Боль во рту: признаки основных заболеваний и способы их лечения
Такое чувство, как боль во рту может возникнуть по разным причинам. Существует ряд заболеваний, которые могут вызывать болезненные и неприятные ощущения в полости рта. Если эти проявления принимают длительный характер, приносящий дискомфорт во время приёма пищи и глотания, необходимо сразу обратиться к врачу.
У большинства людей возникнет вопрос, к какому специалисту стоит обратиться. Большую роль в этом деле играет характер боли и её локализация. Рассмотрим, какие болезни имеют схожие симптомы и какой специалист их лечит.
Повреждение слизистой
Болевые ощущения в ротовой полости у взрослых и детей могут возникнуть вследствие элементарных травмирующих действий. Ими могут быть:
- Приём горячей или, наоборот, слишком холодной пищи. Слизистая во рту быстро реагирует на подобные травмы и начинает болеть. Если она воспаляется, значит, воздействие имело травмирующий характер, недопустимый для нормального сохранения её целостности. Горячая пища или питье может травмировать не только нёбо, язык и десна, но и горло.
- Слишком грубая пища также способна повредить слизистую. Твёрдая еда может поцарапать нёбо и внутреннюю поверхность щёк, что вызовет чувство жжения и боли на 1–2 дня.
Если говорить о детях, то в зависимости от возраста причины повреждения слизистой бывают более разнообразными. Маленькие дети царапают себя тонкими ноготками, берут в рот игрушки и другие предметы, попадающие им под руку. Дети постарше при употреблении леденцов или чипсов также могут повредить нежную слизистую.
Типичная травма — прикусила губу
После того как нарушается целостность и структура слизистой оболочки, она становится уязвимой перед большим количеством бактерий и инфекций. Через микротрещину в кожном покрове рта могут проникнуть болезнетворные микробы и начать развиваться.
В зависимости от характера полученных травм выбирается средство для снятия болевых ощущений. Если это ожоги, то можно использовать стоматологическую мазь Метрогил Дента после полоскания рта тёплой водой.
Мирамистин
Самолечение без назначения врача может усугубить ситуацию. Поэтому лучше при первых симптомах обращаться за помощью к специалисту, который точно знает, что делать и какое лечение применять.
Стоматологические заболевания
Причинами появлений инфекций также может стать несоблюдение правил личной гигиены или контакт с больным человеком. Чаще всего таким способом можно заразиться следующими болезнями:
Стоматит
Заболевание чаще всего встречается у маленьких детей, реже у взрослых. Инфекция передаётся капельным путём, со слюной, через посуду и при поцелуях. Ротовая полость при данной инфекции покрывается маленькими язвами, которые имеют белое очертание.
Нередко их верхний слой покрыт белой плёнкой, область вокруг ранки воспалена. Человек испытывает неприятные ощущения, изначально локально, а потом по мере распространения инфекции может ощущаться общая боль во рту.
Данным заболеванием занимаются стоматологи, они могут проводить лечение в клинике, где пациенту будут выполнять определённые процедуры. Маленьких детей нередко лечат педиатры, так как заболевание распространённое, а детские специалисты владеют соответствующими знаниями, позволяющими эффективно избавиться от проблемы.
Гингивит
Представляет собой воспалительный процесс дёсен. Болезненные ощущения во рту возникают при приёме пищи, разговоре и даже в спокойном состоянии. Встречается как у детей, подростков, так и взрослых людей.
Характерные симптомы данной инфекции — это покраснение дёсен, их кровоточивость, появление неприятного запаха изо рта и боль. Лечение проводят в стоматологических клиниках.
Герпес
Боль во рту может возникнуть вследствие распространения герпесной инфекции. Данное заболевание способно поражать любую область слизистой оболочки человеческого организма. Герпес губ — самый распространённый вид этой инфекции.
На слизистой рта, и даже в горле, появляются маленькие болезненные язвы, которые изначально возникают в виде пузырьков, наполненных желтоватой жидкостью. Когда они лопаются, образуются ранки вызывающие сильную боль.
При разной степени поражения наблюдаются характерные болевые ощущения: человек не может прикоснуться к воспалённому месту, тяжело принимать пищу и даже пить воду. Лечение проводит инфекционист.
Для лечения прежде всего необходимо снять воспаление и приступить к терапии. В домашних условиях можно выполнять полоскание рта отваром ромашки, календулы или использовать Мирамистин, или раствор Хлоргексидина.
Следует различать герпес и стоматит
Для борьбы с инфекцией стоматолог назначает специальные препараты, которые наносят локально или принимают внутрь. Не нужно заниматься самолечением, так как только врач может поставить точный диагноз и оценить степень поражения.
Невралгия
Часто при воспалительных процессах, которые затрагивают нервные окончания, болевые ощущения распространяются достаточно обширно. Невралгия мышц лица или челюсти может вызывать неприятные и болезненные ощущения в полости рта. Боль возникает при работе челюсти во время еды, разговора или попытке зевнуть.
Симптомы больше сопряжены с болевыми чувствами во время выполнения определённых действий. Боль локализуется внутри тканей, в мышцах, а не на поверхности слизистой. При данных заболеваниях наружных видимых признаков практически не существует.
В дальнейшем лечение назначают в зависимости от тяжести заболевания. Как правило, такие поражения лечатся при помощи антибиотиков и ряда специфических медикаментов. Иногда пациентов с таким диагнозом госпитализируют.
Сиалометаплазия
Это доброкачественное поражение слюнных желёз на нёбе. Первыми симптомами являются небольшие уплотнения в виде узелков на твёрдой части нёба. Воспалённые участки быстро увеличиваются в размерах и могут достигать около 2 см. При этом человек испытывает ноющую боль и чувство пульсации в месте локализации образований язв.
Заболевание встречается в ротовой полости взрослых людей в возрасте 40–50 лет. Статистика указывает, что мужчины страдают этим недугом чаще, чем женщины. Причиной болезни может послужить травма слизистой, спазм сосудов или вследствие инъекций во время стоматологических процедур.
Правильная постановка диагноза здесь играет решающую роль, так как общую боль в полости рта могут вызывать различные заболевания, у которых имеются схожие симптомы.
Важно помнить, что в каждом конкретном случае необходимо выяснить, почему болит во рту и что является её причиной. После этого врач назначает соответствующее лечение и даёт конкретные рекомендации по гигиене полости рта и профилактике подобных заболеваний.
Источник: https://zub.dental/rot/bolit-rot
Симптомы болезни — боли во рту

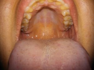
Преддверием рта называется пространство, расположенное между губами и щеками снаружи и зубами и деснами изнутри. Посредством ротового отверстия, rima oris, преддверие рта открывается наружу. Cavitas oris propria простирается от зубов спереди и латерально до входа в глотку сзади.
Сверху полость рта ограничена твердым нёбом и передним участком мягкого; дно образуется диафрагмой рта, diaphragma oris (парный m. mylohyoideus) и занято языком. При закрытом рте язык своей верхней поверхностью соприкасается с нёбом, так что cavitas oris сводится к узкому щелевидному пространству между ними.
Слизистая оболочка, переходя на нижнюю поверхность кончика языка, образует по средней линии уздечку языка, frenulum linguae. По сторонам уздечки заметно по небольшому сосочку, caruncula sublingualis, с отверстием на нем выводного протока поднижнечелюстной и подъязычной слюнных желез.
Латерально и кзади от caruncula sublingulais тянется с каждой стороны подъязычная складка, plica sublingualis, получающаяся от расположенной здесь подъязычной слюнной железы. Боль во рту может быть кое-чем похуже, чем просто неудобство. Если она выражается не в одном только плохом аппетите, это может быть серьезное заболевание, угрожающее вашей жизни.
Боль во рту нуждается в серьезном внимании со стороны врача, особенно у пожилых или тяжелобольных пациентов. Причины боли во рту: — Боль во рту может возникнуть по разным причинам, включая больные зубы, воспаления или травмы.
Еще она может возникнуть в том случае, когда дентин подвержен воздействию горячей и холодной пищи (напитков), вызывающих резкую острую боль, которая прекращается так же легко, как и возникает.
— Боль во рту может быть вызвана повышенной чувствительностью, трещиной, кариесом зубов или его осложнением; воспалением или инфекцией десен; язвами на слизистой оболочке рта; ожогом или царапиной языка; трещинами, ссадинами и волдырями на губах.
Иногда именно он является первым местом, где проявляются такие заболевания всего организма, как лейкемия, СПИД, побочные эффекты различных лекарств или недостаток тех или иных питательных веществ. Способы снятия боли и лечения болей во рту очень сильно зависят от того, что именно является причиной этой боли. — Боль во рту при афтах, язвах (стоматит, гингивит).
Афты и язвы могут быть вызваны повреждением слизистой оболочки рта (механическим, термическим, химическим, физическим), авитаминозами, сахарным диабетом, заболеваниями сердечно-сосудистой, нервной, кроветворной систем, органов пищеварения, острой (например, корь, скарлатина, дифтерия) и хронической (например, туберкулез) инфекцией, интоксикацией, паразитическими грибками (например, молочница).
Факторы, вызывающие травматический стоматит — это отложения зубного камня, разрушенные, кариозные зубы, неправильно изготовленные протезы, пломбы, инородные предметы, ожоги горячей пищей, воздействие щелочей, кислот и т. п. При кратковременном воздействии повреждающего фактора развивается катаральный процесс: слизистая оболочка болезненная, покрасневшая, отёчная, кровоточащая.
При длительном воздействии — образуются язвы, вокруг которых развиваются воспалительные явления. — При афтозном стоматите во рту (на языке, деснах, медиальной поверхности щек) появляются болезненные мелкие пузыри или круглые язвочки с белой серединой, окруженные покраснением. Пузыри скоро лопаются, оставляя неглубокие язвочки с красными краями.
Кроме боли возможны кровотечение или опухание десен, повышенная чувствительность во рту, обильное слюноотделение, повышение температуры тела. Подчелюстные лимфатические узлы увеличены и болезненны. Появляется неприятный запах изо рта.
Иногда язвочки образуются при случайном повреждении губы или языка (например, зубами), иногда — без очевидной причины, но чаще — как проявление вирусного заболевания. Обычно они заживают сами. Боль, как правило, исчезает за 2-4 дня до полного заживления язв. — Боль во рту может беспокоить и вследствие гингивита — заболевания десен, имеющего воспалительный, дистрофический и другой характер.
Заболевание возникает при воздействии на ткани десны неблагоприятных внешних факторов (отравление свинцом, марганцем, висмутом и др.), а также может быть следствием снижения местной или общей реактивности организма. При воздействии вредных факторов на слизистую оболочку десны воспаляется сначала десневой сосочек, затем — соседние участки слизистой оболочки.
— Лечение рака может вызвать боль во рту, появление язв во рту, болезненность десен или боль в горле. В этом случае Вам будет трудно жевать или глотать. Попросите у своего врача лекарство, которое поможет Вам справиться с болью в полости рта или в горле. Немедленно обратитесь за медицинской помощью, если: — Вы испытываете потерю чувствительности или онемение во рту или губах. — Вам больно жевать. — Ваши десны покраснели, опухли и кровоточат. — Края ваших десен опухли или гноятся. — Вы теряете зубы в зрелом возрасте. — У вас постоянно имеются язвы или боль во рту. — У вас постоянно имеется твердый узелок или опухоль, не причиняющие боли, во рту или около него. — У вас болят зубы, и наблюдается высокая температура. — У вас появились язвы во рту после начала приема нового лекарства.
Вы испытываете боль во рту? Вы хотите узнать более детальную информацию или же Вам необходим осмотр? Вы можете записаться на прием к доктору Eurolab всегда к Вашим услугам! Лучшие врачи осмотрят Вас, изучат внешние признаки и помогут определить болезнь по симптомам, проконсультируют Вас и окажут необходимую помощь. Вы также можете вызвать врача на дом. Клиника Eurolab открыта для Вас круглосуточно.
Как обратиться в клинику: Телефон нашей клиники в Киеве: (+38 044) 206-20-00 (многоканальный). Секретарь клиники подберет Вам удобный день и час визита к врачу. Наши координаты и схема проезда указаны здесь. Посмотрите детальнее о всех услугах клиники на ее персональной странице.
Если Вами ранее были выполнены какие-либо исследования, обязательно возьмите их результаты на консультацию к врачу. Если исследования выполнены не были, мы сделаем все необходимое в нашей клинике или у наших коллег в других клиниках.
У Вас болит рот? Необходимо очень тщательно подходить к состоянию Вашего здоровья в целом. Люди уделяют недостаточно внимания симптомам заболеваний и не осознают, что эти болезни могут быть жизненно опасными. Есть много болезней, которые по началу никак не проявляют себя в нашем организме, но в итоге оказывается, что, к сожалению, их уже лечить слишком поздно.
Каждое заболевание имеет свои определенные признаки, характерные внешние проявления – так называемые симптомы болезни. Определение симптомов – первый шаг в диагностике заболеваний в целом.
Для этого просто необходимо по несколько раз в год проходить обследование у врача, чтобы не только предотвратить страшную болезнь, но и поддерживать здоровый дух в теле и организме в целом.
Если Вы хотите задать вопрос врачу – воспользуйтесь разделом онлайн консультации, возможно Вы найдете там ответы на свои вопросы и прочитаете советы по уходу за собой.
Если Вас интересуют отзывы о клиниках и врачах – попробуйте найти нужную Вам информацию на форуме.
Также зарегистрируйтесь на медицинском портале Eurolab, чтобы быть постоянно в курсе последних новостей и обновлений информации на сайте, которые будут автоматически высылаться Вам на почту.
Другие виды боли на букву «р»:
Карта симптомов предназначена исключительно для образовательных целей. Не занимайтесь самолечением; по всем вопросам, касающимся определения заболевания и способов его лечения, обращайтесь к врачу. EUROLAB не несет ответственности за последствия, вызванные использованием размещенной на портале информации.
Если Вас интересуют еще какие-нибудь симптомы болезней и виды боли или у Вас есть какие-либо другие вопросы и предложения – напишите нам, мы обязательно постараемся Вам помочь.
Источник: https://www.eurolab.ua/symptoms/pain/190/
Боль во рту
Боль во рту является не самой распространенным недугом, поэтому от него страдает небольшое количество людей. С этой проблемой столкнуться можно по разным причинам, к одной из которых относятся заболевания, негативно влияющие на организм, создавая нехорошие ощущения в ротовой полости.
Считаю, что на визитах к стоматологу всё же можно существенно сэкономить. Конечно я говорю об уходе за зубами. Ведь если тщательно ухаживать за ними, то до лечения действительно может и не доходить дело — не потребуется. Микротрещинки и небольшой кариес на зубах можно убрать обычной пастой. Как? Так называемой пломбирующей пастой. Для себя выделяю Denta Seal. Попробуйте и вы.
При продолжительном негативном воздействии, при наличии дискомфорта во время потребления пищи или глотания, то н стоит ждать, когда боль отступить и самочувствие нормализуется самостоятельным образом.
Когда человек доводит до плохого состояния полость рта, где уже прогрессируют различного рода заболевания, то подобное попустительство способно ухудшить ситуацию.
Важно своевременно обратиться к врачу за помощью в проведении всех необходимых мероприятий по выявлению проблемы.
Причины появления боли во рту
Рассмотрим причины, из-за которых появляются болевые ощущения.
К ним относят:
- нарушение целостности слизистой оболочки;
- стоматологические заболевания;
- невралгия;
- сиалометаплазия.
Боль во рту может появляться в силу разных причин
Повреждение слизистой оболочки наблюдается как у взрослых, так и детей, а виной этому становится травмирование из-за неосторожности и неаккуратности человека.
Травма — самая распространенная причина боли, она может случиться из-за механического повреждения, нанесенного во время чистки зубной щеткой. Проблема возникает после приема продуктов питания, являющихся слишком холодными или горячими, ошпаривающими небо, язык и другие части рта.
Реагирует слизистая на негативное воздействие извне мгновенно, доставляя неудобства из-за боли, не приносящую удовольствия человеку, а наоборот, испытывающего дискомфорт. Необходимо контролировать баланс температуры еды или питья, предотвращая очень высокий или низкий градус.
Пища, отличающаяся повышенной твердостью тоже нежелательна, поскольку из-за нее и небо, и внутренние стенки щек могут получить повреждения. Помимо неприятной боли возникнет жжение, способное затянуться на 1-2 дня.
У малышей травмирование происходит из-за того, что они могут играться с различными игрушками и другими предметами, не отличающимися особой мягкостью. Более взрослые дети повреждают нежные ткани слизистой оболочки рта с помощью такой еды как чипсы, леденцы, сухарики и т.д.
Когда оболочка повреждена, то она становится очень податливой к различным инфекциям, заносимым в организм благодаря микроорганизмам через микротрещины, образовавшиеся в кожном покрове рта. После попадания в ранку, бактерия там размножаются, увеличиваясь в количестве за короткое время.
Существует несколько видов инфекций, способных причинить боль, распространяющуюся как на небо, так на язык, горло и т.д. Сюда входят бактериальные, грибковые и вирусные инфекции.
Бактериальные инфекции могут быть вызваны множеством разновидностей микробов, особенно при наличии травм или некоторых ранее существовавших заболеваний полости рта.
Грибковые инфекции наблюдаются у людей, страдающих диабетом, сухостью во рту, у них наблюдается хронический ушиб, имеют ослабленную иммунную систему.
Вирусные инфекции попадают в организм с такими распространителями заболеваний как вирус герпеса, вызывающих заражение в полости рта, известную как герпетический стоматит.
Стоматит – один из встречающихся недугов, появляющихся в большинстве случаев у детей. Инфекция проникает в организм через слюну, при поцелуях.
Внешне заболевание проявляется маленькими язвами в виде белых набуханий, это объясняется тем, что данные образования покрываются белой пленкой, а область вокруг раны воспаляется.
Дискомфорт возникает локальным путем, после чего преобразовывается в болезненные ощущения, начинающих беспокоить слизистую оболочку.
Стоматит самостоятельно не проходит, за его устранение берется квалифицированный врач-стоматолог, проводящий лечение в клинике, где осуществляется полный список мероприятий, нацеленных на скорейшее выздоровление пациента.
За излечивание детей берется педиатр, в чью компетенцию входит устранение болезни на основе полученных знаний, предоставляющих возможность применять эффективные методы лечения.
Гингивит – определяется воспалением десен, по чьей вине человек чувствует боль при приеме еды или любом другом движении челюстью.
Возраст больного не имеет значения, поскольку заболевание способно поразить как ребенка, так и взрослого.
Герпес – наиболее распространенный недуг, проявляющийся болью, развивающейся из-за герпесной инфекции. Он способен появиться с любой области слизистой оболочки как на полости рта, так и в горле.
Внешне проявляется маленькими болезненными язвочками, первоначально представленные как небольшие пузырьки с желтой жидкостью внутри. Если эти образования лопаются, то на их месте остаются ранки.
Исходя тяжести поражения болезненных ощущений могут проявляться по-разному. Порой человек не в состоянии дотронуться до пораженного участка, он с большим усилием потребляет пищу и напитки.
За лечения герпеса берется инфекционист, чьей первостепенной задачей является устранение воспаления, после чего проводится терапия.
Стоматолог для устранения инфекции выписывает препараты, изготовленные специально для борьбы с этой проблемой.
Самолечением не рекомендуется заниматься, но полезным будет полоскание отваром, сделанным на основе ромашки или календулы, также пригодится Мирамистин или раствор, изготовленный с применением Хлоргексидина.
Невралгия – появляется при воспалении, охватывающего — нервные окончания. Заболевание затрагивает мышечные ткани лица или в области челюсти, отчего отмечаются болевые ощущения как при поглощении пищи, так и при разговоре. Признаки носят неявный характер, поэтому практически незаметны внешне.
Сиалометаплазия – еще одна причина появления боли, представляющая собой нарушение работы слюнных желез на небе. К первым симптомам относится образование маленьких уплотнение, принимающих форму узелков на твердой части неба. Если пораженные участки разрастаются, то их размер равняется 2 см, из-за чего возникает ноющая и пульсирующая боль в зоне, где находятся язвы.
Проблема наблюдается у взрослых от 40-50 лет, и преимущественно в зоне риска оказываются мужчины. Как следствие появления болезни — травмирование внутренних стенок, спазмы сосудов или проведение инъекционных мероприятий при стоматологических процедурах.
Общая симптоматика
Существует несколько типичных симптомов, свидетельствующих о наличии проблем, проявляющихся болевыми ощущениями. Вырисовывается следующая клиническая картина:
- жжение слизистой оболочки, опухающей со временем, из-за чего сложно принимать пищу или питье;
- ощущения, напоминающие покалывание, царапание;
- покраснение определенных участков во рту;
- налет;
- обильное слюновыделение;
- язвочки;
- отечность;
- неприятный запах.
Эти болезненные реакции появляются вследствие отрицательного влияния вредных факторов, и после устранения их воздействия, симптомы проходят.
Методы лечения
При первых симптомах недуга можно попробовать от него избавиться с помощью подручных средств, но перед их применением нужно проконсультироваться с врачом.
Полоскание рта очень действенный вариант устранения данной проблемы на начальных стадиях, и здесь пользу окажут отвары из лекарственных растений. Кроме них эффективный результат получится от раствора пищевой соды (1/3 ч. л.) и соли 0,5 ч. л.
, добавляем в теплую воду 150 мл., полощем каждые 2 часа при сильных болях используются такие медикаменты как Преднизолон, Азотопирин, Бетаметазон для внутренней обработки рта.
Восстанавливают мягкие ткани препараты Каротолин, Винилин, Мундизал гель и т.д.
Возможные осложнения
Необходимо обратиться к врачу, если наблюдаются такие осложнения как:
- сильное покраснение, припухлость или кровоточивости на деснах;
- потеря чувствительности или онемение на губах или во рту;
- отечность или гноение десен;
- язвы, которые долгое время не проходят;
- постоянные болезненные ощущения при пережевывании;
- зубная боль и очень повысилась температура;
- выпадают зубы.
Испытываете ли волнение перед визитом к стоматологу?
Профилактические меры
Если не хотите регулярно страдать от ужасных болей, то следуйте рекомендациям, изложенным ниже. Выполняйте такие меры профилактики:
- исключите потребление слишком горячей, холодной или твердой пищи;
- при появлении первых болевых ощущениях старайтесь их устранять вовремя, чтобы недуг не перешел в более тяжелую форму;
- внимательно следите за химикатами, находящимися в квартире, смотрите из какой бутылки собираетесь пить;
- укрепляйте иммунитете за счет минералов, витаминов и полезных веществ.
Когда детально изучите способы профилактики, препятствующей появлению боли, тогда не придется проводить курсы лечения, тратя время и нервы.
Источник: https://zub.expert/polost-rta/bol-vo-rtu
Болят десны и слизистая оболочка полости рта
У Вас разболелись десны и слизистая оболочка полости рта, да так, что стало невозможно принимать пищу? Скорее всего, это проявления стоматита.
Стоматит — это воспаление слизистой оболочки полости рта.
Причины развития стоматита
Стоматит могут вызывать такие факторы, как:
- вирусная инфекция (вирус герпеса)
- бактерии (спирохеты, веретенообразные палочки)
- гиповитаминоз
- переохлаждение
- стресс
- перенесенные тяжелые заболевания
- неполноценное питание
- переутомление
- неблагоприятное состояние полости рта (кариес зубов, зубной налет и зубной камень)
- травма слизистой оболочки полости рта
- химические и термические ожоги слизистой оболочки полости рта
- прием некоторых лекарственных препаратов
Симптомы стоматита
Существует несколько видов стоматита, различающихся причиной возникновения заболевания.
Катаральный стоматит. Является самой легкой формой воспаления слизистой оболочки полости рта. Возникает при неудовлетворителной гигиене полости рта, отложениях зубного камня. Может стать следствием аллергической реакции на прием лекарственных препаратов.
При катаральном стоматите слизистая оболочка полости рта выглядит покрасневшей и отечной, может быть покрыта белесоватым налетом. При приеме горячей или острой пищи возникает болезненность, чувство зуда, жжения.
Острый герпетический стоматит. Возбудитель заболевания — вирус герпеса. Болеют, чаще всего, дети и молодые люди. При этой форме стоматита слизистая оболочка полости рта покрасневшая, отечная. Появляются афты (язвочки) одиночные или множественные, покрытые желтоватым налетом.
Появляются боли в полости рта, усиливается слюноотделение. Повышается температура тела до 38о — 39о .Развивается недомогание, потеря аппетита, ухудшается общее самочувствие. При тяжолой форме заболевания температура тела поднимается до 40 о , появляется тошнота, рвота,головная боль. Слизистая оболочка губ, щек, неба, десен изъязвляется.
Язвенно-некротический стоматит. Возбудитель заболевания — веретенобразные палочки и спирохеты. Эти микроорганизмы присутствуют в зубодесневых карманах, под десной около неполностю прорезавшихся зубов «мудрости». При ослаблении защитных сил организма инфекция активизируется и вызывает развитие стоматита.
При этой форме стоматита вначале поражаются десны, затем воспаление может распространиться на другие участки слизистой оболочки полости рта. Воспаление протекает с образованием обширных, глубоких язв. Происходит некроз (омертвение) пораженных участков слизистой оболочки. Десны и язвы покрыты слоем налета серо-зеленого цвета.
Заболевание характеризуется болями в полости рта, усиливающимися при приеме пищи. Появляется кровоточивость десен, гнилостный запах изо рта, усиливается слюноотделение. Ухудшается общее самочувствие, повышается температура тела до 38о — 40о .
Афтозный стоматит.
Предрасполагающими факторами кразвитию афтозного стоматита могут быть: пищевая аллергия, стресс, гормональные сдвиги, недостаток в пище железа, витамина В12, фолиевой кислоты, а также системные заболевания, травма, в том числе повреждения слизистой оболочки полости рта химическими веществами, нарушения в иммунной системе. При этом, даже небольшая травма слизистой оболочки способна вызвать развитие стоматита.
Для афтозного стоматита характерно изъязвление слизистой оболочки полости рта. На языке, дне полости рта, мягком небе, внутренней поверхности щек и губ образуются язвочки.
Как правило, появлению эрозий и язв предшествуют болевые ощущения. Язвы могут быть единичными и множественными.
Травматический стоматит. Возникает вследствии повреждения слизистой оболочки полости рта колющими и режущими предметами, острыми краями разрушенных зубов, негодными зубными протезами. Чаще всего поражаются десны и язык.На месте травмы появляется изъязвление.
При травматическом стоматите возникает болезненность при приеме пищи и чистке зубов. Слизистая оболочка поврежденного участка краснеет и отекает.
Одной из форм травматического стоматита являются так наз. афты Беднара, или афты (язвочки) новорожденных. У новорожденных и грудных детей на слизистой оболочке посередине неба возникают небольшие изъязвления округлой формы.
Они образуются в результате повреждения слизистой оболочки полости рта при неосторожном протирании полости рта новорожденного, а также вследствие травмирования ее грубой длинной соской при кормлении из бутылки. В тяжелых случаях отдельные язвочки могут сливаться, образуя значительную раневую поверхность в форме бабочки.
Поверхность такой язвы часто покрывается желтоватым налетом. Своевременное лечение стоматита предотвратит развитие осложнений.
Первая помощь при стоматите
Следует помнить о том, что описываемые средства лишь уменьшают боль, но не помогают вылечить стоматит! Поэтому, при первой возможности, требуется обратиться к стоматологу!
В условиях клиники для лечения стоматита применяется комплексная терапия, включающая противовоспалительные, антибактериальные, потивовирусные препараты, протеолитические ферменты, физиотерапию.
Для уменьшения симптомов стоматита в бытовых условиях можно применить обезболивающие препараты и противовоспалительные полоскания полости рта.
- Принять 1-2 таблетки обезболивающих препаратов (анальгин,темпалгин,панадол,парацетамол). Противовоспалительным и обезболивающим действием обладает аспирин.
- Полоскать полость рта несколько раз в день слаборозовым раствором перманганата калия (марганцовки), фурацилина 0,02%, хлоргексидина 0,06-0,1%.
Рецепты народной медицины
Отвары лечебных трав помогают несколько уменьшить воспаление и боль при стоматите.
Рецепт № 1 — Настой луковой шелухи
Три чайные ложки сухой измельчённой луковой шелухи залить полулитром горячей воды и довести до кипения. Дать настояться в течение 7-8 часов, процедить, а отваром полоскать полость рта несколько раз в день.
Рецепт № 2 — Отвар конского щавеля
Одну столовую ложку измельченных корней конского щавеля следует залить одним стаканом воды. Довести до кипения и кипятить в течение пятнадцати минут. После этого процедить и применять для полоскания полости рта.
Рецепт № 3 — Отвар календулы лекарственной
Две столовые ложки цветков залить двумя стаканами кипятка и дать настояться в течение 15 минут. После этого процедить и применять для полоскания полости рта.
Рецепт № 4 — Настой из листьев крапивы
Одну столовую ложку мелконарезанных листьев заварить двумя стаканами кипятка. После того, как настой постоит в течение 30 минут – процедить. Применять настой следует при кровоточивости дёсен и незаживающих язвочках полости рта.
Рецепт № 5
Ингредиенты:
- Сок репчатого лука — 1 ст. ложка
- Липовый мед — 1 ст. ложка
- Вода — 2 ст. ложки
Способ приготовления и применения:Луковый сок влить в эмалированную емкость, добавить горячую воду и распущенный на водяной бане мед, перемешать и остудить до комнатной температуры.
Полученный состав использовать для приготовления примочек и компрессов при воспалении десен и слизистой оболочки полости рта.
Источник: https://StomPort.ru/first-aid/bolyat-desny-i-slizistaya-obolochka-polosti-rta
Поделиться:


