Симптомы и лечение кисты яичка у мужчин
Семенники (яички) вырабатывают сперматозоиды и гормон тестостерон. Постепенно в верхней области желез, области придатков и по направлению к канатику образуются удобные условия для образования сперматоцеле (кисты яичка у мужчин). Это заболевание мошонки – одно из распространенных.
Описание и классификация кисты
Киста – это полая доброкачественная опухоль, состоящая из жидкости и фиброзной оболочки. Появиться может независимо от возраста, обнаруживается у 30 процентов обследуемых мужчин. Последствием кисты придатка левого яичка у мужчин часто становится бесплодие.
Новообразование может быть приобретенным или появиться уже при рождении. В зависимости от места, где расположена опухоль, она классифицируется на лево-, право- или двустороннюю. Отдельно классифицируются кисты, которые формируются в семенном канатике или придатке. По структуре новообразование делится на:
- Однокамерное, не имеющее перегородок и состоящее из единственной полости.
- Сперматоцеле с семенной жидкостью.
- Дермоидное, с содержанием внутри частиц иных органов (фрагментов костей, волос).
- Многокамерное, имеющее перегородки и несколько полостей.
На начальной стадии (например, у мальчика в 14 лет) выявить образование сложно, если оно не расположено у поверхности кожи. Формирование и разрастание кисты может проходить бессимптомно длительное время. Новообразование сначала незначительных размеров, долгое время остается незаметным.
Постепенно опухоль разрастается, появляются первые симптомы кисты яичка. Внутри начинает сдавливать сосуды, в яичках наблюдаются застойные процессы. На этой стадии мужчина уже чувствует дискомфорт мошонки. При разрастании новообразование легко диагностируется пальпацией. Киста может рассосаться самостоятельно, но иногда удалить ее можно только хирургическим путем.
Причины появления новообразований
Точные причины появления кисты придатка яичка еще не определены. Выдвигается несколько версий. Киста изначально является доброкачественной, может рассосаться самостоятельно, поэтому на начальной стадии показано только наблюдение. Причины образования опухоли:
- воспалительные заболевания;
- у подростков яичко может опуститься поздно, как и выход из брюшной полости;
- аномальные отклонения в развитии половых органов;
- травмирование мошонки, что привело к постепенному накоплению жидкости;
- расширение семенника или его оболочек.
Есть несколько причин кисты семенного канатика у мальчика. Врожденное новообразование может сформироваться, если женщина, будучи беременной, подвергала организм большим нагрузкам. Новообразование образуется во время проблемных или преждевременных родов.
Симптомы появления кисты яичек
Симптомы и лечение кисты яичка у мужчин редко начинаются на ранней стадии заболевания. Изначально опухоль имеет маленькие размеры (с горошинку) и при пальпации не прощупывается. Выявить новообразование на этой стадии очень сложно. Так как формирование опухоли происходит бессимптомно, мужчина не обращается вовремя к врачу.
Со временем киста (фото есть в данной статье) начинает разрастаться. Когда опухоль достигает 2-х сантиметров, мужчина начинает ощущать давление на мошонку. Может появиться деформация яичка. Появляются терпимые тянущие боли в области живота. Иногда наблюдается его вздутие, ощущается давление. Во время секса появляются сильные боли.
Если киста в мошонке начинает быстро расти, то появляется сильное давление на мочевой пузырь. Потом возникают трудности с мочеиспусканием, задерживается жидкость. Киста может лопнуть от повреждений. Мужчина сразу ощущает резкие боли в животе. Появляется лихорадка, сильные головные боли и тошнота. Последствием опухоли может быть бесплодие.
Лечение кисты яичка
Лечить кисту придатка правого яичка можно только хирургическим путем. Изначально показано только наблюдение, так как новообразование доброкачественное, может рассосаться самостоятельно. Оперативное лечение показано при:
- опасности опухолевого генеза;
- сильных болях;
- больших размерах новообразования;
- нарушениях при выводе сперматозоидов.
Операция на яичках осуществляется одним из нескольких методов. На первой стадии может быть использованы средства народной медицины.
Хирургическая операция
Перед хирургической операцией мужчина предупреждается о возможном наступлении бесплодия. Оно считается побочным эффектом после удаления опухоли. Во время хирургической операции около новообразования выполняется разрез, совершается удаление кисты. Затем по очереди соединяются швами ткани мошонки.
Операция на мошонке проводится под наркозом. Потом на шов накладывается повязка из марли со льдом, и в конце – поддерживающая (суспензорий). После хирургического вмешательства две недели нужно избегать любых физических нагрузок. После операции назначаются антибиотики.
Склеротерапия
Часто используется лечение склеротерапией. В ходе операции по удалению кисты из полости удаляется скопившаяся жидкость. Затем это место заполняется специальным составом, который способствует разрушению выстилающих опухоль тканей.
Однако при такой операции есть побочный эффект. Может возникнуть непроходимость семенных канатиков при их схлопывании. Это приводит к бесплодию. Для восстановления передвижения сперматозоидов через время удаляется травмированный участок, проводится его пластика.
Пункция
Если у мужчины появилась шишка в паховой области, чаще всего это – киста яичка. Лечится заболевание оперативным путем. Метод пункции схож со склеротерапией, но после откачки жидкости не вводится никаких субстанций.
Этот способ – лишь кратковременное решение проблемы. Постепенно жидкость снова накапливается и требуется повторная операция. При этом происходит медленное истончение слизистой протока, что становится причиной травмы яичка и придатка.
Лапароскопия
Лапароскопия – это новый метод оперативного лечения кисты яичка. Во время операции полностью удаляется новообразование. Преимущества лапароскопии:
- делается быстро;
- минимальный риск травмирования органов;
- почти полностью исключаются послеоперационные осложнения.
Операция делается лапароскопом. Это телескопическая трубка с несколькими линзами, присоединенная к цифровой видеокамере, обеспечивающей высокую резкость изображения. К ней крепится оптический кабель с «холодным» освещением.
В брюшную область для расширения пространства подается углекислый газ. За счет этого полностью открываются внутренние органы. После операции на мошонку накладывается поддерживающая повязка. Регулярно делаются компрессы со льдом.
После операции на месяц исключаются нервное перенапряжение, физические нагрузки и секс. Иначе может произойти расхождение швов. После хирургического вмешательства возможны осложнения:
- появление шрамов и опухолей на мошонке;
- бесплодие;
- воспаление мошонки;
- отеки.
После хирургического вмешательства назначаются антибиотики. Мужчине нельзя пить спиртные напитки, переедать. Необходимо употреблять больше растительной пищи, фруктов, витаминов, клетчатки. Питаться нужно по 5-6 раз ежедневно маленькими порциями. Раны быстрее заживут, если рацион будет разбавлен злаками и свежевыжатыми соками.
Противопоказаний к операциям практически нет. При невозможности использования одного метода есть альтернатива выбора другого способа оперативного вмешательства. Риск осложнений почти отсутствует, если мужчина придерживается всех рекомендаций после операции.
Лечение народными методами
Лечение народными средствами кисты яичек показано только на первой стадии заболевания. Для приготовления средства вовнутрь потребуется 1 ч. л. измельченной коры конского каштана. Порошок высыпается в стакан воды, настаивается несколько часов и процеживается. Затем жидкость нужно выпить за два приема. Другие рецепты народной медицины:
- Из цветов каштана отжимается сок, который мужчина должен пить по 3 раза ежедневно по 30 капель, растворенных в 1 ст. л. воды.
- Из этого же растения изготавливается мазь. В 300 г свиного растопленного жира кладется 4 ст. л. высушенных цветов каштана. Смесь вымешивается, и ставится на 60 минут в духовку, разогретую до 75 градусов. Остывшая мазь наносится на мошонку дважды в сутки. Хранить средство нужно в холодильнике.
- Берется 1 ст. л. дурнишника обыкновенного и 10 минут кипятится в 200 мл воды на медленном огне. Отвар настаивается час, процеживается и принимается по 2 ст. л. по 5 раз в сутки.
- Для мази берется сок свежей льнянки обыкновенной и смешивается со свиным салом или сливочным маслом в пропорции 2:5. Средство нагревается, пока вода полностью не испарится. Мазь процеживается и отжимается. Средство нужно наносить на мошонку ежедневно дважды.
- Одна чайная ложка сухих листьев шалфея высыпается в стакан воды. Средство настаивается 30 минут, процеживается. Жидкость нужно пить по 2 ст. л. четыре раза в день.
Если появилась киста в паху, ее можно попробовать лечить настоем из горной арники. Для средства берется 1 ч. л. соцветий и заливаются стаканом кипятка. Жидкость настаивается 2 часа, процеживается. Средство принимается по 1 ст. л. 4 раза в день. Курс лечения – 2 месяца, затем делается перерыв на 14 дней.
Через каждые 6 месяцев делается контрольное УЗИ. Лечение без операции возможно только когда киста еще начинает формироваться. Однако в редких случаях получается вовремя диагностировать появление новообразования.
Профилактика заболевания
Для предупреждения кист и чтобы не потребовалось удаление яичек, мужчина должен избегать травмирования промежности. Нельзя допускать переохлаждения или перегрева мочеполовой области.
Рекомендуется ежегодное посещение уролога даже без признаков заболеваний.
Мужчине нужно вовремя лечить воспаления придатков, простатит, уретрит и периодически самостоятельно пальпировать мошонку на наличие уплотнения в мошонке.
После удаления кисты яичка в 95 процентах случаев проходят боли, и новообразование больше не беспокоит. Однако при своевременной диагностике заболевания в начальной стадии оперативное лечение может не потребоваться вовсе.
Смотрите видео:
Поделитесь с друзьями и оцените публикацию.Вам не трудно, а автору приятно.
Спасибо.
Источник: https://manbe.ru/muzhskie-bolezni/kista-yaichka.html
Серозоцеле — что это такое? Описание, симптомы и лечение серозоцеле
Хирургические операции, особенно по удалению внутренних органов или их фрагментов, редко обходятся без побочных эффектов и некоторых осложнений. К последним относится и такое неприятное явление, как серозоцеле. Что это такое? Этим термином называют скопление серозной жидкости под кожей.
Чаще всего оно образуется на месте хирургического разреза либо там, откуда удалили часть ткани. Серозоцеле не всегда появляется сразу — иногда пациент замечает нарастание уплотнения лишь спустя некоторое время после медицинской процедуры.
В таких случаях может пройти несколько недель, прежде чем опухание станет действительно заметным.
Причины
Жидкость может начать скапливаться в одном месте даже после несложной хирургической операции. Чаще всего, однако, серозоцеле малого таза, фото которого не слишком привлекательны, и некоторые другие виды рассматриваемой патологии развиваются после длительного и масштабного вмешательства в строение организма, включающего удаление или нарушение структуры большого объема тканей.
Хирурги помещают внутрь и вокруг операционной раны специальные трубки для отвода лишней жидкости. Как правило, такая профилактическая мера позволяет предотвратить появление серозоцеле. В целях повышения эффективности профилактики дренажные трубки остаются зафиксированными на теле пациента в течение нескольких часов и даже нескольких дней после операции.
Даже если процедура дренажа была выполнена высококвалифицированными врачами, через полторы-две недели пациент может заметить припухание кожи вокруг операционной раны. Это не значит, что специалисты подошли к своей работе с небрежностью; возможно, сказались индивидуальные особенности организма, из-за которых началось скопление серозной жидкости.
Большинство пациентов хирургов до операции даже не подозревают о том, что им может угрожать серозоцеле. Что это такое, отчего происходит и как лечится — всю ключевую информацию люди узнают уже после развития осложнения.
Потенциальная опасность
Чаще всего серозная жидкость скапливается на месте разреза после следующих операций:
- Контурная пластика тела, включая липосакцию и подтяжку груди, ягодиц, бедер или рук.
- Увеличение груди или мастэктомия.
- Герниопластика (пластика грыжи).
- Абдоминопластика.
Факторы риска
Некоторые обстоятельства значительно повышают вероятность послеоперационного возникновения серозоцеле малого таза. Разумеется, не все пациенты, находящиеся в группе риска, будут стопроцентно подвержены рассматриваемому осложнению, однако следует иметь в виду, что потенциальную опасность представляют следующие факты:
- проведение обширной полостной операции;
- нарушение структуры большого объема тканей во время процедуры;
- прошлые случаи возникновения серозоцеле после хирургического вмешательства.
Как определить серозоцеле
Что это такое по внешнему виду? В большинстве случаев скопление серозной жидкости выглядит как набухшее уплотнение, схожее с большой кистой. Прикосновение к нему может вызвать слабую боль или неприятные ощущения.
При формировании подобного шишкообразного уплотнения часто отмечаются прозрачные выделения из операционной раны.
В редких случаях возникновения серозоцеле лечение народными средствами или полное отсутствие терапии может привести к кальцинозу, и тогда на месте шишки образуется твердый узел.
Осложнения
Хотя серозоцеле само по себе является осложнением, развившимся после хирургической операции, оно также может повлечь другие осложнения, основанные на самой природе скопившейся жидкости. Чаще всего пациенты страдают от периодического выделения серозной жидкости на поверхность кожи. Выделяемое вещество должно быть прозрачным либо содержать незначительные следы крови.
Если вы заметили у себя симптомы инфекции, возможно, серозоцеле переросло в абсцесс, требующий своевременного профессионального лечения. Абсцесс практически никогда не проходит сам по себе. Более того, он может значительно увеличиться в размерах, вызвать болевой синдром и стать причиной серьезного дискомфорта.
Заражение инфекцией существенно сказывается на самочувствии пациента.
Когда обращаться к врачу
Как правило, лишь в редких случаях люди страдают от тяжелых или затяжных последствий возникновения серозоцеле. Что это такое, как распознать ухудшение своего состояния и когда следует поспешить на прием к специалисту? Будьте очень внимательны к своему самочувствию и немедленно обратитесь за скорой медицинской помощью, если заметите у себя следующие симптомы:
- выделения из шишкообразного уплотнения приобрели белый цвет или стали больше похожи на кровь;
- температура тела выше 38 градусов;
- вокруг серозоцеле распространяется покраснение кожи;
- уплотнение быстро набухает и увеличивается в объеме;
- боль становится интенсивнее;
- опухший участок стал заметно теплее на ощупь;
- увеличилась частота сердечных сокращений.
Кроме того, необходимо как можно скорее обратиться за помощью к профессионалам, если вследствие опухания операционная рана открылась либо если вы заметили, что из нее начал выделяться гной. Чаще всего больные с ослабленной иммунной системой страдают именно от этих осложнений серозоцеле.
Лечение
Незначительные уплотнения маленьких размеров обычно не нуждаются в специфической терапии. Организм человека способен самостоятельно перераспределить излишек жидкости в течение нескольких недель или нескольких месяцев.
Прием лекарственных препаратов не поможет жидкости рассосаться быстрее, однако некоторые специалисты рекомендуют своим пациентам приобрести обычные болеутоляющие средства, продающиеся в аптеках на условиях безрецептурного отпуска. Наиболее популярным препаратом является «Ибупрофен». Он способствует снижению болевых ощущений и дискомфорта, а также эффективно борется с воспалением, вызванным серозоцеле.
Лечение народными способами крайне не рекомендуется, так как примочки из лекарственных трав и другие средства нетрадиционной медицины способны вызвать заражение операционной раны вредоносными микроорганизмами и привести к ее инфицированию. Если вы готовы рискнуть, можете попробовать принимать отвар из корня бадана на протяжении месяца или настойку марьиного корня и травы моринды лимонолистной.
Уплотнения больших размеров следует показать специалисту. Если серозоцеле значительно выросло в объеме или вызывает боль, возможно, нужно будет установить дренажную трубку и выкачать скопившуюся серозную жидкость. В некоторых случаях очаг опухания удаляют полностью, для этого потребуется провести простейшую хирургическую операцию.
Профилактика
При проведении ряда процедур хирурги устанавливают специальные дренажные системы для отвода избыточной жидкости. Этой меры обычно бывает достаточно для предотвращения развития серозоцеле.
Тем не менее никто не застрахован от возникновения непредвиденных осложнений после хирургического вмешательства, и потому желательно заранее обсудить с лечащим врачом все детали операции и вероятность появления серозоцеле.
Что это такое, лечение какими методами поможет избавиться от напасти и какие меры профилактики можно предпринять самостоятельно — обо всем этом специалист непременно вам расскажет.
Эти простые профилактические меры помогут предотвратить формирование серозоцеле после хирургической операции.
Однако если подкожное набухание все-таки началось, будет нелишним посетить врача и уточнить, не нужно ли вам предпринимать какие-то действия для пресечения возможных осложнений.
Если специалист не назначит конкретных методов лечения, не беспокойтесь: чаще всего серозоцеле проходит самостоятельно.
Стиль жизни
Если вы ведете активный образ жизни и регулярно занимаетесь спортом, после перенесенной хирургической операции вам, скорее всего, придется пересмотреть свое расписание тренировок. Следуйте указаниям врача или просто воздержитесь от выполнения силовых упражнений хотя бы в течение недели после окончания процедуры.
Даже если вы полностью осушили серозоцеле методом дренажа, не спешите возвращаться к спорту: вполне возможно, что дренаж нужно будет повторить еще несколько раз.
Воспользуйтесь представившейся возможностью и дайте организму немного отдохнуть от физических нагрузок, тем самым вы значительно снизите риск возникновения и рецидива серозоцеле, не говоря уже об осложнениях.
Источник: http://fb.ru/article/260343/serozotsele---chto-eto-takoe-opisanie-simptomyi-i-lechenie-serozotsele
Киста яичка у мужчин: симптомы и лечение
статьи
Одним из самых частых заболеваний считается киста мужского яичка (тестикулярный микролитиаз). По статистике ее обнаруживают у каждого третьего представителя сильной половины человечества при обследовании УЗИ. Это кистозное образование, внутри которого накапливается серозная жидкость. Существует несколько его видов:
- Сперматоцеле. Характеризуется снижением уровня выработки и выделения сперматозоидов и в основном располагается вверху тестикул. Происходит в протоках, по которым выводится семя.
- Гидроцеле. Серозная жидкость скапливается между оболочками яичка и образует отек, который еще называют водянкой.
- Гематоцеле. Случается при попадании крови под кожную оболочку.
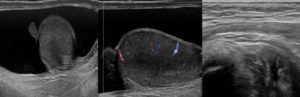
Чаще всего новообразование полостное или целостное, гладкое, мягкое, при аппаратном исследовании видны четкие контуры, гипоэхогенность говорит о заполнении жидкостью. Вместе с этим могут выявляться дистрофические или метаболические изменения.
Признаки и симптомы кисты яичка у мужчин
Пока образование небольшого размера, оно может себя не проявлять. Боль ощущается в процессе его роста, потому что разрастаясь, она сдавливает нервы и сосуды. Сперматоцеле может переходить в водянку, что отмечается сильными тянущими болями в мошонке.
Это происходит в осложненных случаях, а в основном болезнь протекает без симптомов.Она выявляется при самообследовании, на приеме у врача-уролога, а подтверждается при аппаратном исследовании.
Позже, при увеличении образования в размерах проявляются признаки, заставляющие беспокоиться.
Фото кисты яичка у мужчин
К ним относятся:
- несильные боли в области живота, терпимые, тянущего характера;
- вздутие, тяжесть, чувство распирания в кишечнике;
- боли при семяизвержении;
- увеличение больного яичка, дискомфорт при ходьбе;
- уплотнение в мошонке с четкими границами;
- проблемы с мочеиспусканием — частое, редкое, задержка мочи в случае, когда есть отек или перекрытие выводящих путей;
- повышенный рост волос на теле и лице (термин «гирсутизм» не применяют в этом случае, так как это явление обусловлено гормональным сбоем только в женском организме);
- бесплодие случается при осложнении, а также образовании кист на обоих яичках;
- при отсутствии лечения возникает резкая боль в животе, приступы лихорадки, тошнота.
На последний симптом следует особое внимание, так как при перекручивании кистозного основания происходит разрыв – в таком случае не обойтись без операционного вмешательства.
Тестикулярный микролитиаз: особенности
Проявление этого заболевания у представителей сильного пола отличается от симптоматики у женщин. Однако новообразование выявляется с любой стороны.
Лечение кисты придатка правого яичка у мужчин назначается в соответствии с поставленным диагнозом.
Иногда такой вариант течения заболевания связан с инфекцией в скрытой, «спящей» форме, с травмой, физиологически имеет одинаковые симптомы, которые проявляются после значительного увеличения размеров образования.
У большей части мужского населения семенник, расположенный слева, немного тяжелее и находится ниже правого. Это не влияет на функциональность органа. Уплотнение с левой стороны часто путают с гидроцеле.
Но если в первом случае это не представляет особой угрозы жизни, то водянка требует медицинского лечения.
Новообразование может появиться в любом возрасте, ему подвержены все мужчины, независимо от состояния здоровья и анамнеза.
Существуют и другие варианты. Патология проявляется таким образом, что сдавливает все близлежащие ткани и сосуды, нередко вызывая ишемию и резкую боль.
Далее рассмотрим возможные варианты почему возникает опухоль, что является толчком к ее разрастанию и как помочь снять болевые ощущения.
Помните, что при появлении хотя бы одного неприятного симптома, следует немедленно обратиться к доктору.
После осмотра, вам назначат анализы, определяющие воспалительный процесс и назначат УЗИ для уточнения локализации микролитиаза. Чем быстрее вы обратитесь за врачебной помощью, тем скорее распрощаетесь с надоедливой болью.
Причины кисты яичка у мужчин
Ученые всего мира не могут прийти к общему мнению о причинах этого заболевания. Существуют факторы риска, влияющие на возникновение и развитие болезни:
- возраст от 40 до 60 лет;
- сильный удар или травма семенника;
- инфекция, воспалительный процесс в мочеполовой системе;
- контакт с химическими и токсическими веществами;
- врожденная или генетическая предрасположенность, провоцирующая рост кистозных опухолей в разных частях тела.
Это главный, но далеко не весь перечень возможных причин. Внимательность к своему здоровью и регулярные обследования снизят риск заболеваемости.
Диагностика – безболезненный и безвредный процесс. Она проводится в несколько этапов:
- физикальное обследование (пальпация, прощупывание);
- ультразвуковое исследование мошонки;
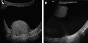
- диафаноскопия – оценка проходимости ультрафиолета через орган, в случае обнаружения кисты с жидкостью, она подсвечивается розовым.
Когда есть подозрение на злокачественную опухоль, врач назначает МРТ – магнитно-резонансную томографию малого таза. Она показывает послойную характеристику тканей для точного определения структуры новообразования. При положительном результате проводится биопсия, анализы на онкомаркеры.
Лечение кисты яичка
Существуют разные виды терапии: медикаментозный, оперативный и применение методов народной медицины. Удаление кисты придатка яичка у мужчин назначается, когда размеры опухоли дошли до критических значений, образовался поликистоз (еще другие уплотнения), при сильных болевых ощущениях, когда пациент не может зачать ребенка.
Оперативное вмешательство классического типа предполагает разрез вдоль продольного шва на мошонке или ее половине для удаления образования. После остановки кровотечения накладывают швы внутри. Таким же образом сшивается кожа. На поверхность раны накладывают стерильную повязку.
Пациенту назначается щадящий режим, ледяные компрессы для снижения отечности. Через 3-5 дней пациент возвращается к обычной повседневной жизни, но интимную близость и усиленные физические нагрузки придется отложить на 3 недели.
Кроме полостной операции, существуют еще два вида, которые считаются более щадящими:
- лапароскопия;
- склеротерапия.
Рассмотрим каждый из них подробнее.
Лапароскопия
Это операция по удалению кисты яичка у мужчин, которая считается лучшей из малоинвазивных методов. Мошонку не разрезают, на ней делают несколько микронадрезов и вводят лапароскоп.
Устройство представляет собой телескопическую трубку с системой линз, прикрепленной к видеокамере. Четкость изображения достигается за счет поднятия стенки органа методом наполнения его углекислым газом.
Такой способ вмешательства снижает время процедуры и риск развития осложнений.
Склеротерапия
Это второй метод удаления кисты, но применяется лишь в том случае, если мужчина не планирует в будущем заводить детей и у него низкая свертываемость крови. Такие условия соблюдают потому, что такая операция имеет риск повреждения семенных каналов.
Описание процесса: в мошонку вводят иглу и ею убирают жидкость из новообразования, а вместо него оболочка заполняется склеротирующим веществом, склеивающим стенки опухоли. При склеивании киста сама рассасывается.
Выбирайте профессиональных хирургов, так как некорректное проведение процедуры приводит к бесплодию за счет склеивания семенных канатиков.
Основные разновидности:
- появление отечности;
- синюшность;
- нагноение раны;
- боль в области мошонки;
- повторное возникновение кистозного образования;
- бесплодие.
Заметили подобные признаки – без промедлений обратитесь к доктору для предупреждения еще более негативных последствий.
Одним из доступных средств на современном рынке медицинских препаратов, которые назначаются при нарушении сексуальной и репродуктивной функции, является «Простатилен АЦ».
Его назначают в комплексной терапии для лечения болезней мужской половой сферы, в том числе бесплодия.
Так как он повышает уровень тестостерона, способствует увеличению активных сперматозоидов и снимает воспаление, рассматриваемая в этой статье проблема не помешает вам иметь детей.
Средства народной медицины
В некоторых случаях, когда размеры опухоли еще невелики, возможно лечение кисты яичка у мужчин без операции. Народные способы не требуют особых усилий, но являются действенным средством избавления от этого недуга. Перед тем как использовать их, проконсультируйтесь с лечащим врачом, чтобы предотвратить нежелательные последствия и не привести к усугублению заболевания.
Целебные рецепты наших предков:
- Берем 1 столовую ложку высушенной травы дурнишника обыкновенного и запариваем кипятком в кастрюле. Прокипятить на медленном огне 10 мин. Настоять час и процедить. Употреблять 5 раз в сутки по 1-2 ст.л.
- Одну чайную ложку мелких листьев лекарственного шалфея засыпать в кипяток и настоять 30 мин., процедить. Пить по 1-2 ст. л. до еды 3-4 раза в сутки.
- Лечебная мазь делается так. Выжимают сок из свежесорванной травы льнянки смешивают со сливочным маслом или со свиным салом в пропорциях 2:5, подогревают до того момента, пока не начнет испаряться вода. Полученную консистенцию процеживают через марлю и слегка отжимают. Наносить перед сном.
- На 1-м стакане кипятка настаивают 1 ч.л. арники 2 часа, процеживают. Осуществляют прием после еды 3-4 раза по 1 ст.л. используйте дополнительно лечебные мази. Принимать 2 месяца, 2 недели перерыв. Потом курс повторяют при необходимости. УЗ рекомендуют проходить каждые 6 месяцев.
- Хорошо зарекомендовал себя конский каштан. 1 ч.л. его измельченной коры настаивают на 1,5 стакана холодной кипяченой воды, процеживают. Принимать за 20 мин. до приема пищи 4 раза с сутки.
- Можно использовать цветки конского каштана. Из них выжимают сок и принимают 2-3 раза в день по 20-30 капель на столовую ложку воды.
- Из соцветий каштана готовят мазь. В 300 г растопленного свиного жира засыпают 3-4 ст.л. засушенных цветов. Перемешивают ингредиенты и пекут в духовке 1 час на 75-ти градусах. Нужно остудить средство, не процеживать и мазать на больное место 2 раза в день. Хранить в холодильнике.
Лечение народными средствами симптомов кисты яичка у мужчин дает хорошие результаты. При правильном выборе способа можно полностью избавиться от неприятного заболевания.
Следуйте рекомендациям врача и будьте здоровы.
Источник: http://xn--90agcboqvgr.net/article/kista-yaichka-u-muzhchin-simptomy-i-lechenie/
Киста придатка левого яичка у мужчин: последствия, причины, лечение
Киста придатка яичка у мужчин довольно-таки распространенное заболевание мошонки. По статистике треть сегодняшних мужчин сталкиваются с такого рода недугом. Большая часть заболеваний репродуктивной системы мужчины сопровождается ярко выраженной клинической симптоматикой.
Патологические же изменения имеют свойство протекать бессимптомно, а потом вспыхивать сразу в острой форме. Киста головки придатка левого яичка вначале никаким образом не дает о себе знать.
Мужчина может увидеть увеличение мошонки, когда киста достигает значительных объемов и визуально видна.
Как лечится киста придатка левого яичка, как определить наличие заболевания, какие последствия может повлечь за собой такая патология, расскажем далее.
Симптомы возникновения кисты
Определить наличие кисты на ранней стадии практически невозможно, кроме диагностики УЗИ. Но, как правило, мужчин не ходят на профилактические осмотры, поэтому диагностировать проблему возможно только в разгаре патологии.
Несмотря на все это существует ряд признаков, которые все же сигнализируют о том, что в организме появился «вражеский» объект.
Тело постоянно предупреждает об опасности развития той или иной болезни, но иногда человек просто не прислушивается к нему.
К признакам кисты придатка яичка можно отнести:
- Болевые ощущения в области живота (боль терпимая, но носит хронический характер)
- Чувство вздутия живота
- Боль во время интимной близости
- Тошнота, лихорадочное состояние
- При развитии патологии может наблюдаться затруднительное, но не болезненное мочеиспускание
Рост кисты будет постоянно прогрессировать, поэтому долго ждать очевидных симптомов не придется. Если обратиться к урологу сразу, то у мужчин лечение может производиться более щадящим методом, не затрагивая соседние соединения. При запущенной форме киста может повлиять на формирование новых очагов, поэтому операция будет делаться широкого спектра.
Киста придатка левого яичка: причины
К сожалению, но медицина по сей день не может раскрыть причины, по которым появляться киста у мужчин. Это связано с тем, что разная категория мужчин, с различными возможностями и образом жизни не застрахованы от подобной патологии. Это может произойти, как с человеком, ведущим здоровой образ жизни, так и наоборот.
Доподлинно известно, что новообразование бывает приобретенным и врожденным. В первом случае причиной может служить:
- Инфекция
- Травма полового органа (придатков)
- Патологические изменения репродуктивной системы, которые влекут за собой кисту (может развиваться на фоне иных заболеваний)
Врожденная киста образуется вследствие нарушения процесса внутриутробного развития. Причинами могут служить:
- Тяжелая беременность, которая отягощается угрозой выкидыша
- Недоношенность
- Травма мальчика при рождении
- Гормональная дисфункция в организме матери
Киста придатка правого яичка у мужчин также развивается на фоне вышеуказанных причин. Двустороннее же образование опухоли (справа и слева) встречается намного реже, и обусловлено сильной травмой полового органа. Особенно недуг развивается при воспалительных процессах.
Диагностика заболевания
В 70% случаев опухоль доброкачественная. Каждый третий мужчина, придя на обследование, слышит диагноз «киста яичка». Заболевание достаточно серьезное, но эффективно лечиться посредством традиционной медицины.
Для того чтобы выяснить почему в правом или в левом яичке скопилась непонятная жидкость, пациенту первым делом производят ультразвуковое обследование (УЗИ).
На этом аппарате можно качественно разглядеть картину происходящего. И разумеется, спутать кисту с водянкой невозможно. При УЗИ врач может увидеть, в каком состоянии находится половая система мужчины и выявить подобную патологию.
Обнаружив истинную причину патологии, врач уролог или андролог назначает определенный тип лечения, которое зависит от степени тяжкостизаболевания.
Как лечат кистозные новообразования у мужчин
Сегодня качественное оборудование позволяет производить щадящее лечение кистозных образований. Результат операции в большинстве случаев положительный, хотя могут наблюдаться и осложнения. Киста правого и левого придатка яичка лечится с помощью:
- Лапароскопии. Этот инструмент позволяет избежать полосной операции (надрезы не производятся). Посредством лапароскопа производится локальное проникновение в пораженный участок тела. Современный инструмент оснащен видеокамерой, благодаря которой врач может четко произвести удаление кистозного образования. Период восстановления после операции небольшой, так как отверстия составляют 0.5-1см в то время, как полосная операция через паховую зону может достигать размера 5-6 см
- Склеротерапии. Этот способ также щадящий. Внутрь образования вводят специальный препарат, который вызывает рассасывание кистозных очагов. Киста головки придатка правого яичка обычно удаляется посредством такой операции
- Пункции. Этот метод не так распространен, как предыдущие способы из-за побочных эффектов. При операции делается надрез мошонки и убирается кистозная опухоль. Затем начинают послойно накладывать швы. Минус процедуры в том, что высока вероятность остаться бесплодным. После операции назначается лечение антибиотками, дабы избежать спаек и воспалений
У мальчиков киста может рассосаться самостоятельно. Операцию делают, если опухоль достигла 1,5 см.
Возможные осложнения и последствия
Опухоль любого типа приносит много разочарований. К сожалению, консервативного метода лечения кисты не существует. Для удаления опухоли используется только хирургия. Для того чтобы пациенту сделали качественно операцию нужно тщательно подыскивать грамотного специалиста, у которого большой опыт работы с таким направлением.
Стоимость операции на сегодняшний день разная. Все зависит от того, в какую клинику вы обратитесь, и какой метод хирургии вам назначат. Но, как и любая, даже самая щадящая операция, может повлечь за собой ряд осложнений:
- Воспаление мошонки
- Инфицирование
- Бесплодие. Особенно это касается двусторонней опухоли
Последнее осложнение является результатом кисты даже при условии, что операция была выполнена грамотно по всем показателям.
Чтобы не доводить дело до формирования опухоли в яичках и придатках следует два раза в год посещать уролога и сдавать анализы, проходить УЗИ.
Чтобы не сталкиваться с такой проблемой мужчина должен тщательно следить за своей гигиеной, избегать случайных интимных связей, которые могут «наградить» инфекцией, избегать травм и падений. Киста яичек – это не приговор. В 90% случаев операции проходят успешно и не отражаются на репродуктивной системе мужчины. Главное, чем раньше выявить кисту, тем легче от нее избавиться.
Поэтому на будущее стоит запомнить, что обследование организма нужно производить систематично, а не обращаться уже с имеющимися проблемами. Тогда и лечение будет стоить дешевле, и на здоровье человека недуг не будет ярко отражаться.
Также рекомендуем прочитать:
Источник: https://zhiv-zdorov.ru/zabolevanija/onkologiya/kista-pridatka-levogo-posledstviya
Серозоцеле — Полисмед
Cерозоцеле в медицине означает скопление жидкости в естественной полости организма. В более узком смысле серозоцеле – это жидкостное новообразование, находящееся в малом тазу. Размеры этого образования колеблются от нескольких миллиметров до 20-30 сантиметров.
Другое название серозоцеле – инклюзионная киста. Она может иметь круглую, овальную или неправильную форму, бывают одно- и многокамерные серозоцеле. Стенки этого образования обычно выполнены тканью брюшины, спайками и соединительнотканными перегородками. Чаще всего встречается серозоцеле яичников.
Существует несколько факторов, являющихся причиной возникновения этого патологического образования:
- спаечная болезнь, развивающаяся вследствие оперативного вмешательства на полости малого таза – ампутация матки, киста яичников и прочие;
- эндометриоз;
- острые воспалительные заболевания матки, яичников и маточных труб;
- локальный перитонит в малом тазу;
- инфекционные заболевания женских половых органов.
Признаки серозоцеле малого таза
Специфических симптомов серозоцеле нет, поэтому оно относится к сложно диагностируемым заболеваниям. Даже образование больших размеров может клинически ничем не беспокоить пациентку.
В случае развития симптомов на первом месте по частоте проявлений находится хроническая тазовая боль. При этом болевой синдром может носить как постоянный характер, так и преходящий. Чаще всего беспокоят боли внизу живота, в пояснице, в спине.
Боль усиливается при физическом перенапряжении, стрессах, при переохлаждении.
На фоне боли у женщин часто отмечается расстройство менструального цикла, общая утомляемость, снижается работоспособность. Характерно возникновение или усиление болевого синдрома при половом акте. При серозоцеле яичников огромных размеров (более 15-20 см) может определяться припухлость внизу живота.
Диагностика
Очень часто серозоцеле выявляется при плановом посещении гинеколога. Для уточнения диагноза и исключения других новообразований малого таза врач обязательно назначает инструментальные исследования:
- УЗИ органов малого таза;
- МРТ или КТ малого таза;
- пункционную биопсию опухолевидного образования.
Полученную при пункции жидкость отправляют на цитологический анализ. При серозоцеле жидкость не содержит клеток или их содержание совершенно незначительно. В ряде случаев производят лапароскопическое вмешательство, которое может носить не только диагностическое, но и лечебное значение.
Методы лечения серозоцеле
Тактика лечения в первую очередь определяется размерами опухоли и наличием болевого синдрома. Небольшие образования, ничем не беспокоящие женщину, можно вообще не лечить. Рекомендуется только регулярный осмотр гинеколога и УЗИ малого таза каждые 4-6 месяцев.
Пункция
При серозоцеле средних и больших размерах и при наличии болевого синдрома выполняют миниинвазивное оперативное вмешательство – пункцию серозоцеле.
Для этого под УЗИ контролем прокалывают стенку образования тонкой иглой и откачивают жидкость. В результате этого уменьшается объем опухоли, снижается давление ее на окружающие ткани.
что приводит к исчезновению или значительно уменьшению болевого синдрома.
Лапаротоскопия
В сложных случаях, когда пункция невозможна по техническим причинам, выполняют лапароскопическую операцию, в ходе которой врач через брюшную полость также откачивает жидкость и иссекает спайки, ставшие причиной заболевании.
Консервативное лечение
Вылечить серозоцеле с помощью таблеток и препаратов практически невозможно.
Противовоспалительные препараты используют для купирования болевого синдрома, а антибактериальные средства назначают при инфекционных заболеваниях малого таза, являющихся одной из причин этого заболевания.
Также врачи могут назначить при серозоцеле физиотерапевтические методы воздействия – фонофорез с гиалуронидазой, магнитотерапию.
Лечение серозоцеле народными средствами
Эффективность народных средств при серозоцеле крайне низкая. Можно использовать подобное лечение лишь в сочетании с традиционными методами терапии. Из самых популярных способов следует отметить употребление отвара корня бадана внутрь, а также спринцевание отваром. Еще одно средство из этой категории – порошок моринды лимононосной, употребляемый внутрь в чистом виде или в виде настоя.
Серозоцеле и беременность
Небольшое образование в малом тазу не является противопоказанием к беременности. Однако при выраженном росте cерозоцеле сдавливает матку, яичники, маточные трубы и может стать причиной вторичного женского бесплодия. Поэтому девушкам, планирующим беременность, следует проконсультироваться у акушера-гинеколога и решить вопрос – нужно ли лечить cерозоцеле.
При уже возникшей беременности cерозоцеле небольших размеров никак не препятствует росту матки и развитию плода, и очень часто отмечается исчезновение образования на более поздних сроках. Но регулярное УЗИ малого таза позволяет контролировать состояние образования.
Серозоцеле большого размера может сдавливать беременную матку, поэтому в этом случае следует решить вопрос о хирургическом лечении патологии с помощью пункции.
Профилактика серозоцеле
Методы профилактики достаточно просты. Любой женщине следует как можно меньше подвергаться переохлаждению. Любые инфекционные и воспалительные заболевания гениталий, малого таза, яичников должны быть вылечены как можно быстрее.
Следует избегать заражения половыми инфекциями, так как они значительно повышают риск развития cерозоцеле. Для этого следует воздержаться от незащищенного секса или пользоваться средствами барьерной контрацепции.
У пациенток, перенесших операцию на малом тазу, частота развития серозоцеле зависит от объема операции, предрасположенности к развитию спаечной болезни, а также от аккуратности оперирующего хирурга.
Источник: https://polismed.ru/serozotsele.html
Поделиться:




