Перелом бедра со смещением: особенности травмы и способы лечения

В статье рассказывается о переломе бедренной кости со смещением отломков. Описаны симптомы травмы, методы диагностики и лечения, прогноз.
Так как бедренная кость (femur) является одной из самых крупных в организме, перелом бедра со смещением представляет собой достаточно опасное состояние. В отсутствие медицинской помощи оно может привести к летальному исходу.
Особенности строения бедра
Бедренная кость расположена между тазом и коленом, образуя два сустава. Это одна из самых крупных и прочных костей в организме человека, на которую ложится большая нагрузка.
В ней выделяют несколько отделов:
- проксимальная часть, где расположена шейка бедра (collum femoris) — в этом месте образуется тазобедренный сустав;
- диафиз, или тело;
- дистальная часть, образующая с костями голени коленный сустав (articulatio genus).
Каждый отдел имеет свои особенности строения. В зависимости от того, в какой части возник перелом femur со смещением, будет различаться симптоматика и лечение.
Таблица #1. Особенности строения разных отделов бедра:
| Часть кости | Особенности строения | Фото |
| Проксимальный отдел | Collum femoris не имеет надкостницы. Головка и большая часть шейки располагаются в полости тазобедренного сустава. Кровоснабжение в области шейки и головки бедра минимальное. | Головка и шейка бедра входят в тазобедренный сустав |
| Тело | Эта часть называется диафизом. Она окружена мощными мышцами, здесь проходят крупные артерии и нервы. Кровоснабжение здесь наиболее хорошее. | Самая длинная часть кости – ее тело |
| Дистальный отдел | Содержит мыщелки, которые образуют с берцовыми костями articulatio genus. Здесь находятся мышцы, связки, кровеносные сосуды. | Мыщелки femur образуют коленный сустав |
Вокруг кости расположено большое количество крупных мышц, кровеносных сосудов и нервов. Все это создаёт определённые особенности при переломе того или иного отдела бедра.
Причины переломов
Основная причина, по которой может возникнуть перелом, это воздействие прямой физической силы на разные отделы кости.
Чаще всего это случается при:
- сильном ударе в область бедра, например, при автомобильных авариях;
- падении на землю, например, в гололёд;
- падении с высоты;
- падении на конечность тяжёлого предмета.
Существует несколько предрасполагающих к перелому факторов, которые становятся более актуальными в пожилом возрасте:
- остеопороз, приводящий к снижению прочности кости;
- изменение величины угла между collum femoris и телом кости.
Таким образом, для пожилых людей более характерным является перелом collum femoris со смещением. В молодом возрасте чаще происходят переломы тела кости или дистального её отдела.
Перелом характерен для пожилых людей
Виды переломов
Выделяют несколько видов перелома, в зависимости от локализации и характера повреждения:
- Повреждение в проксимальной части бедра. Перелом верхней трети бедра со смещением может быть внутрикапсулярным и внекапсулярным. Также различают чрезвертельные и межвертельные переломы. По характеру повреждения они могут быть вколоченные и невколоченные. Перелом collum femoris со смещением всегда является внутрисуставным.
- Перелом средней трети бедра со смещением. Повреждения могут локализоваться в верхней, средней или нижней части диафиза. По характеру линии излома различают простой перелом, косой перелом femur со смещением, сложный перелом.
- Перелом нижней трети бедра со смещением. На этом участке переломы могут быть внесуставными и внутрисуставными. По характеру повреждения выделяют простые, клиновидные и оскольчатые переломы.
Для каждого вида характерны свои симптомы.
Клиническая картина
Общие симптомы травмы — это резкая боль в месте повреждения и нарушение функции конечности. При осмотре врач выявляет признаки, характерные для того или иного вида перелома.
Таблица #2. Симптомы разных типов перелома:
| Вид перелома | Симптомы | Как выглядит |
| Collum femoris со смещением отломков | Болевые ощущения локализованы в области паха, в состоянии покоя малоинтенсивны. Любое движение приводит к усилению болей. Характерна невозможность наступать на поврежденную ногу. Медиальный перелом сопровождается типичным признаком — симптом прилипшей пятки. Это невозможность поднять ногу из положения лёжа на спине. | Наблюдается симптом прилипшей пятки |
| Тела кости | Характерен резко выраженный болевой синдром. Окружность поврежденного бедра увеличивается за счёт отека, гематомы, смещения отломков. Практически во всех случаях происходит повреждение сосудов, что приводит к интенсивному кровотечению. Характерна патологическая подвижность бедра. При пальпации можно обнаружить край отломков кости. Из-за смещения отломков наблюдается укорочение поврежденной конечности. | При переломе диафиза высок риск кровотечения |
| В области articulatio genus | Боль умеренной интенсивности. Колено опухает, движения в нем практически невозможны. Перелом мыщелков сопровождается смещением конечности относительно её оси. Повреждение сосудов приводит к кровотечению. | При переломе в области articulatio genus формируется отек и гематома |
Одной клинической картины недостаточно для подтверждения диагноза. Пострадавшему необходимо провести инструментальные методы обследования.
Методы диагностики
Перелом левого бедра со смещением, правого бедра, тазобедренного сустава — все эти травмы требуют проведения рентгенологического обследования. Оно позволяет установить характер и локализацию перелома, наличие повреждения мягких тканей.
Применяется рентгендиагностика и для дифференцирования ушибов, трещин и переломов. Проводят её в двух проекциях.
Ниже представлены изображения различных переломов femur в наиболее типичных местах.
Такой перелом хорошо диагностируется с помощью рентгена
При затруднениях с постановкой диагноза может использоваться компьютерная томография, которая способна выявить даже мелкие повреждения.
Первая помощь
Первоначальная медицинская помощь проводится уже на месте происшествия. Она включает в себя иммобилизацию поврежденной конечности подручными материалами, остановку кровотечения, применение общих анальгетиков. Инструкция по оказанию первой помощи при переломах должна быть знакома каждому человеку.
Сотрудники Скорой помощи проводят иммобилизацию конечности пневматическими или деревянными шинами. Обезболивание достигается внутримышечным введением анальгетиков. Пациента госпитализируют в травматологический стационар, где будет проводиться основное лечение.
Лечебные мероприятия
Лечение перелома со смещением зависит от его типа, локализации и индивидуальных особенностей пациента. Первоначально проводится обработка места травмы, удаление погибших тканей, промывание раны.
Повреждение шейки бедра
Лечение перелома со смещением начинается с местной анестезии. Проводят её раствором новокаина. В зависимости от характеристик перелома дальнейшее лечение может быть консервативным и оперативным.
- Консервативное лечение применяется при вколоченных переломах. У пациентов молодого возраста используют гипсовую повязку от колена до поясницы. Носить её нужно 3-4 месяца, разрешается ходьба с костылями. Пациентам пожилого возраста сначала накладывают скелетное вытяжение с помощью шины Белера. Находится пациент на таком вытяжении до двух месяцев, затем накладывают гипсовую повязку.
- Оперативное лечение. Предпочтительнее использовать при невколоченных переломах. Применяют закрытый остеосинтез металлическими пластинами.
В пожилом возрасте существуют определённые особенности, которые ухудшают течение заболевания, замедляется процесс заживления. Летальность от таких переломов у пожилых достигает 20%.
Образование костной мозоли и срастание перелома происходит в течение 8 месяцев. Необходимость длительного постельного режима, в свою очередь, приводит к развитию пролежней, пневмонии, высок риск тромбоэмболических осложнений.
Переломы шейки бедра у пожилых заживают сложнее
Для избежания таких осложнений пожилым не назначают консервативные методы лечения в виде скелетного вытяжения и ношения гипса.
Предпочтительнее всего будет оперативное лечение — если нет противопоказаний.
Если у пожилого пациента имеется перелом тазобедренного сустава со смещением, рекомендуется проводить не остеосинтез, а эндопротезирование сустава.
Повреждение тела кости
Методом консервативного лечения перелома тела кости является скелетное вытяжение. Его же используют в качестве подготовки к оперативному вмешательству.
Скелетное вытяжение осуществляется с помощью шины Белера. Пациент находится на постельном режиме в течение 1,5-2 месяцев. После этого на конечность накладывают гипсовую повязку, сроком на три месяца.
Операция заключается в репозиции отломков и фиксации их металлическим стержнем или пластиной. Двойной перелом со смещением — абсолютное показание к оперативному вмешательству. После фиксации отломков необходимо наложение гипсовой повязки.
Предпочтительным методом лечения является остеосинтез
Повреждение дистального отдела
Консервативная терапия проводится редко, используется при этом скелетное вытяжение с последующим наложением гипсовой повязки. Наиболее предпочтительным является оперативное вмешательство. Оно заключается в фиксации отломков металлической пластиной.
Реабилитационные мероприятия
Реабилитация должна начинаться как можно раньше. Цель её проведения состоит в следующем:
- сохранение двигательной функции конечности;
- профилактика атрофии мышц и мышечных контрактур;
- ускорение образования костной мозоли и заживления перелома.
Реабилитация после перелома бедра со смещением включает применение лечебной гимнастики, массажа, физиопроцедур. ЛФК и массаж начинают дозированно с первых дней травмы.
По мере заживления перелома объем физической нагрузки увеличивается. Она необходима для профилактики атрофии мышц и формирования контрактур, укрепления связок. Во время упражнений происходит приток крови к поврежденной области, что способствует ускорению заживления тканей.
Физиопроцедуры назначаются с целью улучшения микроциркуляции, снабжения тканей кислородом, уменьшения болевых ощущений. Наибольшим эффектом в этом случае обладают магнитотерапия, УФО, электрофорез.
Продолжается реабилитация и в домашних условиях. Пациент может самостоятельно выполнять комплексы лечебной гимнастики, проводить самомассаж.
Некоторые полезные упражнения можно увидеть в видео в этой статье. При наличии дома аппарата для физиотерапии можно проводить курсы физиолечения. К таким аппаратам для домашнего использования относятся Маг-30, Алмаг, Витафон. Приобрести их можно в магазинах медицинской техники, аптеках. Цена достаточно высокая, однако использовать эти аппараты можно при любых заболеваниях.
Прогноз
Сколько срастается перелом бедренной кости со смещением, зависит от нескольких факторов. Прежде всего это состояние организма пациента, наличие сопутствующей патологии. Имеет значение и характер перелома. В среднем срок восстановления трудоспособности составляет 1.5-2 месяца. У пожилых людей перелом заживает несколько дольше.
Источник: https://Travm.info/patologii/perelomy/perelom-bedra-so-smeshheniem-132
Перелом бедренной кости со смещением и реабилитация после операции
Перелом бедренной кости со смещением является самой опасной травмой для человека. Особенно следует беречь себя от травм людям в преклонном возрасте, так как при повреждении шейки бедра приходится долгое время находиться в лежачем положении, из-за этого могут возникнуть осложнения со стороны работы сердечно-сосудистой и дыхательной системы.
Виды перелома бедренной кости
Кость бедра является самой большой трубчатой костью в теле человека. Она поделена на следующие отделы:
- верхний концевой отдел (эпифиз);
- нижний концевой отдел;
- центральный отдел (диафиз);
В связи с этим перелом бедра подразделяется на три вида.
Травма верхнего отдела бедра
Проксимальный отдел бедра располагается в районе тазобедренного, то есть в месте соединения кости с ее головкой.
При травме проксимального отдела повреждаются следующие части кости:
- шейка бедра;
- головка бедра.
Травма шейки бедра самый опасный вид повреждения, и имеет высокий процент осложнений.
Основными признаками травмы верхней трети бедра являются следующие симптомы:
- Болезненность в тазовой области.
- Боль усиливается при постукивании по пятке травмированной ноги.
- Незначительное укорочение ноги.
- Появляется «синдром прилипшей пятки», это когда пострадавший не может оторвать ногу от поверхности.
- В горизонтальном положении нога пострадавшего вывернута наружу.
Гематома появляется в течение пары дней после травмы. В положении лежа боль значительно уменьшается.
Важно! При так называемом «вколоченном переломе» некоторые пострадавшие могут спокойно отрывать ногу от поверхности и даже ходить, опираясь на нее.
Если вовремя не обнаружить такой вид травмы, то «сросшиеся» части костей распадутся, и травма осложнится смещением костей, что в свою очередь затруднит срастание и без того трудно поддающегося заживлению перелома.
Лечение
В настоящее время врачи рекомендуют оперативное лечение при данном виде перелома.
Проводят следующие виды операций:
- Фиксация отломков кости при помощи различных приспособлений, например, гвоздя. После операции пациента обездвиживают на 3 недели. Нагружать больную ногу запрещается около полугода.
- Эндопротезирование. После этой операции больному рекомендуют разрабатывать ногу уже через месяц.
- Реабилитация после перелома бедра.
Замена поврежденного сустава, несомненно, является существенным плюсом для пожилых людей.
Травма средней части бедра
Основными симптомами при такой травме являются следующие признаки:
- Болезненные ощущения в месте перелома.
- Нетипичная подвижность кости.
- Нога ниже перелома вывернута кнаружи.
- Укорочение конечности.
- Отек.
Часто кость из-за такого вида травмы смещается из-за сокращения мышц во время травмы.
Лечение
При переломе средней части бедра применяют следующие виды лечения:
- Вытяжение конечности.
- Операция на бедренной кости. Она заключается в фиксации кости при помощи специального штифта.
Также фиксацию сломанной кости производят специальными пластинами.
При лечении перелома с помощью вытяжения поврежденной ноги производят следующие действия:
- Конечность фиксируют на специальном аппарате под углом в зависимости от вида перелома. Фиксацию производят на 1,5-2 месяца.
- После накладывают гипс примерно на 3 месяца.
Ходить можно примерно через два месяца после завершения вытяжки, при этом не сильно нагружая ногу, и только при помощи костылей.
Трудоспособным человек становится через 3-6 месяцев после травмы, этот период во многом зависит от возраста и физической формы пострадавшего.
Травма нижнего отдела бедра
Дистальный отдел бедра – нижняя часть трубчатой кости бедра, чаще всего перелом происходит в области над коленным суставом.
Основными симптомами такого перелома являются следующие признаки:
- боль в колене;
- отек колена;
- ограничена подвижность колена;
- голень может быть повернута внутрь или наружу.
В группе риска такой травмы находятся люди преклонного возраста. Также может возникать перелом бедра со смещением.
Лечение
При травме без смещения проводится следующее лечение:
- Из поврежденного колена спец шприцом выкачивается кровь.
- Скелетное вытяжение.
- Наложение гипса на 4-5 недель.
Лечение может проходить как со вскрытием коленного сустава, так и без вскрытия. При переломе со смещением применяется следующее лечение:
- Производится фиксация отломков специальными пластинами.
- Если перелом был зафиксирован хорошо, то последующее наложение гипса не производят.
При травме среднего отдела бедренной кости у ребенка появляется риск того, что нога укоротится в длину, так как рост конечности в длину происходит именно за счет костей, составляющих коленный сустав. При таком переломе укорочение кости происходит в 25% случаев. Поэтому после перелома бедра часто применяется операция, а также очень важна реабилитация после операции.
Важно! При оказании первой помощи пострадавшему необходимо прощупать область под коленом, для того чтобы убедится есть ли пульс в артерии, так как бедренная артерия находится очень близко к этому отделу.
Физическую активность человек начинает через 3-4 месяца после травмы.
Восстановительный период
Очень важным этапом после перелома бедра станет реабилитация, которая длится до 6 месяцев. Также она может происходить в домашних условиях.
Важно! Быстрое и полное сращивание перелома частей шейки бедра происходит только в детском возрасте.
Как быстро восстановиться после перелома? Несомненно, самый сложный период восстановления у людей наблюдается после перелома шейки бедра. В этом случае важно сразу начать реабилитировать поврежденную ногу.
ЛФК
Гимнастика является основой успешного восстановления ноги. Ее можно начать выполнять уже вскоре после операции, даже не вставая с постели. Можно выполнять следующие упражнения:
- Двигать пальцами на ногах.
- Вращение плечами из положения лежа.
- Вращение головой.
- Упражнения с небольшими гантелями или экспандером для тренировки рук.
- Сгибание и разгибание колена.
- Поднимание прямых ног поочередно.
- Вращение стопами по кругу.
- Сведение коленей вместе и так далее.
Следующим этапом будет обучение ходьбе с помощью костылей или ходунков, уменьшая опору на руки с момента укрепления мышц ног.
Важно! Дети должны восстанавливаться под присмотром реабилитолога.
Если во время выполнения упражнений возникает боль, ее терпеть нельзя, это вредит сердечно сосудистой системе. Следует принять обезболивающее лекарство.
Массаж
Массаж способен творить чудеса. Плюсами массажа являются следующее:
- Улучшает кровообращение.
- Предотвращает проблемы с легкими.
- Нормализует состояние мышц.
Массаж можно начинать уже на 2 день после операции.
Важно! Массаж следует делать аккуратно, в особенности людям преклонного возраста, чтобы не навредить сердечно сосудистой системе организма.
Продолжительность массажа нужно согласовывать с лечащим врачом. Также не стоит доверять массаж непрофессионалу.
Питание
Питание – важная составляющая периода восстановления после операции, так как для лучшего заживления костей необходим целый комплекс витаминов и минералов. Рацион пациента с переломом ноги должен состоять из следующих продуктов:
- продукты с повышенным содержанием кальция;
- наваристые костные бульоны;
- крупы;
- овощи;
- овощные супы и пюре.
Все эти принципы реабилитации подойдут также людям с переломом бедренной кости, у которых лечение проводилось консервативным методом.
Переломы бедренной кости – очень серьезные травмы. Лучшей профилактикой перелома бедренной кости является поддержание физической активности течении всей жизни, которая укрепляет кости и организм в целом.
Источник: https://LechimSustavy.ru/travmy/perelomy/reabilitatsiya-bedrennoy-kosti.html
Лечение и реабилитация после чрезвертельного перелома бедра
Чрезвертельный перелом бедра – это нарушение кости бедра в верхнем участке, расположенном между подвертельной линией и шейкой бедра. Данная травма относится к числу наиболее опасных. При её возникновении следует незамедлительно обращаться к врачу.
Причины травмы
Чрезвертельному перелому бедра подвержены люди старшего возраста, наиболее часто встречается у пожилых людей. Это объясняется тем, что по мере взросления со временем кальций вымывается, и кости делаются не такими крепкими. К основным причинам, по которым происходит перелом бедра, относят:
- Недостаток кальция.
- Период вынашивания ребенка
- Несбалансированное питание.
- Патологии костной системы.
- Остеопороз.
- Попадание в ДТП.
- Падение на бок.
- Скручивание ног.
- Удар большой силы в районе большого вертела.
- Непрочность костных тканей.
Виды
Обычно выделяют несколько основных видов чрезвертельных переломов бедренной кости:
- Межвертельный вколоченный перелом без смещения. Суставная капсула не задета, благодаря чему поврежденная кость быстро срастается.
- Межвертельный не вколоченный со смещением. Нарушается шеечно-диафизарный угол. Обычно данный вид повреждения — редкость.
- Чрезвертельный вколоченный без смещения. Шеечно-диафизарный угол сохраняется.
- Чрезвертельный вколоченный со смещением. При таком типе перелома большой вертел раздроблен и нарушен шеечно-диафизарного угол. Наиболее распространенная травма.
- Чрезвертельный не вколоченный со смещением. Характеризуется повреждением шеечно-диафизарного угла.
- Чрезвертельный не вколоченный без смещения. Имеет винтообразную линию повреждения, угол сохраняется. Такая травма случается реже остальных.
- Чрезвертельно-диафизарный со смещением. Линия повреждения винтообразного характера, возможно образование осколков. Угол сохраняется.
Кроме этого выделяют стабильный и нестабильный перелом, открытый и закрытый чрезвертельный перелом левой бедренной кости со смещением, и правой.
Симптомы
Симптомы данного перелома во многом схожи с признаками перелома шейки бедра, только с более явным характером. Для конечности характерно неестественное положение. Если чрезвертельный перелом бедра произошел со смещением, то по внешнему виду поврежденная нога смотрится короче здоровой. У человека нет возможности пошевелить конечностью.
Возникает острая боль в верхнем участке бедра. Также для данной травмы характерно наличие отека и гематомы, которая распространяется и на бедро. Пострадавший может потерять много крови. При этом у него кожа становится бледной, выступает холодный пот и возникает состояние шока. От сильных болезненных ощущений больной способен даже потерять сознание.
Диагностика
Поставить диагноз можно с помощью внешнего осмотра и пальпации бедра. При этом надо соблюдать большую осторожность, так как присутствует риск более глубокого проникновения осколков в бедренную кость. Это чревато возникновением осложнений, которые могут закончиться инвалидностью.
Однако установить точный диагноз врач-травматолог может только на основе дополнительных исследований:
- Сделав рентген.
- Проведя компьютерную томографию.
К последнему методу прибегают в особых ситуациях, если рентгеновский снимок оказался не информативным.
Методы лечения
Лечение чрезвертельного перелома бедра бывает двух видов:
- Консервативный, при котором больной находится в больнице в течение длительного времени.
- Оперативный, когда на процесс восстановления требуется меньше времени.
К консервативному лечению прибегают, как правило, обычно при вколоченных переломах, когда боль вполне терпима. Оперативный метод назначают людям преклонного возраста, так как им противопоказано долгое время находится без движения. Иначе у пациента могут обостриться хронические заболевания, возникнуть пневмония и пролежни.
Консервативное лечение
Консервативное лечение проходит без операции. Пострадавшему накладывают гипсовую повязку и вытягивают поврежденную ногу с помощью груза весом до 10 кг.
Терапия продолжается на протяжении пяти месяцев для молодых больных, а для пациентов старшего возраста затягивается на более длительный срок. Реабилитация после лечения продолжается около 2-2,5 месяцев.
В это время необходимо осуществлять передвижение только при помощи костылей.
На вытяжении пациенту необходимо оставаться до 6-8 недель, а затем нога должна находиться в гипсовой бедренной повязке. Консервативный метод подразумевает нахождение пациента под непрерывным наблюдением врача, который следить за состоянием больного и за тем, как проходит срастание кости.
Оперативное лечение
Данный метод подразумевает хирургическое вмешательство, благодаря чему пострадавший через короткий срок уже способен вернуться к нормальной жизни. После лечения в течение 2,5 месяцев противопоказаны большие нагрузки.
При оперативном лечении обломки кости фиксируют с помощью штифтов из металла, скоб или пластин. К положительному моменту можно отнести то, что после операции не требуется иммобилизация.
Пациент уже в скором времени может передвигаться с помощью костылей.
Основная нагрузка распределяется на вставленные имплантанты, благодаря чему пострадавший способен сам двигаться через три-четыре недели после проведенной операции.
Однако у этого метода есть ряд противопоказаний:
- Тяжелые заболевание сердца.
- Сахарный диабет.
- Почечная или сердечная недостаточность.
- Тромбофлебит.
- Подагра.
- Атеросклероз.
Реабилитация
В период реабилитации для полного восстановления применяют определенную терапию, состоящую из следующих процедур:
- Физиотерапии.
- Лечебной гимнастики.
- Массажа.
- Правильного питания.
- Приема медикаментозных препаратов, содержащих кальций.
Реабилитация продолжается в течение нескольких месяцев. Если пострадавшему своевременно была оказана помощь, и лечение прошло успешно, то после восстановительного периода человек может вернуться к полноценной жизни.
Подобная травма является очень опасной, особенно для людей преклонного возраста. Поэтому при возникновении данного повреждения необходимо сразу же вызывать скорую помощь. При должном лечении и соблюдении всех рекомендаций врача выздоровление проходит без возникновения осложнений.
Источник: https://PerelomaNet.ru/perelomy/chrezvertelnyj-perelom-bedrennoj-kosti.html
Чрезвертельный закрытый перелом правой бедренной кости со смещением
НАШИ ЧИТАТЕЛИ РЕКОМЕНДУЮТ!
Перелома бедра – это тяжелая травма опорно-двигательного аппарата, которая требует длительного лечения и реабилитации.
Повреждение бедренной кости может локализоваться в области эпифизов (верхнего и нижнего конца кости) или диафиза (тела кости). От расположения травмы зависят клинические проявления, особенности терапии и прогноз для выздоровления.
Перелом бедра встречается в 6-10% случаев среди повреждений костей скелета. В МКБ 10 травме присвоен код S72.
Анатомическое строение бедренной кости
Бедренная кость представляет собой самую крупную трубчатую кость в скелете человека. Она состоит из верхнего и нижнего эпифиза, между ними находится диафиз.
Верхний конец кости представлен головкой бедра, соединенной с диафизом посредством тонкой шейки.
Слабое кровоснабжение головки бедра, особенно в пожилом возрасте, ухудшает заживление внутрисуставных переломов в области тазобедренного сочленения.
Головка бедра располагается в вертлужной впадине таза и образует тазобедренный сустав, ограниченный суставной капсулой.
Суставные поверхности костей покрыты слоем гиалинового хряща, который отвечает за амортизацию, плавность и безболезненность движений в сочленении.
Ниже головки, за пределами линии прикрепления капсулы сустава, находятся костные бугры – большой и малый вертел, к которым крепятся мышцы.
В области бедра располагаются крупные мышцы, проходит бедренная артерия и бедренный нерв.
Анатомическое строение бедра обуславливает тяжелые последствия перелома бедренной кости, который часто сопровождается смещением костных отломков, массивным кровотечением и нарушением иннервации нижней конечности.
Разновидности переломов бедренной кости
Повреждение бедренной кости может возникать в области верхнего эпифиза, нижнего эпифиза или диафиза. Разлом верхнего конца бедра делится на внутрисуставной (перелом тазобедренного сустава) и внесуставной (межвертельный и чрезвертельный перелом бедра).
Иногда возникают изолированные травмы малого и большого вертела с отрывом от основной части кости. Разлом нижнего конца кости всегда бывает внутрисуставной (перелом латерального или медиального мыщелка).
Дефект тела кости занимает до 40 % всех травм бедра и часто сопровождается болевым шоком, массивным кровотечением и смещением отломков с повреждением окружающих мягких тканей.
Переломы верхнего конца бедра
Переломы тазобедренного сустава включают повреждение головки и шейки. Они чаще встречаются в пожилом возрасте и возникают на фоне возрастного снижения плотности костной ткани (остеопороза). Чем выше повреждение локализуется в эпифизе бедра, тем сложнее образование костной мозоли и ниже эффективность консервативного лечения.
По локализации линии перелома выделяют следующие виды травм:
- базисцервикальные – дефект костной ткани располагается у основания шейки бедра;
- трансцервикальный – дефект костной ткани проходит через шейку;
- субкапитальный – дефект костной ткани локализуется у основания головки;
- капитальный – дефект костной ткани располагается в головке бедра.
Субкапитальное и капитальное повреждение редко срастается после консервативной терапии и требует проведения операции.
Подробную информацию о переломе шейки бедра можно посмотреть здесь.
Межвертельный и чрезвертельный перелом бедра располагается вне области тазобедренного сустава. Он чаще встречается у молодых людей при возникновении высокоэнергетической травмы (автомобильная авария, падение с большой высоты). Иногда формируется полное отделение большого вертела от бедренной кости, повреждение малого вертела встречается гораздо реже.
Симптомы перелома верхнего эпифиза бедра:
- боль различной интенсивности во время и после травмы;
- усиление болевого синдрома при попытке опереться на пятку поврежденной ноги и при изменении положения тела в постели;
- ощупывание тазобедренного сустава и поколачивание по пятке (осевая нагрузка) на стороне травмы вызывает усиление боли;
- укорочение поврежденной конечности (при смещении костных отломков);
- симптом «прилипшей» пятки – невозможности самостоятельно поднять травмированную ногу над кроватью;
- ротация (поворот наружу) ноги в положении больного на спине;
- нарушение опорной и двигательной функции нижней конечности;
- хруст при движении поврежденной конечностью.
Внесуставные переломы вызывают более массивный отек мягких тканей и образование гематом. При таких повреждениях обычно наблюдают интенсивный болевой синдром в состоянии покоя. Внутрисуставные травмы не приводят к появлению кровоподтеков и вызывают боль при движении в тазобедренном сочленении.
Переломы тела бедра
Повреждения диафиза бедренной кости обычно регистрируют у пациентов молодого и зрелого возраста.
Переломы возникают при воздействии травмирующего фактора высокой силы: падение с большой высоты, дорожно-транспортное происшествие (ДТП), прямой удар тупым предметом, нарушение техники безопасности во время труда и занятий спортом.
Особенности анатомического строения бедра в этой области способствуют смещению костных отломков, возникновению массивной кровопотери (гематомы до 2 литров), повреждению крупных нервных стволов.
Перелом бедренной кости со смещением может быть закрытый и открытый. В первом случае отломки кости не сообщаются с внешней средой, во втором – костные отломки вызывают образование раны.
Травма имеет тяжелое течение и вызывает развитие осложнений (жировая эмболия, геморрагический шок, сепсис).
Перелом бедра со смещением возникает в результате воздействия крупных бедренных мышц, которые тянут на себя костные отломки и приводят к повреждению окружающих мягких тканей (сосудов, нервов).
Симптомы перелома диафиза:
- болевой синдром высокой интенсивности, который усиливается при движении поврежденной конечности;
- укорочение травмированной ноги;
- деформация в участке повреждения;
- неестественное положение нижней конечности;
- патологическая подвижность ноги;
- отек и гематома в области травмы;
- возникновение болевого и геморрагического шока.
Повреждение может локализоваться в верхней, средней и нижней трети бедра. Образование оскольчатых переломов и возникновение осложнений ухудшает прогноз заболевания, усложняет лечение и реабилитацию после травмы.
Переломы нижнего конца бедра
Повреждения латерального и медиального мыщелка бедра относятся к внутрисуставным переломам, при которых нарушается анатомическое строение коленного сустава.
Они развиваются вследствие падения на колено или прямого удара тупым предметом в область нижней трети бедра. Травмы могут протекать со смещением и без смещения отломков кости.
При этом мыщелки перемещаются вверх и в сторону от своего физиологического положения.
Симптомы перелома нижнего эпифиза бедра:
- боли в области колена и нижней части бедра в состоянии покоя;
- болевые ощущения усиливаются при движении в коленном суставе;
- увеличение колена в объеме за счет образования кровоизлияния в сустав (гемартроз);
- симптом флюктуации надколенника (баллотирования надколенника при надавливании);
- нарушение двигательной активности поврежденной ноги;
- отклонение голени кнаружи при повреждении латерального мыщелка;
- отклонение голени кнутри при повреждении медиального мыщелка.
Повреждения коленного сустава могут приводить к тяжелым последствиям: анкилозу (неподвижности сочленения), артрозу, инфицированию. Несвоевременная диагностика, неправильная методика лечения и реабилитации приводят к возникновению инвалидности.
Оказание неотложной помощи
При подозрении на перелом бедренной кости необходимо вызвать карету скорой помощи. Своевременная диагностика и терапия улучшают прогноз заболевания и снижают риск появления осложнений.
В арсенале медиков скорой помощи есть необходимые транспортные шины для иммобилизации поврежденной ноги и лекарственные препараты (инфузионные растворы, анальгетики) для поддержания удовлетворительного состояния пострадавшего на пути в лечебное учреждение.
При повреждении диафиза кости часто возникает массивное внутреннее (при закрытых переломах) или наружное (при открытых травмах) кровотечение, развивается болевой шок, что требует оказания неотложной помощи.
Для транспортной иммобилизации бедра применяют деревянные шины Дитерихса, проволочные шины Крамера, пневматические шины. Их накладывают по боковым поверхностям поврежденной конечности, обездвиживая тазобедренный, коленный и голеностопный сустав.
Шины Дитерихса и Крамера по внешней поверхности ноги располагают от подмышечной впадины до стопы, а по внутренней поверхности – от паховой области до стопы.
Иммобилизация травмированной нижней конечности предупреждает смещение костных отломков и повреждение мягких тканей бедра во время транспортировки.
В случае невозможности вызвать карету скорой помощи пострадавшего необходимо самостоятельно доставить в больницу. Перед транспортировкой больному оказывают первую помощь.
При наружном кровотечении накладывают жгут выше раны.
Для предотвращения болевого шока пострадавшему дают обезболивающий препарат (анальгетик, негормональное противовоспалительное средство). В случае отсутствие медицинских шин применяют импровизированные приспособления для транспортировки больного. Для этого используют подручные средства – палки, доски, плотный картон. В крайнем случае прибинтовывают больную конечность к здоровой ноге.
Диагностика, лечение, реабилитация
Для подтверждения перелома в области бедра проводят рентгенологическое обследование в прямой и боковой проекции. Инструментальная диагностика помогает выявить локализацию травмы, смещение костных отломков, образование костных осколков. При внутрисуставных переломах в тяжелых диагностических случаях назначают сцинтиграфию сочленения и магнитно-резонансную томографию (МРТ).
Для лечения травмы бедра применяют консервативный и хирургический методы. Консервативная методика включает наложение гипсовой повязки и скелетное вытяжение.
Лечение путем гипсования конечности используют при переломах без смещения или невозможности применить другие виды терапии (скелетное вытяжение, остеосинтез).
При смещении отломков кости предварительно проводят восстановление физиологического положения бедра – репозицию.
Гипсовую повязку накладывают на всю нижнюю конечность, захватывая область живота и ягодиц. Лечебная иммобилизация назначается на срок 2-4 месяца в зависимости от тяжести травмы.
Длительное обездвиживание вызывает контрактуру суставов ноги, атрофию мышц, застойные явления в легких, тромбоз вен нижних конечностей.
Наиболее тяжело такой вид терапии переносится пожилыми пациентами, что может вызвать смертельный исход в течение года после травмы.
При большинстве внутрисуставных и внесуставных переломах бедра со смещением назначают оперативное вмешательство. Хирургическое лечение предупреждает развитие нежелательных последствий: несращение перелома, образование ложного сустава, некроз головки бедра, укорочение ноги.
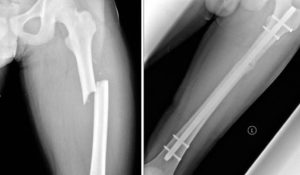
Для этого применяют остеосинтез, который заключается в закреплении костных отломков металлическими штифтами, винтами, пластинами. При оскольчатых травмах левого и правого бедра используют аппарат внешней фиксации типа Илизарова. Крепления для остеосинтеза обычно убирают через год после операции.
Аппарат Илизарова ставят на срок от 1,5 до 4 месяцев.
При переломах шейки бедра применяют протезирование тазобедренного сустава. Такой метод терапии особенно актуален для больных пожилого возраста, у которых кости редко срастаются при консервативном лечении.
Эндопротезирование назначают и молодым пациентам при смещении костных отломков, чтобы предотвратить развитие инвалидности и восстановить нормальную двигательную активность после травмы.
Без операции лечат внесуставные переломы и внутрисуставные повреждения без смещения костных отломков.
Реабилитационные мероприятия начинают с первых недель наложения гипса и скелетного вытяжения, в ранний послеоперационный период. Проводят дыхательную гимнастику для предупреждения застойной пневмонии, пассивные и активные движения в здоровых конечностях, массаж тела для улучшения кровотока и метаболизма в тканях.
После заживления ран, снятия гипса и скелетного вытяжения расширяют программу лечебной физкультуры (ЛФК) для поврежденной конечности, назначают физиопроцедуры (фонофорез, диадинамические токи, магнитотерапию).
Перелом бедра относится к тяжелой травме костей скелета. Для восстановления двигательной активности ноги необходима своевременная диагностика и проведение терапии, согласно тяжести травмы. Позднее обращение к врачу, неправильно подобранный метод лечения и отказ от реабилитации ухудшают прогноз заболевания и приводят к развитию инвалидности.
Источник: http://med.lechenie-sustavy.ru/sustavyi/chrezvertelnyj-zakrytyj-perelom-pravoj-bedrennoj-kosti-so-smeshheniem/
Поделиться:


