Что означает описание на рентгене, корни легких уплотнены
Рентген – это один из самых эффективных и доступных методов для диагностирования такого заболевания, как туберкулез. Однако, нельзя утверждать, что он всегда выдает 100% верный результат. За счет проведенного обследования на рентгеновском аппарате можно выявить патологии в тканях, например уплотнения или появление опухолей.
Рентген
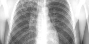
При проведении рентгена грудной клетки доктора, прежде всего, просматривают состояние корней легких. Это так называемы «врата» в главный орган дыхания. Если никаких проблем с ними нет, то на снимке они будут в нормальном состоянии, без уплотнений. Большое значение имеет и расположение корней.
Они делятся на три части: верхний, средний и нижний сектор. Правый корень по форме напоминает кривую ленту, сужающуюся книзу, он слабо выражен на снимках. Его верхняя часть находится на уровне второго межрёберья. Вершина левого корня находится на одно ребро выше, чем правый. Сам корень частично скрывает тень от сердца.
Внешнее строение легких
Корни легких делят на две категории:
- Магистральные, имеющие внушительную головку, большую часть которой представляет собой легочная артерия;
- Рассыпчатые корни, имеют большую разветвленную систему сосудов, переходящих в тяжи.
Нередко на практике можно столкнуться с такой ситуацией: снимок показывает наличие отклонений, при этом человек чувствует себя хорошо. Причиной может стать особенности организма, наличие ранее перенесенных травм или некачественно выполненный рентгеновский снимок (человек встал в неправильную позу или пошевелился в процессе «фотографирования»).
Не стоит забывать о степени жесткости и мягкости снимка, в первом случае на нем невозможно рассмотреть мелкие детали, а во втором получится нечеткое изображение.
Это стоит знать! С помощью рентгенограммы можно выявить не только проблемы с легкими, но и заболевания костей. Например, травму диафрагмы или сколиоз.
Результаты флюорографии
Кроме вышеописанных отклонений от нормы, в письменных заключениях врачей можно увидеть характеристики, которые могут стать признаками наличия патологии: корни легких уплотнены и расширены, тяжисты и усиленны.
Что значит, если корень легкого уплотнен? Чаще всего причиной становится отек бронхов, расширение сосудов или увеличение лимфатических узлов. Ткани корней уплотняются и расширяются синхронно, если корни легких только уплотнены – это значит, что в организме запущен хронический процесс. На рентгеновских снимках уплотненные корни имеют расплывчатые очертания и крупный размер.
Флюорография
Тяжистые корни символизирует начало хронического или остро – воспалительного процесса. Чаще всего причиной подобного отклонения становятся профессиональные или затяжные заболевания. На рентгенограмме они выглядят «зубчатыми» и плотными, это объясняется тем, что увеличился объем соединительной ткани.
опасность заключается в том, что бронхит может легко перерасти в туберкулез, поскольку легкие курильщика содержат огромное количество слизи – прекрасной микрофлоры для развития болезнетворных бактерий.
Есть ли связь между отклонениями в корнях и туберкулезом?
Некоторые патологии легочных корней могут стать симптомами туберкулезного заболевания.
Например, их уплотнение и увеличение лимфаузлов – явные признаки болезни, организм выдает реакцию на попавшую инфекцию, начинаются воспалительные процессы в тканях.
Микробактерии туберкулеза, распространяясь по легким обезвестливают лимфатические узлы, в них начинают скапливаться соли кальция и они начинают твердеть.
Микобактерия туберкулёза
Не стоит забывать о том, что рентгенограмма не дает 100% диагноза о наличии туберкулеза. Рентгеновские фотоснимки должен расшифровывать врач – рентгенолог, знающий все тонкости и нюансы, имеющий большой опыт в данном направлении.
Это стоит знать! Получив на руки заключение рентгенолога, вы можете увидеть там упоминание фиброзной ткани, она замещает утерянные участки во внутренних органах. Ее наличие свидетельствует о перенесенной операции или проникающей травме, поразившей орган. Она не является функциональной, помогает организму поддерживать целостность органов.
Если после проведения рентгенографии, у доктора появятся сомнения по поводу здоровья пациента, он направит его на комплексное обследование, чтобы удостовериться в поставленном диагнозе или опровергнуть его.
Обычно оно включает в себя проведение анализа крови, мочи и мокроты.
Иногда доктора назначают прохождение бронхоскопии, помогающей определить внутреннее состояние корня и компьютерной томограммы, чтобы получить изображение легких в формате 3D.
Расположение легких
Источник: http://rentgenovski.ru/vidy/legkie/korni-legkix-uplotneny-i-rasshireny
Результат флюорографии — корни уплотнены. Нужно ли начинать паниковать?
Флюорография лёгких, на данный момент, является основным механизмом массовой проверки населения на наличие туберкулёза.
Это объясняется дешевизной и простотой метода, хотя он и не гарантирует стопроцентных результатов.
За счёт этого исследования можно обнаружить изменения в тканях, например, их плотность и развитие каких-либо опухолей или полостей с жидкостью
ontakte
Odnoklassniki
Важно! Рентгенограмма позволяет определять не только заболевания лёгких, но и костей. В частности, можно обнаружить сколиоз, травмы рёбер, а в некоторых случаях и поражения диафрагмы.
Например, сильно поднятая диафрагма может означать избыток газов в брюшине, что бывает одним из признаков перитонита.
Общие характеристики корней лёгких
В первую очередь врачи обращают внимание на корни лёгких — структуры, которые являются так называемыми воротами в лёгкие.
В норме на рентгенограмме они не увеличены, на их фоне не видны никакие образования. Само расположение корней также имеет значение.
Корни делят на три сектора — верхний, средний и нижний. Правый корень напоминает искривлённую ленту, которая средне выражена и сужается книзу.
Верхняя часть этого корня расположена на том же уровне, что и передний отрезок второго ребра — второго межрёберья. Верхняя часть левого корня расположена на одно ребро выше правого, а сам он частично скрыт тенью от сердца.
Ширина артериального ствола корней, в большинстве случаев, не превышает 15 миллиметров.
Сами корни подразделяются на магистральные и рассыпчатые. Первый вид предполагает большую верхнюю часть (головку), которая в основном представлена лёгочной артерией. Рассыпчатые же корни обладают большой разветвлённой сетью сосудов, которые переходят в тяжи.
Важно! В некоторых случаях картина может отличаться от нормы, притом что сам пациент чувствует себя хорошо.
Это может происходить из-за особенностей развития организма пациента либо из-за происходивших ранее операций или травм.
В редких случаях это говорит о некачественно сделанном снимке, когда пациент пошевелился или же изначально стоял в неправильной позе.
Имеет значение жёсткость и мягкость снимка — в первом случае глубина изображения будет слишком велика, что не позволяет увидеть мелкие детали, а во втором изображение будет слишком размыто.
Результат флюорографии
Помимо ранее упомянутых новообразований, можно отметить следующие характеристики корней, которые обозначаются в письменных заключениях, являются отклонениями от нормы и могут быть признаками патологий: уплотненные, тяжистые и расширенные корни, также корни могут быть усилены.
Корни уплотнены и расширены
Обычно это происходит из-за отёка бронхов или крупных сосудов. А в некоторых случаях и из-за того, что происходит увеличение лимфоузлов.
Уплотнение и расширение ткани корней почти всегда происходит одновременно, если же корни только уплотнены, это говорит о хроническом процессе.
На снимке расширенные корни будут выглядеть менее чёткими, а также крупнее стандартных размеров.
Тяжистые и усиленные корни
Этот термин означает, что в лёгких может происходить как острый, так и хронический процесс. Чаще всего это связывают с профессиональными заболеваниями (например, асбестоз) или с хроническими (например, бронхит курильщика).
На рентгенограмме тяжистые корни выглядят более плотными и неровными, это объясняется увеличением количества соединительной ткани — тяжей.
Конечно же, это не единственные характеристики, которыми описываются лёгкие и их состояние. Есть большой пласт данных, относящихся к новообразованиям, их форме, а также состоянию остальных частей этого органа, каждая из которых может быть изменена тем или иным способом в результате болезни или же другого патологического воздействия.
Важно! Бронхит курильщика проявляется на второй или третий год курения сигарет. Это хроническое заболевание, вызванное реакцией ткани лёгких на постоянный раздражитель в виде табачных смол.
Одним из возможных последствий бронхита является туберкулёз, так как в лёгких активного курильщика скапливается значительно больше слизи чем нужно, а в последней могут начать развиваться микобактерии этого заболевания.
Вам также будет интересно:
Связаны ли изменения корней и туберкулёз?
Некоторые виды изменения корней лёгких, например, их уплотнение и увеличение близкорасположенных лимфатических узлов могут говорить о туберкулёзе.
Это связано с реакцией организма на инфекцию, которая выливается в воспалительный процесс в тканях.
Кроме того, при распространении микобактерий туберкулёза начинается обызвестливание лимфоузлов, то есть накопление в них солей кальция, с последующим затвердеванием.
Фото 1. Только врач может определить, что означает изменение корней легких и есть ли риск заболевания туберкулезом.
Однако, стоит помнить, что сами по себе результаты рентгенограммы не могут являться стопроцентными показателями заражения туберкулёзом. Да и расшифровываются снимки профессионалами. Это объясняется тем, что должны учитываться все факторы, присутствующие на изображениях, а многие из них неочевидны для человека, у которого нет соответствующего опыта.
Важно! В заключении об исследовании рентгенограммы лёгких может упоминаться фиброзная ткань. Это разновидность соединительной ткани, которая замещает собой утерянные участки органов.
Обычно это свидетельствует о перенесённой болезни, хирургическом вмешательстве или проникающей ране, которая повредила орган. Эта ткань не функциональна и просто поддерживает целостность органа.
Последние уточнения
В случае если у врача есть основания для того, чтобы подозревать какую-либо болезнь, будут назначены соответствующие исследования, чтобы подтвердить или опровергнуть диагноз.
При подозрении на туберкулез среди таких исследований точно будут анализы крови, мокроты (если таковая есть) и мочи.
В некоторых случаях могут понадобиться либо компьютерная томограмма (КТ) лёгких, либо бронхоскопия. КТ предполагает создание трёхмерного изображения лёгких, включая все сосуды, а бронхоскопия означает введение жгута с камерой и фонариком, которые помогут изучить состояние корней изнутри.
Ознакомьтесь с видео, в котором рассказывается, какие могут происходить изменения с корнями легких и что это означает.
Оцени статью:
Поделись с друзьями!
ontakte
Odnoklassniki
Источник: https://no-tuberculosis.ru/diagnostika/rentgen-legkih/kak-viglyadit/korni-uplotneni/
Уплотненные корни легких: диагностика, последствия, методы лечения
Одна из наиболее часто диагностируемых патологий, связанных с нарушением работы органов дыхания, — уплотненные корни легких.
Как правило, отправляясь на рентген грудной полости, люди даже не подозревают о том, что у них есть данная проблема.
Несмотря на то что серьезной угрозы для здоровья и жизни она не представляет, тем не менее, чтобы избежать различных осложнений, необходимо своевременное лечение.
Если ничего не предпринимать, у больного может развиться бронхит, пневмония и многие другие серьезные заболевания. Никто не застрахован от таких нежелательных недугов. Во время проведения осмотра врач может озвучить неприятную новость, когда корень легкого уплотнен. Что значит это для пациента, поговорим более подробно. Предоставим сведения и о видах заболевания.
Общая информация
Предположим, в своей медицинской карте вы прочитали, что у вас корни легких фиброзно уплотнены. Что это значит и насколько страшен подобный диагноз? Корень легкого — это анатомически сложный комплекс структур, который объединяет органы средостения и отвечает за их синхронную работу.
Они состоят из легочной аорты, кровеносных сосудов, двух трахей, лимфатических сосудов, нервов, гиподермы и серозной оболочки. Все эти структуры имеют строгий порядок, однако во время рентгена он не заметен, поскольку закрыт другими внутренними органами.
В медицинской практике под корнями легких принято подразумевать не всю систему, а только крупные кровеносные сосуды и бронхиальное дерево.
Анатомические особенности структур
Для того чтобы разглядеть на рентгеновском снимке, что корни легких уплотнены (что это значит было рассмотрено выше), необходимо иметь представление об их особенностях.
В каждом из легких, как в левом, так и в правом, есть свой корень, который состоит из следующих частей:
Последняя часть также включает в себя сеть разветвляющихся капилляров. Во время рентгена медики обращают внимание на ширину корней. Если у пациента нет никаких патологий, то она должна находиться в пределах от полутора до двух сантиметров.
Помимо этого, врачей интересует структура кровеносных сосудов. Артерии должны находиться в вертикальной плоскости, а вены — в горизонтальной.
Если будут обнаружены какие-либо отклонения от нормы, то это говорит о том, что у человека уплотненные корни легких.
Отличия в расположении корней
Как уже упоминалось ранее, у каждого корня есть своя структура, которая локализуется у входа к легким. При этом их расположение немного отличается.
Совокупность структур, находящихся справа (в области второго ребра) по своей форме напоминает искривленную дугу, которая постепенно расширяется по направлению снизу вверх.
У левого легкого данная система находится на уровне первого ребра, т. е. немного выше своего собрата.
Отличия в структуре систем
Чтобы понять, что корни легких деформированы, уплотнены или что в них происходят какие-либо другие изменения, нужно разобраться в их структурных отличиях. Левосторонний орган частично прикрыт сердцем, из-за чего на рентгеновском снимке видна только небольшая часть его корня.
Поэтому даже профильным специалистам очень сложно выявить отклонения от нормы и поставить точный диагноз. Помимо этого, для левого легкого характерна неоднородность структуры, в противоположность правому.
Корень второго представляет собой мелкую сосудистую сеть, переплетающуюся с бронхом.
Причины заболевания
Такая патология, как уплотненные корни легких, может развиваться по многим причинам, но наиболее распространенными являются следующие:
- различные обструктивные заболевания органов дыхания, протекающие в хронической форме;
- увеличение паратрахеальных и парабронхиальных лимфоузлов, вызванное отложением солей и кальция;
- аневризма различной этиологии;
- злокачественные опухоли;
- скопление жидкости в легких;
- разрастание соединительной ткани, вызванное пневмонией, полученными травмами, а также перенесенными операциями;
- различные виды туберкулезного поражения корней легкого;
- заболевания, полученные в результате работы на вредном производстве;
- обструктивная болезнь, протекающая в хронической стадии.
Если у человека уплотнены корни дыхательных органов, то выявить патологию можно по целому ряду клинических проявлений. Чаще всего она сопровождается сильным кашлем с гнойной мокротой, обостряющимся по утрам. Помимо этого, больного беспокоит одышка, которая наблюдается не только при физической активности, но и в состоянии покоя. Возникает состояние дефицита воздуха.
Если доктор предполагает уплотнение корней, то у пациента также берется анализ мокроты на наличие в ней различных бактерий и вирусов. Это необходимо для того, чтобы подобрать наиболее эффективную терапию.
В зависимости от клинической картины больного врачи могут назначать и другие медикаменты.
Злокачественные опухоли
Одной из наиболее опасных для здоровья причин, стоящих за тем, что корни легких фиброзно уплотнены, являются онкологические заболевания. К счастью, подобные варианты встречаются крайне редко. В большинстве случаев с подобными заболеваниями, рак поражает только одно легкое, поэтому даже при полном удалении органа дыхания человек сможет жить.
По мере прогрессирования недуга, состояние больного постепенно ухудшается. Первым симптомом онкологического поражения легкого является затрудненное дыхание и незначительный кашель, который периодически может сопровождаться болью в области грудной клетки.
На более поздних стадиях рака начинает выходить мокрота с примесью крови, а также проявляется сильная одышка. При этом нарушение функционирования органов дыхания оказывает негативное влияние на весь организм в целом.
Больной испытывает постоянное недомогание, начинает быстро терять вес и сильно уставать даже при небольших физических нагрузках.
Если рентген покажет, что у пациента уплотненные корни легких, то для определения точного диагноза у него берут мягкие ткани органов дыхания на более глубокий анализ.
Это позволяет не только подтвердить наличие злокачественной опухоли, но и определить ее вид, что жизненно важно для проведения лечения.
При этом независимо от стадии рака программа терапии всегда включает одни и те же методы: хирургическое вмешательство, а также радио- и химиотерапия.
Профессиональные заболевания
Практически у всех людей таких профессий, как шахтеры, строители и сварщики, корень правого легкого уплотнен. Это обусловлено тем, что они работают с вредными веществами, которые практически в 100 % случаев вызывают развитие многих профессиональных заболеваний.
По мере трудовой деятельности в органах дыхания накапливаются вредные частицы, приводящие к некрозу мягких тканей. При этом самое сложное заключается в том, чтобы вовремя диагностировать заболевание, поскольку клинические проявления могут быть самыми разными.
Что касается полного устранения проблемы и излечения, то как такового его не существует. Единственный выход — это смена места работы.
Туберкулезное поражение корней легких
Чаще всего патологии различной этиологии органов дыхания, вызванные микобактериями, диагностируют у детей, однако заболеванию туберкулезом подвержены представители абсолютно всех возрастных категорий при повторном инфицировании. Состояние больного ухудшается постепенно, поэтому симптомы проявляются очень длительно, что является опасным, поскольку носитель будет заражать окружающих людей.
Среди основных клинических проявлений можно выделить сухой кашель, болевые ощущения в области грудной клетки, чрезмерная потеря массы тела и постоянная усталость. В некоторых случаях выходит небольшое количество мокроты красноватого цвета, из-за примеси в ней крови. По мере протекания заболевания, самочувствие больного постепенно ухудшается.
При туберкулезе обязательной процедурой является бакпосев. Он позволяет не только с высокой точностью поставить диагноз, но и определить тип возбудителя, а также подобрать подходящие лекарственные препараты.
При этом для достижения максимальной эффективности в процессе терапии одновременно используют 4 различных противовирусных препарата.
Что значит диагноз – корни легких тяжисты?
Подобный синдром является очень распространенным и встречается, как правило, у людей, употребляющих табачные изделия или работающих на вредном производстве.
Однако в некоторых случаях, эта патология вызвана не привычками и условиями труда, а воспалительными процессами, протекающими в дыхательных путях в острой форме, а также злокачественными опухолями. При этом под тяжами подразумеваются уплотненные волокна фиброзной ткани корней легких.
Стоит отметить, что данный синдром сам по себе не представляет никакой угрозы для здоровья, но он может свидетельствовать о наличии каких-либо заболеваний, поэтому врачи, выявив его, отправляют пациентов для прохождения дальнейшего обследования.
Малоструктурность корней легких
Опасно ли это для здоровья? Очень часто от докторов можно услышать, что корни легких малоструктурны, уплотнены, но что это значит? За этим термином скрывается то, что в тканях легочной системы произошли деструктивные нарушения, в результате чего на рентгеновском снимке отличить ее от бронхов становится невозможным. В большинстве случаев подобная патология является следствием туберкулезного поражения или раковой опухоли. При этом малоструктурность нередко сопровождается уплотнением корня, вызванным солевыми отложениями.
Заключение
Такого рода патология как уплотнение легочного корня не опасна для здоровья человека, поэтому с ней он может дожить до глубокой старости.
Однако она способна быть следствием многих серьезных заболеваний, которые могут привести к летальному исходу.
Поэтому при появлении первых симптомов синдромар рекомендуетсяпройти полное обследование в больнице, чтобы в случае необходимости начать своевременное лечение. Каждый день цените свое здоровье, так как оно является залогом успешной жизни!
Источник: https://autogear.ru/article/398/273/uplotnennyie-korni-legkih-diagnostika-posledstviya-metodyi-lecheniya/
Тень сердца расширена обнаружено при флюорографии
Расширение сердца влево и увеличение его массы, в медицине называют – кардиомегалией. Это может касаться как всего органа, так и одной из камер. Чтобы распознать заболевание, необходимо провести ряд диагностических процедур.
Выявление увеличенного сердца на флюорографии, еще не значит, что орган подвержен недугу. Обусловлено это индивидуальностью человеческого организма.
Многие наши читатели для лечения ЗАБОЛЕВАНИЙ СЕРДЦА активно применяют широко известную методику на основе натуральных ингредиентов, открытую Еленой Малышевой. Советуем обязательно ознакомиться.
В статье будут затронуты причины расширения сердца, что влияет на возникновение болезни, а также как проводится сердечно-легочная реанимация и методы лечения.
За дополнительной информацией можно напрямую обращаться к специалистам портала.
Консультации проводятся бесплатно в режиме онлайн.
Особенности заболевания
Зачастую механизм развития увеличения объема сердца связан с дисфункцией желудочка. При этом увеличиваться может как один, так и одновременно оба. Увеличение затрагивает и предсердия. К факторам, влияющих на изменения размером желудочков относят снижения их пластичности и скопление в органе продуктов распада после обмена.
Кардиомегалия нередко диагностируется и у людей, занимающихся профессиональным спортом. Выявить истинную причину расширения границ тени можно только методом инструментального обследования. Расширение правых отделов сердца относят к ложному заболеванию, которое часто возникает на фоне систематических физических нагрузок. Подобное диагностируют также при беременности.
Условия для развития недуга
Состояние, когда сердце расширено в поперечнике, чаще всего диагностируется у взрослого поколения. Факторы увеличение границ тени предсердий и желудочков разнообразны и часто они связаны с патологией сердца и сосудов.
Многие наши читатели для лечения ЗАБОЛЕВАНИЙ СЕРДЦА активно применяют широко известную методику на основе натуральных ингредиентов, открытую Еленой Малышевой. Советуем обязательно ознакомиться.
К распространенным причинам относят:
- высокая физическая нагрузка;
- беременность;
- синдром Шагаса;
- генная предрасположенность;
- высокое давление в аорте и сосудах;
- тяжелая форма анемии сосудов;
- разнообразные заболевания сердца;
- дисфункция почек;
- ишемия, инфаркт;
- сердце расширено влево из-за болезней легких.
Безусловно, есть факторы, которые не всегда могут привести к расширению. К примеру, вирусные инфекции, паразитарные болезни, недуг иммунной системы и другое.
Лечение
Признаки разрастания тени органа в составе желудочков и предсердий аналогичны другим заболевания сердечно сосудистой системы.
Наблюдается следующая симптоматика:
Узнать, что сердце расширило свои границы можно при обследовании методом УЗИ, рентгенографии, ЭхоКГ или МРТ. Например, рисунок №1 представлен в виде снимка флюорографии. Тень, отмеченная на изображении, говорит о расширении тени органа.
Рис.1. Флюорография расширенного сердца.
Рисунок №2 позволяет визуально сравнить нормальное состояние предсердий и желудочков, и момент, когда орган расширил свои границы.
Рис.2. Сравнение нормального и расширенного сердца.
От тяжести заболевания зависит курс лечения медикаментами:
- Мочегонные лекарства снижают давления в сосудах.
- Во избежание риска образования тромбов в сосудах назначают антикоагулянты.
- Для восстановления работы сердечной системы выписывают прием блокаторов рецептов ангиотензина. Препараты «Варфарин» и «Гепарин» эффективны в лечении дисфункции предсердий и желудочков.
- Нормализовать пульс призваны медикаменты группы бета-блокаторы.
Расширение тени органа приводит к разным последствиям – тромбы, остановка сердца, нарушения ритма, летальный исход.
Наибольшую опасность представляет увеличение границ желудочка левой камеры. Эта патология чаще всего приводит к смерти.
Изучив внимательно методы Елены Малышевой в лечении тахикардии, аритмии, сердечной недостаточности, стенакордии и общего оздоровления организма — мы решили предложить его и вашему вниманию.
Если консервативные методы лечения не возымели эффекта и состояние больного ухудшается, то врачи советуют проводить операцию. Вид вмешательства рассматривается в индивидуальном порядке. К примеру, могут назначить внедрение дефибриллятора под кожу для корректировки ритма.
Сердечно-легочная реанимация
В медицине есть такое понятие «граница между жизнью и смертью», это значит, что летальный исход может наступить в момент между ударами сердца. В этот период могут произойти необратимые последствия во всем организме, если не будет оказана помощь.
Сердечно-легочная реанимация своевременно и по правилам проведенная, позволяет нейтрализовать патологический процесс. Последовательность действий различают по времени:
- Две минуты – реанимация без подготовки дефибриллятором.
- От 2 минут до 10 – закрытый массаж и электрический заряд.
- Больше 10 минут – дефибриллятор и все средства сердечной стимуляции.
Следует понимать, что первая помощь актуально в первые минуты. В противном случае даже после реанимации могут возникнуть необратимые последствия, тень которых будет преследовать всю жизнь.
Резюмируя обзор, приходим к очевидным выводам – болезнь не является самостоятельной и протекает при заболеваниях сосудов и сердца. Специалисты рекомендуют проходить ежегодное обследование, в т.ч. рентген, диагностика желудочков и предсердий, а также сосудистой системы. Корректное лечение возможно только при правильном диагнозе, поэтому выбирайте квалифицированных и опытных докторов.
- У Вас часто возникают неприятные ощущения в области сердца (колящая или сжимающая боль, чуство жжения)?
- Внезапно можете почувствовать слабость и усталость.
- Постоянно скачет давление.
- Об одышке после малейшего физического напряжения и нечего говорить…
- И Вы уже давно принимаете кучу лекарств, сидите на диете и следите за весом.
Источник: http://chudochashca.ru/ten-serdca-rasshirena-obnaruzheno-pri/
Расшифровка результатов флюорографии: таблицы, нормы, когда готовы?
После полной расшифровки результатов флюорографии можно определить не только туберкулез или опухоль онкологического характера на легких, но и некоторые другие патологии.
Сколько раз можно проводить данное исследование без вреда для здоровья? Проводится исследование планово не чаще, чем один раз в год. Флюорография является обязательной при устройстве на работу.
В большинстве случаев результаты расшифровки флюорографии готовы уже через несколько дней.
Характерные особенности выполнения
В основу метода флюорографии положена способность рентгеновских лучей проникать через плотную поверхность легочной ткани и проявляться на специальной пленке в виде рисунка легких, полученного посредством флюоресцирующих частиц.
Данное обследование относится к обязательным, если пациента готовят к различным операциям или если человек проходит диспансеризацию и плановое обследование.
Как правило, такое обследование легких назначается не чаще чем один раз в год, если человек здоров. При необходимости такая диагностика легких может быть рекомендована и в более частом режиме.
Полученный снимок дает врачу возможность своевременно определить различные патологические состояния легких, проверить уплотнены ли их корни, а также проанализировать некоторые другие цифры.
На снимке хорошо видны все изменения, которые происходят в строении легочной ткани. Для каждого показателя, который определяется через флюорографию легких, есть своя норма.
Любое отклонение от нее означает развитие патологических состояний в легочной ткани. Расшифровка снимка выполняется в течение нескольких дней, после чего ее результаты доводятся до пациента.
Основной задачей данного метода является своевременное выявление туберкулеза и поражений легочной ткани онкологического характера.
Помимо этого, снимок легких, сделанный при помощи флюорографии, дает возможность выявить на ранних стадиях развитие патологических состояний в костном скелете, в сердце, в некоторых крупных сосудах и в диафрагме.
За счет того, что флюорография позволяет выявить некоторые скрытые недуги, проводят ее массово. Чтобы самостоятельно пройти обследование, необходимо получить направление у врача.
Как правило, аппарат для проведения флюорографии имеется в каждом медицинском учреждении, в том числе и в противотуберкулезном диспансере.
:
При выполнении флюорографии человек получает небольшую лучевую нагрузку, которая в разумных пределах не вредит здоровью.
Сам снимок, полученный после обследования, выглядит неоднородно. Связанно это с тем, что органы, расположенные в области грудной клетки, имеют свойство по-разному поглощать поступающее излучение.
На снимке можно увидеть сердце и бронхи в виде светлых пятен. Легочная ткань здорового человека будет отображена равномерно, без неоднородных вкраплений.
Если на легких имеются какие-либо патологии, то снимок покажет либо затемненные области, когда корни легких и сама ткань уплотнены, либо проявятся светлые участки, свидетельствующие о том, что ткань имеет высокую воздушность.
Качество снимка и его информативность зависит от того, насколько современная используется аппаратура для обследования. Ждать результаты флюорографии пациенту придется в течение нескольких дней.
Показания к назначению
Флюорография позволяет обследовать достаточно большую область внутреннего организма у человека. В большинстве случаев ее назначают для исследования состояния легочных тканей.
Помимо этого, при помощи флюорографии можно также выявить некоторые патологии в работе сердца и грудных желез. Данная диагностика используется и при исследовании косточек скелета.
В настоящий момент наиболее распространенной считается флюорография грудины. В этом случае есть возможность диагностировать такой серьезное заболевание, как туберкулез, а также выявить формирование злокачественных образований в легких и груди.
:
Кроме того, есть возможность своевременно диагностировать такие патологии, как фиброз или склероз.
Флюорографический снимок четко показывает всевозможные воспалительные процессы, которые носят нефизиологический характер.
К таким процессам врачи относят различные кисты, абсцессы, а также всевозможные каверны.
На основании цифр, полученных после проведения расшифровки снимка, можно диагностировать наличие в полостях газа или инфильтрата.
В том случае, если флюорография необходима для обследования на туберкулез, проводить ее следует не чаще чем один раз в год.
В том случае, если у человека был постоянный контакт с больным туберкулезом, то исследовать легкие придется один раз в полгода.
Раз в шесть месяцев в обязательном порядке делают снимок грудины все служащие родильных домов, больниц и других медицинских учреждений.
В обязательном порядке она проводится один раз в шесть месяцев тем пациентам, которым была диагностирована бронхиальная астма или сахарный диабет.
Регулярно проверять свои легкие следует и тем, кому поставили диагноз ВИЧ или выявили какое-либо поражение желудка.
Все вышеперечисленные рекомендации относятся и к людям, которые отбывали наказания в не столь отдаленных местах и находятся в зоне риска.
Флюорографию обязательно проходят все призывники перед отправкой на службу. Пройти такую внеочередную диагностику могут рекомендовать и тем, кто постоянно проживают рядом с беременными женщинами или новорожденными.
В обязательном порядке регулярно делают снимок грудины те пациенты, которым в свое время был диагностирован туберкулез, или если у врача есть подозрение на наличие у человека данной сложной патологии.
Если рентгенолог на основании снимка делает заключение «норма», то это означает, что у пациента не выявлено каких-либо патологий в исследуемых зонах, то есть человек может вести обычный образ жизни.
Расшифровка флюорографии может показать и отклонение некоторых цифр от нормальных показателей. В этом случае врач принимает решение о дальнейшем обследовании в индивидуальном порядке.
Вместе со снимком пациенту на руки выдается и заключение, в котором рентгенолог подробно описывает все выявленные негативные процессы и установленные отклонения полученных цифр от нормы.
Анализ результатов
Точность результатов и цифр основных показателей, полученных после проведения флюорографии легочной ткани, в большинстве своем зависят от квалификации рентгенолога, который должен их расшифровать.
Если при анализе не выявлено каких-либо отклонений и патологий, то ставится норма. Во всех остальных случаях могут быть назначены дополнительные обследования, направленные на уточнение окончательного диагноза.
:
В заключении к снимку могут содержаться различные специальные формулировки, каждая из которых означает развитие определенной патологии.
Так, если в заключении указанно, что корни несколько расширены или уплотнены, то это может указывать на развитие бронхита, наличие воспаления легких, а также некоторые другие недуги хронического характера.
В том случае, когда врач указал «тяжистые корни», то, скорее всего, у пациента развивается острый или хронический бронхит. Также такое состояние характерно для курильщика.
Заключение может содержать формулировку «усиление сосудистого рисунка», что означает усиление кровообращения вследствие какого-либо воспалительного процесса.
Данное состояние может быть вызвано развивающейся пневмонией, простым бронхитом или раком на ранней стадии.
Врач может указать на наличие на снимке очаговых теней. Это может с большой вероятностью говорить о развитии пневмонии.
В том случае, когда тени наблюдаются в верхней части легких, то, скорее всего, у человека развивается туберкулез.
Следует отметить, что при проведении расшифровки флюорографии используются специальные кодовые обозначения, которые сводятся в таблицы.
Каждый код, который присутствует в таблице, соответствует определенной патологии, для каждой из которых, в свою очередь, есть своя норма.
В своем заключении врач должен указать не только код выявленной патологии, но и подробно расписать локализацию легочного поля.
Для каждой конкретной патологии есть характерные группы заболеваний. Расшифровка флюорографии позволяет выделить зоны риска и после дополнительного обследования поставить точный диагноз.
К примеру, если сделанный снимок показал некоторые очаговые изменения, то у пациента может присутствовать очаговый туберкулез либо периферический рак, который протекает без распада в самом легком.
Это характерно при туберкулезе и различных пневмониях.
Следует отметить, что делать флюорографию не рекомендуется беременным женщинам, а также молодым мамочкам, которые кормят грудью.
Кроме того, крайне опасно проводить это обследование и детям до 14 лет, а также тем, кто страдают некоторыми группами тяжелых заболеваний.
Надеемся, данная статья поможет вам определиться с тем, зачем и сколько раз стоит делать флюорографию.
Источник: https://moydiagnos.ru/issledovaniya/fluorografiya/rasshifrovka-rezultatov.html
Что такое флюорография и как часто можно делать
Флюорография (ФЛГ) — это метод диагностики заболеваний, который в России и странах СНГ ежегодно проводится в качестве профилактического обследования органов грудной клетки. Прохождение процедуры позволяет выявить наличие патологий на стадии, когда отсутствует клиническая симптоматика.
Поэтому проведение флюорографии — один из самых важных регулярных анализов, дающих возможность проверить состояние дыхательной и сердечнососудистой системы.
Понимание того, когда назначают ФЛГ, что это такое в медицине и как проводится, позволит оценить важность исследования и правильно к нему подготовиться.
Что показывает флюорография?
Флюорография показывает изменения в области грудной клетки, свидетельствующие о наличии заболеваний легких, сосудов или сердца. Рентгенологический метод обследования достаточно информативен.
По статистике информация, которую позволяет получить флюорограф, каждый год на начальных стадиях помогает назначить своевременное лечение при раковых опухолях у 3% пациентов, туберкулезе у 13%, обструкциях при бронхите у 50% людей.
Однако иногда, чтобы понять, какая болезнь поразила легкое, требуется уточнение с помощью дополнительных обследований.
Результатом флюорографии является получение снимка, на котором видны легочные ткани, кости, сердце, сосуды.
Из-за того, что они имеют разную плотность, рентгеновский луч, проходящий сквозь органы, дает изображение, позволяющее увидеть патологические структурные патологии, скопления жидкостей, уплотнения.
Во время мелкокадрового обследования специалист получает картинку в размере 35 на 35 или 25 на 25 миллиметров. Для более полного осмотра и обнаружения заболеваний органов грудной клетки используется крупнокадровый снимок – квадрат со стороной семь или 10 сантиметров.
Какие болезни выявляет
Данные флюорограммы служат основанием для постановки различных диагнозов. Большое значение имеет прохождение флюорографии у больных туберкулезом, начало которого протекает бессимптомно.
Ранняя диагностика этой болезни помогает получить медицинскую помощь своевременно и минимизировать риск развития осложнений, летального исхода.
Флюорография дает возможность выявить и другие заболевания:
- Воспалительные заболевания (воспаление легких – пневмония, бронхит, плеврит) и их очаги;
- Фиброз (уплотнение ткани соединительного типа);
- Обструкции в бронхах;
- Наличие инородных предметов в дыхательных путях;
- Патологические полости – абсцессы, кисты;
- Газ в полостных участках;
- Наслоение плевры ее сращение;
- Грыжа, купола диафрагмы;
- Скелетно-мышечные отклонения;
- Сердечнососудистое заболевание.
Кроме того, на флюорографии видно, если человек подвержен курению. От здорового легкого органы дыхания курильщика отличаются увеличением ширины легочных стенок, тяжистыми корнями. Так выглядят снимки людей, имеющих большой стаж. Это необязательно говорит об опасных патологиях.
Виды флюорографии
Видов рентгенологического обследования с помощью флюорографа существует 3 – пленочная, цифровая флюорография, сканирование в цифровом виде.
Разделение методик напрямую связано с оборудованием, которое применяется в медицинской практике для проведения процедуры.
Чем качественнее аппарат, тем выше эффективность и точность диагностического мероприятия. Описание современных методов флюорографии:
- Пленочная. Отличается низким качеством изображения. Пленочный аппарат работает по принципу записи фото на пленку, на специальном экране располагающуюся за спиной человека, через которого происходит излучение. Главное достоинство такого оборудования – его дешевизна, что позволяет использовать такие флюорографические станции почти во всех клиниках.
- Цифровая. Представляет собой аппарат, оснащенный специальной матричной системой, которая используется в современном оборудовании для съемки фото и видео. Обладает малым количеством излучения, изображение после процедуры получается значительно более качественным по сравнению с пленочной флюорографией легких. В случае регистрации данных о состоянии легких на цифровой аппарат, картинка остается в компьютере и может быть распечатана или отправлена по почте. Этот метод обеспечивает более длительное хранение результатов.
- Сканирование. Этот способ позволяет минимизировать облучение, однако малодозовое применение рентгеновских лучей имеет существенный недостаток – не очень точное изображение.
Показания для назначения флюрографического обследования
Делать флюорографию рекомендуется каждому человеку раз в год. Ежегодное массовое обследование проводится с профилактической целью, ведь его применение помогает выявлению болезней, угрожающих жизни человека.
При желании человек подписывает письменный отказ от флюорографии легких, даже в том случае, когда исследование назначается врачом, однако это может нести серьезные риски для здоровья.
Показания, при которых следует пройти процедуру:
- Появление одышки, кашля и других признаков проблем с дыхательной системой неспецифического характера;
- Подозрение на туберкулез, рак легких и другие заболевания органов средостения;
- Лучевая, цитостатическая терапия;
- Заболевания легких в прошлом;
- Сахарный диабет;
- Язва желудка;
- Патологии мочеполовой системы;
- Диагностированный ВИЧ.
В группе риска для респираторных болезней находятся люди, которым требуется работать с лицами без постоянного места жительства, в социальных учреждениях помощи детям и подросткам, санаториях. Поэтому флюорография — обязательное ежегодные обследование органов дыхания. Также необходимым является применять процедуру тем, кто трудится в обычных школах, детских садах, спортивных учреждениях.
Как проводится флюорография
Обследование легких производится в специальных флюорографических кабинетах, которые располагаются в поликлиниках, диагностических центрах, санаториях и частных медучреждениях.
По времени флюорография длится несколько минут, снимок делается в одной или в 2-х проекциях (редко – в 3).
Диагностика не требует специальной подготовки, поэтому все, что нужно пациенту – зайти в кабинет и выполнять указания врача.
Методика выполнения процедуры:
- Пациент раздевается по пояс, снимает с себя все металлические предметы, так как они помешают сделать четкий снимок.
- Грудь прислоняется к экрану флюорографа.
- Подбородок располагается на подставке.
- В таком положении нужно вдохнуть и задержать дыхание на несколько секунд.
- За это время врач, находящийся в другой комнате, делает снимок.
Расшифровка результатов + таблица
При расшифровке результатов флюорографии легких используются специальные коды, когда снимок готов. Каждая цифра соответствует определенной патологии.
Если флюорография в пределах нормы, для описания этого также используется цифровое значение. Врач указывает месторасположение выявленного очага заболевания легких.
Чтобы узнать диагноз, необходимо получить расшифровку с трактовкой кодовых данных, справку и заключение врача.
| Корни уплотнены | Отечные явления в крупных сосудах, увеличение лимфоузлов, что характеризует наличие воспалительного процесса в легких или бронхит |
| Затемнение тканей | Говорит о туберкулезе или воспалении |
| Тени на снимке | Причиной такого изображения бывают полости, заполненные жидкостью или газом при кистах, кавернах, эмфиземах |
| Кальцинаты | Их форма напоминает костные мозоли ребра, появление кальцинатов означает проникновение в ткани инфекций, наличие туберкулеза |
| Усиление легочного рисунка | Рисунок составляют сосуды. Его усиление сопровождается стенозом, пороками сердца, сердечной недостаточностью, объясняется недавним гриппом или простудой |
| Измененный синус | При обнаружении жидкости в синусе (пустотах, которые находятся в складках плевры) необходимо пройти дополнительные обследования, чтобы поставить диагноз |
| Изменение тени средостения (область между легкими) | Увеличение ее говорит об увеличении объема сердца |
| Наслоения плевроапикального типа | Возникают в верхних областях органов, свидетельствуют о недавнем воспалении |
| Тяжистость корней | Характерна для ХОБЛ, появляется у курильщиков |
| Фиброз | Фиброзные ткани характеризуют недавно перенесенные воспаления |
Противопоказания
По мнению врачей, использование процедуры является безопасным методом диагностики заболеваний легких, поэтому его допустимо производить практически во всех случаях, но несколько противопоказаний к проведению все-таки существует.
Например, беременным женщинам выписывается назначение только тогда, когда необходимость постановки диагноза крайне высока также в случаях, когда флюорографию ничем нельзя заменить и результат должен быть незамедлительным. Это противопоказание связано с тем, что до 25 недели происходит развитие плода, а излучение влияет на деление клеток.
На ранних сроках беременности, в первые недели, во время обследования легких применяется специальный отражающий лучи фартук на живот.
При грудном вскармливании проводить процедуру можно, но она должна быть обоснованной. В некоторых клиниках встречается запрет на флюорографию при лактации до того, как ребенку исполнилось полгода.
По закону флюорография не проводится детям до 14 лет. Хотя исследование легких не оказывает негативного влияния на организм ребенка, результат того не стоит – чаще всего изображение не покажет нарушений.
Возможные негативные последствия
Многие люди озабочены тем, существует ли вред здоровью во время проведения флюорографии, так как рентгеновские лучи негативно влияют на организм.
Действительно, от слишком интенсивного облучающего воздействия в теле страдают все системы органов, что может привести к тяжелым заболеваниям. При выполнении флюорографии, которая назначается не чаще нескольких раз в год, дозы облучения крайне малы.
Любой человек получает столько же радиации в течение нескольких недель, пользуясь техническими устройствами.
Как часто можно делать флюорографию
Сколько раз в год нужно делать флюорографию? По закону 1 раз в год проходить без вреда здоровью обследование легких следует каждому взрослому.
В случаях, когда имеются подозрение на серьезные заболевания, врач может назначить внеплановую флюорографию, даже если последняя проводилась недавно. Иногда производится 2-3 процедуры подряд, если снимок бракован.
Более частые исследования, раз в 6 месяцев или чаще, назначаются пациентами с серьезными патологиями, требующими наблюдения.
Сколько действительна флюорография
Людям, работающим с детьми или лицам без определенного места жительства, в медицинских учреждениях и других местах, где требуется наличие санитарной книжки, проходить флюорографию обязательно раз в год – именно такой срок не нужно проводить повторное обследование для предоставления результатов на работе. «Свежие» данные исследования легких нужны при получении справки для водительских прав.
Как называется врач, который делает флюорографию
Назначение на процедуру пациент должен брать у терапевта, в некоторых случаях допустимо пройти диагностическое мероприятие без направления. Сама флюорография производится рентген-лаборантом. Расшифровку данных делают опытные специалисты – фтизиатр, врач-рентгенолог.
Флюорография и рентген легких в чем разница
Цифровая и пленочная флюорография, по сравнению с рентгенографией, имеют гораздо меньшие лучевые нагрузки. В то же время главное положительное отличие рентгена — получение высокого качество полученного изображения.
Рентгенологический снимок отличается четкостью и подробностью, не смотря на более высокую дозу радиации. Стоимость услуг также разнится.
Цена рентгенографии выше из-за того, что для нее необходимо больше ресурсов, а флюорография, напротив, недорогое обследование.
Источник: http://wjone.ru/501-flyuorografiya
Поделиться:





