Грыжи межпозвоночных дисков л4-л5, л5-с1 – причины, симптомы, лечение
Пока человек сам не столкнется с каким-либо заболеванием, жалобы других людей на плохое здоровье вызывают у него живое сочувствие, но не понимание. Лишь обнаружив у себя похожие симптомы, он ощущает всю тяжесть болезни.
К таким сложным и распространенным патологиям относятся позвоночные грыжи, представляющие собой выступание пульпозного ядра в разрывы и трещины фиброзного кольца, окружающего плотным «обручем» хрящевые центральные ткани.
Больше половины людей на планете старше 30 лет сталкиваются с данной патологией. Грыжи дисков л4-л5 и л5-с1 образуются в поясничной и пояснично-крестцовой зоне и диагностируются чаще всего.
Какие причины способствуют развитию болезни
Стереотип, основанный на том, что болезнями позвоночника страдают лишь люди с неправильной осанкой – складывается на незнании причин, приводящих к грыже, последствия которой могут быть тяжелыми и необратимыми.
Развитие патологии происходит вследствие нарушения обмена веществ в тканях позвоночника и сильного давления, возникающего при динамических и статических нагрузках.
В результате межпозвоночные диски теряют амортизационные свойства, в них образуются трещины. Ткань ядра устремляется в эти пустоты.
- Переохлаждение организма.
- Ежедневная длительная (на протяжении 4-5 часов) работа в сидячем положении (позвоночник в этой позе испытывает двойную нагрузку).
- Инфекционные тяжелые заболевания, ослабляющие иммунную систему и вносящие «диссонанс» в слаженную работу внутренних органов.
- Наследственная предрасположенность, при которой в костных тканях начинают развиваться дистрофические процессы, которыми страдали родственники по материнской или отцовской линии.
- Тяжелые физические нагрузки (сюда можно отнести как усиленные физические тренировки, так и тяжелую работу, связанную с подъемом тяжестей).
- Возрастные изменения (организм начинает стареть уже с 23-25 лет, и это неизбежно сказывается на тканях позвоночника, хотя при соблюдении необходимых мер профилактики можно до глубокой старости сохранить его гибкость и подвижность).
- Заболевания опорно-двигательного аппарата (остеохондроз, кифоз, лордоз, остеопороз и др).
Почему грыжи дисков л4-л5 и л5-с1 становятся причиной физических мучений, и с ними в-основном связаны жалобы больных, проходящих стационарное и амбулаторное лечение?
Область поясницы – самая гибкая и подвижная по сравнению с другими участками позвоночника. Его сегменты в этом отделе меньше по высоте и шире по диаметру, чем позвонки грудной и шейной зоны.
Ткани диска в поясничном отделе выдерживают вес верхней половины туловища и, помимо этого, подвергаются ежедневным дополнительным нагрузкам, связанным с рабочей деятельностью.
Симптомы
Грыжа вызывает быстро усиливающиеся, резкие, простреливающие боли. Связано это с тем, что грыжевой мешок может сдавливать спинно-мозговой канал и задевать нервные окончания. В области поясницы возможно развитие состояния, называемое «конский хвост».
Защемление пучка нервных корешков вызывает парезы, онемение тканей, потерю чувствительностей тканей нижних конечностей, вегетативные нарушения и целый комплекс других симптомов, которые могут привести к частичному или полному параличу ног, нарушениям функций мочевого пузыря, проблемам с потенцией и другое.
Большую угрозу для здоровья представляют парафораминальная левосторонняя и правосторонняя грыжи межпозвонковых дисков. «Пара» в переводе с греч. значит «возле, мимо, около».
Анатомическое пространство, куда выступают пучки нервных окончаний, связанных со спинным мозгом, называется фораминальным.
Направление – левосторонняя или правосторонняя – сообщают, на какой стороне позвонка развивается патология.
Если с левой стороны – могут нарушаться функции левой ноги, с правой – тревожная симптоматика распространяется на правую конечность.
Традиционные и нетрадиционные методы терапии
При остром приступе больного укладывают на горизонтальную поверхность, под шею и под слегка согнутые колени подкладывают валики. Иммобилизация больного отдела на несколько дней уменьшает выраженность болевых ощущений.
Прием анальгетиков, нестероидных противовоспалительных препаратов останавливает развитие воспаления и купирует болевой синдром.
Миорелаксанты расслабляют мышечный пояс, охватывающий поясничный отдел позвоночника.
Спустя несколько дней, когда больной чувствует себя намного лучше, и развитие воспалительного процесса прекратилось – приходит черед физиопроцедур, мануальной терапии, ЛФК.
Упражнения выполняются с большой осторожностью, ведь любое неверное действие может привести к смещению позвонков.
К нетрадиционным методам относится гирудотерапия, воздействие на акупунктурные точки, озонотерапия и другое.
К современным эффективным способам относится лечение лазероиглоукалыванием. Лазерный луч направляется на активную точку на теле и воздействует на нее в течение определенного времени.
Благодаря нервным импульсам в головной мозг поступает сигнал, и тот отправляет организму команду на самовосстановление.
Если во время операции применяется горячее излучение (вапоризация), то при лазерной акупунктуре – холодные лучи, целью которых является регенерация тканей.
Эти и другие способы, применяемые в комплексе, позволяют успешно пройти курс лечения и реабилитации, после которых пациент соблюдает меры профилактики на протяжении всей оставшейся жизни.
Отказ от ответственности
Информация в статьях предназначена исключительно для общего ознакомления и не должна использоваться для самодиагностики проблем со здоровьем или в лечебных целях. Эта статья не является заменой для медицинской консультации у врача (невролог, терапевт). Пожалуйста, обратитесь сначала к врачу, чтобы точно знать причину вашей проблемы со здоровьем.
Источник: https://osteohondrosy.net/gryzhi-mezhpozvonochnykh-diskov-l4-l5-l5-s1-prichiny-simptomy-lechenie.html
Виды межпозвоночных грыж поясничного отдела
По размеру части грыжи, выступающей за пределы позвонка, образования подразделяют на:
- Протрузию – грыжевое выпячивание не превышает 3 мм.
- Пролапс – выпячивание составляет 3-5 мм, в этой стадии могут развиваться клинические симптомы заболевания.
- Развитая грыжа – выбухание диска составляет более 6 мм. При этом часто фиброзное кольцо разрывается, студенистое ядро выходит наружу, формируется секвестрация диска.
По строению образования бывают:
- свободная, то есть сохранена связь структуры и межпозвоночного диска;
- блуждающая или секвестрированная грыжа полностью утрачивает связь с пораженным диском, она перемещается в спинномозговом канале и опасна из-за риска сдавления нервов;
- перемещающаяся – образование то смещается, то возвращается на место.
Стоит отметить, что на практике встречаются несколько грыж различных видов и локализаций. И с определение характера поражения начинается выработка тактики лечения пациента.
Позвоночная грыжа классифицируется зависимо от локализации, размеров, течения патологии, анатомического расположения. МРТ диагностика позволяет одновременно выявить отношение грыжи к каждому классу.
Все грыжевые выпячивания в пояснице разделяются по нескольким параметрам.
По степени выпячивания
- Протрузии – выпячивания до 3 мм.
- Пролапс – фиброзное кольцо выходит за пределы позвонка в рамках 3-5 мм.
- Развитые грыжи, когда разрывается оболочка диска.
Какие виды грыж поясничного отдела существуют
Начнем обзор видов грыж поясничного отдела с классификации по месту их расположения. Для этого нужно знать хотя бы в общих чертах анатомия позвонков и разделяющих их межпозвонковых дисков.
Какие структурные части существуют и чем опасно то или иное расположение грыжевого выпячивания, разберём далее в статье.
Официальная медицина не имеет возможности проводить эффективное консервативное лечение остеохондроза и его осложнений в виде протрузии и грыжевого выпячивания межпозвонкового диска.
Грыжа диска позвоночника — Лечение грыжи диска позвоночника
Проводится симптоматическая терапия в виде курсов противовоспалительных препаратов, приводящих к устранению болевого синдрома. Иногда используются хондропротекторы.
Поэтому данные препараты ставить абсолютно бесполезно. Единственный способ их эффективного использования в лечении грыжи диска – это в сочетании с методами мануальной терапии.
Виды поясничной грыжи
В зависимости от направления смещения пульпозного ядра диска грыжи бывают:
- Передними.
- Задними.
- Боковыми.
Основной жалобой является боль. Выпячивание дисков (протрузия) с их дальнейшим выпадением в просвет позвоночного канала (грыжа межпозвоночного диска) чаще всего приводят к компрессии нервных корешков, вызывая боли по ходу сдавливаемого нерва.
Поэтому боли могут «отдавать» в ногу, руку, затылок, шею, межрёберные промежутки (в зависимости от сдавливаемого нерва) с ослаблением силы мышц, а также мышечными болями в участках их иннервации и нарушением чувствительности.
Чаще всего при этом от сдавливания страдают седалищные нервы в виду их анатомического местоположения.
Для латеральной грыжи межпозвоночного диска Л4-Л5 характерны прострелы (люмбаго). Крайними его проявлениями будут состояния, когда больной застывает в определенной позе, не может разогнуться или повернуться.
Позвоночный столб состоит из следующих отделов: шейный, грудной, поясничный, крестцовый, копчиковый. Все они включают в себя определённое количество позвонков, в шейном 7, в грудном 12, в поясничном 5, в крестцовом 5, и в копчиковом 4-5.
Диагностика и лечение
Поставить правильный диагноз и назначить лечение может только квалифицированный врач с помощью современных методов диагностики.
Лечение заболевания проводится как с помощью медикаментов, позволяющих снять болевой синдром и воспаление, так и при помощи хирургического вмешательства. Как дополнительные методы могут применяться физиопроцедуры, ЛФК, мануальная терапия и массаж.
Паховая грыжа — причины, симптомы, диагностика и лечение
Диагноз заболевания ставится при наличии описанных выше симптомов. Таким больным необходима консультация невролога.
Факторы риска
Помимо естественной дегенерации дисков, которая происходит с возрастом, существуют другие факторы, которые могут увеличить вероятность появления грыжи дисков поясничного отдела. Их знание поможет вам избежать некоторых из них и предотвратить будущие проблемы с поясницей.
Профилактика
Каждое заболевание проще предупредить, нежели лечить. Особенно это касается людей находящихся в группе риска.
Для предотвращения появления заболевания следует вести здоровый, активный образ жизни, правильно питаться и по возможности заниматься физкультурой и спортом.
В случае если работа по подъему тяжестей неизбежна, нужно уделить особое внимание технологии поднятия груза, которая будет предусматривать равномерное распределение нагрузки на позвоночный столб.
Поскольку в развитии заболевания немаловажный фактор играет наследственность, то логично заниматься всей семьей, привлекая, в том числе детей. Ведь только здоровая семья может быть счастливой.
Протрузия диска — 1 стадия формирования грыжи межпозвоночного диска, во время которой происходит повреждение внутренних волокон фиброзного кольца без разрыва внешней оболочки, которая удерживает студенистое ядро в своих границах, образуют подвижный фрагмент.
На этом этапе принято считать, что процесс формирования межпозвоночной грыжи закончен.
В случае прерывания связи основной части пульпозного ядра с вышедшим фрагментом происходит секвестрация (фрагментирование), вышедшей в спинномозговой канал части пульпозного ядра. В дальнейшем, возможно, частичное рассасывание с рубцеванием ткани в месте разрыва фиброзного кольца.
Опасные виды межпозвоночных грыж поясничного отдела
Поясничная грыжа неприятна как сама по себе, поскольку вызывает болезненные ощущения и ограничивает подвижность человека, так и опасна своими последствиями.
Она может вызвать воспалительные процессы, которые приводят к нарушению двигательной функции нижних конечностей, поражению, а затем и атрофии мышечной ткани и даже проблемам в тазовой области.
А длительное воздействие на нервные корешки может привести к нарушениям в работе нервной системы вплоть до полного паралича.
Суть заболевания
В пояснично-крестцовом отделе расположено большое количество нервных окончаний, а патология, сдавливая их, вызывает множественные симптомы:
- сильную боль в области поясницы;
- болезненные ощущения (прострелы) по ходу расположения сдавливаемых нервных корешков;
- нарушение чувствительности поясницы, нижних конечностей, проблемы с органами таза;
- слабость, утрату чувствительности стопы, бедра, ноги;
- изменение походки, затрудненность передвижения.
Восстанавливать целостность диска медицина пока не умеет. Лечение лишь остановит дальнейшее прогрессирование болезни, снимет болевые ощущения.
Источник: https://osankasovet.ru/gryzha/vidy-mezhpozvonochnykh-gryzh-p.html
Грыжа межпозвоночного диска L4 L5
Диагноз грыжа диска L4 L5 ставят, когда развивается патологическое нарушение в области этих позвонков.
Такое нарушение встречается в половине случаев поражения поясничного отдела, при этом заболевание характеризуется выраженными симптомами, при которых человек частично утрачивает способность нормально передвигаться.
Грыжа межпозвоночного диска Л4 Л5 требует соблюдения комплексной схемы терапии, которая в обязательном порядке согласуется с доктором.
Грыжа диска L4, L5 – крайне болевое и опасное явление, которое существенно влияет на способность человека нормально передвигаться.
Этиология и патогенез
Межпозвоночная грыжа поражает крестцовый отдел позвоночника вследствие малоподвижного и сидячего образа жизни, в результате которого происходит обезвоживание диска.
При таком нарушении диск недостаточно снабжается нутриентами и кислородом, он постепенно смещается и деформируется, при этом сопутствующие признаки проявляются не сразу.
Сначала развивается протрузия L4 S1 и L5 S1 и, если выпавшая грыжа не лечится своевременно, ее размеры увеличиваются, возникают тяжелые осложнения.
К основным факторам риска развития патологии относят:
- нарушение обменных функций;
- неполноценное питание и жесткие диеты;
- постоянные переохлаждения;
- тяжелые травмы позвоночного столба;
- остеохондроз и сколиоз;
- дисплазия тазобедренного сустава;
- большой вес.
Существующие формы патологии и характерные симптомы
Грыжа межпозвонкового диска бывает разных видов, которые отличаются между собой характером развития и сопутствующими симптомами. Различают следующие разновидности патологии:
Грыжа диска L4, L5 будет вызывать боль в пояснице, деформацию позвоночника.
- Дорзальная. Характеризуется выдвижением пульпозного ядра внутрь канала позвоночника, в результате чего задеваются волокна нервов. Медианно-парамедианная или медианная отличается поражением нервных окончаний конского хвоста. Заднебоковая грыжа раздражает нервные ткани с одной или обеих сторон. При такой патологии наблюдается:
- изменение чувствительности нижних конечностей, слабость;
- половая дисфункция;
- непроизвольное мочеиспускание и дефекация.
- Фораминальная. Представляет собой протрузию содержимого, размещающегося между позвонков, в область спинномозгового канала, при этом наблюдается патологическое левостороннее или правостороннее отклонение с раздражением нервных корешков. Человека беспокоят:
- боли в месте локализации нарушения;
- дискомфорт и покалывание при резких сокращениях мышц, например, при кашле, чихании или смехе.
- Боковая. Отличается выдвижением диска вбок, при этом неприятные признаки зачастую отсутствуют.
- Свободная. Поражается задняя продольная связка, через которую выпячивается ядро, однако анатомические связи с диском не нарушены. Беспокоят:
- боли в месте пораженного позвонка;
- отечность нижних конечностей.
Другие разновидности
Также выделяют другие формы межпозвоночной грыжи:
- Перемещающаяся. Основная причина патологии — чрезмерные физические нагрузки. Нарушение сопровождается резкими болями при движении и нормализацией самочувствия в спокойном состоянии.
- Секвестральная. При такой патологии фрагмент диска отрывается, вследствие чего спинной мозг сдавливается и развивается аутоиммунное воспаление. Характерные признаки:
- острые прострелы в области отдела крестца;
- распространение дискомфорта в ногу и боковую бедренную поверхность;
- слабость и онемение конечности;
- в тяжелых случаях — паралич.
Применение медикаментозных препаратов
При грыже диска L4, L5 принимаются обезболивающие препараты.
Срединная грыжа, поразившая позвонок крестцового отдела на начальной стадии развития, лечится при помощи консервативной терапии.
В первую очередь важно ослабить болевой признак, снять спазмы в мышцах и отеки. Для расслабления каркаса мышц применяются миорелаксанты.
После того как острые симптомы будут сняты, больному показано выполнять комплекс физупражнений, которые помогут укрепить мышечный корсет и не давать диску смещаться.
Полезные упражнения при грыже диска L4 L5
Лечение такой патологии не обходится без подключения лечебной физкультуры, при помощи которой удастся нормализовать состояние и исключить развитие рецидивов.
Если диагностирована центральная грыжа дисков на уровне L4 L5, упражнения важно делать под контролем врача, который также поможет составить схему и определить интенсивность нагрузок. Важно исключить сильную нагрузку на позвонок, поэтому предпочтение отдается приседаниям, наклонам, махам и выпадам.
Занятия проводятся в лежачем положении или на специальных тренажерах, предназначенных для укрепления позвоночника при таких патологиях.
Когда без операции не обойтись?
Если протрузия приобрела большие размеры, превышающие 9 мм, проводится оперативное лечение. Самые распространенные виды операции, применяемые при этой патологии:
- микродискэктомия, при которой удаляется вся грыжа;
- эндоскопия считается эффективным и малотравматичным способом, при этом удаление грыжи проводят через маленькие проколы;
- нуклеопластика заключается в воздействии на пораженный участок импульсов холодной плазмы;
- имплантация, при которой на место извлеченного диска устанавливается искусственный имплант.
Благодаря оперативному вмешательству удастся быстро снять все неприятные симптомы, однако есть риск рецидива, потому что первопричина развития такого нарушения так и не устранена.
Другие способы
Помимо медикаментозной терапии и специальных упражнений, в качестве вспомогательной терапии рекомендуется применить следующие методы:
- пиявкотерапия;
- инъекции озона;
- уколы на основе гомеопатических препаратов, благодаря которым активируется снабжение дисков необходимыми элементами.
Болезнь не так страшна и опасна, если к ее лечению приступить грамотно и своевременно.
Поэтому при постоянных болях в спине и нарушении чувствительности конечностей важно не заниматься лечением самостоятельно, а немедленно идти к врачу, и при подтверждении диагноза приступать к комплексной терапии.
Вовремя проведенные лечебные мероприятия помогут устранить патологию и избежать хирургического вмешательства, которое в любом случае негативно сказывается на самочувствии и работоспособности больного.
Как избежать патологии?
Избежать грыжи диска L4, L5 можно только нормированием нагрузок на позвоночник.
При склонности к образованию грыжи позвоночника, важно постоянно следить за здоровьем, заниматься спортом и стараться вести активный образ жизни.
Избежать рецидивов поможет курс лечебного массажа, правильное питание и отказ от вредных привычек. При неприятных симптомах не стоит затягивать с визитом к врачу, ведь незапущенная стадия лечится намного проще и быстрее.
Источник: http://EtoSustav.ru/kila/raznovidnosti/gryzha-diska-l4-l5.html
Грыжа диска L5-S1: можно ли вылечить без операции
Самая большая нагрузка падает на пояснично-крестцовый отдел позвоночника. Анатомически последний пятый поясничный позвонок соединяется с первым крестцовым. Крестец — кость из пяти сросшихся позвонков, входящая в кольцо таза. С обеих сторон соединяется с подвздошными костями при помощи крестцово-подвздошных сочленений.
Из 23 имеющихся у человека межпозвоночных дисков последний находится именно между последним поясничным и первым крестцовым позвонками. Грыжа диска L5 S1 не единственная, но самая частая (90%) причина болезненности спины. Эта проблема чаще беспокоит мужчин старше 40 лет.
Причины возникновения межпозвоночной грыжи L5-S1
Изучавшие строение межпозвонкового диска ученые пришли к выводу, что это образование выполняет роль полусустава, повышающего функциональную роль позвоночника. Сверху и снизу он покрыт гиалиновыми пластинами, соединенными с замыкательными пластинами тел позвонков, позволяющим поддерживать питание диска по мере перехода из детства во взрослое состояние.
Для поддержания питания необходимо задействовать мышцы спины. Роль пластин еще в том, что они не дают дисковым тканям проникать в соседние позвонки. У ребенка между гиалиновыми пластинами расположено полужидкое пульпозное ядро, состоящее из протеинов и полисахаридов,притягивающих воду. Оно окружено фиброзным кольцом из коллагеновых и эластических волокон.
Природой запрограммировано так, что с возрастом ядро теряет вязкость, прооисходит его дегидратация, диск у взрослого человека уплотняется и теряет упругость. 70% незадействованных у большинства людей мышц спины постепенно атрофируются, что способствует дисковому обезвоживанию.
Возникает всем известное дегенеративное заболевание остеохондроз, последствием которого являются трещины, разрывы фиброзного кольца, через которые выпячивается пульпозное ядро. В зависимости от того, куда направлено выпячивание, происходит сдавление нервных корешков. Это вызывает боли и другие симптомы.
Факторы риска
Прогрессированию остеохондроза, как основной причины развития грыжевого выпячивания способствуют следующие факторы:
- неблагоприятные условия работы, связанные с длительным сидением, наклонами, неудобной позой или с подъемом тяжестей;
- механические воздействия на позвоночник;
- искривление позвоночика;
- болезни тазобедренного сустава (дисплазия);
- ожирение и слабость мышц;
- лишний вес спортсменов за счет развития мышц;
- отказ от здорового образа жизни в пользу интенсивного курения и употребления алкоголя;
- инфекции;
- наследственная предрасположенность.
Виды
Место расположения грыж определяется латинскими буквами, обозначающими отдел позвоночника и цифрами, указывающими на порядковый номер позвонка. Например, грыжа позвоночника L5 S1 говорит о том, что поражен межпозвоночный диск между пятым поясничным и первым крестцовым позвонком. В зависимости от наличия воспаления или ущемления корешка различают радикулит и люмбоишалгию.
По локализации грыжевого выпячивания внутри диска различают такие виды:
- передние или вентральные;
- задние или дорзальные.
Задний вид разделяется на:
- фораминальные, при которых страдают корешки, проходящие через фораминальные отверстия остистых отростков позвонков;
- медианные или срединные , при которых выпячивание идет в сторону позвоночного канала в медиальном направлении;
- парамедианные или околосрединные, выпячивание в сторону канала рядом со срединным или парамедиальным направлением.
При фораминальных страдает корешок с одной из сторон, поэтому выделяют левосторонний или правосторонний радикулит (люмбоишалгию).
Размер тоже позволяет выделить несколько видов:
- до 5 мм — небольшие;
- до 8 мм — средние;
- до 12 мм — большие;
- свыше 12 мм — сверхбольшие. При таком виде показана операция.
Симптомы
Основные симптомы сводятся к следующим:
- болезненность;
- нарушения чувствительности;
- ограничения движений.
Боли носят разнообразный характер. Остро и внезапно возникающая боль в пояснице часто называют характерным словом «прострел». Они проходят в течение 1-2 недель. Им свойственно усиливаться при малейшем движении, кашле, чихании.
Могут быть длительные ноющие тупые боли, сопровождающиеся напряжением мышц. Это своего рода защитная реакция. Таким способом организм пытается удержать пораженный сегмент позвоночника в стабильном положении. Постоянное одностороннее напряжение мышц может приводить к сколиозу — искривлению позвоночника, что усугубляет степень выпячивания.
Болезненность может распространяться по боковым поверхностям ног, так называемые «лампасная» боль. Для многих поражений характерна иррадиация, они могут отдавать в ягодицу, в ногу вплоть до стопы.
Сдавление корешков вызывает нарушение чувствительности. Больной ощущает онемение, ползание мурашек, кожа на участке, иннервируемой этим корешком сухая, шелушится. Большой палец теряет чувствительность. Ограничение подвижности вследствие боли может иметь разные степени выраженности — от ограничения движений до паралича ног. При этом нарушаются сухожильные рефлексы.
У мужчин и женщин на фоне грыжи L5-S1 пояснично — крестцового отдела возникают симптомы нарушения половых и репродуктивных функций. Может появиться эректильная дисфункция, нарушение качества спермы, нарушения менструального цикла, бесплодие. Возможны проблемы мочеиспускания. Это связано со снижением кровообращения в органах малого таза.
Диагностика
Первичный осмотр грамотного врача невропатолога позволяет установить уровень поражения. Для уточнения диагноза применяются современные методы диагностики — УЗИ, КТ и МРТ. До сих пор актуально рентгенографическое обследование.
Есть необходимость дифференциальной диагностики с болезнью Бехтерева, заболеваниями органов малого таза, онкологическими заболеваниями. Из неврологических симптомов характерный для грыж ПКО — симптом натяжения Ласега — невозможность поднять выпрямленную ногу из положения лежа на спине.
Осложнения
Процесс формирования грыжи пятого позвонка поясницы протекает по определенным стадиям. Выпячивание и выбухание диска могут существовать длительное время, без перехода в секвестрацию.
Секвестрация — наиболее опасная стадия заболевания, позволяющая считать ее осложнением. При этом происходит полный отрыв ядра от межпозвонковых структур из-за разрыва продольной связки.
Ядро выпадает в сторону спиномозговых нервов, вызывая их сдавление.
Такое осложнение наблюдается у возрастных пациентов. Ядро становится свободным фрагментом.В случае рассматриваемого вида грыж оно секвестрирует в эпидуральное пространство, вызывая синдром конского хвоста.
Характерные жалобы — затруднение длительного нахождения за рулем и невозможность утром надеть носки.
Особенности лечения
Терапия грыжи L5-S1 чаще всего строится на консервативных методах, но бывает и хирургическое лечение . Выбор метода индивидуален, но на практике чаще выбор удается сделать в пользу консервативных методик. Решение о выборе тактики принимает врач после тщательного обследования больного.
Консервативная терапия
Самый распространенный методй терапии — медикаментозное лечение. Оно направлено на устранение болевого синдрома, улучшение микроциркуляции в пораженной зоне, устранение симптомов воспаления, снятие мышечного спазма, восстановление хрящевой ткани и регенерацию диска. Лечиться следует с применением таких средств:
- миорелаксанты;
- хондропротекторы;
- нестероидные противовоспалительные средства;
- обезболивающие препараты;
- витамины.
Медикаментозное лечение дает частичный эффект, результат улучшается, если проблему лечить комплексно. Широко применяют массаж и лечебную физкультуру. Массаж снимает боль, отек, улучшает подвижность поясничного отдела. Упражнения лечебной физкультуры предпочтительнее выполнять лежа на спине.
Йога при грыжах ПКО оказывает лечебный эффект при условии правильного выполнения асан под руководством мастера. Отзывы показывают, что йога безопаснее и полезнее в период реабилитации или как профилактические упражнения. При любой гимнастике противопоказания включают резкие движения — наклоны, сгибания, скручивания.
Активно внедряется в практику кинезиотерапия по методу доктора С.М. Бубновского. Начав выполнение в медицинком центре, больной получает рекомендации для продолжения занятий в домашних условиях.
Боли снимаются иглорефлексотерапией или блокадами местных анестетиков с гидрокортизоном. Народная медицина предполагает использование отваров и настоев, растирок и компрессов, лечебных ванн с травами.
Хирургическое лечение
Показание к операции:
- безуспешность консервативной терапии;
- сверхбольшие размеры;
- синдром конского хвоста.
Современная хирургия предлагает два способа удаления:
- можно проводить лазерную вапоризацию;
- можно удалять ядро с заменой на имплант.
После операции неврологическая симптоматика может сохраняться длительное время, что требует проведения полноценной реабилитации.
Профилактика
Соблюдайте основные требования, суть которых в следующем:
- правильное питание с упором на витамины и кальций;
- нет — гиподинамии;
Активные движения и дозированные нагрузки при занятии спортом и физическим трудом, цель которых — развивать мышечный каркас и задействовать неактивные спинные мышцы.
Мнение врачей
Предупредить развитие грыжи проще, чем заниматься ее лечением. Если уж случилось заболеть — не надо заниматься самолечением, помочь может только врач. Любые неосторожные массажные движения или работа неквалифицированного мануального терапевта может иметь непредсказуемые последствия.
Заключение
Частота указанной патологии требует повышенного внимания к соблюдению профилактических мероприятий, начиная с детского возраста.
Родителям следует тщательно следить не только за тем, что ест ребенок, но и как он проводит досуг. Альтернативой компьютеру должны стать подвижные игры на свежем воздухе, занятия спортом, плаванием.
Истина «Жизнь в движении» как нельзя более актуальна для сохранения подвижного здорового позвоночника.
Источник: https://TravmaOff.ru/sustavy/gryzha-diska-l5-s1.html
Симптомы и лечение грыжи межпозвоночного диска l4-l5 и l5-s1
Грыжа диска наглядно
Межпозвоночная грыжа представляет собой заболевание, при котором происходит разрыв фиброзного кольца в диске позвоночника. Следует упомянуть, что такая патология не возникает в один миг, ей предшествует протрузия. В результате такого процесса пульпозное ядро, находящееся в диске, выпячивается наружу и возникает секвестрированная межпозвоночная грыжа.
Зачастую болезнь возникает в поясничном отделе, что связано с большими физическими нагрузками на позвоночник. Ведь любое резкое движение или другие неблагоприятные факторы приводят к сильному давлению на позвоночный столб.
Если говорить о межпозвоночной грыже поясничного отдела, то стоит отметить, что чаще всего поражаются l4 l5 позвонки, поскольку именно они принимают и выдерживают всю физическую нагрузку на позвоночник в области поясницы.
Межпозвоночная грыжа 4 и 5 позвонков
Межпозвоночная грыжа диска l4 l5 создает проблему именно между этими позвонками поясничного отдела позвоночника. В медицинской практике 50% случаев приходится как раз на эти сегменты.
Если при возникновении межпозвоночной грыжи пульпозное ядро выскакивает из позвоночного столба, сдавливая твердую оболочку спинного мозга, то такая грыжа называется секвестрированная. Она требует незамедлительных действий специалиста. Для этого чаще всего используют оперативное лечение, ведь только в этом случае можно избежать серьезных осложнений в дальнейшем.
Дорсальная грыжа представляет собой выпячивание пульпозного ядра без разрыва фиброзного кольца. В этом случае также существует вероятность сдавливания нервных корешков и спинного мозга, поэтому в зависимости от ситуации врачи могут использовать как консервативное, так и оперативное лечение.
Развитие грыжи от дорсальной к секвестрированной
Основными причинами межпозвоночной грыжи l4 l5 позвонка считаются:
- Дегенеративные процессы в поясничном отделе позвоночника.
- Полученные травмы, в результате которых произошло смещение или другое повреждение позвонков.
- Нарушенный обмен веществ. Приводит к разрушению дисков и разрыву фиброзного кольца.
- Малоподвижный образ жизни. Провоцирует не только возникновение грыжи дисков, но и многих других заболеваний позвоночника.
- Возрастные изменения. С возрастом позвоночник человека изнашивается, разрушается костная структура всех сегментов, уменьшаются межпозвоночные промежутки, и как результат появляется компрессия дисков.
- Неправильное питание и вредные привычки. Существенно отражаются на общем состоянии здоровья, в том числе нарушая кровообращение в позвоночнике. А при недостаточном питании позвонков происходит их разрушение.
- Лишний вес. Увеличивает и так достаточно большую нагрузку на поясничный отдел позвоночника, чем провоцирует возникновение такой болезни, как грыжа диска l4 l5.
Независимо от того, какая грыжа появилась в поясничном отделе позвоночника, будь то дорсальная или секвестрированная, она требует незамедлительного лечения в стационаре.
Ведь подобная проблема не проходит сама по себе, а со временем лишь ухудшает состояние пациента, приводя к серьезным осложнениям и тяжелым последствиям.
Симптомы при грыже диска l4 l5
Скованность движений как симптом грыжи диска
Самым главным симптомом болезни является сильная боль в спине, усиливающаяся при любых движениях тела. Но кроме этого, существуют и другие признаки, свидетельствующие о такой проблеме, как дорсальная грыжа диска. К ним относятся:
- Скованность движений и принятие неестественной позы.
- Болевые ощущения в области поясницы.
- Боль, отдающая в ягодицы и бедра.
- Резкая боль в нижних конечностях при чихании или кашле.
Парамедианная грыжа диска l5 s1 означает, что проблема возникла между последним пятым позвонком поясничного отдела и первым сегментом крестцового. В зависимости от степени развития болезни и сопутствующих осложнений лечение может проводиться с помощью консервативных методов. Поэтому при первых же симптомах болезни обратитесь за помощью к специалисту.
Если грыжа диска l5 s1 привела к сдавливанию нервных корешков или спинно-мозгового канала, возникают следующие неврологические симптомы:
- Потеря чувствительности отдельных участков тела.
- Покалывание в нижних конечностях.
- Нарушение координации движения.
- Хромота.
- Паралич.
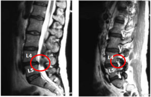
Грыжа отчетливо видна при МРТ-исследовании
Несмотря на то, что секвестрированная грыжа имеет достаточно ярко выраженные неврологические симптомы, она, как и любое другое заболевание в организме, требует тщательной диагностики.
В первую очередь, чтобы назначить правильное лечение, специалист должен провести общий осмотр пациента и определить необходимые процедуры для обследования.
В основном для уточнения диагноза врачи используют такие методы обследования, как:
- магнитно-резонансная томография;
- рентгенография;
- общий и биохимический анализ.
После подтверждения диагноза начинается лечение.
Дорсальная межпозвоночная грыжа диска l5 s1 зачастую на первых этапах ее возникновения может быть устранена с помощью консервативных методов лечения. Поэтому очень важно своевременно обратиться к врачу и провести диагностику возникающих симптомов.
Консервативное лечение в первую очередь направлено на купирование сильной боли, а затем уже восстановление позвоночника.
Для этого используются обезболивающие препараты, проводится иглоукалывание и вводятся специальные инъекции в поврежденную область спины. После устранения болевых ощущений специалисты назначают физиотерапевтические процедуры, такие как:
- массаж,
- лечебная гимнастика,
- вытяжка позвоночника,
- мануальная терапия,
- УВЧ, ультразвук или электрофорез.
Если же в процессе консервативного лечения не удалось уменьшить компрессию или, что еще хуже, появилась секвестрированная грыжа, которая представляет угрозу для жизни пациента, врачи используют оперативное лечение.
Для этого во время операции с помощью проведения микродискэктомии может быть частично или полностью удален поврежденный диск.
Источник: https://spinheal.ru/gryzhi/pozvonochnogo-diska.html
Что такое грыжа диска L4 L5, ее причины, симптомы и лечение
Более половины случаев возникновения межпозвоночных грыж приходится именно на поясничную область позвоночника. Грыжа диска L4 L5 – наиболее распространенная патология, возникающая в поясничной области позвоночника.
При образовании выпячивания в этой области существует большая опасность чрезмерного пережатия нервных окончаний, что обуславливает уменьшение чувствительности и возникновение атрофии мышц.
Симптомы образования этой патологии возникают почти сразу же и у больного наблюдаются ноющие и простреливающие боли в области пояснице и ногах, а также онемение ног.
Причины
Основной причиной возникновения болезни считается полное обезвоживание диска и последующее нарушение его анатомически правильного построения, происходящего в результате недостаточного поступления питательных веществ и кислорода.
Грыжа межпозвоночного диска L4 L5 возникает после предшествующей патологии, а именно протрузии. Болезнь подразумевает под собой то, что смещается пульпозное ядро, являющее собой хрящевую ткань, расположенную между позвонками.
Вместе с тем фиброзное кольцо остается целостным и предотвращает последующее сдвигание межпозвоночного диска.
Основной причиной возникновения болезни считается полное обезвоживание диска и последующее нарушение его анатомически правильного построения, происходящего в результате недостаточного поступления питательных веществ и кислорода. К основным факторам, провоцирующим возникновение грыжи, относятся:
- остеохондроз;
- сколиоз;
- дисплазия;
- значительные физические нагрузки;
- малоподвижный образ жизни;
- травмы спины;
- переохлаждение.
Важно! Грыжа диска L4 L5 – наиболее опасная патология из всех существующих разновидностей межпозвонковых грыж.
Возникновение грыжи между четвертым и пятым позвонками поясничного отдела связано со значительной нагрузкой, оказываемой на область позвоночника.
Симптомы
Если возникает грыжа межпозвонкового диска, протекающая в поясничной области, то симптомы проявляются почти сразу. Основными признаками протекания болезни считаются такие как:
- сильная боль в месте соединения позвонков;
- напряжение мышц в области поражения;
- онемение и жжение в ногах
Интенсивность болезненных ощущений во многом зависит от размера грыжи. При небольшом размере патологии, возникает только болезненность, при значительном же поражении области, наблюдается неврологическая симптоматика.
Виды грыжи
Прежде чем начать лечение, нужно пройти предварительное обследование, с помощью которого можно определить не только локализацию патологии, но и вид дефекта, так как грыжа может быть:
- дорзальная;
- боковая;
- фораминальная;
- передняя;
- свободная;
- секвестральная.
Дорзальная грыжа может подразделяться в свою очередь на несколько видов, а именно, задняя, срединная и медианная, что обуславливает сдавливание нервных окончаний с разных сторон.
Грыжи дисков могут быть первичными и образовываться после травмирования и значительной физической нагрузки, а также вторичными, которые образуются на фоне протекающих дегенеративных изменений позвоночника. Наиболее сложной считается грыжа позвоночника L4 L5, которая провоцирует нарушение двигательной активности и даже приводит к инвалидности.
Диагностика
Определить точную причину протекания воспалительного процесса и возникновения болей в области поясницы можно только после комплексной диагностики. Чтобы поставить правильный диагноз, назначаются такие виды диагностики как:
- рентгенография;
- томография;
- миелография.
На основе полученных данных доктор определяет степень поражения и подбирает наиболее подходящую методику проведения терапии.
Лечение
Лечение грыжи межпозвонкового диска во многом зависит не только от направления патологического выпячивания, но и от его размеров. Именно поэтому, нужно изначально определить все имеющиеся параметры протекания болезни, предварительно проведя диагностику.
Изначально, при проведении лечения грыжи межпозвонкового диска, обязательно показано уменьшение нагрузки.
Если грыжа имеет размер не более 5 мм, то проводится консервативная терапия. Основным методом терапии считается проведение гимнастики и последующее вытяжение позвоночного столба.
При выпячивании гораздо более 12 мм показано проведение срочной операции, так как могут быть очень серьезные последствия и осложнения.
Консервативная терапия
Изначально, при проведении лечения грыжи межпозвонкового диска, обязательно показано уменьшение нагрузки. Именно поэтому, в первые дни проведения терапии показан постельный режим для полного покоя позвоночника.
Затем проводится медикаментозная терапия, подразумевающая под собой прием таких средств как:
- анальгетики;
- противовоспалительные средства;
- хондропротекторы;
- миорелаксанты;
- глюкокортикоиды;
- витамины.
После устранения болезненных ощущений и снятия воспаления дополнительно применяются такие методы проведения терапии как:
- физиотерапия;
- массаж;
- посещение бассейна;
- лечебная гимнастика.
Обязательно при проведении консервативной терапии показано ношение прочного корсета. В первые несколько месяцев корсет носится регулярно.
Ведущее место в проведении терапии занимает лечебный гимнастический комплекс, так как упражнения помогают устранить перенапряжение мышц спины, укрепляют их, а также помогают поддерживать позвоночник.
Назначать специальные лечебные упражнения должен только доктор, так как нужно учитывать все нюансы протекания патологии и устранить имеющиеся признаки болезни.
Хирургическое вмешательство
Основной задачей проведения операции считается высвобождение пережатых нервных окончаний или определенной области спинного мозга. Существует всего 4 метода проведения операции, а именно такие как:
- эндоскопическое иссечение;
- микродискэктомия;
- нуклеопластика;
- имплантация.
Микродискэктомия подразумевает под собой то, что проводится иссечение самого выпячивания с минимальным травматизмом. Это наиболее безопасный и результативный метод.
Эндоскопическое иссечение проводится совершенно без разрезов, путем незначительных проколов благодаря применению специальных инструментов. Во время проведения требуемых манипуляций доктор проводит контроль с помощью монитора.
При проведении имплантации доктор полностью удаляет травмированные ткани, а на их место ставится искусственный имплантат.
Нуклеопластика подразумевает под собой то, что происходит прямое воздействие на поврежденный диск холодной плазмой.
Источник: https://hondrozz.ru/poyasnichnyj/gryzha-diska-l4-l5.html
Поделиться:





