Как делают и что показывает узи кишечника?
УЗИ считается универсальным диагностическим методом, применяемым в разных медицинских областях. До недавнего времени возможности использования этого исследования в проктологии были ограничены. Газ, содержащийся в просвете кишечника, на ультразвуке дает искажение.
В результате — вся картина представлялась неинформативной. С развитием УЗ-технологий этот недостаток был преодолен. Теперь УЗИ прямой кишки является одним из самых важных мероприятий при диагностике патологий терминального отдела кишечника.
Особенно незаменим данный метод в обнаружении онкологических процессов в прямой кишке.
Показания к УЗИ кишечника
Ультразвуковое исследование прямой кишки проводят при наличии следующих показаний:
- хронические запоры;
- недержание кала;
- примеси крови в каловых массах;
- прощупывание прямокишечного новообразования при пальпации;
- смещение органа, выявленное рентгенологическим методом;
- деформация прямой кишки, обнаруженная при ректоскопии;
- диагностированный рак прямой кишки;
- наличие позадишеечного эндометриоза у женщин (для исключения патологии кишечника);
- злокачественная опухоль простаты у мужчин (для исключения инвазии новообразования в кишечник);
- послеоперационный период после хирургического удаления новообразования (для исключения рецидива).
Для визуализации прямой кишки используют две УЗ-методики:
- УЗИ через брюшную полость (трансабдоминальным датчиком). Такой способ может применяться без наполнения кишечника, с введением контраста (ирригоскопия), на полный мочевой пузырь.
- Внутриполостной осмотр при помощи ректального датчика (эндоректальная ультрасонография) или через влагалище вагинальным датчиком (как дополнительный метод исследования у женщин).
Для максимально полного охвата кишечника применяют сразу оба метода. Для трансабдоминального УЗИ в 15% случаев визуализация прямой кишки затруднена из-за недостаточной наполненности мочевого пузыря. Область анального канала практически недоступна при осмотре через брюшную полость.
Ректальное УЗИ прямой кишки более информативно, но его невозможно провести, если у пациента наблюдается стеноз терминального отдела ЖКТ. Как видно, каждая из методик имеет свои недостатки, поэтому совмещение двух способов дает более точную диагностику.
Подготовка к УЗИ кишечника
Любые исследования кишечника проводят после предварительной подготовки. УЗИ в этом плане – не исключение. Процедура делается на очищенный кишечник и голодный желудок. Перед УЗИ необходимо избавиться от запора, если он есть, и отвести кишечные газы.
- При метеоризме 2 – 3 дня следует придерживаться диеты без продуктов, вызывающих газообразование. Это молоко, хлеб, выпечка, бобовые, большое количество клетчатки.
- Дополнительно можно принимать энтеросорбенты (Белый уголь, активированный уголь, Энтеросгель, Смекту) и ветрогонные средства (Эспумизан).
- Для улучшения пищеварения во время еды рекомендован прием ферментных препаратов (Мезим, Панкреатин, Креон).
Процесс подготовки зависит от способа осмотра прямой кишки: через брюшную стенку или через анус.
При трансабдоминальном УЗИ :
- за 6 часов до процедуры — отказаться от пищи и питья;
- за 1 час выпить 1 литр чистой негазированной воды, чая без сахара;
- перед процедурой нельзя курить, жевать резинку, сосать леденцы.
При ультразвуковой ирригоскопии рекомендуется сделать клизму накануне вечером.
УЗИ через прямую кишку требует пустого кишечника и ненаполненного мочевого пузыря. Очистительную процедуру можно провести при помощи клизмы или осмотического слабительного (Фортранс). Большой перерыв в приемах пищи соблюдать не обязательно.
По поводу питания перед УЗИ лучше уточнить у врача. Кишечник часто обследуют вместе с желудком и другими органами ЖКТ. В этом случае в пищеварительном тракте не должно быть остатков еды. Если есть вероятность, что придется делать двойное исследование, лучше подготовиться «по полной программе».
Ультразвуковое обследование прямой кишки
УЗИ кишечника через стенку живота – процедура, привычная для всех, кто хоть раз побывал в кабинете УЗ-диагностики. Пациент оголяет живот, ложится на спину. Врач наносит на кожу живота проводящий гель и начинает исследование при помощи датчика.
УЗ-ирригоскопия проводится несколько по-иному:
- Нужно раздеться ниже пояса, лечь на кушетку на спину. Врач осмотрит кишечник обычным способом (через брюшную стенку).
- Повернуться на бок спиной к доктору. В кишечник через катетер вводится около 2-х литров стерильного физраствора. Затем проводится стандартный осмотр трансабдоминальным датчиком. На этом этапе кишечные стенки расправляются под давлением жидкости и дают возможность внимательно просканировать все отделы.
- После опорожнения кишечника обследование продолжается.
Если с обычной процедурой многие знакомы, то как делают УЗИ прямой кишки эндоректальным датчиком, может вызывать у пациентов вопросы. В ультрасонографии через задний проход ничего сложного нет.
Тонкий датчик, предназначенный специально для подобных манипуляций, вводится в анальное отверстие на расстояние 10 – 12 см. Это не больно и безопасно. Деления на датчике позволяют врачу точно контролировать глубину введения.
Пациент во время процедуры лежит на боку, подтянув колени в груди.
Что показывает УЗИ прямой кишки?
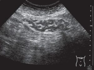
Здоровая прямая кишка на УЗИ выглядит округлым, немного вытянутым органом с ободком, отходящим от мышечного слоя. Ультразвуком его сканируют в поперечном и продольном срезах.
Во время процедуры врач оценивает на мониторе УЗ-аппарата состояние кишечника. Его интересует:
- размер и форма кишки;
- расположение кишечника относительно других органов (мочевого пузыря, простаты у мужчин, матки у женщин);
- толщина стенок;
- структура стенок, количество слоев и их эхогенность;
- длина разных отрезков кишки;
- состояние окружающих тканей;
- размер и структура регионарных лимфатических узлов;
- наличие воспалительных очагов, новообразований, аномалий строения, травм, рубцов и т.д.
В норме в кишечнике отсутствуют все перечисленные «находки». Показатели трансабдоминального УЗИ находятся в пределах:
| Терминальный отдел | 5 см |
| Средний отдел | 6 – 10 см |
| Среднеампулярный отдел | 11 – 15 см |
| Толщина стенки | Более 9 мм |
| Просвет кишки | Визуализируется, без расширений и сужений |
| Количество слоев кишечной стенки | 2 |
| Наружные контуры стенок | Ровные |
| Регионарные лимфоузлы | Не определяются |
УЗИ через прямую кишку показывает другие срезы, поэтому результаты такой процедуры выглядят иначе:
| Количество слоев стенки | 5 |
| Гиперэхогенность | 1, 3, 5 слои |
| Гипоэхогенность | 2, 4 слои |
| Внутренние контуры стенок | Ровные |
| Внешние контуры стенок | Ровные |
| Регионарные лимфоузлы | Параректальные, до 5 мм |
Узи – диагностика заболеваний прямой кишки
В ходе процедуры врач УЗИ делает подробное описание визуализации кишечника и ставит предполагаемый диагноз. Дальнейшей интерпретацией результатов сканирования занимается проктолог, направивший пациента на анализ. Проведенное обследование способно подтвердить или отвергнуть предварительный диагноз, подозрение на который было показанием для проверки кишечника.
Какие патологии можно выявить на основании УЗД? Перечислим их:
При обнаружении онкологического образования УЗИ помогает уточнить его локализацию, распространенность, наличие метастазов в печени и лимфоузлах. «Видит» ультразвук и опухоли, расположенные в параректальной клетчатке.
После хирургического лечения рака кишечника УЗИ делают для контроля послеоперационного поведения органа и раннего выявления рецидива.
УЗИ-скрининг кишечника
Скрининговое УЗИ – это профилактический осмотр кишечника. Проводится он не по прямым показаниям, а по косвенным. К ним можно отнести:
- отягощенную наследственность по раку прямой кишки;
- пожилой возраст у лиц, имеющих предрасположенность к опухолеобразованию, например, страдающих полипозом.
В таких случаях рекомендуется проводить УЗД эндоректальным способом, поскольку новообразования в прямой кишке лучше визуализируются полостным датчиком. Цель профилактического исследования – исключение онкологического процесса в кишечнике. Регулярный скрининг позволяет оценить риск развития рака и своевременно заметить начавшиеся изменения.
Узи прямой кишки у детей
Патологии кишечника встречаются не только у взрослых, но и у самых маленьких пациентов. В частности, у младенцев могут быть врожденные аномалии развития ЖКТ. УЗИ является наиболее безопасным и щадящим способом проверить детский кишечник.
Детей направляют на УЗД при подозрениях на следующие заболевания:
Подготовка ребенка к УЗИ заключается в поддержании диетического питания и приеме препаратов, снижающих газообразование. Детям дают Эспумизан, Смекту, Боботик и другие разрешенные лекарства в возрастной дозировке. В промывании кишечника клизмой необходимости нет, если пациент не страдает запорами.
Непосредственно перед процедурой ребенку нужно устроить «голодовку». Ее продолжительность зависит от возраста:
- 3 – 14 лет – последний прием пищи, как минимум, за 6 часов до УЗИ;
- малышам от 1 до 3 лет перерыв в еде сократить до 4-х часов;
- грудничкам – пропустить одно кормление перед исследованием.
За час до осмотра прекратить питье.
Узи кишечника: за и против
УЗИ прямой кишки считается менее информативным методом, чем колоноскопия и рентгенологическая ирригоскопия. Однако ультразвук значительно превосходит остальные способы обследования кишечника по безопасности. УЗИ можно делать многократно, его назначают даже новорожденным и будущим мамам.
Щадящая диагностика рекомендуется также пожилым и ослабленным пациентам. При наличии выраженной патологии на УЗИ больному показано проведение более тщательного обследования, уже путем рентгеновских и эндоскопических манипуляций.
Судя по отзывам пациентов, а они касаются преимущественно УЗИ через прямую кишку, процедура эта хоть и неприятна, но сравнивать ее с колоноскопией по ощущениям нельзя. Дискомфорт во время трансректального обследования чувствуется лишь в момент введения датчика. А уже в ходе сканирования болезненности нет. Длится УЗД кишечника недолго – около 10 минут.
Отзывы о процедуре
Отзыв №1
Сходила на УЗИ кишки ректальным датчиком. Сначала больновато, потом привыкаешь. Кто делал колоноскопию, так по сравнению с ней УЗИ – «детские игрушки». Очень быстро. Мой совет: когда пихают датчик, выдохнуть и постараться расслабиться. Будете напрягаться – вам же хуже. У меня, кстати, все нормально. Не жалею, что сделала.
Мария, Санкт-Петербург
Отзыв №2
У ребенка постоянные проблемы со стулом. С запорами уже замучились. Я очень долго сомневалась, вести ли его на УЗИ кишечника. Как представлю – ребенку терпеть такую боль, аж страшно. Но делать нечего.
Хоть и жалко свою кровиночку, но обследоваться надо. Все оказалось не так ужасно. Самое тяжелое – не давать кушать, а так он и не понял толком ничего. Зато теперь у нас есть диагноз, уже проще.
Будем лечиться.
Арина, Москва
Где можно сделать УЗИ прямой кишки?
Практически в каждой госполиклинике есть кабинет УЗД-диагностики. По направлению проктолога, гастроэнтеролога такие процедуры делают бесплатно (по полису ОМС).
Если такой услуги нет или на нее большая очередь, пройти обследование можно в любой клинике. Стоимость УЗИ кишечника составляет 600 – 3000 рублей – довольно небольшая цена за собственное спокойствие.
MailruOk.ru SkypeGoogle
Источник: http://stopgemor.ru/uzi-kishechnika/
Узи кишечника у детей
| Несмотря на то, что при заболеваниях кишечника у детей применяются эффективные диагностические рентгенологические методы, они имеют некоторые недостатки. К примеру, рентген не показывает структуру стенки кишки и ее динамические изменения. Данную информацию можно получить при помощи УЗИ – метода эхографии. |
Показания к УЗИ ребенку
- Боли в животе
- Рецидивирующая рвота
- Подозрение на дуоденит
- Подозрение на наличие инородных тел в кишечнике
- Травма в области передней брюшной стенки
- Рвота, срыгивание, потеря массы тела у новорождённых
- Подозрение на новообразование
- Общее тяжёлое состояние ребёнка при невозможности проведения рентгенологического исследования и ЭГДС
- Подозрение на дуоденогастральный рефлюкс
- Оценка эффективности лечения заболеваний кишечника
Показания к УЗИ дистальных отделов толстой кишки
УЗИ кишечника нужно проводить в утренние часы на голодный желудок, поскольку ночью 6-8 часов организм не переваривает пищу. Перед проведением УЗИ толстой кишки ребенку очищают ее от каловых масс.
В день исследования перед процедурой ставят очистительную клизму с 1% раствором натрия хлорида 37—38 °С в объёме 200—400 мл. На протяжении 2 дней перед УЗИ толстой кишки дают пить адсорбент – активированный уголь.
Кишку после очистки клизмой нужно заполнить тёплой водой, применяя шприц Жанне.
Важно провести психологическую подготовку ребенка к исследованию, объяснить, зачем это необходимо и что даст. Важную роль в этом процессе играют как родители, так и врач.
Болезни, которые показывает УЗИ
УЗИ может выявить не все заболевания желудочно-кишечного тракта. Ниже перечислены заболевания, которые можно диагностировать при помощи рассматрвиаемого метода.
Хронический дуоденит
31% всех приобретённых поражений желудочно-кишечного тракта у детей это дуоденит. УЗИ позволяет выявить на стадии обострения дуоденита у детей жидкость в полости утолщенной двенадцатиперстной кишки. В период затихания болезни изменения видны не так явно.
Интрамуральная гематома двенадцатиперстной кишки
УЗИ показывает кровоизлияния в стенку двенадцатиперстной кишки. Происхождение их может быть нетравматическое и травматическое. На УЗИ виден расширенный проксимальный отдел двенадцатиперстной кишки с жидкостью внутри. Дистальный просвет выглядит суженным из-за объёмного образования.
Дуоденогастральный рефлюкс
УЗИ при дуоденогастральном рефлюксе показывает заброс содержимого двенадцатиперстной кишки в желудок в виде множества мелких эхогенных циклов, которые продвигаются по направлению к телу желудка.
Хронические запоры
Результаты УЗИ зависят от того, насколько застарелая болезнь. Если у ребенка запоры не дольше 12-ти месяцев, мышечный слой утолщен на 4 мм. Если у больного запоры более года, то утолщения составляют 5 мм и даже больше. Также врач фиксирует неоднородность слизистой, множественные складки. Ширина просвета кишки в норме.
Заполнение контрастным веществом отражается на толщине стенки кишки – она становится тоньше, но при этом соотношение мышечного и слизистого слоев не меняется. Фиксируют ровную сигмовидную кишку, волнистости нет, вид атоничный.
В случаях, когда ребенок страдает запорами более трех лет, УЗИ показывает расширение просвета ампулы прямой кишки до 30 мм в диаметре, а также утолщение стенки за счет мышечного слоя. Фиксируют расширение сигмовидной кишки, утолщение стенок. Тонус ректосигмоидного сфинктера усилен; в момент заполнения сигмовидной кишки жидкостью можно увидеть дополнительные петли.
Если у ребенка длительный хронический запор и недержание каловых масс, фиксируют значительно расширение ампулы прямой кишки, заметно 3-слойное разделение мышечного слоя прямой кишки.
Болезнь Крона
На УЗИ при данном заболевании видно утолщение стенки кишки до 4 мм на значительной длине и сужение просвета кишки. Перистальтика может быть сниженной или отсутствовать. Сужение кишки в некоторых случаях неравномерное.
Кисты тонкой кишки
УЗИ позволяет обнаружить объёмные образования в брюшной полости, которые не видны на рентгенограмме.
УЗИ кишечника ребенку назначает врач. При появлении симптомов, связанных с ЖКТ, как можно скорее обратитесь к специалисту, который даст направление на УЗИ (эхографию) или другие исследования. УЗИ необходимо не во всех случаях патологии кишечника, потому родителям не рекомендуется направлять ребенка на обследование без рекомендации лечащего врача.
Источник: https://www.eurolab.ua/parenting/2505/2518/48427/
Узи кишечника
| Консультация врача-эндоскописта | 1320 руб. |
Ультразвуковое исследование кишечника — современный метод диагностики, позволяющий выявить развитие патологического процесса в органах пищеварительной системы.
В зависимости от локализации предполагаемой патологии специалист может назначить обследование всей кишечной трубки или части кишки. Это может быть Узи тонкого кишечника, либо исследование прямой кишки с применением ультразвука.
Также возможно назначение Узи толстого кишечника или осмотр 12-перстной кишки. Таким образом, данный метод помогает выявить или исключить ряд заболеваний пищеварительной системы. Ультразвуковая диагностика требует использования высокотехнологичного медицинского оборудования и высокой квалификации врача.
Узи толстого кишечника
При обращении пациента с жалобами на хронические и периодические запоры, диарею, боли в животе, ощущение инородного тела, быструю потерю веса врач, наряду с другими методами, назначит ультразвуковое исследование толстого кишечника.
Метод позволяет провести детальный осмотр толстой кишки и выявить пороки развития, новообразования, воспалительные и другие патологические процессы.
В данном случае возможно использование двух методик: трансректальный способ и Узи кишечника абдоминально.
Узи тонкого кишечника
Для назначения процедуры ультразвука тонкой кишки достаточно жалоб пациента, описанных выше. Исследование также требует специальной подготовки и выполняется двумя способами.
Поскольку тонкая кишка имеет большую протяженность, ее расположение в брюшной полости затрудняет осмотр.
По этой причине абдоминальное Узи кишечника в данном случае менее информативно, чем трансректальная диагностика.
Абдоминальное Узи кишечника
Данный вид исследования предполагает осмотр кишки через брюшную стенку. При этом ректально вводится только катетер, через который в просвет кишечной трубки выливается жидкая субстанция.
Таким способом возможно обследование как толстого, так и тонкого отдела. Главное достоинство метода — отсутствие неприятных ощущений для пациента во время проведения процедуры.
К недостаткам можно отнести невысокую информативность.
Эндоректальное Узи кишечника
В случаях, когда абдоминального осмотра недостаточно, врач назначает эндоректальное Узи кишечника. Для проведения обследования через прямую кишку вводится датчик, который позволяет более детально осмотреть просвет органа. Такой осмотр более информативен.
Сделать УЗИ тонкого и толстого кишечника в Москве
Сделать Узи кишечника в Москве можно не во всех клиниках. Данная услуга доступна в тех учреждениях, которые оснащены специальным оборудованием. “Клиника АВС” предлагает широкий спектр диагностических процедур с применением ультразвука, в том числе трансректальное Узи кишечника. Обратиться в нашу клинику стоит по нескольким причинам:
- Мы используем только современное медицинское оборудование.
- Наши специалисты имеют высокую квалификацию и большой профессиональный опыт.
- У нас доступные цены на все медицинские услуги, включая стоимость Узи кишечника.
- У нас действуют акции и система скидок.
- Мы заботимся о безопасности наших пациентов. Все медицинское оборудование тщательно обрабатывается с использованием современных методик и средств.
- Получить услугу в нашей клинике удобно. Мы находимся вблизи станций метро и остановок общественного транспорта.
- У нас не надо стоять в очереди. Получить консультацию врача или другую медицинскую услугу можно по записи на конкретную дату и время.
Если у вас остались вопросы, наши администраторы проконсультируют вас по телефону или при личном посещении клиники. На сайте вы можете узнать сколько стоит Узи кишечника или диагностика любого другого органа. Для этого нужно перейти в прайс.
Подготовка и анализы перед УЗИ
Ультразвуковая диагностика требует тщательной подготовки пищеварительного канала к исследованию. Для качественного осмотра необходимо максимально освободить тонкий и толстый кишечник от содержимого и добиться снижения газообразования.
Для этого врач рекомендует специальную диету за несколько дней до обследования и прием необходимых лекарственных средств. Подобной подготовки требует не только эндоректальное Узи кишечника, но и абдоминальный способ исследования.
Анализы для лабораторного скрининга перед проведением процедуры сдавать не требуется. Исключение может составлять подозрение на кишечное кровотечение.
Как проходит УЗИ тонкого и толстого кишечника?
Диагностическая процедура толстого и тонкого отделов проводится после тщательной подготовки. Стандартный порядок проведения манипуляции предусматривает проведение осмотра в три этапа. Сначала врач исследует кишечник без наполнения через брюшную стенку.
Затем кишка наполняется стерильным раствором через специальный катетер. После осмотра заполненного жидкостью органа, выполняется третий этап исследования толстой или тонкой кишки — после опорожнения.
В любой клинике, где делают Узи кишечника в Москве, порядок проведения диагностики примерно одинаковый.
Когда необходима диагностика?
- Показаниями к проведению ультразвуковой диагностики толстого и тонкого отделов являются:
- нарушения стула (запоры, диарея)
- пальпация образования в кишечном канале
- появление крови в каловых массах
- признаки недержания
- наличие эндометриоза у женщин
- онкологические заболевания органов брюшной полости и малого таза
- состояние после операции на кишечнике
- осмотр тонкого и толстого отделов кишечной трубки с профилактической целью
Чаще всего обследование назначает врач. Но пациент может обратиться к нам в клинику и без направления. Для этого необходимо записаться на Узи кишечника и получить консультацию специалиста по подготовке к диагностической процедуре.
Больно ли делать обследование?
Процедура исследования толстого и/или тонкого отдела безболезненна для пациента, включая трансректальное Узи кишечника. Датчик и катетер для введения жидкости в кишку имеют малый диаметр и не доставляют болезненных ощущений при проведении диагностики. Возможен лишь легкий дискомфорт в области анального сфинктера вначале процедуры.
Интересный факт! Продвижение пищи по желудочно-кишечному тракту не зависит от закона гравитации. То есть, даже стоя на голове, можно съесть еду, которая все равно попадет в желудок, а затем в тонкую и толстую кишку. Это связано с тем, что пищевой комок, попадая в пищевод, не просто падает в желудок, а продвигается по нему с помощью перистальтики.
Ультразвуковая диагностика абсолютно безвредна для организма человека. Волны проникают сквозь ткани толстого и тонкого отдела кишечной трубки, не оказывая на клетки разрушающего воздействия.
Именно поэтому данный вид обследования широко используют в детской и акушерской практике. Все медицинские изделия, контактирующие с телом и биологическими жидкостями пациента во время проведения процедуры, тщательно дезинфицируются и стерилизуются.
Наш медцентр — это место, где можно сделать Узи кишечника в Москве безопасно и по доступной цене.
Что можно выявить при диагностике?
Обследование толстой и тонкой кишки позволяет выявить и дифференцировать ряд заболеваний, протекающих не только с явной симптоматикой, но и в латентной форме. При осмотре с помощью ультразвука специалист диагностирует:
- воспалительные процессы в тонкой кишке — энтериты различной этиологии
- кишечную непроходимость
- врожденную патологию Гиршпрунга
- разные формы колитов — язвенный, спастический, ишемический
- болезнь Крона
- новообразования
- прочие патологии
Важно! Обратившись в нашу клинику, вы сможете сделать Узи кишечника по доступной цене в Москве. Своевременное обращение к специалисту поможет предотвратить развитие серьезного заболевания.
УЗИ не является единственным методом диагностики заболеваний толстого и тонкого отделов кишечной трубки. При необходимости назначаются дополнительные виды обследования.
Противопоказания к процедуре
Осмотр методом УЗИ толстого и тонкого отдела органа настолько безопасен, что практически не имеет противопоказаний. Препятствием к проведению диагностики может быть общее тяжелое состояние пациента.
Например, в остром периоде инфекционного заболевания, тяжелые травмы, затрудняющие изменения положения тела, неадекватное состояние, связанное с психическим расстройством пациента.
В остальных случаях процедура УЗИ не противопоказана, включая беременных женщин и детей младшего возраста.
Стоимость услуг
| Консультация врача-эндоскописта | 1320 руб. |
Получив рекомендацию врача пройти обследование, многие задаются вопросом — сколько стоит сделать Узи кишечника и куда лучше записаться? Не все московские клиники могут предложить своим посетителям такую услугу.
Запись в государственное медицинское учреждение, как правило, проходит за несколько месяцев. Поэтому быстро пройти диагностику вряд ли получится. В таких случаях большинство принимают решение обратиться в частную клинику.
В интернете много информации о стоимости услуги. Например, цена на Узи тонкого кишечника в Москве варьируется от нескольких сотен до нескольких тысяч рублей. Выбирая “Клинику ABC”, наши клиенты получают качественную услугу по доступной цене.
Первоисточник медцентр «Клиника ABC» / октябрь 2018
Источник: https://uzi.klinika-abc.ru/uzi-kishechnika-tsena-v-moskve.html
Узи кишечника: как делают и что показывает исследование, показания к процедуре
Кишечник – важный орган пищеварения и выделения у человека, расположенный преимущественно в локализации брюшной полости.
Его ультразвуковое исследование позволяет быстро и эффективно обнаружить системные патологии работы всего ЖКТ.
Каковы основные показания к проведению процедуры? Как к ней готовиться? Как делают УЗИ кишечника и что показывает результат? Об этом и многом другом вы прочитаете в нашей статье.
Показания к УЗИ кишечника у взрослых и детей
Основными показаниями для проведения ультразвукового исследования кишечника у взрослых, как правило, выступают:
- Различные острые состояния с подозрением на непроходимость, перитонит, ишемию кишечника, аппендицит, системные новообразования, внутренние кровотечения и механические травмы в указанной локализации;
- Подтвержденное рентгеном смещение органа;
- Постоянная тяжесть и болевой синдром в области кишечника, осложненный сильным газообразованием;
- Наличие уплотнений при прямой пальпации;
- Регулярные запоры или диареи;
- Опухоли простаты (мужчины) и позадишеечный эндометриоз (женщины);
- Боль в процессе дефекации, сопровождающаяся кровянистыми выделениями.
Частые показания к проведению УЗИ кишечника у детей, включают в себя:
- Острый болевой синдром в области живота невыясненной этиологии с подозрением на аппендицит либо заворот кишок;
- Кровянистые сгустки в каловых массах, возможно указывающие на внутренние кровотечения;
- Объективно ощутимые регулярные сокращения тонкого кишечника;
- Системный метеоризм со стойкими нарушениями стула;
- Хронические колики;
- Аномалии развития кишечника;
- Подозрение на аганглиоз или болезнь Крона.
Подготовка к УЗИ кишечника и способы проведения процедуры
Следует понимать, что при наличии острого патологического состояния у пациента с высокими рисками для здоровья и жизни, ультразвуковое исследование кишечника может быть проведено без всякой подготовки в так называемом «горячем» режиме. Естественно, точность в этом случае будет минимальна. При запланированном мероприятии, больные должны придерживаться базовой диеты, позволяющей снизить к минимуму процесса газообразования в кишечнике.
Особая схема питания включает в себя дробный суточный рацион, разбитый на 5-6 приёмов, ограничение употребления тяжелой, слишком жирной и вредной пищи, приготовление блюд варкой на пару либо запеканием.
Помимо этого в обязательном порядке из рациона исключается алкоголь, любые соки, бобовые культуры, а также овощи и фрукты, вызывающие повышенное газообразование, особенно в сыром виде. Такой схемы нужно придерживаться за 3 суток до УЗИ кишечника.
Рекомендуется в этот период употреблять злаковые каши на воде, жидкий кисель, нежирные сорта мяса, вареные яйца.
Сама процедура производится натощак, за 8 часов до неё необходимо отказаться от употребления пищи (для детей старше 3 лет данный период сокращается до 5 часов, груднички до года пропускают 1 кормление).
В случае необходимости врач-диагност прописывает приём препаратов, снижающих газообразование (лекарственные средства на основе симетикона, Смекта, активированный уголь) и ферменты (Креон, Мезим), а в особых случаях назначает клизму за 8-10 часов до обследования.
Подробнее про подготовку к УЗИ брюшной полости можно прочитать здесь.
Проведение УЗИ
В современной диагностической практике для проведения УЗИ кишечника применяются 3 основных метода данной процедуры:
- Эндоректальный. Наиболее эффективный и точный. Основной датчик вводят через анальное отверстие, перед этим полость заполняется стерильным контрастным веществом, что позволяет получить максимально точную и достоверную визуальную картинку состояния органа. Параллельно оценивается состояние кишечника в заполненном и опорожненном виде. Само мероприятие занимает до 15 минут;
- Трансабдоминальный. Классический метод мониторинга через наружную брюшную стенку. Обладает меньшей достоверностью, проводится дольше, чем эндоректальный способ, как правило, в рамках общей оценки состояние брюшной полости. В данном случае диагносту недоступен ряд параметров кишечника, однако все основные отделы (толстый и тонкий) визуализируются при отсутствии в них газов. В любом случае, при трансабдоминальном виде УЗИ в орган вводится стерильный контраст (в объеме до 2 литров), поскольку он позволяет заполнить жидкостью полость и увидеть особенности мягких тканей локализации, стенки, слизистые оболочки и мышцы. Средние временные рамки процедуры – от 30 до 60 минут;
- Трансвагинальный. Используется реже первых двух, датчик вводится во влагалище, стенки которого вплотную примыкают к кишечнику. Методика подходит для использования только в отношении представительниц прекрасного пола и имеет высокую степень достоверности и точности. Средние временные рамки процедуры – от 15 до 25 минут.
Расшифровка результатов
В процессе проведения ультразвукового исследования кишечника, диагност качественно и количественно оценивает следующие базовые параметры органа:
- Форму и размер;
- Расположение кишечника относительно соседних систем и органов;
- Толщину и структур стенок;
- Длину всех отделов кишечника;
- Наличие посторонних образований;
- Состояние лимфоузлов и близлежащих сосудов.
Нормы исследования зависят от способа его проведения. Типичные показатели при абдоминальном виде УЗИ:
- Длины отделов. Терминальный около 5 сантиметров, среднеампулярный от 11 до 15 сантиметров, средний – от 6 до 10 сантиметров (показатели для детей уменьшаются или увеличиваются во всех случаях прямо пропорционально возрасту). Общая длина всего кишечника – до 4 метров;
- Стенки. Толщина не менее 9 миллиметров, их контуры ровные и четкие;
- Слои. 2 слоя;
- Лимфатические узлы. В норме не визуализируются;
- Кишечный просвет. Без сужений или расширений.
Типичные показатели для ректальной методики, зачастую не представленные в случае проведения абдоминального вида ультразвукового исследования:
- Региональные лимфоузлы. В норме видны структуры параректальной локализации;
- Контуры стенок. Как внешние, так и внутренние должны быть без изменений и ровные;
- Слои. Визуализируются в норме 5. Из них гипоэхогенными остаются 2 и 4 слой, а 1, 3 и 5 обладают высокой степенью эхогенности;
- Образования. В норме отсутствуют очаги воспаления, рубцы, аномалии развития и базового строения, любые объемные конструкции.
Какие заболевания можно выявить после УЗИ кишечника?
УЗИ кишечника не позволяет поставить диагноз пациенту, однако на основании результатов обследования и, учитывая лабораторные анализы, а также иные данные, полученные альтернативными методиками инструментальных исследований, сделать это может профильный специалист, направивший больного на процедуру. Наиболее типичные и явные патологии, выявляемые с помощью ультразвукового обследования органа:
- Различные опухоли. Видны чаще всего косвенным признакам (отечность и неровность стенок, утолщения либо сужения тонкого кишечника). При этом синдром поражения полого органа с преобладающим ростом образований экзофитного типа (наружный рост от просвета кишечника) не диагностируется даже эндоскопически. В тяжелых случаях визуально просматриваются инвагинации в виде телескопических погружений друг в друга отдельных отделов кишечника, а также системное нарушение его перистальтики в целом;
- Жидкость в брюшной полости. При патологиях (чаще всего это циррозы и гнойные воспаления) на УЗИ хорошо видна избыточная жидкость в брюшной полости – основной локализации расположения кишечника;
- Мезентериальный лимфаденит. Комплексное воспаление лимфоузлов, расположенных в корне брыжейки по внешним симптомам очень сильно похоже на начальную стадию острого аппендицита, что вводит в заблуждение даже опытных профильных врачей. Видимые на УЗИ увеличенные лимфатические узлы в указанной области позволяют уточнить диагноз, чаще всего проставляемый детям подросткового возраста;
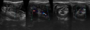
- Патологии брюшной аорты и висцеральных долей. Источником сильного болевого синдрома в области живота может быть нарушение кровотока питающих кишечник артерий. В процессе проведения УЗИ диагност исследует состояние чревного ствола, печеночных, селезеночных, брыжеечных, почечных артерий, воротной, полых вен и иных сосудистых структур на предмет аневризм, ущемлений или тромбозов;
- Инфильтрации и перфорации стенок кишечника. Смежные ткани имеют сильную отечность, гиперэхогенны, визуально просматриваются утолщения и выпячивания;
- Иные патологии. Сюда включают абсцессы, гематомы, дивертикулы, язвы, паразитарные кисты и прочие объемные либо поверхностные образования.
Преимущества УЗИ обследования
УЗИ кишечника не является единственной методикой исследования данного органа – параллельно с ним, профильный специалист может назначить:
- Колоноскопию;
- Эндоскопию;
- Компьютерную томографию;
- Биопсию;
- Иные лабораторные или инструментальные методы исследования кишечника.
В чем же явные преимущества именно ультразвукового обследования, в сравнении с другими способами обследования кишечника:
- Невысокая стоимость. УЗИ кишечника зачастую обходится значительно дешевле иных методик исследования;
- Простота выполнения процедуры. Мероприятие не требует очень длительной и тщательной подготовки, а в некоторых случаях проводится сразу;
- Скорость. Среднее время выполнения процедуры не превышает получаса, продолжительность же иные методик иногда достигает 2-3 часов.
Учитывая вышеобозначенные особенности, можно утверждать, что, несмотря на относительно невысокую точность методики УЗИ кишечника и отсутствие возможности мониторинга отдельных параметров органа, ультразвуковое обследование является оптимальным вариантом первичного инструментального исследования, позволяющим исключить или подтвердить наличие основных опасных для здоровья и жизни пациента острых состояний и дающим профильному специалисту общую картину возможного заболевания, патологии, синдрома.
Источник: https://vseanalizy.com/uzi/vnutrennie-organy/brjushnaja-polost/kishechnika.html
Как подготовиться к узи кишечника?
Что показывает УЗИ кишечника? Этот метод относится к современным аппаратным способам диагностирования различных патологий, возникающих в желудочно-кишечном тракте.
Проведение такой процедуры на кишечнике имеет свои специфические особенности, отличающиеся от исследования других внутренних органов. Расшифровка результатов характеризуется достаточной сложностью, что требует высокой квалификации врача.
В целом технология совершенно безопасна и назначается даже детям и беременным женщинам.
Сущность методики
Ультразвуковой способ исследования состояния внутренних органов человека основывается на законах гидро- и радиолокации. С помощью специальных пьезоэлектрических датчиков на исследуемый участок направляется волна с ультразвуковой частотой.
Она проходит через ткани, причем скорость распространения зависит от их плотности, а на границе раздела разных структур частично или полностью отражается.
Возвратившаяся волна фиксируется датчиками, а так как различные вещества имеют разную отражающую способность, то по интенсивности вернувшегося сигнала можно судить о том, что стало причиной его появления.
Количественная оценка отражающей способности называется эхогенностью ткани. Практически не имеет эхогенности жидкость, а вот данный показатель у тканей возрастает с увеличением плотности.
На основе описанного принципа может делаться УЗИ практически любого внутреннего органа.
Исследование кишечника сталкивается с определенной проблемой. Дело в том, что на границе любой ткани с воздухом происходит практически полное отражение ультразвуковой волны, а так как кишка имеет воздушное наполнение, то исследование ее внутреннего строения крайне затрудняется.
Так можно ли провести подобные тестирования? Как проверить кишечник? Для того чтобы обеспечить работоспособность методики, УЗИ желудка и кишечника осуществляется после наполнения их жидкостью. Вытеснение воздуха из кишечного просвета дает возможность исключить искажение картины.
Ультразвуковое воздействие абсолютно безопасно для человека и не вызывает каких-либо болезненных ощущений. УЗИ может проводиться женщинам в период беременности, ему могут подвергаться и любой взрослый человек, и дети независимо от возраста.
С одинаковой эффективностью проводится обследование как толстого, так и тонкого кишечника, а также желудка и любого элемента пищеварительной системы.
Что дает исследование?
УЗИ (иногда используется термин — ультрасонография) позволяет определить состояние пищеварительной системы и выявить различные нарушения. На такие исследования человек направляется при наличии следующих признаков:
- хроническая тяжесть и дискомфорт в области брюшной полости;
- ощущение горечи в ротовой полости;
- неприятный запах изо рта;
- аномальная дефекация;
- чрезмерное газообразование;
- частая изжога и отрыжка;
- периодическая тошнота и рвота;
- болевой синдром в области желудка, кишечника и подреберья справа;
- обнаружение изменения размеров органов при пальпации;
- травмы в районе брюшной полости.
УЗИ необходимо провести при появлении подозрения на заболевания пищеварительной системы, особенно воспалительного характера (холецистит, гепатит, панкреатит, опухолевые образования).
С помощью ультразвука можно контролировать ход лечения патологии.
Во время проведения процедуры врач получает информацию такого типа: изменение расположения органа, его размеры и форма, появление уплотнений, структурная однородность.
Правильно расшифровав результаты исследования, специалист может выявить у пациента такие аномалии:
- накопление жидкости в брюшной полости, но без уточнения состава;
- опухолевые образования доброкачественного или злокачественного характера;
- увеличение размеров лимфатических узлов;
- гнойное накопление (абсцессы);
- выпячивание стенок кишечника (дивертикулы);
- образование гематом;
- наличие кисты;
- появление каловых камней;
- формирование спаек и свищей;
- врожденные дефекты строения;
- аппендицит в острой форме и его осложнения;
- наличие паразитов.
Какие методики применяются?
УЗИ может осуществляться несколькими способами в зависимости от расположения источника излучения. В принципе, существуют такие методики:
- Эндоректальная разновидность: введение датчика в прямую кишку через анальное отверстие. Дискомфорт чувствуется только при введении источника, но сам процесс никак не ощущается. Длительность такой процедуры составляет 12-18 минут.
- Трансабдоминальный вариант: излучение направляется через наружную стенку брюшины. Другими словами, датчик не вводится внутрь, а устанавливается на поверхности кожи живота. Это самый предпочтительный для многих пациентов и самый распространенный способ. Основной недостаток — длительность процедуры, так как чаще всего она проводится в 3 этапа.
- Трансвагинальный тип: предусматривает введение датчика через влагалище. Применяется такой вариант редко.
При исследовании тонкого кишечника, как правило, применяется второй способ. Толстый кишечник можно проверять любым из отмеченных способов, а для прямой кишки более подходит эндоректальное введение датчика. Как сделать УЗИ, решает врач с учетом причин исследования и индивидуальных особенностей человека.
Подготовительный этап
Для исключения факторов, которые могут искажать результаты исследований, перед проведением процедуры необходимо осуществлить определенный комплекс подготовительных мероприятий, которые связаны с очисткой кишечника от остатков пищи и его правильным наполнением. Как подготовиться к УЗИ?
К процедуре следует готовиться за 3-4 суток до ее проведения, и основу составляет правильное питание и рациональный питьевой режим. Рекомендуется соблюдение следующих условий:
- Подготовка к УЗИ кишечника требует следующей трехсуточной диеты: каши на воде без добавления молока, отварное нежирное мясо (говядина, курица, перепелка), вареная рыба нежирных сортов, сыр с уменьшенной жирностью, яйцо вкрутую, но не более 1 шт. в день. Напитки — чай и негазированная вода.
- Исключаются из пищевого рациона такие продукты: сладости, жирное мясо и рыба, бобовые культуры, капуста, овощи и фрукты в сыром виде, жареные блюда, алкогольные напитки, кофе, соки, крепкий чай, газировка.
- Питание должно производиться небольшими порциями для облегчения переваривания.
- Прием пищи совмещается с употреблением таких средств, как Мезим или Креон, помогающих пищеварению.
- Прием препаратов Эспумизан, Инфакол для исключения газообразования — начало употребления за 3 суток до направления на УЗИ.
- Прекращение приема медикаментозных препаратов типа Но-шпа, Спазмалгон, Риабал. При невозможности прерывания курсового лечения об их применении следует сообщить врачу.
- Прекращение приема пищи накануне процедуры не позднее 6 часов вечера.
После последней трапезы необходимо произвести очистку кишечника. Такое мероприятие можно обеспечить двумя способами:
- Очистительная клизма с объемом 1,5-2 л для взрослого человека, лучше провести 2 раза с интервалом в 10-12 часов.
- Прием препарата Фортранс (при отсутствии противопоказаний в виде сердечной недостаточности, подозрений на кишечную карциному и непроходимость, болезни Крона, язвенного колита неспецифического типа) — дозировка из расчета: 1 стандартный пакетик на каждые 25 кг собственного веса. За 15-16 часов до процедуры можно принять слабительные лекарства или поставить свечу Бисакодил.
Если намечено проводить УЗИ малышу, то рекомендуется обеспечить прекращение приема пищи с учетом возраста:
- для 3-летних детей и старше — за 5-8 часов до процедуры;
- для малышей в возрасте 1-3 года — 3,5-5 часов до начала УЗИ;
- для грудничков до года — 2,5-4 часов, а лучше процедуру осуществлять перед самым кормлением.
В детском возрасте питание перед проведением исследований совмещается с приемом Смекты. Вопрос о том, как делается клизма у ребенка, следует решать совместно с педиатром. Возможно, что ее не следует ставить, а лучше принять слабительное средство.
Как проводится процедура?
Как делают УЗИ кишечника ребенку и взрослому? Наиболее распространенная трансабдоминальное УЗИ проводится, как правило, в 3 этапа. На первом — пациент укладывается на спину, осуществляется сканирование при пустом кишечнике.
Затем человек ложится на бок и вводится жидкость, предназначенная для полного заполнения кишечника (порядка 2-2,5 л). Проводится УЗИ с заполненным органом.
Наконец, на третьем этапе кишечник очищается, и опять обеспечивается сканирование уже очищенного органа.
Чаще всего, он имеет такой состав: глицерин, тетраборнокислый натрий, сополимер стирола с малеиновым ангидридом, вода. При проведении процедуры врач-сонолог дает команды на режим дыхания, его задержку, переворот на бок или спину и т.
д.
При проведении исследований на толстой кишке жидкость в кишечник заливается через катетер диаметром порядка 7-6 мм, который вводится через анальное отверстие на глубину 4-6 см. Если обследуется прямая кишка, то заполнению подвергается мочевой пузырь, что позволяет отодвинуть петлю тонкой кишки.
Изучение результатов анализа
Для того чтобы поставить диагноз, врач-сонолог должен правильно расшифровать полученные результаты. УЗИ не может показать непосредственно саму патологию. Специалист определяет ее наличие путем сравнения получаемых данных с нормой.
В процессе обследования врач оценивает показатели размеров и формы разных отделов кишечника, его расположение относительно мочевого пузыря, а также простаты у мужчин и матки у женщин. Важное значение имеют: изучение толщины и структуры кишечных стенок, количество и степень визуализации слоев.
Подлежит оценке состояние тканей и регионарных лимфатических узлов.
Все показатели сравниваются с нормами. Считаются нормальными такие параметры, определенные при абдоминальном обследовании:
- толщина кишечной стенки — не менее 8,5 мм при наличии ровных контуров;
- количество слоев — 2;
- отсутствие изменений в лимфатических узлах;
- отсутствие нарушений в геометрии просвета.
При проведении УЗИ в протоколе исследования обязательно рассматриваются такие отделы:
- терминальный кишечный (50 мм);
- среднеампулярный (10-16 см);
- средний (7-11 см).
При эндоректальном исследовании устанавливаются такие дополнительные нормы:
- количество слоев визуализации — 5, причем слои с гиперэхогенностью: 1, 3 и 5, с гипоэхогенностью: 2 и 4;
- ровные контуры стенок (как внешних, так и внутренних);
- наблюдение параректальных лимфатических узлов.
Именно количество визуализированных слоев и их эхогенность считается основной задачей ректального обследования.
УЗИ тонкого, толстого кишечника при правильном проведении и профессиональной расшифровке результатов дает необходимую информацию для диагностирования заболеваний ЖКТ. В срочных ситуациях по таким результатам принимается решение о хирургическом вмешательстве.
Источник: https://kiwka.ru/diagnostika/uzi-kishechnika.html
Поделиться:




