Уплотнение перипортальных трактов печени
Печень в организме человека выполняет жизненно важные функции. Детоксикация, очищение организма от ядов, химикатов, тяжелых металлов происходит именно под воздействием данной железы. Также, печень в сочетании с поджелудочной железой активно синтезирует желчь. Следовательно, орган принимает участие в пищеварении.
Все обменные процессы, выработка и нейтрализация гормонов, усвоение витаминов выполняет тоже печень. Поэтому так важно следить за ее здоровьем. Уплотнение печени может свидетельствовать о наличии серьезных заболеваний железы.
Ведь у полностью здорового человека паренхима не имеет диффузных изменений, обладает однородной структурой, а сосуды и протоки хорошо просматриваются.
Причины возникновения уплотнений
Очень часто при обследовании органов брюшной полости и желудочно-кишечного тракта диагностируется диффузное уплотнение печени. Патология распространена среди людей в возрасте 45-50 лет.
Врачи такое незначительное уплотнение, увеличение печени называют гепатозом. Заболевание еще носит название жировая дистрофия. При таком состоянии клетки печени поглощаются жиром, который не выводится из органа, а оседает в нем.
Заболевание опасно тем, что очень часто протекает бессимптомно, что приводит к тяжелым осложнениям.
Так, причиной может послужить злоупотребление алкоголем. Большое количество спиртных напитков убивает клетки печени. Человек пребывает в постоянном токсическом отравлении.
Курение тоже крайне негативно сказывается на состоянии всего организма.
Уплотнение печени нередко развивается из-за неправильного питания. Большое количество жирной пищи, минимум витаминов и минералов приводят к патологиям печени и всего кишечного тракта. Среди других причин можно отметить такие:
- Сахарный диабет;
- Гормональный сбой;
- Дисфункция эндокринной системы;
- острые инфекционные заболевания;
- Вирусный гепатит.
Также, стоит отметить и длительный прием некоторых медикаментозных препаратов. Опасность представляют антибиотики и гормональные препараты. Синтетические гормоны на основе эстрогенов провоцируют не только уплотнение, но и поликистоз печени.
Поэтому, данные медикаменты назначаются курсами с перерывами. Уплотнение печеночных протоков возникает и на фоне нарушения обменных процессов.
Среди других факторов можно отметить аутоиммунные заболевания, цирроз печени, врожденные аномалии развития печени.
Симптомы уплотнения печени
Очень часто диффузное уплотнение печени протекает бессимптомно. И только при активном развитии патологии симптоматика начинает себя проявлять.
Начальные признаки достаточно не специфические, и расцениваются больным неправильно. Так, у человека повышается утомляемость, возникает сонливость, раздражительность, головная боль.
При такой симптоматике мало кто задумывается о наличии патологии печени.
Если причиной уплотнения является жировая дистрофия, признаки возникают только на второй и третьей стадии развития недуга. Так, можно выделить следующие проявления:
- Боль в правом подреберье;
- Тошнота;
- Рвота;
- Повышение температуры тела;
- Потеря аппетита;
- Резкое снижение массы тела;
- Желтуха;
- Запоры или диарея.
Любой дискомфорт со стороны кишечного тракта свидетельствует о заболеваниях печени и поджелудочной железы. Желтуха появляется из-за застоя желчи в желчных протоках. Иногда пациенты с уплотнением печени жалуются на зуд кожных покровов. Тяжелые случаи (гепатит, цирроз) в брюшной полости начинает скапливаться свободна жидкость. В результате этого живот увеличивается, выпирает.
Диагностика и методы лечения уплотнений
Любые изменения структуры паренхимы указывают на полное или частичное замещение печеночной ткани. Важно знать, что диффузное уплотнение печени является не диагнозом, а одним из признаков какого-либо заболевания железы. И, чтобы выявить основную причину уплотнения необходимо произвести полноценную диагностику не только печени, но и всех органов пищеварительной системы, брюшной полости.
Сначала доктор проводит опрос и первичный осмотр для сбора анамнеза. Только после этого квалифицированный специалист сможет поставить предварительный диагноз. Для его подтверждения или опровержения больному необходимо сдать кров на биохимический анализ.
Для выявления уплотнений в печени высокой информативностью обладает ультразвуковое исследование. УЗИ определит долю печени в которой наблюдается уплотнение. Данный метод диагностики позволит доктору полноценно оценить состояние печени, ее размеры, структуру органа. Помимо УЗИ, врач может посоветовать пройти МРТ или КТ.
Такие варианты, как правило, необходимы при выявлении цирроза, камней, опухолей, кист на УЗИ.
Только после данного комплекса мероприятий доктор назначает максимально эффективное лечение конкретной болезни, которая и спровоцировала уплотнение. Диффузное уплотнение печени лечит врач гастроэнтеролог. В первую очередь, специалист назначает пациенту диету.
Рацион питания подбирается каждому пациенту индивидуально. В случае наличия гепатоза, как правило, диетического питания вполне достаточно для полного излечения.
Если же имеют место более серьезные поражения печени требуется целый комплекс медикаментозных мероприятий:
- Нормализация питания;
- Очистка организма;
- Иммуномодулирование;
- Восстановление гепатоцитов.
Очистка организма заключается в применении некоторых энтеросорбентов. Они помогут печени активизироваться, и в кротчайшие сроки вывести токсины. Для чистки печени используют желчегонные препараты — Аллохол, Расторопша, Гептрал, Липосил. Восстановить гепатоциты помогают специальные средства гепатопротекторы.
Высокой эффективностью отличаются эссенциальные фосфолипиды. Они способны не только защитить здоровые клетки печени, но и полноценно их восстановить, ускорить регенерацию. Популярными средствами данной группы являются Эссенциале, Эссливер, Фосфоглив.
Гепатопротекторы принимают во время еды трижды в день. Курс восстановления печени длится минимум 2 месяца. Защищают печень витамина группы В и Е. Поэтому стимулировать местный иммунитет помогают специальные поливитаминные комплексы.
Среди других эффективных средств можно отметить такие:
- Гентос;
- Карсил;
- Антраль;
- Гепатрин.
Диета
При диффузном уплотнении печени обязательным условием является соблюдение диетического питания. Из рациона питания полностью исключается жирная, жареная, соленая пища, кофе, маринады, шоколад, томаты.
Количество калорий, потребляемых в течение дня должно составлять не менее 2500 ккал. Пища должна быть теплой. А кушать нужно обязательно дробно. Все блюда готовятся на пару, в отварном или запеченном виде.
Все продукты должны быть насыщенны клетчаткой, которая быстро выводит желчь. Главным составляющим диеты считается белок. Нужно потреблять минимум 100 г чистого белка в сутки.
Очень важно выпивать достаточное количество чистой не газированной воды (2-2,5 л).
Рацион больного должен состоять из легких овощных бульонов, каш и круп, нежирной рыбы, компотов, сухофруктов, свежих овощей и фруктов (кроме чеснока, редиса, щавеля, дыни), травяных чаев. Категорически запрещено курение и употребление алкоголя. Народная медицина советует и такие средства:
- Морковный сок;
- Сок свеклы;
- Капустный сок с медом;
- Тыква;
- Отвар овса и корня цикория;
- Отвар расторопши.
Профилактика заболеваний печени
Чтобы избежать повторных возникновений уплотнений печени необходимо соблюдать меры профилактики. Если человек заметил даже легкий дискомфорт со стороны системы пищеварения необходимо проконсультироваться с доктором гастроэнтерологом. Обязательно стоит следить за качеством питания. Ведь именно от того, что мы потребляем и зависит здоровье печени.
Здоровый образ жизни является обязательным условием даже после полного выздоровления печени. Человеку необходимо отказаться от таких вредных привычек, как алкоголь и курение.
Немаловажной является и ежедневная активность. Малоподвижный образ жизни способствует развитию застоя желчи в желчевыводящих протоках.
Поэтому, регулярные занятия спортом, умеренные физические нагрузки защитят печень, укрепят общий иммунитет.
Если ранее были замечены диффузные уплотнения печени стоит избегать контактов с химикатами, токсинами, бытовой химией. Вдыхать пары этих веществ категорически запрещено. Большое количество химикатов мы получаем вместе с пищей.
В связи с этим стоит внимательно изучать состав пищи, тщательно мыть овощи и фрукты перед употреблением. Регулярный осмотр у доктора позволит человеку следить за состоянием своего организма, и избежать возможных осложнений.
Источник: https://gepasoft.ru/uplotnenie-periportalnyh-traktov-pecheni/
Уплотнение печени
Одним из часто встречаемых отклонений при обследовании с применением метода сонографии (УЗИ) является уплотнение печени — симптом достаточно тревожный. Печень выполняет жизненно необходимые функции регуляции метаболизма и детоксикации во взаимосвязи с кишечником и желчным пузырем, поэтому для общего здоровья организма важно, чтобы этот орган находился в работоспособном состоянии.
Изменение структуры тканей печени встречается не так редко, а выявляется при аппаратном обследовании.
Вероятные причины уплотнений в печени
В качестве основных факторов риска структурных изменений выделяют следующие причины:
- вредные привычки (алкоголизм, интенсивное табакокурение);
- дистрофия, вызванная жировой инфильтрацией;
- систематическое нарушение принципов правильного питания (переедание, несоблюдение временных интервалов между приемами пищи, чрезмерное употребление жирных, острых, жареных блюд);
- долгосрочное употребление антибиотиков или других препаратов сильного действия;
- печеночные патологии, способствующие уплотнению протоков (метаболические поражения, цирроз, аутоиммунный гепатит);
- внепеченочные патологии (сахарный диабет и т. п.);
- острые и хронические инфекции.
Симптоматика структурных изменений
Симптомокомплекс при печеночных патологиях включает следующие проявления:
- расстройства функционирования желудочно-кишечного тракта;
- тошнота;
- рвота;
- резкое снижение веса;
- боли в зоне правого подреберья и «под ложечкой»;
- внутренние кровотечения (признаки — кал черного цвета, рвота коричневого цвета);
- избыточное накапливание жидкости в брюшине (водянка);
- желтый цвет кожного покрова и белков глаз;
- гипертрофия печени.
Диагностические меры
Для диагностики печеночных патологий применяются клинические пробы крови и мочи.
Среди инструментальных методов обследования используются УЗИ (ультразвуковое исследование или сонография), КТ (компьютерная томография), МРТ (магнитно-резонансная томография), возможно также проведение биопсии.
Эти методики обеспечивают надежное выявление разнообразных поражений органа в виде опухолей, абсцессов и прочих воспалений, инфекций, паразитарных инвазий, травм.
УЗИ уплотнения в печени
Наиболее популярным средством диагностики в данном случае является метод УЗИ, благодаря его доступности и простоте.
Проведение ультразвукового исследования не требует специальной подготовки, кроме простых правил — желательно проводить процедуру натощак (при отсутствии противопоказаний) и не употреблять накануне продуктов, способствующих повышенному газообразованию.
Повышение либо понижение эхогенности указывает на повреждение целостности строения органа. Повышенная эхогенность стенок печени показывает, что паренхима излишне плотная, имеется диффузное изменение органа. Уплотнения в печени на УЗИ являются основанием для комплексного обследования.
Норма размера печени в здоровом состоянии
В норме паренхиматозная ткань имеет однородную структуру, узор сосудов и желчных протоков отчетливо просматривается в процессе УЗИ. Объемы печени приблизительно соответствуют нормативу в определенных единицах: правая доля составляет до 12,5 см, левая доля в пределах 7 см, края органа ровные и четкие. Диаметр сосуда портальной вены не более 13 мм, общий желчный проток в рамках 6—8 мм.
Типичные заболевания
Уплотнение в печени может предвещать цирроз или гепатит.
Чем более обширно диффузное изменение печени, и чем больше уплотнена паренхима, тем заметнее проявляется повышение эхогенности.
Неравномерная эхогенность разных зон органа, неоднородность структуры и границ, несоответствие объемов органа нормативу и увеличенный диаметр портального венозного сосуда указывает на вероятность цирроза.
Гепатит проявляется преимущественно повышенной эхогенностью, гипертрофией органа и повышенным содержанием фиброзной ткани в структуре печени.
Доброкачественные и злокачественные новообразования
Часто уплотненная паренхима печени предполагает наличие злокачественного или доброкачественных опухолей. Новообразования доброкачественного характера прогрессируют медленно и не имеют метастаз. Однако врачебное наблюдение за процессом необходимо для контроля роста опухоли и своевременной терапии, если она потребуется.
УЗИ в данном случае покажет четкие границы уплотненного участка ткани печени, возможно также выявление очагов, заполненных жидкостью или кровью. Злокачественные опухоли могут оказаться метастазами при онкологическом поражении других органов либо первичными онкологическими новообразованиями. В этом случае характерно проявление на УЗИ многих очагов уплотнения.
Для уточнения диагноза необходимы дополнительные анализы, включая лабораторные исследования крови.
Прочие возможные причины повышенной плотности паренхимы
Капсулы округлой формы с жидкостью внутри, обнаруженные в результате УЗИ, указывают на возможные абсцессы, кисты либо наличие в печени паразитов. Диагноз потребует уточнения с помощью дополнительных методов обследования.
Застойные процессы в желчных протоках органа считаются основанием нарушения однородности структуры паренхимы.
Если содержание билирубина повышено, что определяется дальнейшими клиническими анализами, значит, застой желчи является вероятным диагнозом.
Лечение при изменениях структуры паренхимы
По масштабам и виду изменений структуры паренхимы печени врач назначает соответствующую терапию.
Назначаемая терапия зависима от конкретной патологии, явившейся источником структурных нарушений в тканях печени, и назначается индивидуально пациенту лечащим специалистом. В качестве лекарственных средств употребляются иммуномодуляторы и гепатопротекторы.
Важно соблюдение диетического режима питания, исключающего жирные и холестериновые продукты. Важно исключить негативное влияние на печень вредных привычек (алкоголизм, курение).
Профилактические меры для здоровья печени
Кроме специфического лечения, есть общие рекомендации для поддержания здоровья. Периодическое очищение организма и действия, направленные на повышение иммунитета, будут полезны и печени.
Следует вести здоровый образ жизни и придерживаться принципов правильного питания, употреблять больше натуральных продуктов, фруктов и овощей, и не допускать перееданий.
При лечении любого заболевания важно своевременное выявление, поэтому рекомендуется проходить медицинское обследование организма с использованием УЗИ ежегодно, особенно людям в возрасте от 50-ти лет. Печень может восстанавливаться, поэтому при обнаружении патологии на ранней стадии развития и своевременном лечении прогноз благоприятен.
Источник: https://infopechen.ru/bolezni/drugie/uplotnenie-v-pecheni-na-uzi.html
Диффузное уплотнение печени — что это значит? Причины, норма и лечение
Это средство с натуральным составом поможет печени даже в самых тяжелых случаях…
Уплотнение в печени на УЗИ является одним из наиболее распространенных отклонений при проведении этого обследования. Так как печень относится к жизненно важным органам, то подобный симптом можно назвать тревожным. Данный орган отвечает за детоксикацию и регуляцию метаболизма. Нарушение этих функций ведет к проблемам со здоровьем, именно поэтому необходимо следить за состоянием печени.
Общая информация
Так что это такое – уплотнения в печени? Что означает подобное изменение структуры и почему оно возникает?
Ультразвуковое исследование уже многие годы считается одной из самых точных диагностических методик. С его помощью можно выявить даже небольшие изменения в структуре паренхимы, определить патологию на раннем этапе развития и оценить тяжесть поражения.
Процедура УЗИ печени
УЗИ проводится с помощью ультразвука. Эти волны проходят через ткани, создавая визуализацию на мониторе аппарата. В зависимости от того, насколько печень уплотнена, на снимке отображается интенсивность теней. Данная процедура позволяет отследить изменения нарушений структуры и движение крови.
Внимание! Исследование относится к безопасным методам, предоставляющим наиболее точные и информативные данные. Его применение широко распространено во многих сферах медицины.
Признаки структурных нарушений
На УЗИ здоровая печень должна обладать однородной мелкозернистой структурой, без уплотнений и деформаций. Для зоны желчных протоков и сосудов характерна гиперэхогенность.
При диффузном уплотнении у пациента могут проявляться клинические признаки патологии и дисфункция органа.
Кандидат медицинских наук, врач В. М. Савкин:Очистка печени поможет омолодить организм за несколько дней и подарит дополнительных 15 лет жизни…
При патологиях печени появляются следующая симптоматика:
- тошнота и рвота;
- нарушение деятельности ЖКТ;
- высыпания на коже;
- болевой синдром в правом подреберье;
- сильное похудение за короткие сроки;
- желтушность кожи и глазных склер;
- общее недомогание;
- кровотечения внутреннего типа;
- гипертрофия органа;
- изменение цвета мочи и кала;
- водянка (скопление большого количества жидкости в брюшной полости).
Особенности диагностики
Для выявления патологий печени используются различные типы исследований: анализы крови и мочи, УЗИ, КТ, МРТ и биопсия. Благодаря этим методикам можно точно выявить опухоль органа, воспаление, абсцессы, травмы, инфекции и заражение паразитами.
Ультразвуковое исследование считается самым популярным, благодаря своей доступности и легкости проведения. Оно не требует специальной подготовки. Единственной рекомендацией является ограничение накануне обследования приема продуктов, способных вызвать газообразование, и проведение непосредственно самой процедуры на пустой желудок.
Основной принцип УЗИ заключается в выявлении эхогенности, т.е. способности органов отражать ультразвуковые лучи. Всем органам присвоена своя степень отражения этих волн, так как ткани каждого из них имеют свою норму плотности. Изменение эхогенности свидетельствует о повреждении органа.
Рост эхогенности печеночных стенок означает диффузное нарушение или чрезмерную плотность паренхимы. При обнаружении в ходе проведения УЗИ уплотнений в печени назначается комплексное обследование.
Норма параметров органа
Важно! В нормальном состоянии паренхима печени должна иметь однородную структуру и четко просматриваемый на УЗИ рисунок желчных протоков и сосудов.
Объемы органа при этом соответствуют следующим нормативам:
- до 125 мм правая доля;
- до 70 мм левая доля;
- до 13 мм диаметр портальной вены;
- 6-8 мм диаметр общего желчного протока.
Данные единицы являются стандартом параметров. Отклонения от них могут свидетельствовать о развитии патологий. Края печени на УЗ-снимке должны быть четкими и ровными.
Для профилактики, а также лечения заболеваний печени наши читатели успешно используют эффективное средство…
Причины изменения структуры
Уплотнение печени может быть признаком поражения органа. Патология может располагаться как внутри органа, так и за его границами.
К самым частым причинам относится:
- алкоголизм;
- длительная терапия антибиотиками и другими сильными медикаментами;
- неправильное питание;
- цирроз;
- новообразования;
- холангит склерозирующего типа;
- гепатит разной этиологии;
- дистрофия, развившаяся на фоне жировой инфильтрации;
- дисфункция пищеварительной системы, развившаяся на фоне проблем с поджелудочной железой;
- хроническая форма инфекционных поражений других систем организма;
- врожденные и приобретенные аномалии обмена веществ;
- внепеченочные заболевания (сахарный диабет и др.).
Четко выраженные на УЗ-снимке уплотнения могут указывать на онкологические образования. Диффузные изменения структуры также могут быть вызваны длительным злоупотреблением жареных и жирных блюд, а также работой во вредных условиях.
Внимание! Чем выше эхогенность печени при проведении УЗИ, тем крупнее диффузное поражение органа и тем более плотная его паренхима.
При циррозе в разных участках печени проявляется разная эхогенность. Также для этого заболевания характерна неоднородная структура, изменение нормы параметров органа и портальной вены.
Гепатит
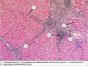
При гепатите наблюдается повышение эхогенности, увеличение объемов печени, рост фиброзной ткани и уплотнение перипортальных трактов. Данная патология затрагивает весь орган, поэтому на УЗ-изображении выявляется диффузное поражение тканей.
По картинке нельзя определить тип гепатита. Но все же по данному исследованию можно выявить форму болезни.
При острой стадии наблюдаются:
- уплотнения;
- увеличение объемов органа;
- сосудистый рисунок усилен;
- неоднородная структура;
- расширенные желчные каналы;
- очаги воспаления.
Найдено натуральное средство, вызывающее отвращение к алкоголю! Елена Малышева: «Наверняка вам известно, что до недавнего времени единственным действенным средством для борьбы с алкогольной зависимостью было…»
Новообразования
Частой причиной уплотненной на УЗ-изображении паренхимы являются новообразования доброкачественного или злокачественного характера.
Доброкачественные опухоли медленно растут и не дают метастаз. Но при этом обязательно требуется наблюдение у врача, который будет контролировать рост образования и эффективность терапии при необходимости ее назначения.
На УЗИ доброкачественная опухоль проявляется как уплотненная область с четкими краями. Иногда также выявляются очаги с кровью или жидкостью.
Злокачественные новообразования в печени могут быть метастазами, появившимися при онкологии других внутренних органов. На УЗИ они проявляются как многочисленные зоны уплотнения. При их выявлении назначаются дополнительные обследования и анализы, которые помогут установить точный диагноз.
Другие причины уплотнений печени
Выявленные на УЗИ круглые капсулы с жидким содержимым могут означать наличие кисты, абсцессов или паразитарного поражения печени. Для уточнения проводятся дополнительные диагностические меры.
Застой во внутрипеченочных желчных протоках также может быть причиной нарушения структуры органа. Для подтверждения застоя желчи проводятся клинические анализы. Повышение уровня билирубина является веским доказательство развития данного процесса.
Лечение
Тип терапии зависит от патологии, которая стала причиной развития нарушения структуры органа. Для каждого пациента назначается индивидуальное лечение. Чаще всего больным прописывается прием гепатопротекторов и иммуномодуляторов.
Также важной составляющей любой терапии является диета, которая предусматривает отказ от жирных продуктов. Кроме того, следует отказаться от алкоголя и сигарет.
Профилактика
Для поддержания общего здоровья рекомендуется регулярно соблюдать профилактические меры. Для печени полезно очищение организма и укрепление иммунитета. Также следует придерживаться здорового образа жизни и правильного питания (не переедать, употреблять больше овощей и фруктов).
Своевременное выявление заболевания повышает шансы на излечение. Именно поэтому рекомендуется проходить УЗИ каждый год, в особенности людям старше 50 лет. Печень способна самовосстанавливаться, поэтому выявление болезни на начальной стадии и своевременно начатая терапия повышают шансы на благоприятный исход.
Судя по тому, что вы сейчас читаете эти строки — победа в борьбе с заболеваниями печени пока не на вашей стороне…
Но возможно правильнее лечить не следствие, а причину? Рекомендуем прочитать историю Ольги Кричевской, как она вылечила печень… Читать статью >>
Источник: http://NashaPechen.com/diagnostika/uplotnenie-v-pecheni-na-uzi
Что такое уплотнение печени на УЗИ
В здоровом состоянии печеночная ткань однородна. Поэтому любые отклонения от этой нормы свидетельствуют о воздействии неблагоприятных факторов или о прогрессирующем заболевании.
Вид наблюдаемых уплотнений, степень их выраженности и распространенность могут сказать опытному диагносту очень многое.
О каких патологиях говорит уплотнение печени на УЗИ, что это такое, – рассмотрению этих вопросов и посвящена статья.
В здоровом состоянии печеночная ткань однородна
Причины уплотнения
Существует целый ряд заболеваний, вызывающих уплотнение печени. Вот некоторые из них:
- Гепатиты. Могут иметь различное происхождение: вирусное, алкогольную интоксикацию, аутоиммунное поражение.
- Жировая дистрофия (стеатогепатоз). Патологический процесс накопления жира в гепатоцитах и вокруг них, вплоть до полного перерождения и утраты функциональности паренхимы (печеночной ткани). Возникает вследствие нарушения обменных процессов, диабета, алкогольной интоксикации и других причин.
- Цирроз. Не менее 40% случаев возникают в результате длительной алкогольной интоксикации, в 30-40% – первопричиной являются вирусные гепатиты, остальные – результат паразитарных инфекций и других факторов.
- Онкологические новообразования, доброкачественные и злокачественные. Нередко представляют сложную диагностическую задачу. Небольшой очаг злокачественного роста иногда выглядит, как доброкачественная киста или простой абсцесс. Чтобы с уверенностью судить, что означает такое локальное уплотнение, проводят дополнительную диагностику печени с помощью ряда исследований.
Причиной могут стать и сравнительно редкие патологии, а также врожденные аномалии развития. Например, при гемохроматозе организм накапливает избыток железа. Это наследственное заболевание способно спровоцировать цирроз, в этом случае УЗИ покажет уплотнение в ткани печени.
Также, первопричиной могут стать внепеченочные патологии и факторы воздействия:
Сахарный диабет и ожирение могут стать причиной уплотнения в печени
- инфекционно-воспалительные болезни других органов (хронического или же острого течения);
- панкреатит и сопутствующие дисфункции;
- сахарный диабет;
- неправильный обмен веществ;
- ожирение;
- дисфункция эндокринной системы;
- гормональный сбой;
- генетическая предрасположенность;
- медикаментозная терапия (антибиотики, гормональные препараты).
Если исследование выявило округлые капсулы с жидким содержимым, это, предположительно, означает наличие кисты, абсцессов, печеночных паразитов. Прием синтетических гормонов на основе эстрогенов иногда вызывает поликистоз (появление нескольких кист). Поэтому этот вид препаратов следует принимать с перерывами.
Болезненные процессы локализуются не только в печеночных долях. Например, перипортальный гепатит, являющийся признаком аутоиммунного поражения, определяется как уплотнение в области одного из портальных трактов печени.
Воспаление желчных протоков, а затем рубцевание, уплотнение их стенок, – такие изменения говорят о том, что был нарушен отток желчи; болезнь носит название склерозирующий холангит.
Термин «диффузное уплотнение печени» означает, что паренхима изменена не в одной области, а на всем своем протяжении. В небольшой степени такие изменения присущи многим людям; они возникают по множеству причин (переедание, вредные привычки) и не расцениваются как серьезная патология. Причиной же выраженных диффузных изменений являются тяжелые заболевания (гепатиты, цирроз и другие).
Симптомы
При первом обращении больного, врач выясняет, какие симптомы сопутствуют заболеванию, с целью выявить патогенные факторы и причины, вызвавшие уплотнение в печени, и затем, назначить лечение, которое способно их устранить.
В отличие от острого панкреатита или холецистита, деструктивные процессы в печени начинаются, как правило, без ярких клинических проявлений. Человек начинает обращать внимание на несильные боли, чувство распирания справа под ребрами. Иногда им сопутствуют повышенная раздражительность, сонливость, быстрая утомляемость.
По мере развития патологии симптомы прогрессируют:
Боль справа под ребрами сигнализирует о проблемах с печенью
- боль под ребрами становится острой и практически постоянной, появляются болевые ощущения в животе, (чаще всего в подложечной части), иногда – в правом плече;
- нарастают явления диспептического характера: тошнота, рвота, неприятный (горький или «металлический») вкус во рту, несварение или «жирный» стул;
- нижняя поверхность языка, а также кожа вокруг глаз и склеры (белые глазные оболочки глаз) окрашиваются в желтый цвет;
- моча приобретает темный цвет, а каловые массы – светлый;
- возможен зуд кожных покровов, высыпания;
- человек быстро худеет.
Плотная печень достаточно легко определяется при пальпации, однако для дальнейшего уточнения диагноза врач направляет на ультразвуковое исследование.
Проведение УЗИ и чтение результатов
В полной мере оценить результаты УЗИ под силу только специалисту, однако сформировать общее представление, что означают УЗ-признаки «неоднородность паренхимы» или «плотная печень» способен каждый пациент.
Как известно, метод УЗ-диагностики состоит в наблюдении за взаимодействием ультразвуковых волн с тканями организма. Повышенная эхогенность (способность к отражению) говорит о более высокой плотности, и наоборот. Результаты визуализируются на экране, таким образом, появляется возможность «рассматривать» внутренние органы, без малейшего вреда для здоровья человека.
Проводя обследование, врач-диагност оценивает форму и размеры органа, его плотность в целом и наличие отдельных плотных участков (то есть структуру), состояние внутри- и внепеченочных протоков, сосудистый рисунок и стенки вен печени.
В дальнейшем, по симптоматической картине, которую показало проведенное ультразвуковое исследование, профильный специалист определяет, о какой патологии может свидетельствовать такое уплотнение в печени. По результатам также устанавливается, какой врач будет вести больного: гастроэнтеролог, инфекционист хирург, онколог или, (в случае незначительных отклонений), терапевт.
Чтобы уметь самому читать результаты УЗ-сканирования, следует иметь представление о норме. Если в заключении сказано, что паренхима с мелкой зернистостью и нормальным уровнем эхогенности, это значит, (если говорить только об этом параметре), что печень здорова.
Уплотнения могут носить диффузный характер, (то есть равномерно распределяться по всему объему печеночной паренхимы), или же локализоваться в одной/нескольких определенных областях.
Например, обнаруженное на УЗИ локальное уплотнение возможно означает наличие в печени новообразования, камня или кальцината.
Округлое уплотнение заключенное в капсулу, – это, с большой вероятностью, может быть киста или абсцесс.
Равномерное, «однотипное» повышение эхогенности наблюдается, в частности, при жировом гепатозе, гепатите.
В ряде случаев следует учитывать степень прогресса болезни; если на одной стадии консистенция определяется как плотная, то на другой печень способна оказаться твердой (как принято говорить, «каменистой плотности»), или, наоборот, эхогенность снизится.
Признаки наиболее частых заболеваний.
При циррозе
Наблюдаемая картина:
Цирроз относится к самым тяжелым патологиям и без квалифицированной терапии с большой вероятностью ведет к раку
- нарушена гомогенность ткани;
- эхогенность повышена, с тенденцией затухания в глубоких отделах;
- наблюдаемые узлы, или же очаги поражения, покрывают весь орган;
- «мозаичная» структура (за счет очагов регенерации);
- углы расширены (закруглены);
- бугристость поверхности;
- симптом гепатомегалии (увеличения) в начальной стадии;
- уменьшение, вплоть до сморщивания, на завершающих стадиях;
- аномалии кровотока (портальная гипертензия, утолщена стенка воротной вены печени).
Цирроз относится к самым тяжелым патологиям и без квалифицированной терапии с большой вероятностью ведет к раку.
При опухоли
Уплотнение, имеющее четкую локализацию, часто указывает на новообразование. Информативным в плане диагностики является определение типа, структуры очага, а также ряд других признаков, например, изменения вен или сосудов печени.
Диагностика новообразований, в частности определение их характера (доброкачественного или злокачественного), под силу только опытному специалисту, а иногда – группе специалистов.
Доброкачественные опухоли не метастазируют, однако они могут перерождаться, а значит, обследование следует проводить регулярно.
Гипоэхогенный ободок по окружности образования – признак метастаза.
Также, в печени могут прорасти метастазы опухолей, находящихся в других органах.
Важно знать: все онкологические новообразования печени (кроме гепатоцеллюлярной карциномы) обладают маловыраженной симптоматикой. Как правило, человек узнает о них случайно в кабинете врача. Это еще один довод не пренебрегать плановыми обследованиями.
При выявлении новообразований, врач, как правило, направляет на КТ или МРТ, эти инструментальные методы позволяют детализировать первичный диагноз. Возможно, потребуется провести биохимический анализ крови и мочи. В сложных случаях проводится тонкоигольная пункция или лапароскопия.
При гепатите и жировом гепатозе
При хроническом гепатите, в стадии прогресса, наблюдается повышение эхогенности
Для диагностики вирусных гепатитов результаты не является надежным критерием, тем более для определения типа (A, B, C…), однако они дополняют клиническую картину.
В острую фазу гепатита C наблюдаются общее уплотнение, диффузные воспалительные очаги, нарушение и неоднородность структуры. Протоки расширены, определяется гепатомегалия.
При хроническом гепатите, в стадии прогресса, наблюдается повышение эхогенности, размеры увеличены, ткань имеет неоднородную структуру, контур нечеткий.
Следует обратить внимание на состояние поджелудочной железы и селезенки, а также провести исследование крови. Для уточнения диагноза и назначения курса лечения необходимо проконсультироваться с гастроэнтерологом.
Методы лечения
Небольшое уплотнение печени диффузного характера является частым и, к счастью, обратимым явлением: она способна за год-полтора обновить клетки и вернуться к прежнему уровню функциональности.
Общие оздоровительные меры включают умеренное, дробное (4-5 раз в день) питание, баланс насыщенных и ненасыщенных жиров, подвижный образ жизни. Лечение можно ограничить чаями, настоями и другими народными средствами, хотя нелишним будет прием гепатопротекторов, экстрактов артишока, расторопши, дымянки и других.
Необходим отказ от алкоголя; это общее требование при любых расстройствах со стороны желчевыделительной системы.
Изменения средней и тяжелой степени требуют соблюдение строгой диеты и медикаментозную терапию. Шансы вылечить само уплотнение в печени зависят от того, можно ли одолеть основное заболевание (см. главу «Причины»).
Диффузные заболевания печени.
Источник: https://pechen.org/diagnostika/uplotnenie-pecheni-na-uzi.html
Уплотнение печени
Все органы в человеческом организме играют свою определенную роль. Это, несомненно, касается и печени – жизненно важного органа человека. Каждому следует ознакомиться с возможными заболеваниями, которые могут настичь его на протяжении всей жизни. Сегодня рассмотрим такой недуг, как уплотнение печени.
Причины, признаки уплотнения печени
К основным факторам риска относят:
- инфекционные болезни (хронического, острого течения);
- курение;
- злоупотребление спиртными напитками;
- приём антибиотических препаратов на протяжении длительного периода или употребление других сильнодействующих лекарств;
- жировую дистрофию;
- неправильное питание (к примеру, переедание жирной, чрезмерно острой, жаренной пищи, несоблюдение правильных промежутков между приемами пищи);
- сахарный диабет и прочие внепеченочные патологии.
Кроме того, возможные причины уплотнения печеночных протоков – цирроз, аутоиммунный гепатит, а также метаболические поражения печени.
Основные симптомы
Среди главных симптомов, которые будет чувствовать больной человек, выделяют появление тошноты, резкое похудение, рвоту, острую боль в правом подреберье, нарушение работы ЖКТ, болезненные ощущения в животе, точнее в подложечной его части.
Описание болезни
Печень является непарным паренхиматозным органом, основной составляющей которого является печеночная ткань. Основная функция печени – выводить из организма различные вредные, ядовитые вещества.
Выводятся они с мочой, с каловыми массами. Если человек здоров, то никаких изменений в паренхиме не происходит (допустим, уплотнений стенки печени).
Также у здоровых людей при ультразвуковом исследовании желчные протоки, сосуды четко видны, паренхиме присуща однородная структура.
Как вы поняли, УЗИ (метод ультразвуковой диагностики) брюшной полости позволяет узнать о наличии любых патологических состояний, является одним из главных методов терапии. Стоит заметить, что изменения в паренхиме – не диагноз, а всего лишь признаки, которые помогут определить, какое же заболевание протекает в организме.
Любые диффузные изменения паренхимы свидетельствуют о том, что вся печеночная ткань полностью изменилась. Доктор обязан назначить комплексную диагностику, чтобы понять конкретную степень возникших поражений. Обследовать нужно каждый орган ЖКТ.
Отметим, что во время течения гепатита печень значительно увеличивается в размерах, но паренхима при этом не изменяет своей структуры, остается однородной. В случае, когда её гидрофильность будет повышена, в её структуре начинаются изменения.
Вследствие этого человек сталкивается с тем, что печеночные стенки столкнулись с таким состоянием, как уплотнение.
Чем ярче является воспаление, тем сильнее отёчность паренхимы, меньше эхогенность.
Также для данного заболевания характерно много участков, где эхогенность является пониженной, средней либо повышенной.
Помните, уплотнение печени сигнализирует о том, что следует начинать лечение, а его назначает только врач, основываясь на результатах обследований. Неоднородные участки могут быть от 5 мм до 2 см и даже больше. Нередко паренхиматозная однородность нарушается вследствие застойных процессов в желчных протоках. Об этом свидетельствует и повышенный билирубин.
Уплотнение в результатах УЗИ
В большинстве случае доброкачественные образования развиваются не спеша. Во время данного процесса они не распространяют метастазы. Все равно, лечение должно быть начато вовремя, контролироваться врачом. Ультразвуковая диагностика отобразит яркие границы уплотнений в печени. Также с помощью данного метода диагностики будут обнаружены очаги, наполненные жидкостью либо кровью.
Если говорить о злокачественных новообразованиях, они могут представлять собой метастазы, сформировавшиеся в результате любых поражений внутренних органов человека, а также нередко являются первичными опухолями. В результатах УЗИ специалист увидит уплотнения в виде множества очагов. Чтобы установить больному точный диагноз, врач назначит другие виды обследования, включая самые разные виды анализа крови.
Если в печени присутствуют какие-то паразиты, кисты или имеют место абсцессы, при ультразвуковом исследовании они покажутся в виде капсул округлой формы, которые наполнены жидкостью.
Для постановки точного диагноза понадобятся другие методы обследования, которые должен назначить лечащий врач.
Чем больше будет повышена эхогенность, чем темнее, четче будут контуры очага, тем сильнее протекает воспаление и будет наблюдаться значительное уплотнение жизненно важного органа.
Правильное лечение
Если говорить о терапии при диффузном изменении печени, она должна подбираться индивидуально и только с помощью доктора. Больному показано правильное питание, которые предполагает исключение продуктов, богатых жирами. Также человек должен отказаться от употребления спиртного, курения, чтобы не способствовать нарушению функционирования печеночных клеток, не повреждать их.
Когда же уплотнения развиваются на фоне каких-либо заболеваний, сначала нужно определить его причину. Лечение в таком случае будет комплексным.
Кроме того, что придется проводить терапию, касающуюся самой главной проблемы, придется осуществлять чистку организма, улучшить питание, принимать гепатопротекторы, иммунодепрессанты.
Больному рекомендуется избегать ситуаций, вследствие которых возможны интоксикации бытового, лекарственного, промышленного характера. При возникновении любых подозрительных симптомов, указанных в начале статьи, следует сразу же обратиться за помощью гастроэнтеролога. Именно он посоветует правильный подход к решению проблемы, скажет, как с ней правильной бороться.
В качестве профилактики следует регулярно обследоваться, питаться полезными продуктами, заниматься спортом, чаще гулять, достаточно спать, избегать стрессов, своевременно лечить любые воспаления, болезни. Бережно относитесь к своему здоровью, не практикуйте самолечение! Ждем ваших вопросов об уплотнении, прочих недугах печени.
Источник: http://vashapechen.ru/pechen/uplotnenie-pecheni/
Поделиться:



