осуществляется методом многосрезового сканирования. КТ всех костей малого таза является информативным инструментальным диагностическим методом.
С помощью неинвазивного способа обследуются костные и мягкие ткани малого таза. Томограф может сканировать их в трех проекциях, что даёт врачу больше информации.
Метод имеет свои преимущества перед привычным рентгеном.
Показания для Кт костей таза
Главное отличие процедуры от привычного рентгена — сканирование органических текстур человека в трехмерном изображении. Врач выстраивает 3D модель нужного участка организма. Шаг срезов не превышает одного-двух миллиметров, в зависимости от типа применяемого томографа. Высокая точность обеспечивает определение патологии даже при небольшом отклонении от стандартов.
КТ позволяет визуализировать состояние костей, процедуру назначают при травмировании, болезнях суставов. Необходимо исследование и для точной диагностики нужной зоны перед оперативным вмешательством.
Нужда в диагностике Кт костей таза возникает, если наблюдаются ограниченная подвижность конечность и боли. На панорамном снимке отчетливо видны различные кости, суставы и сочленения.
Частично визуализируются мягкие тканевые участки.
На снимках можно рассмотреть кость со всех сторон, дифференцировать перелом и опухоль. Исследовать кость таза необходимо при:
- травме;
- подготовке к операции;
- присутствии образования;
- метастазировании рака.
МСКТ всех костей таза осуществляется без наркоза. Возможность получения сверхтонкого среза на аппарате последнего типа обеспечивает выявление недуга на ранних стадиях, что важно при диагностировании опухолевых процессов. Создание трехмерной модели костей таза помогает обнаружить все изменения и составить дальнейший план и прогнозы лечения.
Что показывает Кт костей таза
МСКТ суставов и лучевых костей таза в большей степени дает качественное исследование костного аппарата и сочленений. В меньшей мере визуализируются рыхлые участки. На снимке томографии (Кт костей таза) обнаруживаются:
- разреженные и уплотнённые участки;
- параметры опухоли;
- переломы;
- трещины;
- воспалительные процессы;
- миеломная патологии;
- гнойный очаг.
Смоделированный снимок исследуемого участка тела позволяет уточнить характер травмы и повреждений, увидеть инородный предмет. Также Кт костей таза должна применяться для диагностики рака и метастазирования. Метод показан при аномалии анатомических участков и остеопорозе костей таза. Томограмма костей таза необходима при недугах, которые разрушают костные ткани.
Компьютерная томография позвоночника diers, дуплексное сканирование тазобедренных костей помогает диагностировать:
- опухоль кости и мягкой ткани;
- прорастание новообразования в соседние участки;
- степень проникновения метастаз при раке соседних тканей;
- дисплазию тазобедренного сустава;
- аномалии анатомические и врожденные;
- заболевания мягких тканей;
- наличие костных осколков;
- степень деструкции при болезни Крона;
- присутствие свища;
- посторонний элемент.
КТ обнаруживает декструктивные и дегенеративные изменения и патологии крестцово-поясничного отдела. Учитываются перед назначением исследования противопоказания и подготовка. Наиболее информативный метод обследования костных структур важен при травме.
Подготовка к Кт костей таза
Сеанс не предполагает сложных подготовительных мер.
При применении контрастирующего вещества нужно провести обследование функций почек.Накануне сеанса сканирования костей таза важно воздержаться от употребления ужина и завтрака. Воду рекомендуется прекратить пить за 4 часа до начала сеанса. Для подготовки пациента реже употребляются жидкости, поскольку они дают нагрузку на почки.
В течение нескольких часов перед сканированием запрещается курить. Принимать алкоголь необходимо перестать за 1-2 недели до предполагаемой процедуры.
К назначенному часу пациент является в диагностический кабинет, имея на руках всю необходимую медицинскую информацию в документах. Нужно взять с собой карточку и результаты предварительных дополнительных исследований. Возможно, понадобятся рентгенография, УЗИ, клинико-диагностические анализы.
Что касается результатов, Кт костей таза — что конкретно покажет — можно узнать после процедуры.
Как проводится и сколько длится Кт костей таза
Клинико-диагностическая КТ проводится нативно в условиях кабинета медицинского учреждения. Пациента укладывают на выдвижной аппаратный стол. Обычно сканирование костей таза происходит в положении лежа. Диагност находится в соседнем кабинете, за перегородкой.
Врачом лучевой диагностики ведется наблюдение за пациентом, он дает ему короткие команды с помощью переговорного устройства. Является допустимым наличие кардиостимулятора при сканировании случаев КТ костей, если аппарат обладает невысокой чувствительностью.
Грудь и конечности исследуемого человека могут накрыть свинцовым фартуком. Подобная мера значительно снизит дозу рентгеновского облучения. Бесконтрастная томография костей не причиняет дискомфорта. При внедрении контраста могут появиться приливы жара.
Продолжительность томографического исследования не занимает более 20 минут. С использованием окрашивающего вещества время диагностики несколько увеличивается.
После завершения сканирования костей таза диагностом изучаются все полученные с помощью аппарата данные. Составляется медико-диагностическое заключение. Заверенное мокрой печатью, оно передается в руки пациенту. Впоследствии он передает бланк медзаключения своему лечащему доктору, который направил пациента на исследование.
Вместе с заключением пациенту отдаются распечатанные снимки и записи на цифровом носителе. Результаты исследования подтверждаются панорамными снимками, компакт диск отображает всю важную информацию диагностики.
Важно понимать, что диагност не устанавливает точный диагноз. Он просто описывает в медзаключении все изменения, которые он визуализировал.
Уточняет диагноз узкий медицинский специалист, к которому вначале обратился пациент.
Оборудование для Кт костей таза
Компьютерная томография – способ получения томографического изображения с использованием рентгеновского луча. Эра покорения метода началась еще в семидесятых годах двадцатого столетия.
С тех пор способ обрел высокую информативность, уже через несколько лет методика обрела большие рейтинги в медицинском мире, используется для обследования костных и мягких структур и патологии крестцово-поясничного, грудного, шейного отделов позвоночного столба.
Быстрое усовершенствование технологии позволило разработчикам диагностического оборудования создать четыре поколения компьютерных томографов. Сегодня активно используются томографы только IV поколения. Аппараты оснащены кольцом гентри с множеством чувствительных детекторов, которые улавливают нужные сигналы.
В оборудовании имеется вращающийся рентгеновский блок. Он направляет объемный лучевой пучок на нужный участок тела для сканирования.
Современный аппарат имеет очень низкую дозировку облучения при исследовании. Параметры и дозу можно выставлять автоматически или вручную.
Томограмма костей таза важна в различных областях медицины. Без сканирования мягких тканей МРТ и КТ, костных и хрящевых участков невозможно обойтись в ортопедии, онкологии, травматологии. Популярный диагностический метод доступен всем слоям населения и позволяет точно оценить все особенности клинической картины заболевания.
Противопоказания к Кт костей таза
Противопоказаниями к компьютерной томографии костей таза:
- любой срок беременности;
- детский возраст;
- недавно проведенная рентгенологическая диагностика;
- почечная недостаточность;
- тяжелое состояние пациента;
- сахарный диабет;
- клаустрофобия;
- психические отклонения;
- двигательное возбуждение;
- большой вес пациента.
При использовании контрастного средства в перечень противопоказаний дополнительно включается аллергия на йодсодержащее вещество. Относительным противопоказанием становится лактация.
В период лактации при проведении сканирования костей таза молодой маме нужно отказаться от грудного вскармливания, потому что контраст проникает во все биожидкости человеческого организма.
На период молоко сцеживается и не используется.
Где и как записаться
Стоимость исследования варьируется в зависимости от политики и направления клиники, а также порядка проведения. При экстренном сканировании и плановом цена на процедуру в столице может отличаться. Стоимость сканирования в других городах существенно ниже.
Записаться на процедуру исследования можно в регистратуре частных медицинских клиниках столицы и государственных больниц. В Москве действуют такие центры:
- Многопрофильный медцентр СМ-клиника ВДНХ на ул. Ярославская.
- Отделение СМ-доктор на Волгоградском проспекте.
- Клиника на ул. Клары Цеткин.
- Центр на ул. Нижегородская.
- Медцентр на Ленинградском шоссе.
- Медцентр на ул. Обручева.
- Медцентр на ул. Краснопресненская.
- Кабинет на Ленинском проспекте.
- Клинический госпиталь на улице Волочаевская.
Обратиться и записаться в вышеуказанные медицинские клиники и кабинеты можно по телефону. Также запись осуществляется медработником в регистратуре клиник и больниц.
Точно назначенное время исследования Кт костей таза позволит избежать длительного ожидания в очереди и быстро пройти сканирование.
Запись исключает образование очереди, поэтому рекомендуется приходить на исследование в точно указанный срок.
Кт костей таза Ссылка на основную публикацию
Источник: https://mrtdom.ru/diagnostika-kt/kt-taza/kt-kostej-taza
МСКТ: что это такое, чем отличается от МРТ, расшифровка результатов обследования
Получая направление доктора на обследование методом МСКТ, пациент часто недостаточно осведомлен о сущности и особенностях этой процедуры.
Врач иногда назначает сканирование почек, печени, поясничного или пояснично-крестцового отдела позвоночника.
МСКТ – что это такое? Как правильно подготовиться к исследованию? В чем разница между МСКТ и обычной компьютерной томографией? Что лучше – мультиспиральная компьютерная томография или МРТ? Разберемся в данной статье.
Понятие мультиспиральной компьютерной томографии в медицине
Всего четверть века назад в медицине началось активное применение мультиспиральной компьютерной томографии. Сокращенно этот вид исследования носит название МСКТ.
Что это такое? Методика представляет собой усовершенствованную компьютерную томографию.
При МСКТ есть возможность сделать 160 – 320 снимков за один подход, что позволяет максимально точно отследить даже минимальные патологические изменения в организме человека.
Показания и противопоказания к МСКТ
Процедура МСКТ позволяет проводить трехмерную реконструкцию костей и суставов, используется для диагностики и изучения переломов, активно применяется при обосновании необходимости хирургического вмешательства и дает возможность визуализировать диски, мышцы, связки для выявления текущего состояния костной системы.
Исследование с помощью МСКТ показано в следующих случаях:
- необходимо в сжатые сроки обследовать коронарные сосуды и аорту (эффективно в том числе для выявления неотложных состояний, опасных для жизни пациента);
- диагностика внутренних кровотечений неясной этиологии;
- выявление аневризмы брюшной аорты, тромбоэмболии легких;
- для подтверждения/ опровержения опасных патологий сердца и сосудов;
- диагностирование почечной, сердечной, легочной и сосудистой недостаточности;
- обнаружение онкологических образований с точным определением размеров и локализации опухоли;
- при остеопорозе — для того, чтобы измерить плотность костной ткани;
- диагностика патологий челюстно-лицевой области.
Индивидуальные противопоказания учитываются при проведении мультиспиральной томографии определенных органов.
| Противопоказания | |||
| Абсолютные | Относительные | Индивидуальные | |
| Исследуемый орган | Противопоказание | ||
| Аллергия на препараты, содержащие йод и его соединения | Наличие в организме крупных имплантов из металлов и сплавов | МСКТ головного мозга | Болезнь Паркинсона |
| Масса тела пациента превышает значение, предусмотренное заводом-изготовителем томографа | Психические расстройства, в том числе неадекватная реакция на сканирование | МСКТ брюшной полости | Проводится только после соответствующей диеты (2 суток) и не раньше, чем через 8 часов после заключительного приема пищи |
| Почечная или печеночная недостаточность в тяжелой форме | Детский возраст | МСКТ сердца | Тахикардия |
| Тяжелая аллергия на вводимый контраст | Аллергия на контраст – средняя или легкая | МСКТ коронарных сосудов | Кальциноз артерий, сужение сосудов (2 мм и меньше) |
| Бронхиальная астма в тяжелой форме | Контролируемая бронхиальная астма | МСКТ венечных артерий | Нарушения сердечного ритма |
| Беременность | МСКТ ОГК | Если пациент не может задержать дыхание на полминуты, сканирование ОГК не проводится | |
| Тяжелое состояние пациента |
Какие органы исследуются?
Мультиспиральную КТ изначально разрабатывали для диагностики патологий головного мозга. Однако в настоящее время МСКТ головы – не единственный вид исследования. Методика активно используется при обследовании практически всех органов и систем человеческого организма.
МСКТ-исследование позвоночника подразделяется на несколько разновидностей:
- МСКТ-сканирование пояснично-крестцового отдела позвоночника. При аномалиях развития отдела, остеопорозе, нестабильности позвонков, переломах в данной области.
- МСКТ-диагностика грудного отдела позвоночника. Артроз, стеноз, кровоизлияния в спинной мозг, спондилез, патологические изменения осанки и так далее.
- Обследование грудного отдела. Травмы, головные боли или болевые ощущения в шее неясной этиологии, компрессия позвонков, миелопатия, аномалии развития шейного отдела позвоночника.
Подготовка к МСК томографии и этапы обследования
Подготовка к проведению обследования будет зависеть от того, какой орган будут исследовать, и будет ли применяться контрастное вещество. Контрастирование может быть внутривенным или болюсным.
Подготовиться к сканированию головы, шейного отдела, мягких тканей, грудного отдела или МСКТ позвоночника, если процедура проводится без контрастирования, несложно.
Пациенту достаточно просто вовремя прийти на процедуру в свободной одежде, взять с собой паспорт и необходимые медицинские документы, снять все металлические предметы.
Перед сканированием ОБП — органов брюшной полости (печени – в том числе при циррозе, почек, кишечника) потребуется проверить наличие повышенной чувствительности к йоду, исключить из рациона газообразующие и твердые продукты за сутки до процедуры. За 5 часов до МСКТ нельзя принимать пищу вообще. Также пациенту необходимо растворить 40 мл Урографина 76%-го или Триомбраста 60%-го в 2 л теплой кипяченой воды и выпить состав не позднее, чем за 3 часа до процедуры. Сделать клизму.
Если показано проведение МСКТ с контрастированием, то не ранее чем за 3 суток до обследования нужно сдать анализы (кровь и мочу) – когда уровень мочевины повышен или присутствует креатинин, процедура будет отложена. Диета и клизма – как при сканировании брюшной полости. Раствор Урографина потребуется разделить на 2 части – половину пьют вечером накануне, а вторую – утром перед исследованием.
Такое обследование занимает от 5 минут до 1 часа (на разных томографах время может отличаться). Пациент помещается на специальный стол, который задвигается внутрь аппарата. В течение всего сканирования больной должен лежать неподвижно.
Сканер вращается вокруг него, передавая информацию с датчиков на компьютер.
Если компьютерная томография проводится с контрастом, то после первой серии снимков стол выдвигается, больному вводится контрастирующее вещество и сканирование повторяют еще раз.
Расшифровка результатов: что показывает снимок?
Расшифровка результатов МСКТ не занимает много времени. В зависимости от того, какой отдел или орган подвергался сканированию (проводилось ли обследование почек, печени, всего позвоночника или, к примеру, только его поясничного отдела), сделанные снимки расшифровываются от 1 часа до суток. В большинстве случаев достаточно двух часов.
Исследование показывает признаки патологических изменений практически любого органа на начальной стадии, а также позволяет отследить последствия травм или понаблюдать за динамикой лечения.
Расшифровка и трактовка осуществляется только квалифицированным врачом – самостоятельно делать выводы нельзя. К примеру, основными признаками цирроза печени являются неровные края органа и его увеличенный размер.
Однако неспециалист вряд ли заметит тот же цирроз на негативах.
Что лучше, МСКТ, КТ или МРТ, чем они отличаются?
МРТ – идеальный вариант для сканирования мягких тканей и полых органов, тогда как для диагностики твердых тканей (например, костных) больше подойдет мультиспиральная диагностика.
КТ имеет отличия от мультисрезового вида исследования. Последний считается более совершенным и относительно безопасным. Мультисрезовая КТ, по сравнению с обычной, дает возможность получать объемные изображения органов с толщиной слоя менее 1 мм и значительно расширить зону анатомического исследования.
Новая методика лучше и выгодно отличается от простой КТ по следующим показателям:
- менее вредное излучение;
- контрастное разрешение лучше;
- эффективное использование рентгеновской трубки;
- сканирование делается быстрее;
- временное и пространственное разрешение усовершенствовано.
Источник: https://UziMetod.com/kt/o-metode/mskt-chto-eto-takoe.html
Кт костей таза — 47 адресов | цены от 2980 рублей в москве на locallab.ru
Компьютерную томографию костей таза активно используют для постановки и подтверждения диагнозов, перед и после хирургических вмешательств, а также в целях отслеживания рецидивов рака.
Метод не связан с инвазивным воздействием, информативен и не требует особой подготовки. Подходит как для обычных, так и для экстренных случаев.
С помощью КТ сканирования удается создать объемную модель исследуемой зоны и найти различные отклонения, начиная от воспалений, заканчивая опухолями.
Что показывает?
- врожденные аномалии строения;
- злокачественные и доброкачественные новообразования, а также метастазы;
- грыжи, смещения дисков и истончение костных структур;
- переломы и другие виды деформаций;
- возрастные изменения костей;
- поражения, обусловленные сифилисом и другими системными заболеваниями хронического течения;
- посторонние предметы различных размеров и локализации;
- недостаточность кровоснабжения области малого таза.
Показания и противопоказания
Диагностику проводят при:
- травмировании нижней части туловища;
- врожденных анатомических дефектах;
- оценке степени изменений костных структур, связанных с возрастом, воспалительными процессами или перенесенным лечением;
- планировании лечебной программы онкобольным;
- необходимости подтвердить диагноз «миеломная болезнь»;
- подозрении на наличие в полости малого таза инородных тел или абсцессов.
Из противопоказаний к компьютерной томографии костей таза основными являются беременность, дискинезии, тяжёлые психические расстройства, значительный избыточный вес (свыше 150 кг).
При необходимости введения контраста нужно убедиться, что у человека нет гиперчувствительной реакции на йод, серьезных эндокринных расстройств или почечной недостаточности.
Нужна ли специальная подготовка?
Когда речь идет об обычном скрининге, в подготовке необходимости нет.
КТ костей таза с контрастом предполагает отказ от пищи за 4-6 часов до визита в клинику, а также информирование больного о некоторых побочных действиях вводимого внутривенно препарата.
Например, при использовании усиления может появиться ощущение тошноты, закружиться голова или начаться зуд в месте введения.
Внимание! При наличии расстройств пищеварения или комбинированной диагностике с КТ органов малого таза больным показана диета на протяжении 2-3 суток перед сканированием. Нужно исключить алкоголь, газированные напитки и все продукты, которые провоцируют газообразование.
Сколько длится по времени?
В среднем продолжительность не превышает 5 минут, если процедура выполняется без усиления, и примерно полчаса при введении контрастного вещества. Повлиять на длительность способны характеристики томографа – чем современней аппаратура, тем быстрее проходит сканирование.
Важно! Параметры оборудования влияют не только на время КТ диагностики, но также на точность результатов. Проконсультироваться относительно оптимальной мощности томографа стоит у лечащего врача.
Как получить направление на диагностику?
Для выполнения КТ костей малого таза не обязательно предоставлять врачебное направление, но получить его все-таки нужно.
Доктор указывает в нем предполагаемый диагноз, соответственно, радиолог большее внимание уделит определенной области.
Чтобы вам назначили сканирование, достаточно прийти на прием к терапевту, онкологу, ортопеду, хирургу и пройти ряд предварительных анализов и обследований.
Как делают?
- придя в оговоренное время в клинику, вы снимаете с себя металлические предметы и проходите в кабинет, где находится томограф;
- вас укладывают на стол на спину в определенном положении (может потребоваться дополнительная фиксация конечностей);
- радиолог и/или ассистент переходят в соседнее помещение, откуда при необходимости общаются с больным по аудиосвязи;
- столик заезжает внутрь арки и начинается процесс получения снимков, об окончании которого будет свидетельствовать прекратившийся гул (шум возникает во время работы аппарата) и возвращение стола в изначальное положение.
Как проходит расшифровка?
После завершения исследования радиологу предстоит проанализировать снимки, чтобы определить точно, где и какие отклонения присутствуют (если они есть).
Врач оценивает плотность и толщину костных структур, наличие физических изменений и очагов воспаления, а также отмечает присутствие опухолей или инородных тел.
В заключении все аномалии указываются, а получить результаты можно либо через пару часов после КТ костей, либо на следующий день.
Источник: https://LocalLab.ru/kt/kt-kostej-taza/
Что такое МСКТ и в каких случаях ее назначают
МСКТ – это мультиспиральная компьютерная томография, о которой медики говорят, что она даёт максимум наглядной информации и занимает такое же важное место в современной диагностике, как МРТ или КТ. Появилось она относительно недавно – в 1992 году.
Что такое МСКТ?
Мультиспиральная компьютерная томография предоставляет врачу возможность рассмотреть каждый миллиметр любого органа от мозга до костей, сосуды и лимфоузлы, полости на более, чем ста снимках, сделанных под разными углами с разных ракурсов.
Платформа, на которой лежит человек, медленно двигается вдоль оси, а источник излучения вращается. Таким образом, срезы выполняются по винтовому (или спиральному) пути, отсюда название метода.
Специальные компьютерные программы преобразовывают данные, полученные при сканировании, в двухмерный или трёхмерный формат.
Если раньше, сталкиваясь с подозрением, например, на опухолевое поражение печени, врачи были вынуждены отправлять пациентов к онкологам для пункционной либо открытой биопсии, то сейчас, с внедрением мультифазных исследований, решение большинства вопросов дифференциальной диагностики происходит с помощью МСКТ-оборудования.
Ещё одним видом МСКТ является аортография. Её делают при подозрении на расслоение стенки, другие патологии аорты.
Чем отличается МСКТ от МРТ и КТ?
МСКТ основывается на свойстве тканей человеческого тела по-разному поглощать рентгеновские лучи. В МРТ же на организм человека воздействуют электромагнитным полем.
Такая методика – безопасна, но не допускает возможности проводить исследование людям с наличием металлосодержащих имплантов, других предметов, даже татуировок с аналогичными красителями.
Из-за продолжительности процедуры, требующей неподвижности, МРТ не подойдет больным, страдающим клаустрофобией или психическими расстройствами.
МСКТ – экономная, быстрая методика, позволяющая строить 3D-модели органов, что открывает широкие горизонты для корректной диагностики.
МСК-томограф даёт полную информацию о состоянии костного аппарата. Она применяется при:
- диагностике острых или хронических болей в суставах;
- нарушении осанки, болях в позвоночнике;
- определении целостности кости, посттравматических изменений;
- диагностировании грыж межпозвонковых дисков.
МРТ не дает такой возможности, так как кости недоступны для визуализации с помощью этого метода. Кроме того, МРТ является более дорогостоящей процедурой.
Мультиспиральная, или мультисрезовая КТ, так же, как стандартная компьютерная томография или рентген, основана на способности тканей по-разному поглощать рентгеновские лучи, что зависит от плотности этих тканей.
Благодаря этому достигаются высокая точность изображения при в разы меньшей дозе облучения.
Показания и противопоказания
Для МСКТ доступны все участки тела человека, показания к этому обследованию – обширны. Назначают его:
- онкологи;
- неврологи;
- травматологи;
- эндокринологи;
- другие специалисты.
Томограф может дать чёткую подробную информацию о том, что скрывается за черепными костями, в том случае, когда больной перенес травмы головы, шеи и заболевания головного мозга.
Появление спиральных технологий сканирования сделало возможным широко использовать такие методики, как ангиография всех локализаций, например, сосудов головного мозга, шеи, грудной и брюшной полости, аорты и её крупных ветвей.
Отлично просматриваются аневризмы сосудов, их сужения, протяжённость, распространённость. Коронарные сосуды изучаются на специальном томографе, выполняющем более 250 оборотов.
Такое обследование способно выявить нарушения в работе сердца, его кровеносной системы, поражения кальцинатами и холестериновыми бляшками.
МСКТ применяется для дентальной диагностики, предоставляя объёмное изображение челюстно-лицевой области, является незаменимым при трёхмерном моделировании анатомических структур. Дентальное исследование оценивает состояние самого зуба, окружающих тканей, взаиморасположение корня с анатомическими структурами: нервами, гайморовыми пазухами, которые при имплантации могут быть повреждены.
Применение МСКТ в диагностике толстого кишечника позволяет провести оценку его состояния без дополнительного вмешательства в организм. Рак толстого кишечника занимает второе место по распространённости после рака лёгких. В большинстве случаев он возникает из полипов, образовавшихся на стенках. Раннее их обнаружение зачастую спасает жизнь обследуемому.
При МСКТ уровень рентгеновского облучения чуть выше, чем при обычной процедуре рентгенографии, что может спровоцировать развитие онкологических заболеваний, особенно у людей с предрасположенностью к ним.
Не применяют этот способ обследования при непереносимости йодсодержащих контрастных препаратов, тяжёлой почечной или печеночной недостаточности.
Как подготовиться к МСКТ?
В случае обследования головы или костно-суставного аппарата специальная подготовка к МСКТ не требуется.
При мультиспиральной томографии внутренних органов за сутки до процедуры рекомендуется прекратить употребление каких-либо продуктов, вызывающих симптомы усиленного газообразования, а за несколько часов до неё приём пищи прекращается полностью. Пить чистую воду можно понемногу, а перед исследованием органов малого таза нужно очистить кишечник с помощью клизмы.
Как проводится исследование?
Мультиспиральная томография проводится на специальной кушетке с подъёмником. При проведении МСКТ без контраста, человек просто ложится на неё, после чего заезжает в торообразную часть аппарата, в которой находятся излучатели рентгеновских лучей. Замкнутого пространства нет, а небольшие движения человека не нарушат картину (в отличие от МРТ). В целом, процедура достаточно комфортна.
В режиме контрастной МСКТ, наиболее эффективной для исследования сосудистого русла, перед началом процедуры выполняется введение препарата-усилителя способом, зависящим от зоны сканирования.
Сколько длится по времени?
В зависимости от вида МСКТ, продолжительность исследования варьируется от одной до нескольких десятков минут.
Использование контраста
МСКТ с контрастированием проводится дольше за счёт подготовки к процедуре и введению вещества с контрастом.
Результат исследования
Томограмма показывает патологическое изменение даже самых маленьких размеров. Решающим моментом в постановке правильного диагноза остаётся грамотное «чтение» снимков, что зависит от квалификации и опыта доктора.
Результативность диагностики определяется не только количеством выполненных фотографий, но и полученными доказательствами.
Недостаточно найти какой-то патологический процесс и написать, где он расположен, надо ещё понимать, как расшифровать МСКТ и трактовать те или иные отклонения от нормы.
Какова доза облучения при МСКТ?
Компьютерная томография и МСКТ, как правило, выдает излучение в пределах 3-5 мЗв (миллизивертов). Нагрузка при глубоком обследовании органов грудной клетки или брюшной полости может увеличиться на порядок.
Исследование костей и суставов, наоборот, уменьшит среднюю цифру нагрузки на несколько порядков (до 0,0125 мЗв).
В зависимости от области и масштабов исследования лучевая нагрузка составляет от сотых долей до нескольких десятков миллизивертов.
Как часто можно делать МСКТ?
При ответе на этот вопрос следует отталкиваться не от частоты прохождения обследования, а от суммарной лучевой нагрузки за год. Рекомендованная годовая доза облучения составляет 1 мЗв в год, максимально допустимый порог – 5 мЗв. Окончательное решение принимает только лечащий врач в каждом конкретном случае.
Преимущества и ограничения метода
Многосрезовая, или многослойная, компьютерная томография – это один из наиболее точных и несущих наименьшие для здоровья пациента последствия методов исследования (не вызывает рак). Высокая скорость даёт возможность не только изучить структуру органов, но и процессы, протекающие в них.
С МСК-томографом можно изучить практически все органы и системы человеческого организма. Процедура проводится с минимальной лучевой нагрузкой детям и взрослым. Преимущество МСКТ состоит в том, что исследование не требует специальной подготовки больного, не связано с вмешательством в организм человека, абсолютно безболезненно и комфортно.
Результаты этого исследования можно получить в течение часа.
Ограничения касаются алгоритма подготовки к некоторым видам обследований: запрещено пить и есть определенные напитки и пищу, нельзя курить и так далее.
Стоимость
Мультиспиральная компьютерная томография в разных клиниках стоит по-разному. При выборе клиники имеет смысл сравнить стоимость МСКТ отдельных зон в разных медицинских учреждениях. Самыми дорогими являются исследования сосудов и сердца с контрастированием.
Примеры исследований внутренних органов и сосудов
МСКТ назначается, исходя из симптомов и предположительного диагноза лечащего врача. Вот некоторые ее виды:
- МСКТ-денитометрия – позволяет оценить плотность костной ткани, провести анализ ее структуры;
- МСКТ лицевого скелета – предназначена для визуализации всех костей черепа, оценки морфологических изменений костей и мягких тканей зоны;
- МСКТ краниовертебральной области – помогает в диагностике патологий в области двух верхних шейных позвонков и основания черепа;
- МСКТ надпочечников – наиболее эффективный метод выявления опухолевого процесса;
- МСКТ глазных орбит – обладает высокой информативностью при обнаружении добро- и злокачественных образований, изучении повреждений травматического характера, экзофтальма.
Кроме вышеперечисленных, врачи назначают МСКТ головного мозга, суставов и конечностей, всех отделов позвоночника, костей таза, органов грудной клетки, брюшной полости и забрюшинного пространства, пазух носа и другие.
Источник: https://iDiagnost.ru/kt/chto-takoe-mskt-i-v-kakih-sluchayah-ee-naznachayut
Поделиться:




